RCC2 Antibody - BSA Free

Images

 
Western Blot: RCC2 Antibody [NBP1-32602] - KYSE-30 and KYSE-450 human esophageal cancer cells were transfected with a RCC2 over-expression plasmid or mock and RCC2 expression was detected by Western Blot. WB image ...read more
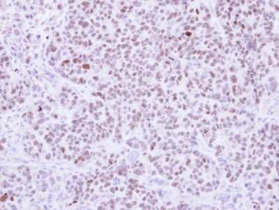
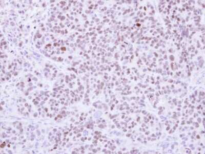
Immunohistochemistry-Paraffin: RCC2 Antibody [NBP1-32602] - SW480 xenograft, using RCC2 antibody at 1:500 dilution. Antigen Retrieval: Citrate buffer, pH 6.0, 15 mi.
Western Blot: RCC2 Antibody [NBP1-32602] - Sample (50 ug of whole cell lysate) A: Mouse brain 7. 5% SDS PAGE; antibody diluted at 1:1000.
Western Blot: RCC2 Antibody [NBP1-32602] - Sample(30 ug whole cell lysate)A:H1299B:MOLT4 7. 5% SDS PAGE, antibody diluted at 1:1000.

Product Details

Summary
Reactivity Hu, MuSpecies Glossary
Applications WB, IHC, IP
Clonality
Polyclonal
Host
Rabbit
Conjugate
Unconjugated
Format
BSA Free

Order Details

RCC2 Antibody - BSA Free Summary

Description
Novus Biologicals Rabbit RCC2 Antibody - BSA Free (NBP1-32602) is a polyclonal antibody validated for use in IHC, WB and IP. All Novus Biologicals antibodies are covered by our 100% guarantee.
Immunogen
Recombinant protein encompassing a sequence within the center region of human RCC2. The exact sequence is proprietary.
Localization
Nucleus, nucleolus, Centromere, Spindle
Isotype
IgG
Clonality
Polyclonal
Host
Rabbit
Gene
RCC2
Purity
Antigen Affinity-purified
Innovator's Reward
Test in a species/application not listed above to receive a full credit towards a future purchase.

Applications/Dilutions

Dilutions
  • Immunohistochemistry 1:100-1:1000
  • Immunohistochemistry-Paraffin 1:100-1:1000
  • Immunoprecipitation 1:10 - 1:500
  • Western Blot 1:500-1:3000
Theoretical MW
56 kDa.
Disclaimer note: The observed molecular weight of the protein may vary from the listed predicted molecular weight due to post translational modifications, post translation cleavages, relative charges, and other experimental factors.
Reviewed Applications
Read 1 Review rated 4
using
NBP1-32602 in the following applications:

Packaging, Storage & Formulations

Storage
Aliquot and store at -20C or -80C. Avoid freeze-thaw cycles.
Buffer
0.1M Tris, 0.1M Glycine, 10% Glycerol
Preservative
0.01% Thimerosal
Purity
Antigen Affinity-purified

Alternate Names for RCC2 Antibody - BSA Free

  • DKFZp762N0610
  • KIAA1470
  • protein RCC2
  • RCC1-like protein TD-60
  • regulator of chromosome condensation 2
  • TD60
  • TD-60
  • Telophase disk protein of 60 kDa

Background

RCC2 (regulator of chromosome condensation 2) is a member of the RCC1 family of guanine nucleotide exchange factors. RCC2 has been identified as part of the chromosomal passenger complex (CPC) which coordinates the chromosomal and cytoskeletal events of mitosis. Chromosomal passengers are proteins present in complexes with aurora B, inner centromeric protein (INCENP), survivin, and borealin. RCC2 has been demonstrated to be required for the recruitment of survivin and aurora B and is essential for proper chromosome segregation and the completion of cell cleavage. Loss of RCC2 inhibits spindle assembly, activates the spindle assembly checkpoint, and blocks cells in prometaphase.

Limitations

This product is for research use only and is not approved for use in humans or in clinical diagnosis. Primary Antibodies are guaranteed for 1 year from date of receipt.

Customers Who Viewed This Item Also Viewed...

NBP2-37471
Species: Hu
Applications: CyTOF-ready, ELISA, Flow, ICC/IF, IHC,  IHC-P, WB
NB100-294
Species: Hu, Mu, Rt
Applications: ICC/IF, IHC,  IHC-P, IP, MiAr, WB
NBP1-85638
Species: Hu
Applications: ICC/IF, IHC,  IHC-P, WB
NBP2-15971
Species: Hu, Mu, Rt
Applications: ICC/IF, IHC,  IHC-P, KO, WB
NBP2-15840
Species: Hu, Mu, Rt
Applications: ICC/IF, IHC,  IHC-P, WB
NB100-91266
Species: Hu, Mu, Rt
Applications: ICC/IF, IHC, IHC-Fr,  IHC-P, WB
NB500-201
Species: Ca, Fe, Gp, Ha, Hu, Mu, Rt
Applications: ChIP, Dual ISH-IHC, ELISA, Flow, ICC/IF, IHC, IHC-Fr,  IHC-P, IP, KD, Simple Western, WB
NBP2-41263
Species: Hu, Mu, Rt
Applications: ELISA, ICC/IF, IHC,  IHC-P, WB
NB100-294
Species: Hu, Mu, Rt
Applications: ICC/IF, IHC,  IHC-P, IP, MiAr, WB
NBP1-85729
Species: Hu, Mu, Rt
Applications: ICC/IF, IHC,  IHC-P, WB
H00011004-M01
Species: Hu
Applications: ELISA, ICC/IF, IHC,  IHC-P, IP, KD, S-ELISA, WB
NB100-563
Species: Hu
Applications: ICC/IF, IHC,  IHC-P, IP, WB
AF3797
Species: Hu, Mu
Applications: ChIP, ICC, IHC, Simple Western, WB
NBP2-27202
Species: Ca, Ch, ChHa, Fe, Hu, Mu, Ma-Op, Po, Pm, Rt
Applications: ICC/IF, Simple Western, WB
NB500-180
Species: Hu, Ma, Mu, Po, Rt
Applications: ICC/IF, IP, KO, Simple Western, WB
H00010097-M01
Species: Hu
Applications: ELISA, IHC,  IHC-P, S-ELISA, WB
AF6260
Species: Hu
Applications: WB
NB110-68800
Species: Hu, Mu, Pm
Applications: ICC/IF, WB
⚠ WARNING: This product can expose you to chemicals including mercury, which is known to the State of California to cause reproductive toxicity with developmental effects.  For more information go to www.P65Warnings.ca.gov.

Publications for RCC2 Antibody (NBP1-32602) (0)

There are no publications for RCC2 Antibody (NBP1-32602).
By submitting your publication information earn gift cards and discounts for future purchases.

Review for RCC2 Antibody (NBP1-32602) (1) 41

Average Rating: 4
(Based on 1 review)
We have 1 review tested in 1 species: Human.

Reviews using NBP1-32602:
Filter by Applications
WB
(1)
All Applications
Filter by Species
Human
(1)
All Species
Images Ratings Applications Species Date Details
Western Blot RCC2 NBP1-32602
Enlarge
4
reviewed by:
Verified Customer
WB Human 03/20/2020
View

Summary

ApplicationWestern Blot
Sample Testedhuman esophageal cancer cells
SpeciesHuman
Lot40002

Product General Protocols

Find general support by application which include: protocols, troubleshooting, illustrated assays, videos and webinars.

Video Protocols

WB Video Protocol

FAQs for RCC2 Antibody (NBP1-32602) (0)

There are no specific FAQs related to this product. Read our general customer & technical service FAQs.

Customers Who Bought This Also Bought

Contact Information

Product PDFs

Calculators

Concentration Calculator

The concentration calculator allows you to quickly calculate the volume, mass or concentration of your vial. Simply enter your mass, volume, or concentration values for your reagent and the calculator will determine the rest.

=
÷

Recent Reviews

4
5
0
4
1
3
0
2
0
1
0

Verified Customer
03/20/2020
Application: WB
Species: Human

Bioinformatics

Gene Symbol RCC2