RCC2 Antibody

Images

 
Western Blot: RCC2 Antibody [NB110-40619] - Detection of both input and immunoprecipitated RCC2 on KYSE-30 and KYSE-450 cell lines. Western blot image submitted by a verified customer review.
Immunohistochemistry-Paraffin: RCC2 Antibody [NB110-40619] - RCC2 expression from esophageal cancer tissue from mice. IHC-P image submitted by a verified customer review.
Western Blot: RCC2 Antibody [NB110-40619] - Detection of Human and Mouse RCC2 on HeLa whole cell lysate using NB110-40619. RCC2 was immunoprecipitated by rabbit anti-RCC2 antibody NB110-40618.
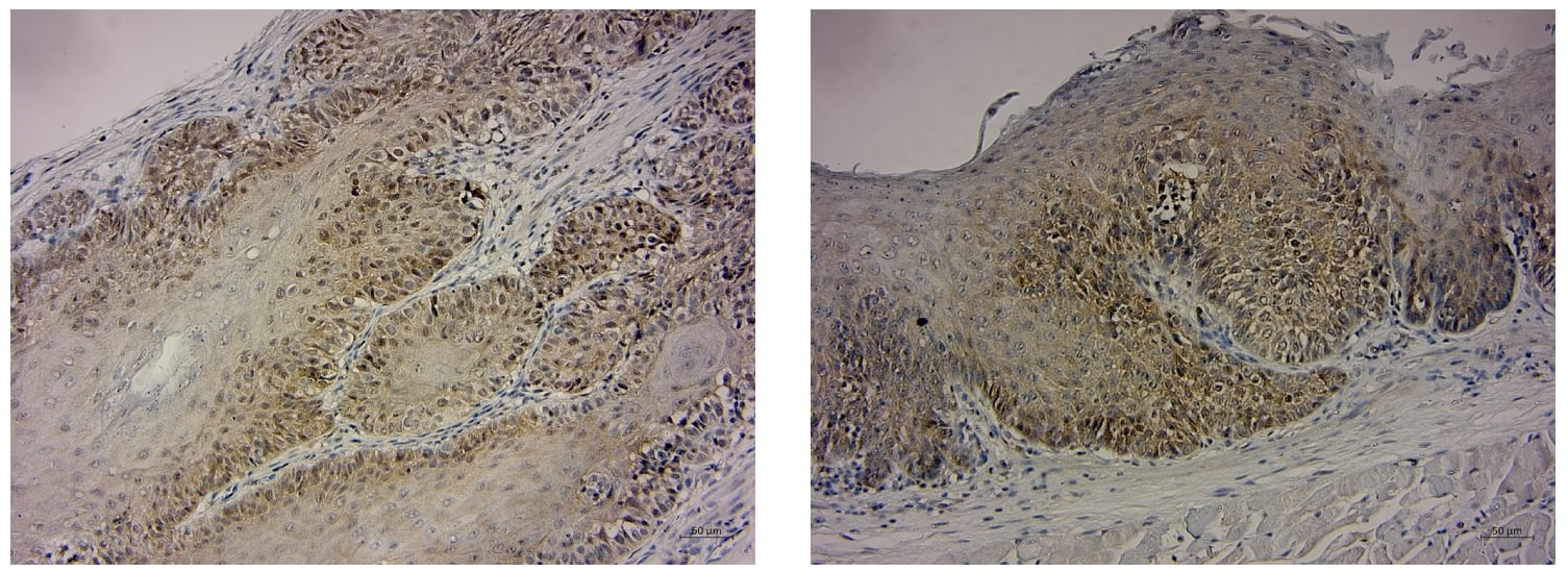
Immunohistochemistry-Paraffin: RCC2 Antibody [NB110-40619] - Sections of human skin basal cell carcinoma (left) and mouse CT26 colon carcinoma (right). Affinity purified rabbit anti- RCC2 used at a dilution of 1:1000 ...read more

Product Details

Summary
Reactivity Hu, MuSpecies Glossary
Applications WB, IHC, IP (-)
Clonality
Polyclonal
Host
Rabbit
Conjugate
Unconjugated
Concentration
0.2 mg/ml

Order Details

RCC2 Antibody Summary

Description
Novus Biologicals Rabbit RCC2 Antibody (NB110-40619) is a polyclonal antibody validated for use in IHC, WB and ICC/IF. Anti-RCC2 Antibody: Cited in 2 publications. All Novus Biologicals antibodies are covered by our 100% guarantee.
Immunogen
The immunogen recognized by this antibody maps to a region between residue 475 and the C-terminus (residue 522) of human Regulator of Chromosome Condensation 2 using the numbering given in entry NP_061185.1 (GeneID 55920).
Isotype
IgG
Clonality
Polyclonal
Host
Rabbit
Gene
RCC2
Purity
Immunogen affinity purified
Innovator's Reward
Test in a species/application not listed above to receive a full credit towards a future purchase.

Applications/Dilutions

Dilutions
  • Immunohistochemistry 1:2000 - 1:10000
  • Immunohistochemistry-Paraffin 1:2000 - 1:10000
  • Western Blot 1:2000 - 1:10000
Application Notes
Epitope retrieval with citrate buffer pH 6.0 is recommended for FFPE tissue sections. RCC2 antibody validated for IHC-P, WB from verified customer reviews.
Reviewed Applications
Read 2 Reviews rated 5
using
NB110-40619 in the following applications:

Publications
Read Publications using
NB110-40619 in the following applications:

Packaging, Storage & Formulations

Storage
Store at 4C. Do not freeze.
Buffer
TBS, 0.1% BSA
Preservative
0.09% Sodium Azide
Concentration
0.2 mg/ml
Purity
Immunogen affinity purified

Alternate Names for RCC2 Antibody

  • DKFZp762N0610
  • KIAA1470
  • protein RCC2
  • RCC1-like protein TD-60
  • regulator of chromosome condensation 2
  • TD60
  • TD-60
  • Telophase disk protein of 60 kDa

Background

RCC2 (regulator of chromosome condensation 2) is a member of the RCC1 family of guanine nucleotide exchange factors. RCC2 has been identified as part of the chromosomal passenger complex (CPC) which coordinates the chromosomal and cytoskeletal events of mitosis. Chromosomal passengers are proteins present in complexes with aurora B, inner centromeric protein (INCENP), survivin, and borealin. RCC2 has been demonstrated to be required for the recruitment of survivin and aurora B and is essential for proper chromosome segregation and the completion of cell cleavage. Loss of RCC2 inhibits spindle assembly, activates the spindle assembly checkpoint, and blocks cells in prometaphase. RCC2 is also known as telophase disk protein of 60 kDa, RCC1-like protein TD-60, TD60, KIAA1470, and DKFZp762N0610.

Limitations

This product is for research use only and is not approved for use in humans or in clinical diagnosis. Primary Antibodies are guaranteed for 1 year from date of receipt.

Customers Who Viewed This Item Also Viewed...

NBP2-37471
Species: Hu
Applications: CyTOF-ready, ELISA, Flow, ICC/IF, IHC,  IHC-P, WB
NB100-294
Species: Hu, Mu, Rt
Applications: ICC/IF, IHC,  IHC-P, IP, MiAr, WB
NBP1-85638
Species: Hu
Applications: ICC/IF, IHC,  IHC-P, WB
NBP2-15971
Species: Hu, Mu, Rt
Applications: ICC/IF, IHC,  IHC-P, KO, WB
NBP2-15840
Species: Hu, Mu, Rt
Applications: ICC/IF, IHC,  IHC-P, WB
NB100-91266
Species: Hu, Mu, Rt
Applications: ICC/IF, IHC, IHC-Fr,  IHC-P, WB
NB500-201
Species: Ca, Fe, Gp, Ha, Hu, Mu, Rt
Applications: ChIP, Dual ISH-IHC, ELISA, Flow, ICC/IF, IHC, IHC-Fr,  IHC-P, IP, KD, Simple Western, WB
NBP2-41263
Species: Hu, Mu, Rt
Applications: ELISA, ICC/IF, IHC,  IHC-P, WB
NB100-294
Species: Hu, Mu, Rt
Applications: ICC/IF, IHC,  IHC-P, IP, MiAr, WB
NBP1-85729
Species: Hu, Mu, Rt
Applications: ICC/IF, IHC,  IHC-P, WB
H00011004-M01
Species: Hu
Applications: ELISA, ICC/IF, IHC,  IHC-P, IP, KD, S-ELISA, WB
NB100-563
Species: Hu
Applications: ICC/IF, IHC,  IHC-P, IP, WB
AF3797
Species: Hu, Mu
Applications: ChIP, ICC, IHC, Simple Western, WB
NBP2-27202
Species: Ca, Ch, ChHa, Fe, Hu, Mu, Ma-Op, Po, Pm, Rt
Applications: ICC/IF, Simple Western, WB
NB500-180
Species: Hu, Ma, Mu, Po, Rt
Applications: ICC/IF, IP, KO, Simple Western, WB
H00010097-M01
Species: Hu
Applications: ELISA, IHC,  IHC-P, S-ELISA, WB
AF6260
Species: Hu
Applications: WB
NB110-68800
Species: Hu, Mu, Pm
Applications: ICC/IF, WB

Publications for RCC2 Antibody (NB110-40619)(2)

Reviews for RCC2 Antibody (NB110-40619) (2) 52

Average Rating: 5
(Based on 2 reviews)
We have 2 reviews tested in 2 species: Human, Mouse.

Reviews using NB110-40619:
Filter by Applications
 IHC-P
(1)
WB
(1)
All Applications
Filter by Species
Human
(1)
Mouse
(1)
All Species
Images Ratings Applications Species Date Details
  5
reviewed by:
Ali Calderon Aparicio
 IHC-P Mouse 11/04/2020
View

Summary

ApplicationImmunohistochemistry-Paraffin
Sample TestedHuman Esophagus tissue
SpeciesMouse
LotA1

Comments

CommentsAntigen retrieval with citrate buffer pH 6
Western Blot RCC2 NB110-40619
Enlarge
5
reviewed by:
Ali Calderon
WB Human 03/19/2019
View

Summary

ApplicationWestern Blot
Sample Tested293T cell line,Cancer Cell lysate
SpeciesHuman
LotA1

Product General Protocols

Find general support by application which include: protocols, troubleshooting, illustrated assays, videos and webinars.

Video Protocols

WB Video Protocol

FAQs for RCC2 Antibody (NB110-40619) (0)

There are no specific FAQs related to this product. Read our general customer & technical service FAQs.

Customers Who Bought This Also Bought

Contact Information

Product PDFs

Calculators

Concentration Calculator

The concentration calculator allows you to quickly calculate the volume, mass or concentration of your vial. Simply enter your mass, volume, or concentration values for your reagent and the calculator will determine the rest.

=
÷

Recent Reviews

5
5
2
4
0
3
0
2
0
1
0

Ali Calderon Aparicio
11/04/2020
Application:  IHC-P
Species: Mouse

Ali Calderon
03/19/2019
Application: WB
Species: Human

Bioinformatics

Gene Symbol RCC2
Entrez
Uniprot