RBP4/Retinol-Binding Protein 4 Antibody (RBP4/8090R) - Azide and BSA Free

Images

 
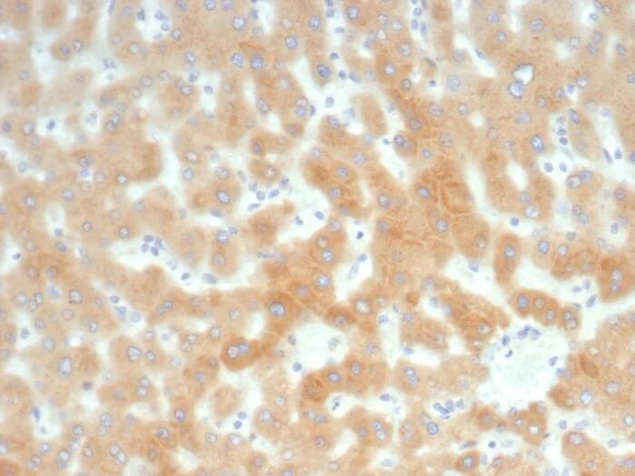
Immunohistochemistry-Paraffin: RBP4/Retinol-Binding Protein 4 Antibody (RBP4/8090R) - Azide and BSA Free [NBP3-24346] - Formalin-fixed, paraffin-embedded human liver stained with RBP4/Retinol-Binding Protein 4 Antibody ...read more

Product Details

Summary
Reactivity HuSpecies Glossary
Applications IHC
Clone
RBP4/8090R
Clonality
Monoclonal
Host
Rabbit
Conjugate
Unconjugated
Format
Azide and BSA Free
Concentration
1 mg/ml

Order Details

RBP4/Retinol-Binding Protein 4 Antibody (RBP4/8090R) - Azide and BSA Free Summary

Description
Antibody without azide - store at -20 to -80C.
Additional Information
Recombinant Monoclonal Antibody
Immunogen
Recombinant fragment (around aa29-148) of human RBP4/Retinol-Binding Protein 4 protein (exact sequence is proprietary)
Localization
Secreted
Isotype
IgG Kappa
Clonality
Monoclonal
Host
Rabbit
Gene
RBP4
Purity
Protein A or G purified
Innovator's Reward
Test in a species/application not listed above to receive a full credit towards a future purchase.

Applications/Dilutions

Dilutions
  • Immunohistochemistry-Paraffin 1-2ug/ml
Application Notes
Immunohistochemistry-Paraffin: 1-2ug/ml for 30 minutes at RT. Staining of formalin-fixed tissues requires heating tissue sections in 10mM Tris with 1mM EDTA, pH 9.0, for 45 min at 95C followed by cooling at RT for 20 minutes. Optimal dilution for a specific application should be determined.

Packaging, Storage & Formulations

Storage
Store at -20 to -80C. Avoid freeze-thaw cycles.
Buffer
10mM PBS
Preservative
No Preservative
Concentration
1 mg/ml
Purity
Protein A or G purified

Alternate Names for RBP4/Retinol-Binding Protein 4 Antibody (RBP4/8090R) - Azide and BSA Free

  • interstitial
  • Plasma retinol-binding protein
  • RBP4
  • retinol binding protein 4, plasma
  • RetinolBinding Protein 4
  • retinol-binding protein 4, plasma

Background

RBP4 is a specific carrier for retinol in the blood. It is a member of the lipocalin protein family. Under physiological conditions, RBP binds transthyretin (TTR) to prevent glomerular filtration of low molecular weight RBP in the kidneys. The RBP/TTR molar ration provides an indirect way to indicate marginal vitamin A deficiency. RBP4 may also play a role in insulin resistance in diabetes.

Limitations

This product is for research use only and is not approved for use in humans or in clinical diagnosis. Primary Antibodies are guaranteed for 1 year from date of receipt.

Customers Who Viewed This Item Also Viewed...

MAB1417
Species: Bv, Hu, Mu
Applications: ICC, IHC
NBP2-52575
Species: Hu
Applications: CyTOF-ready, ELISA, Flow, ICC/IF, IHC,  IHC-P, WB
MAB1455
Species: Hu
Applications: CyTOF-ready, Dual ISH-IHC, ICC, IHC, ICFlow, Simple Western, WB
DRP300
Species: Hu
Applications: ELISA
DY1707
Species: Hu
Applications: ELISA
M6000B
Species: Mu
Applications: ELISA
DLP00
Species: Hu
Applications: ELISA
2914-HT
Species: Hu
Applications: BA
NBP2-00637
Species: Hu, Mu, Rt
Applications: Flow, ICC/IF, IHC,  IHC-P, WB
NB100-594
Species: Hu, Mu
Applications: IHC,  IHC-P, IP, WB
NBP1-31555
Species: Hu, Mu, Rt
Applications: ICC/IF, IHC, IHC-Fr,  IHC-P
NBP1-92164
Species: Hu
Applications: ICC/IF, IHC,  IHC-P
NB100-81029
Species: Hu, Mu, Rt
Applications: ELISA, ICC/IF, IHC,  IHC-P, WB
DRSN00
Species: Hu
Applications: ELISA
NBP1-49533
Species: Hu, Mu, Pl, Rt
Applications: Flow-IC, Flow, ICC/IF, IHC,  IHC-P, KD, WB
AF5739
Species: Hu, Mu, Rt
Applications: WB
H00005555-P01
Species: Hu
Applications: ELISA, AP, PA, PAGE, WB

Publications for RBP4/Retinol-Binding Protein 4 Antibody (NBP3-24346) (0)

There are no publications for RBP4/Retinol-Binding Protein 4 Antibody (NBP3-24346).
By submitting your publication information earn gift cards and discounts for future purchases.

Reviews for RBP4/Retinol-Binding Protein 4 Antibody (NBP3-24346) (0)

There are no reviews for RBP4/Retinol-Binding Protein 4 Antibody (NBP3-24346). By submitting a review you will receive an Amazon e-Gift Card or Novus Product Discount.
  • Review with no image -- $10/€7/£6/$10 CAD/¥70 Yuan/¥1110 Yen
  • Review with an image -- $25/€18/£15/$25 CAD/¥150 Yuan/¥2500 Yen

Product General Protocols

Find general support by application which include: protocols, troubleshooting, illustrated assays, videos and webinars.

FAQs for RBP4/Retinol-Binding Protein 4 Antibody (NBP3-24346) (0)

There are no specific FAQs related to this product. Read our general customer & technical service FAQs.

Customers Who Bought This Also Bought

Contact Information

Product PDFs

Calculators

Concentration Calculator

The concentration calculator allows you to quickly calculate the volume, mass or concentration of your vial. Simply enter your mass, volume, or concentration values for your reagent and the calculator will determine the rest.

=
÷

Review this Product

Be the first to review our RBP4/Retinol-Binding Protein 4 Antibody (RBP4/8090R) - Azide and BSA Free and receive a gift card or discount.

Bioinformatics

Gene Symbol RBP4