RAP6 Antibody - BSA Free

Images

 
Immunocytochemistry/ Immunofluorescence: RAP6 Antibody [NBP1-85137] - Immunofluorescent staining of human cell line U-2 OS shows localization to cytosol.
Staining of human placenta shows strong cytoplasmic positivity in trophoblastic cells.
Staining of human testis shows strong cytoplasmic positivity in cells in seminiferous ducts.
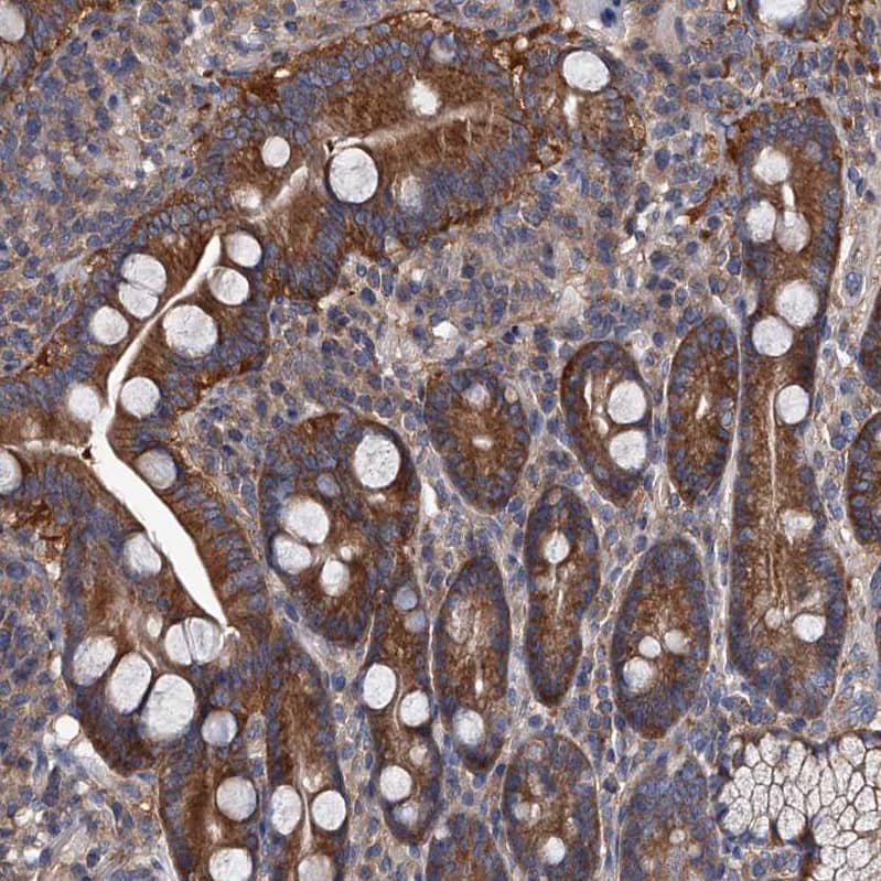
Staining of human duodenum shows strong cytoplasmic positivity in glandular cells.

Product Details

Summary
Reactivity Hu, Mu, RtSpecies Glossary
Applications ICC/IF, IHC
Clonality
Polyclonal
Host
Rabbit
Conjugate
Unconjugated
Format
BSA Free

Order Details

RAP6 Antibody - BSA Free Summary

Description
Novus Biologicals Rabbit RAP6 Antibody - BSA Free (NBP1-85137) is a polyclonal antibody validated for use in IHC and ICC/IF. All Novus Biologicals antibodies are covered by our 100% guarantee.
Immunogen
This antibody was developed against Recombinant Protein corresponding to amino acids: SSLDLEGESVSELGAGPSGSNGVEALQLLEHEQATTQDNLDDKLRKFEIRDMMGLTDDRDISETVSETWSTDVLGSDFDPNIDEDRLQEIAGAAAENMLGSLLCLPGSGSVLL
Predicted Species
Mouse (98%), Rat (98%). Backed by our 100% Guarantee.
Isotype
IgG
Clonality
Polyclonal
Host
Rabbit
Gene
GAPVD1
Purity
Affinity purified
Innovator's Reward
Test in a species/application not listed above to receive a full credit towards a future purchase.

Applications/Dilutions

Dilutions
  • Immunocytochemistry/ Immunofluorescence 0.25-2 ug/ml
  • Immunohistochemistry 1:50 - 1:200
  • Immunohistochemistry-Paraffin 1:50 - 1:200
Application Notes
For IHC-Paraffin, HIER pH 6 retrieval is recommended. Immunocytochemistry/Immunofluorescence Fixation Permeabilization: Use PFA/Triton X-100.
Control Peptide
RAP6 Protein (NBP1-85137PEP)

Packaging, Storage & Formulations

Storage
Store at 4C short term. Aliquot and store at -20C long term. Avoid freeze-thaw cycles.
Buffer
PBS (pH 7.2) and 40% Glycerol
Preservative
0.02% Sodium Azide
Purity
Affinity purified

Alternate Names for RAP6 Antibody - BSA Free

  • DKFZP434C212
  • GAPex-5
  • GAPEX5RAP6Rab5-activating protein 6
  • GTPase activating protein and VPS9 domains 1
  • GTPase-activating protein and VPS9 domain-containing protein 1
  • KIAA1521MGC138848
  • MGC138847

Background

GAPex-5 was identified in a two-hybrid screen for interactors of CIP4 (Cdc42 interacting protein 4). GAPex-5 contains a Ras-GAP domain and a VPS9 (vacuolar sorting protein 9 (VPS9) domain. It functions as a GEF for RAB31 to influence GLUT4 trafficking. It has also been found to be involved in the trafficking and ubiquitination of EGFR. Alternate names for GAPex-5 include GTPase-activating protein and VPS9 domain-containing protein 1, Rab5-activating protein 6, GAPVD1, GAPEX5, RAP6, and KIAA1521.

Limitations

This product is for research use only and is not approved for use in humans or in clinical diagnosis. Primary Antibodies are guaranteed for 1 year from date of receipt.

Customers Who Viewed This Item Also Viewed...

NB120-13253
Species: Bv, Hu, Pm, Mu, Rt
Applications: ICC/IF, IHC-FrFl, IHC,  IHC-P, IP, WB
AF6260
Species: Hu
Applications: WB
NB110-68800
Species: Hu, Mu, Pm
Applications: ICC/IF, WB
NBP1-85727
Species: Hu
Applications: ICC/IF, IHC,  IHC-P
MAB6210
Species: Hu
Applications: Simple Western, WB
AF887
Species: Hu, Mu, Rt
Applications: CyTOF-ready, IHC, ICFlow, Simple Western, WB
MAB1417
Species: Bv, Hu, Mu
Applications: ICC, IHC
NBP1-49533
Species: Hu, Mu, Pl, Rt
Applications: Flow-IC, Flow, ICC/IF, IHC,  IHC-P, KD, WB
NBP3-38370
Species: Hu, Mu
Applications: ELISA, ICC/IF, WB
NBP3-15915
Species: Hu, Mu, Rt
Applications: IHC,  IHC-P, WB
NBP1-91991
Species: Hu, Mu, Rt
Applications: ICC/IF, IHC,  IHC-P, WB
NBP2-21577
Species: Hu, Mu, Rt
Applications: ICC/IF, IHC, IHC-Fr,  IHC-P, IP, KD, WB
NB100-82001
Species: Hu, Mu, Po, Rt
Applications: ICC/IF, IHC,  IHC-P, Simple Western, WB
NBP2-62573
Species: Hu
Applications: ICC/IF, IHC,  IHC-P, KD, WB
DYC2510-2
Species: Hu, Mu, Rt
Applications: ELISA
AF231
Species: Hu
Applications: CyTOF-ready, Dual ISH-IHC, ELISA(Cap), ELISA(Det), ELISA(Sta), Flow, ICC, IHC, IP, Simple Western, WB
2914-HT
Species: Hu
Applications: BA
NBP2-87002
Species: Hu
Applications: WB

Publications for RAP6 Antibody (NBP1-85137) (0)

There are no publications for RAP6 Antibody (NBP1-85137).
By submitting your publication information earn gift cards and discounts for future purchases.

Reviews for RAP6 Antibody (NBP1-85137) (0)

There are no reviews for RAP6 Antibody (NBP1-85137). By submitting a review you will receive an Amazon e-Gift Card or Novus Product Discount.
  • Review with no image -- $10/€7/£6/$10 CAD/¥70 Yuan/¥1110 Yen
  • Review with an image -- $25/€18/£15/$25 CAD/¥150 Yuan/¥2500 Yen

Product General Protocols

Find general support by application which include: protocols, troubleshooting, illustrated assays, videos and webinars.

Video Protocols

ICC/IF Video Protocol

FAQs for RAP6 Antibody (NBP1-85137) (0)

There are no specific FAQs related to this product. Read our general customer & technical service FAQs.

Customers Who Bought This Also Bought

Contact Information

Product PDFs

Calculators

Concentration Calculator

The concentration calculator allows you to quickly calculate the volume, mass or concentration of your vial. Simply enter your mass, volume, or concentration values for your reagent and the calculator will determine the rest.

=
÷

Review this Product

Be the first to review our RAP6 Antibody - BSA Free and receive a gift card or discount.

Bioinformatics

Gene Symbol GAPVD1