Rab4 Antibody

Images

 
Immunocytochemistry/ Immunofluorescence: Rab4 Antibody [NB100-74519] - in NIH-3T3 Cells. Cells were grown on chamber slides and fixed with formaldehyde prior to staining. Cells were probed without (control) or with a ...read more
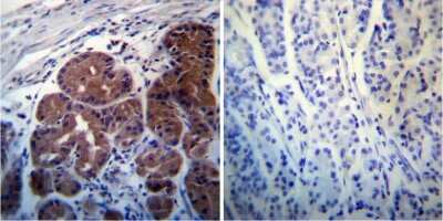
Immunohistochemistry-Paraffin: Rab4 Antibody [NB100-74519] - Immunohistochemistry was performed on normal deparaffinized human Stomach tissue.
Immunocytochemistry/ Immunofluorescence: Rab4 Antibody [NB100-74519] - in HeLa Cells. Cells were grown on chamber slides and fixed with formaldehyde prior to staining. Cells were probed without (control) or with a RAB4 ...read more
Immunocytochemistry/ Immunofluorescence: Rab4 Antibody [NB100-74519] - in MCF-7 Cells. Cells were grown on chamber slides and fixed with formaldehyde prior to staining. Cells were probed without (control) or with a RAB4 ...read more
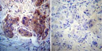
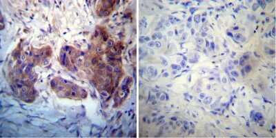
Immunohistochemistry-Paraffin: Rab4 Antibody [NB100-74519] - Both normal and cancer biopsies of deparaffinized human Breast carcinoma tissue.

Product Details

Summary
Product Discontinued
View other related Rab4 Primary Antibodies

Order Details


    • Catalog Number
      NB100-74519
    • Availability
      Product Discontinued

    Can't find what you are looking for? Use our Antibody Concierge Service & we will help you locate your antibody!

    Or feel free to contact us for alternative products.

Rab4 Antibody Summary

Immunogen
Purified, recombinant human Rab4 protein.
Localization
Peripheral membrane protein, generally associated with membranes. Cytoplasmic when phosphorylated by CDC2.
Marker
Early and Recycling Endosomes Marker
Specificity
Rab4
Isotype
IgG
Clonality
Polyclonal
Host
Rabbit
Gene
RAB4A
Purity
Unpurified
Innovator's Reward
Test in a species/application not listed above to receive a full credit towards a future purchase.

Applications/Dilutions

Dilutions
  • Immunocytochemistry/ Immunofluorescence 1:100
  • Immunohistochemistry 1:200
  • Immunohistochemistry-Paraffin 1:200
  • Western Blot 1:1000
Application Notes
Useful in WB, IF. WB: Detects an approx. 24 kDa protein representing Rab4 from transfected HeLa cells.
Control
Rab4 Overexpression Lysate

Packaging, Storage & Formulations

Storage
Store at -20C. Avoid freeze-thaw cycles.
Buffer
Whole antisera
Preservative
0.05% Sodium Azide
Purity
Unpurified

Alternate Names for Rab4 Antibody

  • Oncogene RAB4
  • RAB4, member RAS oncogene family
  • RAB4A, member RAS oncogene family
  • RAB4HRES-1/RAB4
  • ras-related protein Rab-4A

Background

Rab4 is a small GTPase that regulates recycling of proteins, such as GPCRs, from the early endosomes to the cell surface. Overexpression of Rab4 causes a redistribution of receptors on plasma membrane versus endocytic compartments. Rab4 is also involved in the translocation of glucose transporter (Glu4) in adipocytes in response to insulin. Association of Rab4 with transferrin receptor containing early endosomes is mediated through the geranylgeranyl groups at its carboxyl terminus. Rab4 can be used as a marker for early endosomes (see Daro et al. 1996 and Zuk et al. 1999 for more information). Membrane association is also cell cycle dependent, as phosphorylation at its C-terminal cdc2 kinase consensus sequence in mitotic cells leads to dissociation of Rab4 into the cytosol.

Limitations

This product is for research use only and is not approved for use in humans or in clinical diagnosis. Primary Antibodies are guaranteed for 1 year from date of receipt.

Customers Who Viewed This Item Also Viewed...

NB120-13253
Species: Bv, Hu, Pm, Mu, Rt
Applications: ICC/IF, IHC-FrFl, IHC,  IHC-P, IP, WB
NBP2-49320
Species: Hu
Applications: ICC/IF, IHC,  IHC-P, WB
NBP1-49533
Species: Hu, Mu, Pl, Rt
Applications: Flow-IC, Flow, ICC/IF, IHC,  IHC-P, KD, WB
NBP1-91991
Species: Hu, Mu, Rt
Applications: ICC/IF, IHC,  IHC-P, WB
2914-HT
Species: Hu
Applications: BA
NBP1-87174
Species: Hu, Mu, Rt
Applications: ICC/IF, IHC,  IHC-P, KD, WB
H00338382-M01
Species: Hu
Applications: ELISA, IP, WB
MAB1417
Species: Bv, Hu, Mu
Applications: ICC, IHC
NBP1-82590
Species: Hu
Applications: IHC,  IHC-P, WB
NBP1-33110
Species: Hu, Mu, Rt
Applications: ICC/IF, IHC,  IHC-P, KO, WB
NBP1-30914
Species: Ha, Hu, Mu, Rt
Applications: ICC/IF, IHC,  IHC-P, IM, WB
NB110-39113
Species: Hu, Mu, Rb, Rt
Applications: ChIP, ChIP, Flow-IC, Flow, ICC/IF, IHC, IHC-Fr,  IHC-P, In vitro, Simple Western, WB
NBP1-55113
Species: Hu, Pm, Mu
Applications: IHC,  IHC-P, WB
NBP1-83606
Species: Hu, Mu, Rt
Applications: ICC/IF, IHC,  IHC-P, WB
NB600-607
Species: Hu, Rt
Applications: ELISA, IHC,  IHC-P, WB
H00004218-M02
Species: Hu, Mu, Ze
Applications: ELISA, ICC/IF, IHC, WB
NBP1-19371
Species: Ca, Hu, Mu, Po, Rb, Rt
Applications: Dual ISH-IHC, Flow, ICC/IF, IHC, IHC-Fr,  IHC-P, Simple Western, WB
NB300-510
Species: Ca, Hu, Mu, Rt
Applications: ICC/IF, WB
NBP3-46833
Species: Hu, Mu, Rt
Applications: ELISA, IHC, WB
NB100-74519
Species: Hu, Mu, Rt, Ca, Pm
Applications: WB, ICC/IF, IHC

Publications for Rab4 Antibody (NB100-74519) (0)

There are no publications for Rab4 Antibody (NB100-74519).
By submitting your publication information earn gift cards and discounts for future purchases.

Reviews for Rab4 Antibody (NB100-74519) (0)

There are no reviews for Rab4 Antibody (NB100-74519). By submitting a review you will receive an Amazon e-Gift Card or Novus Product Discount.
  • Review with no image -- $10/€7/£6/$10 CAD/¥70 Yuan/¥1110 Yen
  • Review with an image -- $25/€18/£15/$25 CAD/¥150 Yuan/¥2500 Yen

Product General Protocols

Find general support by application which include: protocols, troubleshooting, illustrated assays, videos and webinars.

Video Protocols

WB Video Protocol
ICC/IF Video Protocol

FAQs for Rab4 Antibody (NB100-74519) (0)

There are no specific FAQs related to this product. Read our general customer & technical service FAQs.

Control Lysate(s)

Secondary Antibodies

 

Isotype Controls

Additional Rab4 Products

Research Areas for Rab4 Antibody (NB100-74519)

Find related products by research area.

Blogs on Rab4

There are no specific blogs for Rab4, but you can read our latest blog posts.

Contact Information

Product PDFs

Calculators

Concentration Calculator

The concentration calculator allows you to quickly calculate the volume, mass or concentration of your vial. Simply enter your mass, volume, or concentration values for your reagent and the calculator will determine the rest.

=
÷

Review this Product

Be the first to review our Rab4 Antibody and receive a gift card or discount.

Bioinformatics

Gene Symbol RAB4A
Entrez