PUM1 Antibody (JG37-75)

Images

 
Western Blot: PUM1 Antibody (JG37-75) [NBP2-75638] - Analysis of Pumilio 1 on SiHa cell using anti-Pumilio 1 antibody at 1/1,000 dilution.
Immunocytochemistry/ Immunofluorescence: PUM1 Antibody (JG37-75) [NBP2-75638] - Staining Pumilio 1 in SiHa cells (green). The nuclear counter stain is DAPI (blue). Cells were fixed in paraformaldehyde, permeabilised ...read more
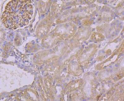
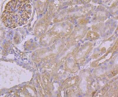
Immunohistochemistry-Paraffin: PUM1 Antibody (JG37-75) [NBP2-75638] - Analysis of paraffin-embedded mouse kidney tissue using anti-Pumilio 1 antibody. Counter stained with hematoxylin.
Flow Cytometry: PUM1 Antibody (JG37-75) [NBP2-75638] - Analysis of 293T cells with Pumilio 1 antibody at 1/100 dilution (purple) compared with an unlabelled control (cells without incubation with primary antibody; ...read more
Immunocytochemistry/ Immunofluorescence: PUM1 Antibody (JG37-75) [NBP2-75638] - Staining Pumilio 1 in 293T cells (green). The nuclear counter stain is DAPI (blue). Cells were fixed in paraformaldehyde, permeabilised ...read more
Immunohistochemistry-Paraffin: PUM1 Antibody (JG37-75) [NBP2-75638] - Analysis of paraffin-embedded human colon tissue using anti-Pumilio 1 antibody. Counter stained with hematoxylin.
Immunohistochemistry-Paraffin: PUM1 Antibody (JG37-75) [NBP2-75638] - Analysis of paraffin-embedded human appendix tissue using anti-Pumilio 1 antibody. Counter stained with hematoxylin.
Immunohistochemistry-Paraffin: PUM1 Antibody (JG37-75) [NBP2-75638] - Analysis of paraffin-embedded mouse small intestine tissue using anti-Pumilio 1 antibody. Counter stained with hematoxylin.

Product Details

Summary
Product Discontinued
View other related PUM1 Primary Antibodies

Order Details


    • Catalog Number
      NBP2-75638
    • Availability
      Product Discontinued

    Can't find what you are looking for? Use our Antibody Concierge Service & we will help you locate your antibody!

    Or feel free to contact us for alternative products.

PUM1 Antibody (JG37-75) Summary

Additional Information
Recombinant Monoclonal Antibody.
Immunogen
Recombinant protein within Human PUM1 aa 79-223 . (SwissProt: Q14671 Human; SwissProt: Q80U78 Mouse)
Localization
Cytoplasm. Nucleus.
Isotype
IgG
Clonality
Monoclonal
Host
Rabbit
Gene
PUM1
Purity
Protein A purified
Innovator's Reward
Test in a species/application not listed above to receive a full credit towards a future purchase.

Applications/Dilutions

Dilutions
  • Flow Cytometry 1:50-1:100
  • Immunocytochemistry/ Immunofluorescence 1:50-1:200
  • Immunohistochemistry
  • Immunohistochemistry-Paraffin 1:50-1:200
  • Immunoprecipitation 1:10-1:50
  • Western Blot 1:1000-1:2000
Theoretical MW
126 kDa.
Disclaimer note: The observed molecular weight of the protein may vary from the listed predicted molecular weight due to post translational modifications, post translation cleavages, relative charges, and other experimental factors.

Packaging, Storage & Formulations

Storage
Store at 4C short term. Aliquot and store at -20C long term. Avoid freeze-thaw cycles.
Buffer
TBS (pH7.4), 0.05% BSA, 40% Glycerol
Preservative
0.05% Sodium Azide
Concentration
1 mg/ml
Purity
Protein A purified

Alternate Names for PUM1 Antibody (JG37-75)

  • HSPUM
  • KIAA0099PUML1
  • PUM1
  • PUMH
  • PUMH1
  • PUMH1pumilio homolog 1
  • pumilio (Drosophila) homolog 1
  • pumilio homolog 1 (Drosophila)
  • Pumilio-1
  • PUML1

Background

Pumilio-1 encodes a member of the PUF family, evolutionarily conserved RNA-binding proteins related to the Pumilio proteins of Drosophila and the fem-3 mRNA binding factor proteins of C. elegans. The encoded protein contains a sequence-specific RNA binding domain comprised of eight repeats and N- and C-terminal flanking regions, and serves as a translational regulator of specific mRNAs by binding to their 3' untranslated regions. The evolutionarily conserved function of the encoded protein in invertebrates and lower vertebrates suggests that the human protein may be involved in translational regulation of embryogenesis, and cell development and differentiation. Alternatively spliced transcript variants encoding different isoforms have been described. [provided by RefSeq]

Limitations

This product is for research use only and is not approved for use in humans or in clinical diagnosis. Primary Antibodies are guaranteed for 1 year from date of receipt.

Customers Who Viewed This Item Also Viewed...

NB100-387
Species: Hu, Mu, Rt
Applications: IP, WB
NB120-22711
Species: Hu, Mu
Applications: ELISA, Flow, ICC/IF, IHC, IHC-Fr,  IHC-P
NB300-221
Species: Av, Bv, Ca, Ch, ChHa, Dr, Eq, Fe, Ha, Hu, Mu, Ma-Op, Po, Pm, Rb, Rt, Sh, Ze
Applications: ChIP, ICC/IF, IHC, IHC-Fr, IP, KD, Simple Western, Single-Cell Western, WB
H00004831-M06
Species: Hu, Mu, Rt
Applications: ELISA, ICC/IF, IHC,  IHC-P, IP, S-ELISA, WB
NB100-56511
Species: Hu, Mu
Applications: Flow, ICC/IF, IHC, IHC-Fr,  IHC-P, IP, KD, KO, WB
NB600-501
Species: Bv, Ca, Ch, Dr(-), Fe, Fi, Gt, Gp, Ha, Hu, Le, Ma, Mu, Po, Pm, Rb, Rt, Sh, Sq, Tr, Ze
Applications: ChIP, ELISA, Flow, ICC/IF, IHC, IHC-Fr,  IHC-P, IP, KD, KO, Simple Western, WB
NBP1-87799
Species: Hu, Mu, Rt
Applications: ICC/IF, IHC,  IHC-P, WB
NB100-64792
Species: Hu
Applications: ELISA, Flow, ICC/IF, IHC, IHC-Fr,  IHC-P, WB
NB500-317
Species: Bv(-), Ca(-), Ch(-), Hu, Mu(-), Rb(-)
Applications: ELISA, Flow, ICC/IF, IHC,  IHC-P, IP, RIA, WB
NBP2-97473
Species: Hu
Applications: IHC,  IHC-P, IP, WB
NBP3-26876
Species: Hu
Applications: IHC,  IHC-P
AF1230
Species: Hu, Mu, Rt
Applications: IHC, KO, WB
NBP1-76365
Species: Hu, Mu, Rt
Applications: ELISA, WB
NBP1-87511
Species: Hu
Applications: ICC/IF, IHC,  IHC-P, WB
NBP1-80851
Species: Hu, Mu, Rt
Applications: IHC,  IHC-P, WB
NBP1-88000
Species: Hu, Mu, Rt
Applications: ICC/IF, IHC,  IHC-P, KD, WB
NBP2-47561
Species: Hu
Applications: ICC/IF, IHC,  IHC-P, WB
NBP1-30993
Species: Ha, Hu, Mu, Rt
Applications: ICC/IF, IHC,  IHC-P, KD, WB
NBP1-33527
Species: Hu, Mu, Rt
Applications: ICC/IF, IHC,  IHC-P, KO, Simple Western, WB
DRB400
Species: Hu
Applications: ELISA

Publications for PUM1 Antibody (NBP2-75638) (0)

There are no publications for PUM1 Antibody (NBP2-75638).
By submitting your publication information earn gift cards and discounts for future purchases.

Reviews for PUM1 Antibody (NBP2-75638) (0)

There are no reviews for PUM1 Antibody (NBP2-75638). By submitting a review you will receive an Amazon e-Gift Card or Novus Product Discount.
  • Review with no image -- $10/€7/£6/$10 CAD/¥70 Yuan/¥1110 Yen
  • Review with an image -- $25/€18/£15/$25 CAD/¥150 Yuan/¥2500 Yen

Product General Protocols

Video Protocols

WB Video Protocol
ICC/IF Video Protocol

FAQs for PUM1 Antibody (NBP2-75638) (0)

There are no specific FAQs related to this product. Read our general customer & technical service FAQs.

Secondary Antibodies

 

Isotype Controls

Additional PUM1 Products

Research Areas for PUM1 Antibody (NBP2-75638)

Find related products by research area.

Blogs on PUM1

There are no specific blogs for PUM1, but you can read our latest blog posts.

Contact Information

Product PDFs

Calculators

Concentration Calculator

The concentration calculator allows you to quickly calculate the volume, mass or concentration of your vial. Simply enter your mass, volume, or concentration values for your reagent and the calculator will determine the rest.

=
÷

Review this Product

Be the first to review our PUM1 Antibody (JG37-75) and receive a gift card or discount.

Bioinformatics

Gene Symbol PUM1