PTEN Antibody (1C3)

Images

 
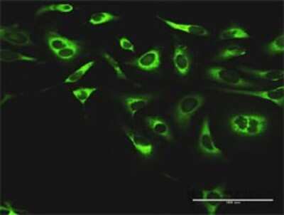
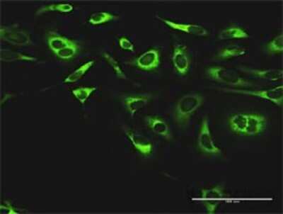
Immunocytochemistry/ Immunofluorescence: PTEN Antibody (1C3) [H00005728-M13] - Analysis of monoclonal antibody to PTEN on HeLa cell. Antibody concentration 10 ug/ml
Immunoprecipitation: PTEN Antibody (1C3) [H00005728-M13] - Analysis of PTEN transfected lysate using anti-PTEN monoclonal antibody and Protein A Magnetic Bead, and immunoblotted with PTEN rabbit polyclonal antibody.

Product Details

Summary
Product Discontinued
View other related PTEN Primary Antibodies

Order Details


    • Catalog Number
      H00005728-M13
    • Availability
      Product Discontinued

    Can't find what you are looking for? Use our Antibody Concierge Service & we will help you locate your antibody!

    Or feel free to contact us for alternative products.

PTEN Antibody (1C3) Summary

Description
Quality control test: Antibody Reactive Against Recombinant Protein.
Immunogen
PTEN (NP_000305.1, 2 a.a. ~ 91 a.a) partial recombinant protein with GST tag. MW of the GST tag alone is 26 KDa. TAIIKEIVSRNKRRYQEDGFDLDLTYIYPNIIAMGFPAERLEGVYRNNIDDVVRFLDSKHKNHYKIYNLCAERHYDTAKFNCRVAQYPFE
Specificity
PTEN - phosphatase and tensin homolog (mutated in multiple advanced cancers 1) (1C3)
Isotype
IgG2a Kappa
Clonality
Monoclonal
Host
Mouse
Gene
PTEN
Purity
IgG purified
Innovator's Reward
Test in a species/application not listed above to receive a full credit towards a future purchase.

Applications/Dilutions

Dilutions
  • ELISA
  • Immunocytochemistry/ Immunofluorescence
  • Immunoprecipitation
  • Western Blot 1:500
Application Notes
Antibody reactivity against Recombinant Protein with GST tag on ELISA and WB. GST tag alone is used as a negative control.

Packaging, Storage & Formulations

Storage
Aliquot and store at -20C or -80C. Avoid freeze-thaw cycles.
Buffer
In 1x PBS, pH 7.4
Preservative
No Preservative
Purity
IgG purified

Notes

This product is produced by and distributed for Abnova, a company based in Taiwan.

Alternate Names for PTEN Antibody (1C3)

  • BZS
  • EC 3.1.3.16,10q23del
  • EC 3.1.3.48
  • EC 3.1.3.67
  • GLM2
  • MMAC1 phosphatase and tensin homolog deleted on chromosome 10
  • MMAC1
  • MMAC1MGC11227
  • Mutated in multiple advanced cancers 1
  • phosphatase and tensin homologDEC
  • phosphatidylinositol-34,5-trisphosphate 3-phosphatase and dual-specificityprotein phosphatase PTEN
  • PTEN
  • PTEN1
  • TEP1MHAM

Background

This gene was identified as a tumor suppressor that is mutated in a large number of cancers at high frequency. The protein encoded this gene is a phosphatidylinositol-3,4,5-trisphosphate 3-phosphatase. It contains a tensin like domain as well as a catalytic domain similar to that of the dual specificity protein tyrosine phosphatases. Unlike most of the protein tyrosine phosphatases, this protein preferentially dephosphorylates phosphoinositide substrates. It negatively regulates intracellular levels of phosphatidylinositol-3,4,5-trisphosphate in cells and functions as a tumor suppressor by negatively regulating AKT/PKB signaling pathway. [provided by RefSeq]

Limitations

This product is for research use only and is not approved for use in humans or in clinical diagnosis. Primary Antibodies are guaranteed for 1 year from date of receipt.

Customers Who Viewed This Item Also Viewed...

AF887
Species: Hu, Mu, Rt
Applications: CyTOF-ready, IHC, ICFlow, Simple Western, WB
NBP2-19804
Species: Hu, Mu
Applications: ICC/IF, IHC,  IHC-P, WB
NBP2-15071
Species: Hu, Mu, Rt
Applications: ICC/IF, IHC,  IHC-P, KO, WB
NBP2-46404
Species: Hu, Mu, Rt
Applications: IHC,  IHC-P
AF231
Species: Hu
Applications: CyTOF-ready, Dual ISH-IHC, ELISA(Cap), ELISA(Det), ELISA(Sta), Flow, ICC, IHC, IP, Simple Western, WB
NB600-607
Species: Hu, Rt
Applications: ELISA, IHC,  IHC-P, WB
NB200-103
Species: Hu, Mu, Rt, Xp(-), Ye
Applications: CyTOF-ready, ELISA, Flow-IC, Flow, ICC/IF, IHC, IHC-Fr,  IHC-P, IP, WB
NB200-106
Species: Mu, Rt
Applications: ELISA, ICC/IF, IHC, IHC-Fr,  IHC-P, WB
MAB6210
Species: Hu
Applications: Simple Western, WB
1129-ER
Species: Hu
Applications: BA
AF1230
Species: Hu, Mu, Rt
Applications: IHC, KO, WB
NBP2-29463
Species: Pm, Hu, Pm, Mu
Applications: Flow, ICC/IF, IHC,  IHC-P, WB
DVE00
Species: Hu
Applications: ELISA
MAB1417
Species: Bv, Hu, Mu
Applications: ICC, IHC
H00003845-M01
Species: Hu, Mu
Applications: ELISA, ICC/IF, IP, WB
NBP2-32840
Species: Hu, Pm, Mu, Rt
Applications: Flow, ICC/IF, IHC,  IHC-P, WB
NBP1-47668
Species: Hu, Pm, Mu, Rt
Applications: Flow, ICC/IF, IHC,  IHC-P, IP, WB
NBP1-90949
Species: Hu
Applications: IHC,  IHC-P, WB
H00005728-M13
Species: Hu
Applications: WB, ELISA, ICC/IF, IP

Publications for PTEN Antibody (H00005728-M13) (0)

There are no publications for PTEN Antibody (H00005728-M13).
By submitting your publication information earn gift cards and discounts for future purchases.

Reviews for PTEN Antibody (H00005728-M13) (0)

There are no reviews for PTEN Antibody (H00005728-M13). By submitting a review you will receive an Amazon e-Gift Card or Novus Product Discount.
  • Review with no image -- $10/€7/£6/$10 CAD/¥70 Yuan/¥1110 Yen
  • Review with an image -- $25/€18/£15/$25 CAD/¥150 Yuan/¥2500 Yen

Product General Protocols

Find general support by application which include: protocols, troubleshooting, illustrated assays, videos and webinars.

Video Protocols

WB Video Protocol
ICC/IF Video Protocol

FAQs for PTEN Antibody (H00005728-M13) (0)

There are no specific FAQs related to this product. Read our general customer & technical service FAQs.

Secondary Antibodies

 

Isotype Controls

Additional PTEN Products

Research Areas for PTEN Antibody (H00005728-M13)

Find related products by research area.

Blogs on PTEN.

Autophagy Research Update: What a difference a year makes!
By Christina Towers, PhD Over the last two decades the field of autophagy has exploded! Innovative techniques, comprehensive analysis and disease-relevant models have yielded basic and clinical discoveries of conseque...  Read full blog post.

Neurovascular signaling for repair enhances brain metastasis
By Jamshed Arslan, Pharm. D., PhD. Stroke    is a leading cause of mortality and morbidity worldwide. Cellular players – neurons, astrocytes, endothelial and stromal cells – involved in post-stroke repair t...  Read full blog post.

Developmental regulator Daam2 promotes glial cell tumors by degrading Von Hippel-Lindau protein
By Jamshed Arslan Pharm.D. Glioblastoma is an aggressive type of cancer that forms from the star-shaped glial cells of the central nervous system, called astrocytes. Intriguingly, several genes linked to glioblasto...  Read full blog post.

The effects of curcumin on IKB Alpha and the NFkB signaling pathway
The IKK complex, or inhibitor of NFkB kinase, is composed of IKK alpha and IKK beta.  These kinases are at the core of the NFkB signaling cascade.  The NFkB family is made up of transcription factors that are kept inactive in the cytoplasm through...  Read full blog post.

Carbonic anhydrase IX (CAIX) - a reliable histochemical marker of hypoxia
Carbonic anhydrase IX is a member of the carbonic anhydrase family. This family consists of catalytic enzymes capable of converting carbon dioxide and water into carbonic acid, protons, and bicarbonate ions. This family of molecules is abundantly e...  Read full blog post.

CAIX - One of the Best Cellular Markers of Hypoxia
The protein, carbonic anhydrase IX, belongs to the carbonic anhydrase family which consists of enzymes that rapidly convert carbon dioxide and water into the end products of carbonic acid, protons, and bicarbonate ions. These enzymes play a widespread...  Read full blog post.

Getting SHIP-shape Over Tumour Suppression
PTEN antibodies have shown PTEN to be an important tumor suppressor and, in mutated form, a factor in cancer development. However, a recent study, led by Robert Rickert, shows that the SHIP gene may also be an important tumor suppressor in B-cell lymp...  Read full blog post.

PTEN Antibodies and Cancer Research
Phosphatase and tensin homologue (PTEN) antibodies are important tools for cancer research. PTEN is an important tumor suppressor but, in mutated form, is also expressed in a high number of cancers. We at Novus Biologicals have a wide PTEN antibody da...  Read full blog post.

Contact Information

Product PDFs

Calculators

Concentration Calculator

The concentration calculator allows you to quickly calculate the volume, mass or concentration of your vial. Simply enter your mass, volume, or concentration values for your reagent and the calculator will determine the rest.

=
÷

Review this Product

Be the first to review our PTEN Antibody (1C3) and receive a gift card or discount.

Bioinformatics

Gene Symbol PTEN
Entrez
Uniprot