Prox1 Antibody (CL13472) - Azide and BSA Free

Images

 
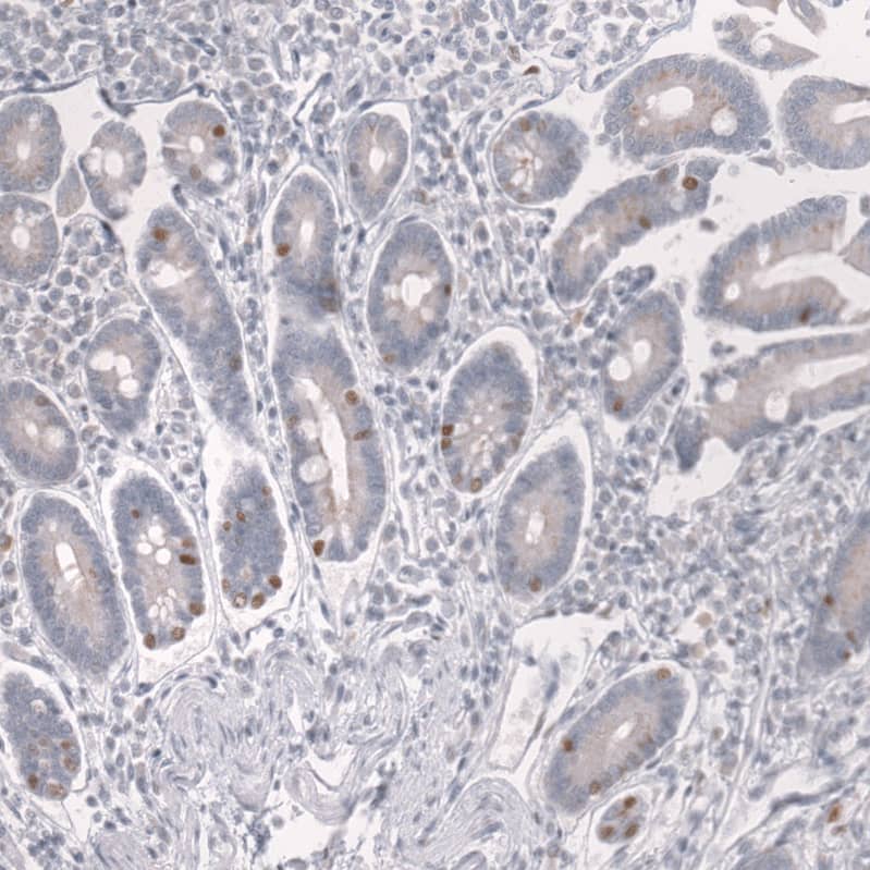
Staining of human duodenum shows moderate nuclear positivity in a subset of glandular cells.
Staining of human pancreas shows weak to moderate nuclear positivity in exocrine glandular cells.
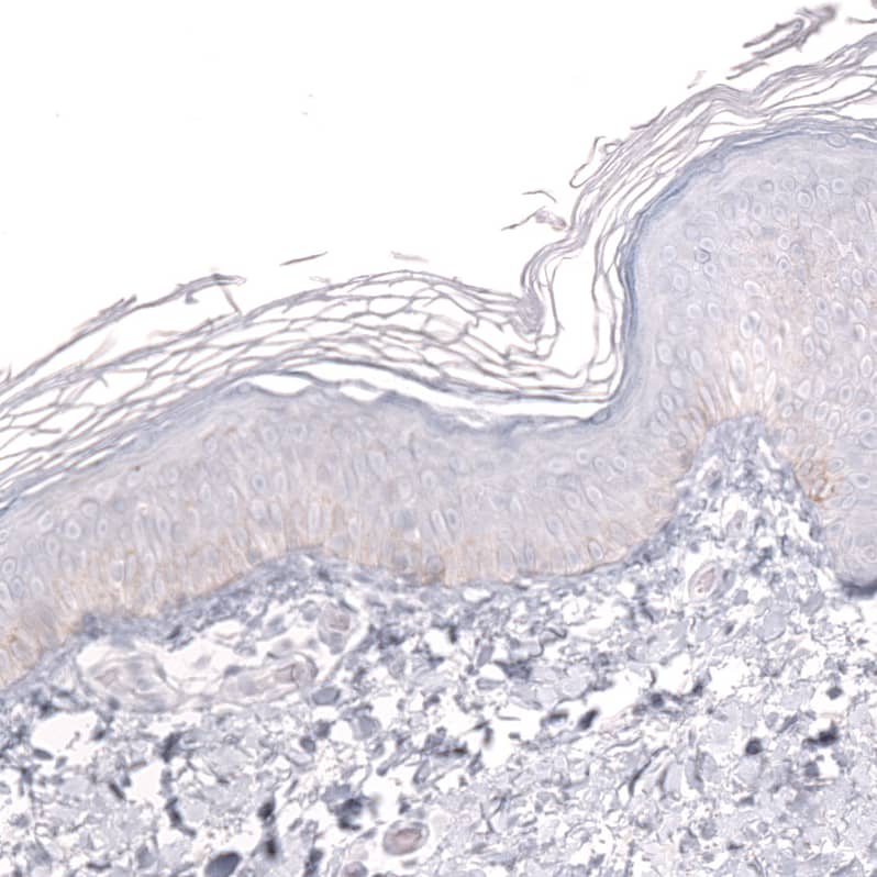
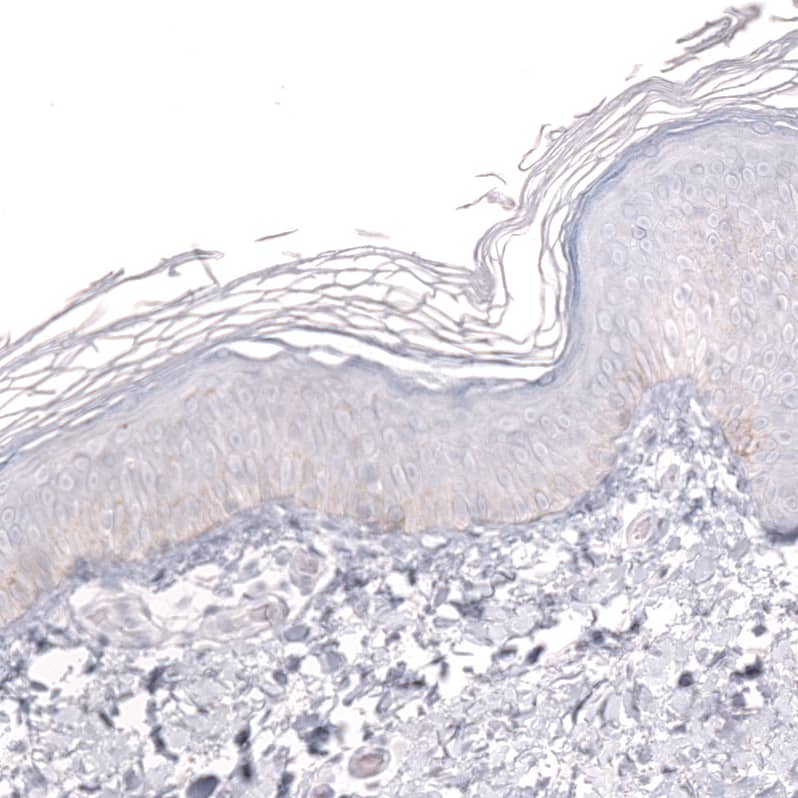
Staining of human skin shows no positivity in squamous epithelial cells as expected.
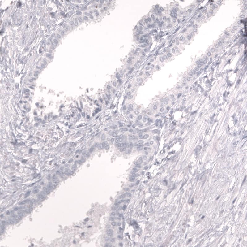
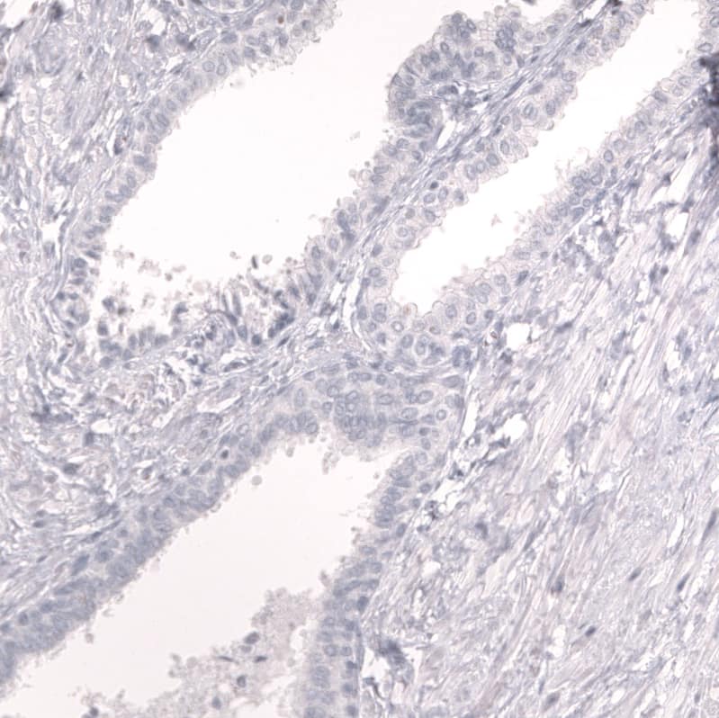
Staining of human prostate shows no positivity in glandular cells as expected.
Staining of mouse hippocampus shows strong nuclear positivity in the granular cell layer of the dentate gyrus.
Analysis in human cell line SH-SY5Y.
Staining of rat hippocampus shows strong nuclear positivity in the granular cell layer of the dentate gyrus.

Product Details

Summary
Reactivity Hu, Mu, RtSpecies Glossary
Applications WB, IHC
Clone
CL13472
Clonality
Monoclonal
Host
Mouse
Conjugate
Unconjugated
Format
Azide and BSA Free
Concentration
LYOPH

Order Details

Prox1 Antibody (CL13472) - Azide and BSA Free Summary

Description
Novus Biologicals Mouse Prox1 Antibody (CL13472) - Azide and BSA Free (NBP3-24560) is a monoclonal antibody validated for use in IHC and WB. All Novus Biologicals antibodies are covered by our 100% guarantee.
Immunogen
This antibody was generated using a recombinant protein sequence of Q92786, with the exact immunogen sequence remaining proprietary.
Isotype
IgG1
Clonality
Monoclonal
Host
Mouse
Gene
PROX1
Purity
Protein A purified
Innovator's Reward
Test in a species/application not listed above to receive a full credit towards a future purchase.

Applications/Dilutions

Dilutions
  • Immunohistochemistry-Paraffin 1:50 - 1:200
  • Western Blot 1 ug/ml
Application Notes
For IHC-Paraffin, we recommend using Heat-Induced Epitope Retrieval (HIER) with a pH level of 6. This optimized retrieval method ensures the best results for your experiments.

Packaging, Storage & Formulations

Storage
Store at 4C short term. Aliquot and store at -20C long term. Avoid freeze-thaw cycles.
Buffer
Lyophilized from a 0.2 um filtered solution in PBS with Trehalose
Preservative
No Preservative
Concentration
LYOPH
Purity
Protein A purified
Reconstitution Instructions
Centrifuge the vial of lyophilized antibody at 12,000 x g for 20 seconds. Reconstitute by adding sterile, distilled water to achieve a final antibody concentration of 1mg/ml.

Alternate Names for Prox1 Antibody (CL13472) - Azide and BSA Free

  • Homeobox prospero-like protein PROX1
  • prospero homeobox 1
  • prospero homeobox protein 1
  • prospero-related homeobox 1
  • Prox1
  • PROX-1

Background

PROX1 may play a fundamental role in early development of CNS. May regulate gene expression and development of postmitotic undifferentiated young neurons. PROX1 antibodies are also used as a highly specific marker of lymphatic endothelial cells.

Limitations

This product is for research use only and is not approved for use in humans or in clinical diagnosis. Primary Antibodies are guaranteed for 1 year from date of receipt.

Customers Who Viewed This Item Also Viewed...

AF743
Species: Mu
Applications: CyTOF-ready, Flow, WB
AF2125
Species: Mu
Applications: Dual ISH-IHC, IHC, WB
DVEC00
Species: Hu
Applications: ELISA
AF8150
Species: Hu
Applications: ICC, ICFlow, Simple Western, WB
AF3244
Species: Mu
Applications: IHC, Simple Western, WB
NBP1-89917
Species: Hu
Applications: ICC/IF, IHC,  IHC-P, WB
DVE00
Species: Hu
Applications: ELISA
802-HC/CF
Species: Hu
Applications: BA, BA
NBP2-27196
Species: Bv, Ca, Ch, ChHa, Eq, Gp, Hu, Mu, Ma-Op, Po, Pm, Rb, Rt, RM, Ze
Applications: IHC,  IHC-P, KD, WB
NBP2-24551
Species: Bv, Hu, Mu, Rt
Applications: IHC,  IHC-P, WB
AF2018
Species: Hu, Mu, Rt
Applications: ChIP, ICC, IHC, Simple Western, WB
H00006496-M04
Species: Hu
Applications: ELISA, WB
H00011151-M01
Species: Hu, Mu
Applications: ELISA, ICC/IF, IHC,  IHC-P, S-ELISA, WB
NB110-41083
Species: Hu
Applications: ELISA, WB
AF3628
Species: Hu, Mu, Rt
Applications: CyTOF-ready, Flow, ICC, IHC, Simple Western, WB
MAB1417
Species: Bv, Hu, Mu
Applications: ICC, IHC
NBP3-10932
Species: Hu
Applications: IHC, WB
DVED00
Species: Hu
Applications: ELISA
AF2567
Species: Mu
Applications: IHC, WB
NBP3-43858
Species: Hu, Mu, Rt
Applications: WB, IHC

Publications for Prox1 Antibody (NBP3-43858) (0)

There are no publications for Prox1 Antibody (NBP3-43858).
By submitting your publication information earn gift cards and discounts for future purchases.

Reviews for Prox1 Antibody (NBP3-43858) (0)

There are no reviews for Prox1 Antibody (NBP3-43858). By submitting a review you will receive an Amazon e-Gift Card or Novus Product Discount.
  • Review with no image -- $10/€7/£6/$10 CAD/¥70 Yuan/¥1110 Yen
  • Review with an image -- $25/€18/£15/$25 CAD/¥150 Yuan/¥2500 Yen

Product General Protocols

Find general support by application which include: protocols, troubleshooting, illustrated assays, videos and webinars.

Video Protocols

WB Video Protocol

FAQs for Prox1 Antibody (NBP3-43858) (0)

There are no specific FAQs related to this product. Read our general customer & technical service FAQs.

Secondary Antibodies

 

Isotype Controls

Additional Prox1 Products

Research Areas for Prox1 Antibody (NBP3-43858)

Find related products by research area.

Blogs on Prox1.


  Read full blog post.

Podoplanin (OST8, Glycoprotein (Gp) 36 or 38, Lung Type I Cell Membrane Associated Glycoprotein)
Podoplanin is a mucin-type 1 transmembrane glycoprotein found in a wide range of tissues. It appears to be differentially expressed in endothelial cells of lymphatic but not blood vessel origin. In normal skin and kidney, podoplanin co-localizes with ...  Read full blog post.

Customers Who Bought This Also Bought

Contact Information

Product PDFs

Calculators

Concentration Calculator

The concentration calculator allows you to quickly calculate the volume, mass or concentration of your vial. Simply enter your mass, volume, or concentration values for your reagent and the calculator will determine the rest.

=
÷

Review this Product

Be the first to review our Prox1 Antibody (CL13472) - Azide and BSA Free and receive a gift card or discount.

Bioinformatics

Gene Symbol PROX1