Profilin 1 Antibody (CL3524) - Azide and BSA Free

Images

 
Staining of human fallopian tube shows strong cytoplasmic positivity in glandular cells.
Staining of human liver shows strong cytoplasmic positivity in leukocytes.
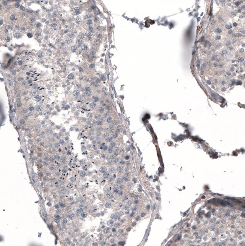
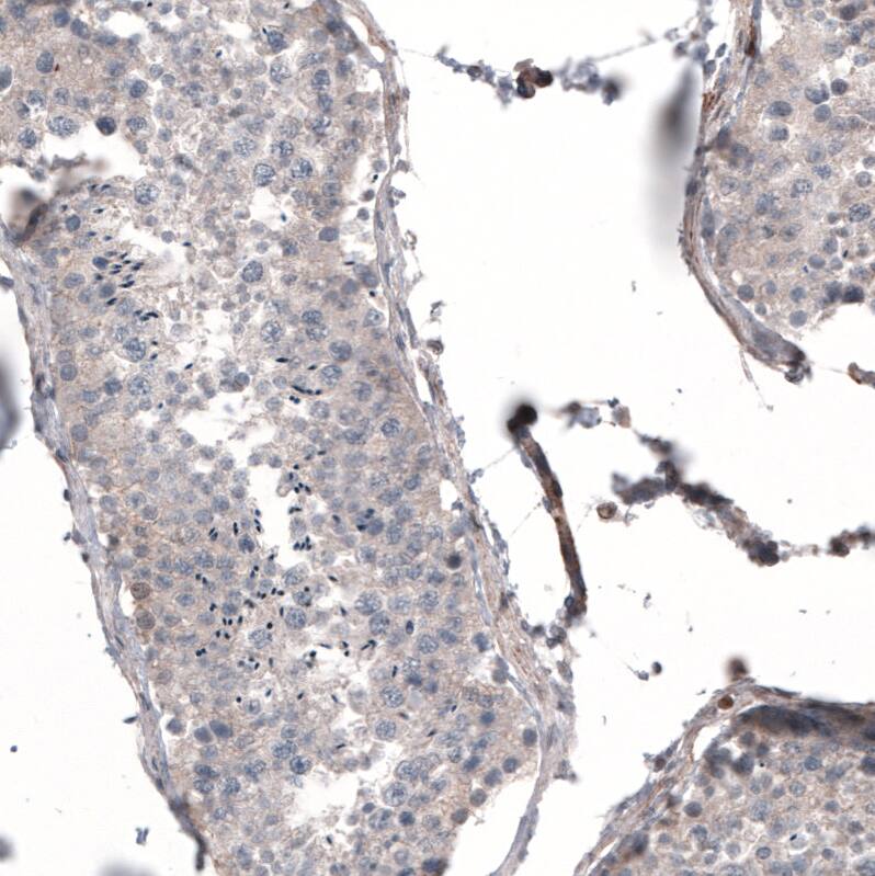
Staining of human testis shows very weak cytoplasmic positivity in cells in seminiferous ducts.
Genetic Strategies: Analysis in U-251MG cells transfected with control siRNA, target specific siRNA probe #1 and #2, using Anti-Profilin 1 antibody. Remaining relative intensity is presented. Loading control: ...read more
Staining of human tonsil shows strong cytoplasmic positivity in germinal and non-germinal center cells.
Analysis in human cell line HeLa, human cell line HEK 293, human cell line A-431 and human cell line HepG2.

Product Details

Summary
Reactivity HuSpecies Glossary
Applications WB, IHC
Clone
CL3524
Clonality
Monoclonal
Host
Mouse
Conjugate
Unconjugated
Format
Azide and BSA Free
Concentration
LYOPH
Validated by:
     

Genetic Strategies

   

Order Details

Profilin 1 Antibody (CL3524) - Azide and BSA Free Summary

Description
Novus Biologicals Mouse Profilin 1 Antibody (CL3524) - Azide and BSA Free (NBP2-59778) is a monoclonal antibody validated for use in IHC and WB. All Novus Biologicals antibodies are covered by our 100% guarantee.
Immunogen
This antibody was generated using a recombinant protein sequence of P07737, with the exact immunogen sequence remaining proprietary.
Isotype
IgG2a
Clonality
Monoclonal
Host
Mouse
Gene
PFN1
Purity
Protein A purified
Innovator's Reward
Test in a species/application not listed above to receive a full credit towards a future purchase.

Applications/Dilutions

Dilutions
  • Immunohistochemistry-Paraffin 1:1000 - 1:2500
  • Western Blot 1 ug/ml
Application Notes
For IHC-Paraffin, HIER pH 6 retrieval is recommended.

Packaging, Storage & Formulations

Storage
Store at 4C short term. Aliquot and store at -20C long term. Avoid freeze-thaw cycles.
Buffer
Lyophilized from a 0.2 um filtered solution in PBS with Trehalose
Preservative
No Preservative
Concentration
LYOPH
Purity
Protein A purified
Reconstitution Instructions
Centrifuge the vial of lyophilized antibody at 12,000 x g for 20 seconds. Reconstitute by adding sterile, distilled water to achieve a final antibody concentration of 1mg/ml.

Alternate Names for Profilin 1 Antibody (CL3524) - Azide and BSA Free

  • PFN1
  • PROF1
  • Profilin 1
  • Profilin I
  • profilin-1

Background

Profilin is an ubiquitous small (12-15 kDa) phosphoinositides and poly-L-proline binding protein that plays a role both in signal transduction pathways and actin filament dynamics. There are two mammalian profilins with similar biochemical properties but different expression patterns. Whereas profilin I appears to be highly expressed in most tissues except for skeletal muscle, profilin II is predominantly expressed in brain and at lower levels. It is also in expressed in skeletal muscle, the uterus and kidneys. Profilin is a mainly cytosolic protein with higher concentrations in dynamic membrane areas like the leading edge and ruffling membranes.

Limitations

This product is for research use only and is not approved for use in humans or in clinical diagnosis. Primary Antibodies are guaranteed for 1 year from date of receipt.

Customers Who Viewed This Item Also Viewed...

NBP1-87426
Species: Hu, Mu, Rt
Applications: ICC/IF, IHC,  IHC-P, WB
NBP2-00555
Species: Hu, Mu, Rt
Applications: Flow, ICC/IF, IHC,  IHC-P, WB
NBP1-87914
Species: Hu, Mu, Rt
Applications: ICC/IF, IHC,  IHC-P, WB
H00010097-M01
Species: Hu
Applications: ELISA, IHC,  IHC-P, S-ELISA, WB
NB300-996
Species: Hu
Applications: Flow, ICC/IF, IHC,  IHC-P, PEP-ELISA, WB
NBP1-82512
Species: Hu, Mu, Rt
Applications: ICC/IF, IHC,  IHC-P, KD, Simple Western, WB
NBP1-33177
Species: Hu, Mu, Rt
Applications: ICC/IF, IHC,  IHC-P, KO, WB
AF1444
Species: Mu
Applications: IHC, WB
AF231
Species: Hu
Applications: CyTOF-ready, Dual ISH-IHC, ELISA(Cap), ELISA(Det), ELISA(Sta), Flow, ICC, IHC, IP, Simple Western, WB
NBP1-30955
Species: Hu, Mu
Applications: ICC/IF, IHC,  IHC-P, WB
NBP1-32870
Species: Ch, Hu
Applications: IHC,  IHC-P, IP, KD, WB
NB600-501
Species: Bv, Ca, Ch, Dr(-), Fe, Fi, Gt, Gp, Ha, Hu, Le, Ma, Mu, Po, Pm, Rb, Rt, Sh, Sq, Tr, Ze
Applications: ChIP, ELISA, Flow, ICC/IF, IHC, IHC-Fr,  IHC-P, IP, KD, KO, Simple Western, WB
NBP1-58359
Species: Hu
Applications: IHC,  IHC-P, WB
NBP2-25160
Species: Bv, Ca, Eq, Hu, Mu, Po, Rt
Applications: ICC/IF, IHC, WB
NB600-231
Species: Hu
Applications: IHC,  IHC-P, KD, WB
AF887
Species: Hu, Mu, Rt
Applications: CyTOF-ready, IHC, ICFlow, Simple Western, WB
NBP3-48674
Species: Hu, Mu, Rt, Ze
Applications: ICC/IF, IHC,  IHC-P, WB
NBP2-00527
Species: Ca, Hu, Pm, Mu, Pm
Applications: Flow, ICC/IF, IHC,  IHC-P, WB
NBP2-22203
Species: Hu, Pm, Mu, Rt
Applications: ELISA, Flow, ICC/IF, IHC,  IHC-P, WB
AF5866
Species: Hu
Applications: IHC, WB

Publications for Profilin 1 Antibody (NBP3-43957) (0)

There are no publications for Profilin 1 Antibody (NBP3-43957).
By submitting your publication information earn gift cards and discounts for future purchases.

Reviews for Profilin 1 Antibody (NBP3-43957) (0)

There are no reviews for Profilin 1 Antibody (NBP3-43957). By submitting a review you will receive an Amazon e-Gift Card or Novus Product Discount.
  • Review with no image -- $10/€7/£6/$10 CAD/¥70 Yuan/¥1110 Yen
  • Review with an image -- $25/€18/£15/$25 CAD/¥150 Yuan/¥2500 Yen

Product General Protocols

Find general support by application which include: protocols, troubleshooting, illustrated assays, videos and webinars.

Video Protocols

WB Video Protocol

FAQs for Profilin 1 Antibody (NBP3-43957) (0)

There are no specific FAQs related to this product. Read our general customer & technical service FAQs.

Secondary Antibodies

 

Isotype Controls

Additional Profilin 1 Products

Research Areas for Profilin 1 Antibody (NBP3-43957)

Find related products by research area.

Blogs on Profilin 1.

Profiling the Profilin 1 Antibody
Profilin-1, or Pfn-1, is a small actin-binding protein which plays an essential role controlling the growth of microfilaments. Profilin 1 and Profilin 2 have similar biochemical properties but are expressed in different tissues. The Profilin 1 antibod...  Read full blog post.

Customers Who Bought This Also Bought

Contact Information

Product PDFs

Calculators

Concentration Calculator

The concentration calculator allows you to quickly calculate the volume, mass or concentration of your vial. Simply enter your mass, volume, or concentration values for your reagent and the calculator will determine the rest.

=
÷

Review this Product

Be the first to review our Profilin 1 Antibody (CL3524) - Azide and BSA Free and receive a gift card or discount.

Bioinformatics

Gene Symbol PFN1