Podoplanin Antibody (rPDPN/6994) - Azide and BSA Free

Images

 
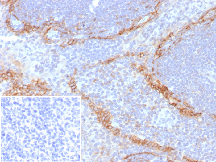
Formalin-fixed, paraffin-embedded human tonsil stained with Podoplanin antibody (rPDPN/6994). Inset: PBS instead of primary antibody; secondary only negative control.
Western blot analysis of human Lung tissue lysate using Podoplanin Antibody (rPDPN/6994) - Azide and BSA Free.

Product Details

Summary
Reactivity HuSpecies Glossary
Applications IHC
Clone
rPDPN/6994
Clonality
Monoclonal
Host
Mouse
Conjugate
Unconjugated
Format
Azide and BSA Free
Concentration
1 mg/ml

Order Details

Podoplanin Antibody (rPDPN/6994) - Azide and BSA Free Summary

Description
Positive Controls: HeLa cells. Human cervical or lung carcinoma.

Antibody with azide - store at 2 to 8C. Antibody without azide - store at -20 to -80C. Non-hazardous. No MSDS required.
Additional Information
Recombinant Monoclonal Antibody
Immunogen
Recombinant human Podoplanin protein fragment (around aa 1-100) (exact sequence is proprietary)
Localization
Cell Surface. Cytoplasm.
Isotype
IgG1 Kappa
Clonality
Monoclonal
Host
Mouse
Gene
PDPN
Purity
Protein A or G purified
Innovator's Reward
Test in a species/application not listed above to receive a full credit towards a future purchase.

Applications/Dilutions

Dilutions
  • Immunohistochemistry-Paraffin 1-2 ug/ml
Application Notes
Immunohistochemistry (Formalin-fixed): 1-2ug/ml for 30 minutes. at RT. Staining of formalin-fixed tissues requires heating tissue sections in 10mM Tris with 1mM EDTA, pH 9.0, for 45 min at 95C followed by cooling at RT for 20 minutes.

Optimal dilution for a specific application should be determined.

Packaging, Storage & Formulations

Storage
Store at -20 to -70C. Avoid freeze-thaw cycles.
Buffer
10mM PBS
Preservative
No Preservative
Concentration
1 mg/ml
Purity
Protein A or G purified

Alternate Names for Podoplanin Antibody (rPDPN/6994) - Azide and BSA Free

  • 36-KD
  • Aggrus
  • Gp36
  • Gp38
  • GP40
  • HT1A-1
  • hT1alpha-1
  • hT1alpha-2
  • lung type I cell membrane associated glycoprotein
  • lung type-I cell membrane-associated glycoprotein (T1A-2)
  • OTS 8
  • OTS8
  • PA2.26 antigen
  • PDPN
  • Podoplanin
  • RANDAM-2
  • T1A
  • T1A-2
  • T1-alpha

Background

Podoplanin is a well-recognized lymphatic endothelium marker, which can be used to reliably distinguish lymphatic vessels from blood vessels. Podoplanin is a 38 kDa membrane mucoprotein that was originally detected on the surface of rat glomerular epithelial cells (podocytes) and was found to be linked to flattening of foot processes that occurs in glomerular diseases. Podoplanin shows features of a membrane mucoprotein with several conserved O-glycosylation sites. Currently, it is of unknown biological function. Because heavily O-glycosylated mucoproteins were identified recently as counterreceptors for selectins that mediate adhesion of inflammatory cells, it is possible that podoplanin plays a similar role in lymphatic endothelia.

Limitations

This product is for research use only and is not approved for use in humans or in clinical diagnosis. Primary Antibodies are guaranteed for 1 year from date of receipt.

Customers Who Viewed This Item Also Viewed...

AF2125
Species: Mu
Applications: Dual ISH-IHC, IHC, WB
DVEC00
Species: Hu
Applications: ELISA
NBP2-92630
Species: Hu, Mu, Rt
Applications: ELISA, ICC/IF, IHC,  IHC-P, WB
AF743
Species: Mu
Applications: CyTOF-ready, Flow, WB
AF1718
Species: Hu, Mu, Rt
Applications: WB
DKK300
Species: Hu
Applications: ELISA
AF3628
Species: Hu, Mu, Rt
Applications: CyTOF-ready, Flow, ICC, IHC, Simple Western, WB
NB110-41083
Species: Hu
Applications: ChIP, ELISA, ICC/IF, WB
AF4117
Species: Rt
Applications: IHC, WB
NBP1-89284
Species: Hu, Po
Applications: ICC/IF, IHC,  IHC-P, KD, WB
DVE00
Species: Hu
Applications: ELISA
DVED00
Species: Hu
Applications: ELISA
H00005324-M02
Species: Hu, Mu
Applications: ELISA, IHC,  IHC-P, WB
NBP1-32920
Species: Hu, Mu
Applications: ICC/IF, IHC,  IHC-P, KD, WB
AF4036
Species: Hu
Applications: Simple Western, WB
NBP3-48658
Species: Ca, Fe, Hu, Mu, Rt, Ze
Applications: ICC/IF, IHC,  IHC-P, WB

Publications for Podoplanin Antibody (NBP3-20917) (0)

There are no publications for Podoplanin Antibody (NBP3-20917).
By submitting your publication information earn gift cards and discounts for future purchases.

Reviews for Podoplanin Antibody (NBP3-20917) (0)

There are no reviews for Podoplanin Antibody (NBP3-20917). By submitting a review you will receive an Amazon e-Gift Card or Novus Product Discount.
  • Review with no image -- $10/€7/£6/$10 CAD/¥70 Yuan/¥1110 Yen
  • Review with an image -- $25/€18/£15/$25 CAD/¥150 Yuan/¥2500 Yen

Product General Protocols

Find general support by application which include: protocols, troubleshooting, illustrated assays, videos and webinars.

FAQs for Podoplanin Antibody (NBP3-20917) (0)

There are no specific FAQs related to this product. Read our general customer & technical service FAQs.

Secondary Antibodies

 

Isotype Controls

Additional Podoplanin Products

Research Areas for Podoplanin Antibody (NBP3-20917)

Find related products by research area.

Blogs on Podoplanin.

Spheroids vs. Organoids: Which 3D Cell Culture Model is Best for You?
By Jennifer Jones, M.S.Spheroids and organoids are two words that, like “butter” and “margarine”, are often referred to interchangeably but have distinct meanings. The progression and adopt...  Read full blog post.

Meningeal lymphatics: recent discovery defying the concept of central nervous system 'immune privilege'
By Jennifer Sokolowski, MD, PhD. Identification and characterization of meningeal lymphaticsThe recent discovery of a lymphatic system in the meninges surrounding the brain and spinal cord has spurred a surge of int...  Read full blog post.

Podoplanin (OST8, Glycoprotein (Gp) 36 or 38, Lung Type I Cell Membrane Associated Glycoprotein)
Podoplanin is a mucin-type 1 transmembrane glycoprotein found in a wide range of tissues. It appears to be differentially expressed in endothelial cells of lymphatic but not blood vessel origin. In normal skin and kidney, podoplanin co-localizes with ...  Read full blog post.

Customers Who Bought This Also Bought

Contact Information

Product PDFs

Calculators

Concentration Calculator

The concentration calculator allows you to quickly calculate the volume, mass or concentration of your vial. Simply enter your mass, volume, or concentration values for your reagent and the calculator will determine the rest.

=
÷

Review this Product

Be the first to review our Podoplanin Antibody (rPDPN/6994) - Azide and BSA Free and receive a gift card or discount.

Bioinformatics

Gene Symbol PDPN