PCNA Antibody

Images

 
Orthogonal Strategies: Immunohistochemistry-Paraffin: PCNA Antibody [NBP1-89434] - Analysis in human lymph node and liver tissues using NBP1-89434 antibody. Corresponding PCNA RNA-seq data are presented for the ...read more
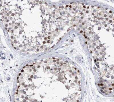
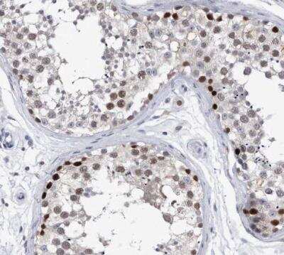
Immunohistochemistry-Paraffin: PCNA Antibody [NBP1-89434] - Staining of human testis shows moderate nuclear positivity in cells in seminiferous ducts.
Immunohistochemistry-Paraffin: PCNA Antibody [NBP1-89434] - Staining of human liver shows low expression as expected.
Immunohistochemistry-Paraffin: PCNA Antibody [NBP1-89434] - Staining of human lymph node shows strong nuclear positivity in germinal center cells.
Immunohistochemistry-Paraffin: PCNA Antibody [NBP1-89434] - Staining of human colon shows strong nuclear positivity in glandular cells.
Simple Western: PCNA Antibody [NBP1-89434] - Simple Western lane view shows a specific band for PCNA in 0.2 mg/ml of MOLT-4 lysate(s). This experiment was performed under reducing conditions using the 12-230 kDa ...read more
Simple Western: PCNA Antibody [NBP1-89434] - Electropherogram image of the corresponding Simple Western lane view. PCNA antibody was used at 1:25 dilution on MOLT-4 lysate(s) respectively.
Independent Antibodies: Analysis using NBP1-89434 (A) shows similar pattern to independent antibody NBP1-89504 (B).
Independent Antibodies: Staining of human colon, liver, lymph node and testis using NBP1-89434 (A) shows similar protein distribution across tissues to independent antibody NBP1-89504 (B).

Product Details

Summary
Product Discontinued
View other related PCNA Primary Antibodies

Order Details


    • Catalog Number
      NBP1-89434
    • Availability
      Product Discontinued

    Can't find what you are looking for? Use our Antibody Concierge Service & we will help you locate your antibody!

    Or feel free to contact us for alternative products.

PCNA Antibody Summary

Immunogen
This antibody was developed against Recombinant Protein corresponding to amino acids: LVQGSILKKVLEALKDLINEACWDISSSGVNLQSMDSSHVSLVQLTLRSEGFDTYRCDRNLAMGVNLTSMS
Marker
Proliferation Marker
Predicted Species
Rat (97%). Backed by our 100% Guarantee.
Isotype
IgG
Clonality
Polyclonal
Host
Rabbit
Gene
PCNA
Purity
Immunogen affinity purified
Innovator's Reward
Test in a species/application not listed above to receive a full credit towards a future purchase.

Applications/Dilutions

Dilutions
  • Immunohistochemistry 1:20 - 1:50
  • Immunohistochemistry-Paraffin 1:20 - 1:50
  • Simple Western 1:25
  • Western Blot 0.04 - 0.4 ug/ml
Application Notes
For IHC-Paraffin, HIER pH 6 retrieval is recommended.

In Simple Western only 10 - 15 uL of the recommended dilution is used per data point. Separated by Size.
Publications
Read Publications using
NBP1-89434 in the following applications:

  • 1 publication
  • WB
    1 publication

Reactivity Notes

Mouse reactivity reported in the scientific literature (PMID: 30257350).

Packaging, Storage & Formulations

Storage
Store at 4C short term. Aliquot and store at -20C long term. Avoid freeze-thaw cycles.
Buffer
PBS (pH 7.2) and 40% Glycerol
Preservative
0.02% Sodium Azide
Purity
Immunogen affinity purified

Alternate Names for PCNA Antibody

  • cyclin
  • DNA polymerase delta auxiliary protein
  • MGC8367
  • PCNA
  • proliferating cell nuclear antigen

Background

Proliferating Cell Nuclear Antigen (PCNA) is a DNA polymerase that is essential for DNA replication, excision and mismatch repair pathways. PCNA is a "DNA clamp" which binds to the CDK inhibitor p21, the structure-specific endonucleases Fen1 and XPG, and DNA cytosine 5-methyltransferase (MCMT). PCNA is a potentially useful marker of cells with proliferative potential and for identifying the proliferation status of tumor tissue (i.e. relevant to prognosis). PCNA antibodies are also useful tools for DNA repair and cancer research.

Limitations

This product is for research use only and is not approved for use in humans or in clinical diagnosis. Primary Antibodies are guaranteed for 1 year from date of receipt.

Customers Who Viewed This Item Also Viewed...

NBP2-29463
Species: Pm, Hu, Pm, Mu
Applications: Flow, ICC/IF, IHC,  IHC-P, WB
NB200-103
Species: Hu, Mu, Rt, Xp(-), Ye
Applications: CyTOF-ready, ELISA, Flow-IC, Flow, ICC/IF, IHC, IHC-Fr,  IHC-P, IP, WB
NBP2-46085
Species: Hu
Applications: IHC,  IHC-P, WB
H00027065-M01
Species: Hu, Rt
Applications: ELISA, ICC/IF, S-ELISA, WB
NBP2-00776
Species: Ca, Hu, Pm, Mu, Rt
Applications: Flow, ICC/IF, IHC,  IHC-P, WB
NB100-56098
Species: Ca, Hu, Mu, Rt
Applications: IHC,  IHC-P, IP, WB
NBP2-32840
Species: Hu, Pm, Mu, Rt
Applications: Flow, ICC/IF, IHC,  IHC-P, WB
DVE00
Species: Hu
Applications: ELISA
AF6897
Species: Hu, Mu
Applications: IHC, Simple Western, WB
AF231
Species: Hu
Applications: CyTOF-ready, Dual ISH-IHC, ELISA(Cap), ELISA(Det), ELISA(Sta), Flow, ICC, IHC, IP, Simple Western, WB
NBP1-31308
Species: Bv, Hu, Mu, Rt
Applications: ICC/IF, IHC,  IHC-P, Simple Western, WB
NBP2-47561
Species: Hu
Applications: ICC/IF, IHC,  IHC-P, WB
NBP1-90949
Species: Hu
Applications: IHC,  IHC-P, WB
NBP3-26876
Species: Hu
Applications: IHC,  IHC-P
NBP1-80616
Species: Hu, Mu, Rt
Applications: IHC,  IHC-P, WB
NBP2-03198
Species: Hu
Applications: Flow, ICC/IF, IHC,  IHC-P, WB
NB200-106
Species: Mu, Rt
Applications: ELISA, ICC/IF, IHC, IHC-Fr,  IHC-P, WB
AF1555
Species: Hu
Applications: WB
NBP1-89434
Species: Hu, Mu, Rt
Applications: WB, Simple Western, IHC

Publications for PCNA Antibody (NBP1-89434)(3)

We have publications tested in 2 confirmed species: Human, Mouse.

We have publications tested in 2 applications: IHC-P, WB.


Filter By Application
IHC-P
(1)
WB
(1)
All Applications
Filter By Species
Human
(1)
Mouse
(1)
All Species

Reviews for PCNA Antibody (NBP1-89434) (0)

There are no reviews for PCNA Antibody (NBP1-89434). By submitting a review you will receive an Amazon e-Gift Card or Novus Product Discount.
  • Review with no image -- $10/€7/£6/$10 CAD/¥70 Yuan/¥1110 Yen
  • Review with an image -- $25/€18/£15/$25 CAD/¥150 Yuan/¥2500 Yen

Product General Protocols

Find general support by application which include: protocols, troubleshooting, illustrated assays, videos and webinars.

Video Protocols

WB Video Protocol

FAQs for PCNA Antibody (NBP1-89434) (0)

There are no specific FAQs related to this product. Read our general customer & technical service FAQs.

Secondary Antibodies

 

Isotype Controls

Additional PCNA Products

Research Areas for PCNA Antibody (NBP1-89434)

Find related products by research area.

Blogs on PCNA.

The dynamic use of a PCNA antibody in fish, porcine and primate species
Proliferating cell nuclear antigen (PCNA) plays a crucial role in nucleic acid metabolism as it pertains to DNA replication and repair.  Most noted for its activation of subunits of DNA polymerase, it has also been found to interact with cell-cycl...  Read full blog post.

The relationship between Ki67 and HIF-1 in cancer
Ki67, also known as MKI67, is best known as the leading marker of cellular proliferation. Ki67 is regulated by a balance between synthesis and degradation, and often carries a very short half-life.  First discovered to be located to dividing cells,...  Read full blog post.

Caspase 3 - a Reliable Marker for Index of Apoptosis Induction
Caspase-3 is one of the most important players in apoptosis signaling. It is synthesized as an inactive 32 kDa pro-enzyme and upon direct activation by Caspase-8, -9 or -10, it gets processed into its active forms, the p17-20 and p10-12 subunits. T...  Read full blog post.

PCNA (Proliferating cell nuclear antigen, polymerase delta auxiliary protein)
PCNA is a nuclear protein essential for DNA replication as well as DNA excision and mismatch repair pathways. It coordinates the recruitment and association of needed components during both of these processes, both of which are essential for cell cycl...  Read full blog post.

PCNA Antibodies: Marking Cell Proliferation & DNA Replication
Proliferating Cell Nuclear Antigen (PCNA), also known as the polymerase delta auxiliary protein, is a nuclear protein essential for DNA replication as well as DNA excision and mismatch repair pathways. It has a large role in cell cycle regulation and ...  Read full blog post.

PCNA is a Universal Marker of Proliferating Cells
Proliferating cell nuclear antigen (PCNA) is an evolutionarily well-conserved protein found in all eukaryotic species as well as in Archaea. PCNA was first shown to be involved in DNA replication. However PCNA functions are associated with other vital...  Read full blog post.

Using PCNA as an Antibody Marker
PCNA antibodies are useful biomarkers in DNA repair studies. PCNA is one of several proteins essential for the completion of nucleotide excision repair, a multi-stage process involving 20 - 30 proteins, and an important factor in repairing damage and ...  Read full blog post.

Contact Information

Product PDFs

Calculators

Concentration Calculator

The concentration calculator allows you to quickly calculate the volume, mass or concentration of your vial. Simply enter your mass, volume, or concentration values for your reagent and the calculator will determine the rest.

=
÷

Review this Product

Be the first to review our PCNA Antibody and receive a gift card or discount.

Bioinformatics

Gene Symbol PCNA