Pax4 Antibody (PAX4/7598) - Azide and BSA Free

Images

 
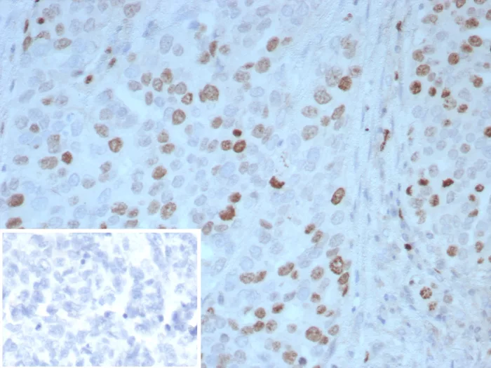
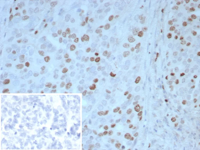
Formalin-fixed, paraffin-embedded human ovarian carcinoma stained with Pax4 Antibody (PAX4/7598) - Azide and BSA Free. Inset: PBS instead of primary antibody; secondary only negative control.

Product Details

Summary
Reactivity HuSpecies Glossary
Applications IHC
Clone
PAX4/7598
Clonality
Monoclonal
Host
Mouse
Conjugate
Unconjugated
Format
Azide and BSA Free
Concentration
1 mg/ml

Order Details

Pax4 Antibody (PAX4/7598) - Azide and BSA Free Summary

Description
Antibody without azide - store at -20 to -80C. Non-hazardous. No MSDS required.
Immunogen
Recombinant fragment (around aa1-200) of human Pax4 protein (exact sequence is proprietary)
Localization
Nucleus
Isotype
IgG1 Kappa
Clonality
Monoclonal
Host
Mouse
Gene
PAX4
Purity
Protein A or G purified
Innovator's Reward
Test in a species/application not listed above to receive a full credit towards a future purchase.

Applications/Dilutions

Dilutions
  • Immunohistochemistry-Paraffin 1-2ug/ml for 30 minutes at RT
Application Notes
Immunohistochemistry-Paraffin 1-2ug/ml for 30 minutes at RT. Optimal dilution for a specific application should be determined.. Staining of formalin-fixed tissues requires heating tissue sections in 10mM Tris with 1mM EDTA, pH 9.0, for 45 min at 95C followed by cooling at RT for 20 minutes

Packaging, Storage & Formulations

Storage
Store at -20 to -80C. Avoid freeze-thaw cycles.
Buffer
10mM PBS
Preservative
No Preservative
Concentration
1 mg/ml
Purity
Protein A or G purified

Alternate Names for Pax4 Antibody (PAX4/7598) - Azide and BSA Free

  • KPD
  • MGC129960
  • MODY9paired box protein Pax-4
  • paired box 4
  • paired box gene 4
  • paired domain gene 4
  • Pax4

Background

PAX4 - paired box gene 4

Limitations

This product is for research use only and is not approved for use in humans or in clinical diagnosis. Primary Antibodies are guaranteed for 1 year from date of receipt.

Customers Who Viewed This Item Also Viewed...

MAB1417
Species: Bv, Hu, Mu
Applications: ICC, IHC
AF2419
Species: Hu
Applications: Dual ISH-IHC, ICC, IHC, Simple Western, WB
AF3444
Species: Hu
Applications: IHC, WB
AF8150
Species: Hu
Applications: ICC, ICFlow, Simple Western, WB
AF2746
Species: Hu, Mu
Applications: ICC, WB
NBP1-84079
Species: Hu
Applications: IHC,  IHC-P, WB
MAB1249
Species: Hu, Mu
Applications: CyTOF-ready, ICC, ICFlow
NBP1-49672
Species: Hu, Mu, Rt
Applications: ICC/IF, IHC, IHC-Fr,  IHC-P, In vitro, Simple Western, WB
NBP1-82554
Species: Fe, Hu, Mu
Applications: ICC/IF, IHC, IHC-Fr,  IHC-P, KO, WB
AF1837
Species: Hu
Applications: ICC, IHC, Simple Western, WB
NBP2-37447
Species: Hu
Applications: CyTOF-ready, ELISA, Flow, ICC/IF, IHC,  IHC-P
NBP2-22218
Species: Hu, Mu
Applications: ICC/IF, IHC,  IHC-P, WB
NBP2-03688
Species: Ca, Hu, Pm, Mu, Pm, Rt
Applications: ICC/IF, IHC,  IHC-P, WB
AF7068
Species: Hu
Applications: ICC, IHC, WB
NB100-1793
Species: Hu, Pm, Mu, Rt
Applications: Flow, IB, ICC/IF, IHC, IHC-Fr,  IHC-P, PEP-ELISA
NBP1-89679
Species: Hu, Mu, Rt
Applications: ChIP-EXO-SEQ, ICC/IF, IHC, IHC-Fr,  IHC-P, WB
NBP2-33680
Species: Hu
Applications: IHC,  IHC-P
NBP1-47778
Species: Hu, Mu, Rt
Applications: ICC/IF, IHC,  IHC-P, WB
AF2400
Species: Hu
Applications: ChIP, ICC, IHC, WB
NBP3-26984
Species: Hu
Applications: IHC

Publications for Pax4 Antibody (NBP3-26984) (0)

There are no publications for Pax4 Antibody (NBP3-26984).
By submitting your publication information earn gift cards and discounts for future purchases.

Reviews for Pax4 Antibody (NBP3-26984) (0)

There are no reviews for Pax4 Antibody (NBP3-26984). By submitting a review you will receive an Amazon e-Gift Card or Novus Product Discount.
  • Review with no image -- $10/€7/£6/$10 CAD/¥70 Yuan/¥1110 Yen
  • Review with an image -- $25/€18/£15/$25 CAD/¥150 Yuan/¥2500 Yen

Product General Protocols

Find general support by application which include: protocols, troubleshooting, illustrated assays, videos and webinars.

FAQs for Pax4 Antibody (NBP3-26984) (0)

There are no specific FAQs related to this product. Read our general customer & technical service FAQs.

Secondary Antibodies

 

Isotype Controls

Additional Pax4 Products

Array NBP3-26984

Blogs on Pax4.

Using EGF Protein from Novus Biologicals
EGF (epidermal growth factor) stimulates differentiation, proliferation and cell growth by binding to its receptor, EGFR. EGF was first discovered in the mouse submandibular gland in 1986 by Stanley Cohen of Vanderbilt University, leading to a Nobel P...  Read full blog post.

Customers Who Bought This Also Bought

Contact Information

Product PDFs

Calculators

Concentration Calculator

The concentration calculator allows you to quickly calculate the volume, mass or concentration of your vial. Simply enter your mass, volume, or concentration values for your reagent and the calculator will determine the rest.

=
÷

Review this Product

Be the first to review our Pax4 Antibody (PAX4/7598) - Azide and BSA Free and receive a gift card or discount.

Bioinformatics

Gene Symbol PAX4