PAR4 Antibody - BSA Free

Images

 
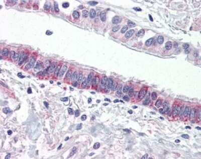
Immunohistochemistry-Paraffin: PAR4 Antibody [NLS1308] - Analysis of anti-F2RL3 / PAR4 antibody with human lung, respiratory epithelium.

Product Details

Summary
Reactivity Hu, Pm, PmSpecies Glossary
Applications IHC
Clonality
Polyclonal
Host
Rabbit
Conjugate
Unconjugated
Format
BSA Free
Concentration
1.0 mg/ml

Order Details

PAR4 Antibody - BSA Free Summary

Description
Product can be stored undiluted at 4C for up to 1 month.
Immunogen
Synthetic 16 amino acid peptide from N-terminal extracellular domain of human PAR4.
Epitope
N-Terminus extracellular domain
Localization
Integral Memebrane Protein.
Specificity
Human PAR4. BLAST analysis of the peptide immunogen showed no homology with other human proteins.
Predicted Species
Monkey (94%), Primate (100%). Backed by our 100% Guarantee.
Isotype
IgG
Clonality
Polyclonal
Host
Rabbit
Gene
F2RL3
Purity
Immunogen affinity purified
Innovator's Reward
Test in a species/application not listed above to receive a full credit towards a future purchase.

Applications/Dilutions

Dilutions
  • Immunohistochemistry
  • Immunohistochemistry-Paraffin 6 - 13 ug/ml
Application Notes
.

Reactivity Notes

Predicted cross-reactivity based on sequence identity: Gorilla (100%), Gibbon (100%), Marmoset (94%), Mouse (88%), Porcine (88%), Bovine (81%).

Packaging, Storage & Formulations

Storage
Keep as concentrated solution. Aliquot and store at -20C or below. Avoid multiple freeze-thaw cycles.
Buffer
PBS
Preservative
0.1% Sodium Azide
Concentration
1.0 mg/ml
Purity
Immunogen affinity purified

Alternate Names for PAR4 Antibody - BSA Free

  • proteinase-activated receptor 4
  • coagulation factor II (thrombin) receptor-like 3
  • F2RL3
  • PAR4
  • Protease-Activated Receptor 4
  • Thrombin Receptor-like 3

Background

Proteinase-Activated Receptor 4 (PAR4) is a member of the Proteinase-Activated Receptor subfamily. Along with other protease-activated receptors, PAR4 mediates the effects of the enzyme, thrombin which include activation of platelets, leukocytes, endothelial cells, and mesenchymal cells at sites of vascular injury. These cellular responses are triggered through proteolytic activation of the receptors by thrombin. It is believed that PAR3 functions as a cofactor for the cleavage and activation of PAR4. PAR4 expression has been documented in the periphery, primarily in blood platelets.

Limitations

This product is for research use only and is not approved for use in humans or in clinical diagnosis. Primary Antibodies are guaranteed for 1 year from date of receipt.

Customers Who Viewed This Item Also Viewed...

PP-H4417-00
Species: Hu
Applications: DirELISA, IP, WB
NBP1-71770
Species: Hu, Mu
Applications: ELISA, ICC/IF, IF, IHC, IHC-Fr,  IHC-P, WB
NBP1-81746
Species: Hu
Applications: ICC/IF, IHC,  IHC-P, WB
NLS261
Species: Hu
Applications: ICC, IHC,  IHC-P, WB (-)
NBP2-49382
Species: Hu
Applications: IHC,  IHC-P
NBP1-78028
Species: Hu
Applications: ELISA, ICC/IF, WB
NBP3-16555
Species: Hu, Mu, Rt
Applications: ELISA, IHC,  IHC-P, WB
H00055065-P01
Species: Hu
Applications: ELISA, AP, PA, WB
NBP1-88861
Species: Hu, Mu
Applications: ICC/IF, IHC,  IHC-P, IP, Simple Western, WB
AF1230
Species: Hu, Mu, Rt
Applications: IHC, KO, WB
AF887
Species: Hu, Mu, Rt
Applications: CyTOF-ready, IHC, ICFlow, Simple Western, WB
NBP2-14835
Species: Hu, Mu
Applications: ICC/IF, IHC,  IHC-P, WB
NBP2-22203
Species: Hu, Pm, Mu, Rt
Applications: ELISA, Flow, ICC/IF, IHC,  IHC-P, WB
NB100-56098
Species: Ca, Hu, Mu, Rt
Applications: IHC,  IHC-P, IP, WB
NB100-56583
Species: Hu, Rb, Rt
Applications: Flow, IHC,  IHC-P, KO, Simple Western, WB
NLS1308
Species: Hu, Pm, Pm
Applications: IHC

Publications for PAR4 Antibody (NLS1308) (0)

There are no publications for PAR4 Antibody (NLS1308).
By submitting your publication information earn gift cards and discounts for future purchases.

Reviews for PAR4 Antibody (NLS1308) (0)

There are no reviews for PAR4 Antibody (NLS1308). By submitting a review you will receive an Amazon e-Gift Card or Novus Product Discount.
  • Review with no image -- $10/€7/£6/$10 CAD/¥70 Yuan/¥1110 Yen
  • Review with an image -- $25/€18/£15/$25 CAD/¥150 Yuan/¥2500 Yen

Product General Protocols

View specific protocols for PAR4 Antibody (NLS1308): Find general support by application which include: protocols, troubleshooting, illustrated assays, videos and webinars.

FAQs for PAR4 Antibody (NLS1308) (0)

There are no specific FAQs related to this product. Read our general customer & technical service FAQs.

Secondary Antibodies

 

Isotype Controls

Additional PAR4 Products

Research Areas for PAR4 Antibody (NLS1308)

Find related products by research area.

Blogs on PAR4

There are no specific blogs for PAR4, but you can read our latest blog posts.

Customers Who Bought This Also Bought

Contact Information

Product PDFs

Calculators

Concentration Calculator

The concentration calculator allows you to quickly calculate the volume, mass or concentration of your vial. Simply enter your mass, volume, or concentration values for your reagent and the calculator will determine the rest.

=
÷

Review this Product

Be the first to review our PAR4 Antibody - BSA Free and receive a gift card or discount.

Bioinformatics

Gene Symbol F2RL3
Entrez