NCAM-1/CD56 Antibody (rNCAM1/8655) - Azide and BSA Free

Images

 
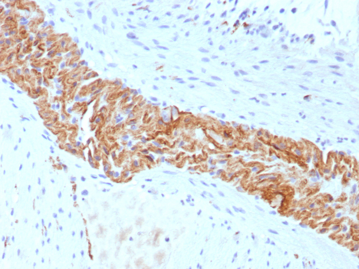
Formalin-fixed, paraffin-embedded human colon stained with NCAM-1/CD56 antibody (rNCAM1/8655). HIER: Tris/EDTA, pH9.0, 45min. Secondary: HRP-polymer, 30min. DAB, 5min.
Western blot analysis of Human Brain tissue lysates using NCAM-1/CD56 Antibody (rNCAM1/8655) - Azide and BSA Free.
Western blot analysis of Human Brain, Mouse Brain and Rat Brain tissue lysates using NCAM-1/CD56 Antibody (rNCAM1/8655) - Azide and BSA Free.

Product Details

Summary
Reactivity HuSpecies Glossary
Applications IHC
Clone
rNCAM1/8655
Clonality
Monoclonal
Host
Mouse
Conjugate
Unconjugated
Format
Azide and BSA Free
Concentration
1 mg/ml

Order Details

NCAM-1/CD56 Antibody (rNCAM1/8655) - Azide and BSA Free Summary

Description
Positive Controls: Human cerebellum, pancreas or neuroblastoma.

Antibody with azide - store at 2 to 8C. Antibody without azide - store at -20 to -80C. Non-hazardous. No MSDS required.
Additional Information
Recombinant Monoclonal Antibody
Immunogen
Recombinant human NCAM-1/CD56 protein
Localization
Cell surface
Specificity
This monoclonal antibody reacts with an extracellular domain (close to transmembrane) of CD56/NCAM Anti-CD56 plays an important role in the diagnosis of nodal and nasal NK/T-cell lymphomas
Isotype
IgG1 Kappa
Clonality
Monoclonal
Host
Mouse
Gene
NCAM1
Purity
Protein A or G purified
Innovator's Reward
Test in a species/application not listed above to receive a full credit towards a future purchase.

Applications/Dilutions

Dilutions
  • Immunohistochemistry-Paraffin 1-2 ug/ml
Application Notes
Immunohistochemistry (Formalin-fixed): 1-2ug/ml for 30 minutes. at RT. Staining of formalin-fixed tissues requires heating tissue sections in 10mM Tris with 1mM EDTA, pH 9.0, for 45 min at 95C followed by cooling at RT for 20 minutes.

Optimal dilution for a specific application should be determined.

Packaging, Storage & Formulations

Storage
Store at -20 to -70C. Avoid freeze-thaw cycles.
Buffer
10mM PBS
Preservative
No Preservative
Concentration
1 mg/ml
Purity
Protein A or G purified

Alternate Names for NCAM-1/CD56 Antibody (rNCAM1/8655) - Azide and BSA Free

  • CD56 / NCAM-1
  • CD56 antigen
  • CD56
  • MSK39
  • NCAM1
  • N-CAM-1
  • NCAM-1
  • NCAMantigen recognized by monoclonal 5.1H11
  • neural cell adhesion molecule 1
  • neural cell adhesion molecule, NCAM

Background

NCAM, as a member of the immunoglobulin superfamily of adhesion molecules is characterized by several immunoglobulin (Ig) like domains. The extracellular part of NCAM consists of five of these Ig domains and two fibronectin type III homology regions. NCAM is encoded by a single copy gene composed of 26 exons. However, at least 20-30 distinct isoforms can be generated by alternative splicing and by posttranslational modifications, such as sialylation. During sialylation, polysialic acid (PSA) carbohydrates are attached to the extracellular part of NCAM. Through its extracellular region, NCAM mediates homophilic interactions. In addition, NCAM can also undergo heterophilic interactions by binding extracellular matrix components, such as laminin, or other cell adhesion molecules, such as integrins. NCAM is expressed on most neuroectodermal derived cell lines, tissues and neoplasm such as retinoblastoma, medulloblastoma, astrocytomas and neuroblastoma.

Limitations

This product is for research use only and is not approved for use in humans or in clinical diagnosis. Primary Antibodies are guaranteed for 1 year from date of receipt.

Customers Who Viewed This Item Also Viewed...

NB600-1441
Species: Ca, Hu, Mu, Po
Applications: Flow, ICC/IF, IHC, IHC-Fr,  IHC-P, KD
7268-CT
Species: Hu
Applications: BA
202-IL
Species: Hu
Applications: BA
NBP2-79843
Species: Hu
Applications: CyTOF-ready, ELISA, Flow, ICC/IF, IHC,  IHC-P, PA, WB
NB100-524
Species: Hu, Mu
Applications: Flow-IC, Flow, ICC/IF, IHC, IHC-Fr,  IHC-P, IP, WB
NBP1-19371
Species: Ca, Hu, Mu, Po, Rb, Rt
Applications: Dual ISH-IHC, Flow, ICC/IF, IHC, IHC-Fr,  IHC-P, Simple Western, WB
NBP1-49045
Species: Mu, Rt
Applications: Cell Depl, CyTOF-ready, Flow, ICC/IF, IHC, IHC-Fr,  IHC-P, IP, InhibTFunc
AF1597
Species: Hu
Applications: Block, Simple Western, WB
4325-FC
Species: Hu
Applications: Bind
NBP2-25196
Species: Hu, Mu
Applications: CyTOF-ready, Flow, ICC/IF, In vitro, WB
AF4117
Species: Rt
Applications: IHC, WB
NBP2-67309
Species: Hu, Rt
Applications: Flow, ICC/IF, IHC,  IHC-P, IP, WB
AF114
Species: Mu
Applications: CyTOF-ready, Flow, ICC, IHC, WB
485-MI
Species: Mu
Applications: BA
NBP1-19788
Species: Hu, Mu, Rt
Applications: ICC/IF, IHC,  IHC-P
NBP2-54591
Species: Hu
Applications: CyTOF-ready, Flow, ICC/IF, IHC,  IHC-P, PA
NBP2-25200
Species: Hu
Applications: B/N, Flow, IHC, IHC-Fr, WB
DR2A00
Species: Hu
Applications: ELISA
NBP3-20806
Species: Hu
Applications: IHC

Publications for NCAM-1/CD56 Antibody (NBP3-20806) (0)

There are no publications for NCAM-1/CD56 Antibody (NBP3-20806).
By submitting your publication information earn gift cards and discounts for future purchases.

Reviews for NCAM-1/CD56 Antibody (NBP3-20806) (0)

There are no reviews for NCAM-1/CD56 Antibody (NBP3-20806). By submitting a review you will receive an Amazon e-Gift Card or Novus Product Discount.
  • Review with no image -- $10/€7/£6/$10 CAD/¥70 Yuan/¥1110 Yen
  • Review with an image -- $25/€18/£15/$25 CAD/¥150 Yuan/¥2500 Yen

Product General Protocols

Find general support by application which include: protocols, troubleshooting, illustrated assays, videos and webinars.

FAQs for NCAM-1/CD56 Antibody (NBP3-20806) (0)

There are no specific FAQs related to this product. Read our general customer & technical service FAQs.

Customers Who Bought This Also Bought

Contact Information

Product PDFs

Calculators

Concentration Calculator

The concentration calculator allows you to quickly calculate the volume, mass or concentration of your vial. Simply enter your mass, volume, or concentration values for your reagent and the calculator will determine the rest.

=
÷

Review this Product

Be the first to review our NCAM-1/CD56 Antibody (rNCAM1/8655) - Azide and BSA Free and receive a gift card or discount.

Bioinformatics

Gene Symbol NCAM1