NCAM-1/CD56 Antibody (NCAM1/795) - IHC-Prediluted

Images

 
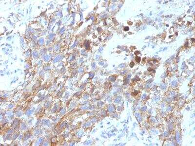
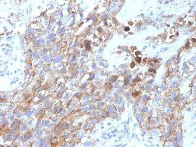
Immunohistochemistry-Paraffin: NCAM-1/CD56 Antibody (NCAM1/795) - IHC-Prediluted [NBP2-48193] - Formalin-fixed, paraffin-embedded human Lung Carcinoma stained with CD56 Mouse Monoclonal Antibody (NCAM1/795).
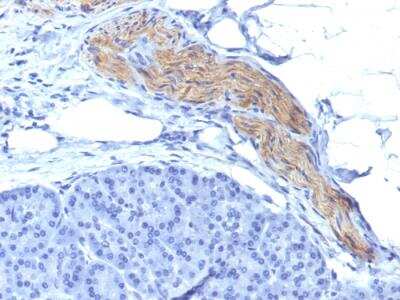
Immunohistochemistry-Paraffin: NCAM-1/CD56 Antibody (NCAM1/795) - IHC-Prediluted [NBP2-48193] - Formalin-fixed, paraffin-embedded human Pancreas stained with CD56 Mouse Monoclonal Antibody (NCAM1/795).
Western Blot Analysis of HCT116 cell lysate using NCAM-1/CD56 Antibody (NCAM1/795) - IHC-Prediluted.

Product Details

Summary
Reactivity Hu, RtSpecies Glossary
Applications IHC
Clone
NCAM1/795
Clonality
Monoclonal
Host
Mouse
Conjugate
Unconjugated
Format
IHC-Prediluted

Order Details

NCAM-1/CD56 Antibody (NCAM1/795) - IHC-Prediluted Summary

Description
The prediluted antibody does not require any mixing, dilution, reconstitution, or titration; the antibody is ready-to-use and optimized for staining.
Immunogen
Recombinant human NCAM-1/CD56 protein
Localization
Cell surface
Marker
Neuronal Cell Marker
Specificity
This monoclonal antibody reacts with an extracellular domain (close to transmembrane) of CD56/NCAM. Three isoforms of neural cell adhesion molecule (NCAM) are produced by differential splicing of the RNA transcript from a single gene. The 135kDa isoform is the basic molecule, which is glycosylated or sialylated to produce the mature species. Anti-CD56 recognizes two proteins of the neural cell adhesion molecule, the basic molecule expressed on most neuroectodermally derived tissues and neoplasms (e.g. retinoblastoma, medulloblastomas, astrocytomas, neuroblastomas, and small cell carcinomas). It is also expressed on some mesodermally derived tumors (rhabdomyosarcoma). Anti-CD56 plays an important role in the diagnosis of nodal and nasal NK/T-cell lymphomas.
Isotype
IgG1 Kappa
Clonality
Monoclonal
Host
Mouse
Gene
NCAM1
Purity
Protein A or G purified
Innovator's Reward
Test in a species/application not listed above to receive a full credit towards a future purchase.

Applications/Dilutions

Dilutions
  • Immunohistochemistry
  • Immunohistochemistry-Paraffin
Application Notes
Immunohistochemistry (Formalin-fixed): 1-2ug/ml for 30 minutes at RT. Staining of formalin-fixed tissues requires heating tissue sections in 10mM Tris with 1mM EDTA, pH 9.0, for 45 min at 95C followed by cooling at RT for 20 minutes.
Optimal dilution for a specific application should be determined.

Packaging, Storage & Formulations

Storage
Store at 4C.
Buffer
10 mM PBS with 0.05% BSA
Preservative
0.05% Sodium Azide
Purity
Protein A or G purified

Alternate Names for NCAM-1/CD56 Antibody (NCAM1/795) - IHC-Prediluted

  • CD56 / NCAM-1
  • CD56 antigen
  • CD56
  • MSK39
  • NCAM1
  • N-CAM-1
  • NCAM-1
  • NCAMantigen recognized by monoclonal 5.1H11
  • neural cell adhesion molecule 1
  • neural cell adhesion molecule, NCAM

Background

NCAM, as a member of the immunoglobulin superfamily of adhesion molecules is characterized by several immunoglobulin (Ig) like domains. The extracellular part of NCAM consists of five of these Ig domains and two fibronectin type III homology regions. NCAM is encoded by a single copy gene composed of 26 exons. However, at least 20-30 distinct isoforms can be generated by alternative splicing and by posttranslational modifications, such as sialylation. During sialylation, polysialic acid (PSA) carbohydrates are attached to the extracellular part of NCAM. Through its extracellular region, NCAM mediates homophilic interactions. In addition, NCAM can also undergo heterophilic interactions by binding extracellular matrix components, such as laminin, or other cell adhesion molecules, such as integrins. NCAM is expressed on most neuroectodermal derived cell lines, tissues and neoplasm such as retinoblastoma, medulloblastoma, astrocytomas and neuroblastoma.

Limitations

This product is for research use only and is not approved for use in humans or in clinical diagnosis. Primary Antibodies are guaranteed for 1 year from date of receipt.

Customers Who Viewed This Item Also Viewed...

NB600-1441
Species: Ca, Hu, Mu, Po
Applications: Flow, ICC/IF, IHC, IHC-Fr,  IHC-P, KD
7268-CT
Species: Hu
Applications: BA
202-IL
Species: Hu
Applications: BA
NBP2-79843
Species: Hu
Applications: CyTOF-ready, ELISA, Flow, ICC/IF, IHC,  IHC-P, PA, WB
NB100-524
Species: Hu, Mu
Applications: Flow-IC, Flow, ICC/IF, IHC, IHC-Fr,  IHC-P, IP, WB
NBP1-19371
Species: Ca, Hu, Mu, Po, Rb, Rt
Applications: Dual ISH-IHC, Flow, ICC/IF, IHC, IHC-Fr,  IHC-P, Simple Western, WB
NBP1-49045
Species: Mu, Rt
Applications: Cell Depl, CyTOF-ready, Flow, ICC/IF, IHC, IHC-Fr,  IHC-P, IP, InhibTFunc
AF1597
Species: Hu
Applications: Block, Simple Western, WB
4325-FC
Species: Hu
Applications: Bind
NBP2-25196
Species: Hu, Mu
Applications: CyTOF-ready, Flow, ICC/IF, In vitro, WB
AF4117
Species: Rt
Applications: IHC, WB
NBP2-67309
Species: Hu, Rt
Applications: Flow, ICC/IF, IHC,  IHC-P, IP, WB
AF114
Species: Mu
Applications: CyTOF-ready, Flow, ICC, IHC, WB
485-MI
Species: Mu
Applications: BA
NBP1-19788
Species: Hu, Mu, Rt
Applications: ICC/IF, IHC,  IHC-P
NBP2-54591
Species: Hu
Applications: CyTOF-ready, Flow, ICC/IF, IHC,  IHC-P, PA
NBP2-25200
Species: Hu
Applications: B/N, Flow, IHC, IHC-Fr, WB
DR2A00
Species: Hu
Applications: ELISA
NBP2-48193
Species: Hu, Rt
Applications: IHC

Publications for NCAM-1/CD56 Antibody (NBP2-48193) (0)

There are no publications for NCAM-1/CD56 Antibody (NBP2-48193).
By submitting your publication information earn gift cards and discounts for future purchases.

Reviews for NCAM-1/CD56 Antibody (NBP2-48193) (0)

There are no reviews for NCAM-1/CD56 Antibody (NBP2-48193). By submitting a review you will receive an Amazon e-Gift Card or Novus Product Discount.
  • Review with no image -- $10/€7/£6/$10 CAD/¥70 Yuan/¥1110 Yen
  • Review with an image -- $25/€18/£15/$25 CAD/¥150 Yuan/¥2500 Yen

Product General Protocols

Find general support by application which include: protocols, troubleshooting, illustrated assays, videos and webinars.

FAQs for NCAM-1/CD56 Antibody (NBP2-48193) (0)

There are no specific FAQs related to this product. Read our general customer & technical service FAQs.

Customers Who Bought This Also Bought

Contact Information

Product PDFs

Calculators

Concentration Calculator

The concentration calculator allows you to quickly calculate the volume, mass or concentration of your vial. Simply enter your mass, volume, or concentration values for your reagent and the calculator will determine the rest.

=
÷

Review this Product

Be the first to review our NCAM-1/CD56 Antibody (NCAM1/795) - IHC-Prediluted and receive a gift card or discount.

Bioinformatics

Gene Symbol NCAM1
Uniprot