Myeloperoxidase/MPO Antibody (JM10-58)

Images

 
Western Blot: Myeloperoxidase/MPO Antibody (JM10-58) [NBP2-66964] - Western blot analysis of Myeloperoxidase/MPO on HL-60 cell lysates. Proteins were transferred to a PVDF membrane and blocked with 5% BSA in PBS for 1 ...read more
Immunocytochemistry/ Immunofluorescence: Myeloperoxidase/MPO Antibody (JM10-58) [NBP2-66964] - Staining Myeloperoxidase in AGS cells (red). The nuclear counter stain is DAPI (blue). Cells were fixed in paraformaldehyde, ...read more
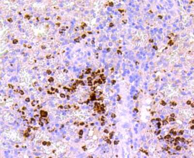
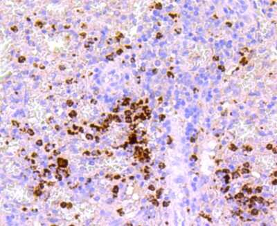
Immunohistochemistry-Paraffin: Myeloperoxidase/MPO Antibody (JM10-58) [NBP2-66964] - Analysis of paraffin-embedded human tonsil tissue using anti-Myeloperoxidase antibody. Counter stained with hematoxylin.
Western Blot: Myeloperoxidase/MPO Antibody (JM10-58) [NBP2-66964] - Analysis of Myeloperoxidase on HL-60 cell lysates using anti-Myeloperoxidase antibody at 1/1,000 dilution.
Immunocytochemistry/ Immunofluorescence: Myeloperoxidase/MPO Antibody (JM10-58) [NBP2-66964] - Staining Myeloperoxidase in Hela cells (red). The nuclear counter stain is DAPI (blue). Cells were fixed in ...read more
Immunocytochemistry/ Immunofluorescence: Myeloperoxidase/MPO Antibody (JM10-58) [NBP2-66964] - Staining Myeloperoxidase in MCF-7 cells (red). The nuclear counter stain is DAPI (blue). Cells were fixed in ...read more
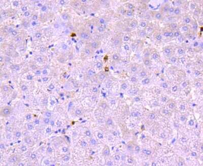
Immunohistochemistry-Paraffin: Myeloperoxidase/MPO Antibody (JM10-58) [NBP2-66964] - Analysis of paraffin-embedded human liver tissue using anti-Myeloperoxidase antibody. Counter stained with hematoxylin.
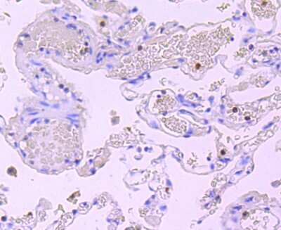
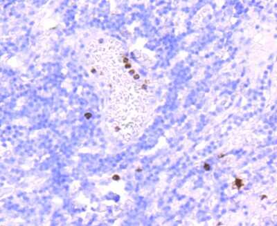
Immunohistochemistry-Paraffin: Myeloperoxidase/MPO Antibody (JM10-58) [NBP2-66964] - Analysis of paraffin-embedded human lung tissue using anti-Myeloperoxidase antibody. Counter stained with hematoxylin.
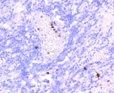
Immunohistochemistry-Paraffin: Myeloperoxidase/MPO Antibody (JM10-58) [NBP2-66964] - Analysis of paraffin-embedded human spleen tissue using anti-Myeloperoxidase antibody. Counter stained with hematoxylin.

Product Details

Summary
Product Discontinued
View other related Myeloperoxidase/MPO Primary Antibodies

Order Details


    • Catalog Number
      NBP2-66964
    • Availability
      Product Discontinued

    Can't find what you are looking for? Use our Antibody Concierge Service & we will help you locate your antibody!

    Or feel free to contact us for alternative products.

Myeloperoxidase/MPO Antibody (JM10-58) Summary

Additional Information
Recombinant Monoclonal Antibody.
Immunogen
Synthetic peptide within Human Myeloperoxidase/MPO aa 178-219 / 745. (SwissProt: P05164 Human)
Localization
Lysosome.
Isotype
IgG
Clonality
Monoclonal
Host
Rabbit
Gene
MPO
Purity
Protein A purified
Innovator's Reward
Test in a species/application not listed above to receive a full credit towards a future purchase.

Applications/Dilutions

Dilutions
  • Immunocytochemistry/ Immunofluorescence 1:50-1:200
  • Immunohistochemistry
  • Immunohistochemistry-Paraffin 1:50-1:200
  • Western Blot 1:500-1:1000
Publications
Read Publication using
NBP2-66964 in the following applications:

Packaging, Storage & Formulations

Storage
Store at 4C short term. Aliquot and store at -20C long term. Avoid freeze-thaw cycles.
Buffer
TBS (pH7.4), 0.05% BSA, 40% Glycerol
Preservative
0.05% Sodium Azide
Concentration
1 mg/ml
Purity
Protein A purified

Alternate Names for Myeloperoxidase/MPO Antibody (JM10-58)

  • EC 1.11.1
  • EC 1.11.1.7
  • MPO
  • Myeloperoxidase

Background

FUNCTION: Part of the host defense system of polymorphonuclear leukocytes. It is responsible for microbicidal activity against a wide range of organisms. In the stimulated PMN, MPO catalyzes the production of hypohalous acids, primarily hypochlorous acid in physiologic situations, and other toxic intermediates that greatly enhance PMN microbicidal activity. MPO is an important marker for myeloid cells, from the promyelocyte stage and to the mature forms. CATALYTIC ACTIVITY: Donor + H2O2 = oxidized donor + 2 H2O. CATALYTIC ACTIVITY: Cl- + H2O2 = HOCl + 2 H2O. COFACTOR: Binds 1 calcium ion per heterodimer. COFACTOR: Binds 1 heme B (iron-protoporphyrin IX) group covalently per heterodimer. SUBUNIT: Tetramer of two light chains and two heavy chains. SUBCELLULAR LOCATION: Lysosome. ALTERNATIVE PRODUCTS: 3 named isoforms produced by alternative splicing. DISEASE: Defects in MPO are the cause of myeloperoxidase deficiency (MPD). MPD is an autosomal recessive defect that results in disseminated candidiasis. SIMILARITY: Belongs to the peroxidase family. XPO subfamily.

Limitations

This product is for research use only and is not approved for use in humans or in clinical diagnosis. Primary Antibodies are guaranteed for 1 year from date of receipt.

Customers Who Viewed This Item Also Viewed...

M6000B
Species: Mu
Applications: ELISA
AF3398
Species: Hu, Mu, Rt
Applications: ICC, KO, Simple Western, WB
NBP1-25966
Species: Hu
Applications: Flow, ICC/IF, IHC, IHC-Fr,  IHC-P, WB
NB300-605
Species: Hu, Mu, Po, Rt
Applications: Flow, IB, ICC/IF, IHC, IHC-Fr,  IHC-P, In vitro, WB
DY417
Species: Mu
Applications: ELISA
NBP2-24915
Species: Bv, Hu, Mu, Rt
Applications: IHC,  IHC-P, WB
AF796
Species: Mu
Applications: AdBlk, IHC, WB
DY4517-05
Species: Mu
Applications: ELISA
DY1707
Species: Hu
Applications: ELISA
NBP2-47415
Species: Hu
Applications: ICC/IF, IHC,  IHC-P, WB
NBP2-33778
Species: Hu
Applications: IHC,  IHC-P, WB
MAB1455
Species: Hu
Applications: CyTOF-ready, Dual ISH-IHC, ICC, IHC, ICFlow, Simple Western, WB
NB120-10109
Species: Hu
Applications: CyTOF-ready, IHC,  IHC-P, S-ELISA, WB
NBP3-07388
Species: Hu
Applications: Flow, ICC/IF, IHC,  IHC-P
MAB208
Species: Hu
Applications: CyTOF-ready, ELISA(Cap), ELISA(Det), ELISA(Sta), ICC, ICFlow, Neut, Simple Western, WB
NBP3-16735
Species: Hu, Mu, Rt
Applications: ELISA, ICC/IF, IHC,  IHC-P, WB
NB110-61574
Species: Bv, Gt, Hu, Mu, Sh
Applications: WB
NBP2-61118
Species: Hu, Mu
Applications: Flow, ICC/IF, IHC,  IHC-P, Simple Western, WB
NBP2-66964
Species: Hu
Applications: WB, ICC/IF, IHC

Publications for Myeloperoxidase/MPO Antibody (NBP2-66964)(1)

We have publications tested in 1 confirmed species: Human.

We have publications tested in 1 application: IHC-P.


Filter By Application
IHC-P
(1)
All Applications
Filter By Species
Human
(1)
All Species

Reviews for Myeloperoxidase/MPO Antibody (NBP2-66964) (0)

There are no reviews for Myeloperoxidase/MPO Antibody (NBP2-66964). By submitting a review you will receive an Amazon e-Gift Card or Novus Product Discount.
  • Review with no image -- $10/€7/£6/$10 CAD/¥70 Yuan/¥1110 Yen
  • Review with an image -- $25/€18/£15/$25 CAD/¥150 Yuan/¥2500 Yen

Product General Protocols

Find general support by application which include: protocols, troubleshooting, illustrated assays, videos and webinars.

Video Protocols

WB Video Protocol
ICC/IF Video Protocol

FAQs for Myeloperoxidase/MPO Antibody (NBP2-66964) (0)

There are no specific FAQs related to this product. Read our general customer & technical service FAQs.

Contact Information

Product PDFs

Calculators

Concentration Calculator

The concentration calculator allows you to quickly calculate the volume, mass or concentration of your vial. Simply enter your mass, volume, or concentration values for your reagent and the calculator will determine the rest.

=
÷

Review this Product

Be the first to review our Myeloperoxidase/MPO Antibody (JM10-58) and receive a gift card or discount.

Bioinformatics

Gene Symbol MPO