MOX1 Antibody (OTI5B11) - Azide and BSA Free

Images

 
Western Blot: MOX1 Antibody (OTI5B11) - Azide and BSA Free [NBP2-72770] - Analysis of HEK293T cells were transfected with the pCMV6-ENTRY control (Left lane) or pCMV6-ENTRY MOX1.
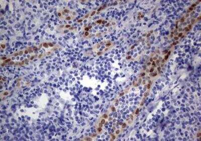
Immunohistochemistry-Paraffin: MOX1 Antibody (OTI5B11) - Azide and BSA Free [NBP2-72770] - Staining of Human lymph node tissue within the normal limits using anti-MEOX1 Mouse monoclonal antibody. ( heat-induced epitope ...read more
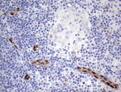
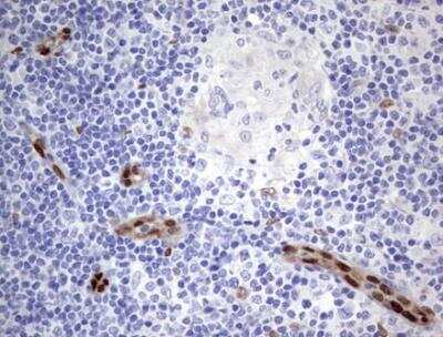
Immunohistochemistry-Paraffin: MOX1 Antibody (OTI5B11) - Azide and BSA Free [NBP2-72770] - Staining of Human tonsil within the normal limits using anti-MEOX1 Mouse monoclonal antibody. (heat-induced epitope retrieval by ...read more

Product Details

Summary
Reactivity HuSpecies Glossary
Applications WB, IHC
Clone
OTI5B11
Clonality
Monoclonal
Host
Mouse
Conjugate
Unconjugated
Format
Azide and BSA Free
Concentration
LYOPH

Order Details

MOX1 Antibody (OTI5B11) - Azide and BSA Free Summary

Description
Novus Biologicals Mouse MOX1 Antibody (OTI5B11) - Azide and BSA Free (NBP2-45819) is a monoclonal antibody validated for use in IHC and WB. All Novus Biologicals antibodies are covered by our 100% guarantee.
Immunogen
Full length human recombinant protein of human MEOX1 (NP_004518) produced in E.coli.
Isotype
IgG1
Clonality
Monoclonal
Host
Mouse
Gene
MEOX1
Purity
Immunogen affinity purified
Innovator's Reward
Test in a species/application not listed above to receive a full credit towards a future purchase.

Applications/Dilutions

Dilutions
  • Immunohistochemistry 1:150
  • Immunohistochemistry-Paraffin
  • Western Blot 1:2000
Theoretical MW
27.8 kDa.
Disclaimer note: The observed molecular weight of the protein may vary from the listed predicted molecular weight due to post translational modifications, post translation cleavages, relative charges, and other experimental factors.

Packaging, Storage & Formulations

Storage
Store at -20C. Avoid freeze-thaw cycles.
Buffer
Lyophilized from PBS (pH 7.3) with 8% Trehalose
Preservative
No Preservative
Concentration
LYOPH
Purity
Immunogen affinity purified
Reconstitution Instructions
we recommend adding 100uL distilled water to a final antibody concentration of about 1 mg/mL. To use this carrier-free antibody for conjugation experiment, we strongly recommend performing another round of desalting process.

Alternate Names for MOX1 Antibody (OTI5B11) - Azide and BSA Free

  • homeobox protein MOX-1
  • mesenchyme homeobox 1MOX1mesenchyme homeo box 1

Background

MOX1 encodes a member of a subfamily of non-clustered, diverged, antennapedia-like homeobox-containing genes. The encoded protein may play a role in the molecular signaling network regulating somite development. Alternatively spliced transcript variants encoding different isoforms have been described.

Limitations

This product is for research use only and is not approved for use in humans or in clinical diagnosis. Primary Antibodies are guaranteed for 1 year from date of receipt.

Customers Who Viewed This Item Also Viewed...

MAB2457
Species: Hu, Mu
Applications: CyTOF-ready, ICC, ICFlow, WB
NB100-56511
Species: Hu, Mu
Applications: Flow, ICC/IF, IHC, IHC-Fr,  IHC-P, IP, KD, KO, WB
H00004223-M03
Species: Hu, Mu, Rt
Applications: ELISA, ICC/IF, IHC,  IHC-P, WB
NB200-106
Species: Mu, Rt
Applications: ELISA, ICC/IF, IHC, IHC-Fr,  IHC-P, WB
MAB66861
Species: Hu
Applications: ICC, WB
NBP2-44245
Species: Hu, Mu, Rt
Applications: IHC,  IHC-P, WB
MAB4937
Species: Hu
Applications: CyTOF-ready, ICFlow, WB
NBP3-11884
Species: Hu
Applications: ELISA, ICC/IF, IHC,  IHC-P, RIA, WB
1290-IL
Species: Hu
Applications: BA
NBP1-33581
Species: Hu, Mu, Rt
Applications: ELISA, ICC/IF, IHC,  IHC-P, WB
AF3635
Species: Mu
Applications: IHC, WB
314-BP
Species: Hu
Applications: BA, BA
NBP3-12330
Species: Hu, Rt
Applications: ELISA, IHC,  IHC-P, IP, WB
NB100-1268
Species: Hu, Mu, Ze
Applications: ChIP, ICC/IF, IHC, IHC-Fr,  IHC-P, KD, KO, PEP-ELISA, WB
NBP2-41291
Species: Hu, Mu, Rt
Applications: ELISA, ICC/IF, IHC,  IHC-P, WB
NBP1-84264
Species: Hu, Mu
Applications: ChIP, ICC/IF, IHC,  IHC-P, KD, WB
AF2724
Species: Hu, Mu, Rt
Applications: CyTOF-ready, Flow, IHC, Simple Western, WB
NB600-600
Species: Ca, Hu, Mu
Applications: ChIP, ELISA, Flow-IC, IB, ICC/IF, IHC,  IHC-P, KD, WB
NB100-56722
Species: Ca, Hu, Mu, Rb, Rt
Applications: B/N, DB, ELISA, Flow-CS, Flow, Func, ICC/IF, IP, In vitro, WB
NB100-56566
Species: Bv, Hu, Ma, Mu, Po, Rt
Applications: B/N, ChIP, CyTOF-ready, DB, Dual ISH-IHC, ELISA(Cap), ELISA, Flow-CS, Flow-IC, Flow, ICC/IF, IHC, IHC-Fr,  IHC-P, In vitro, KD, KO, PAGE, Simple Western, WB

Publications for MOX1 Antibody (NBP2-72770) (0)

There are no publications for MOX1 Antibody (NBP2-72770).
By submitting your publication information earn gift cards and discounts for future purchases.

Reviews for MOX1 Antibody (NBP2-72770) (0)

There are no reviews for MOX1 Antibody (NBP2-72770). By submitting a review you will receive an Amazon e-Gift Card or Novus Product Discount.
  • Review with no image -- $10/€7/£6/$10 CAD/¥70 Yuan/¥1110 Yen
  • Review with an image -- $25/€18/£15/$25 CAD/¥150 Yuan/¥2500 Yen

Product General Protocols

Find general support by application which include: protocols, troubleshooting, illustrated assays, videos and webinars.

Video Protocols

WB Video Protocol

FAQs for MOX1 Antibody (NBP2-72770) (0)

There are no specific FAQs related to this product. Read our general customer & technical service FAQs.

Customers Who Bought This Also Bought

Contact Information

Product PDFs

Calculators

Concentration Calculator

The concentration calculator allows you to quickly calculate the volume, mass or concentration of your vial. Simply enter your mass, volume, or concentration values for your reagent and the calculator will determine the rest.

=
÷

Review this Product

Be the first to review our MOX1 Antibody (OTI5B11) - Azide and BSA Free and receive a gift card or discount.

Bioinformatics

Gene Symbol MEOX1