MMP-3 Antibody (JM46-22)

Images

 
Western Blot: MMP-3 Antibody (JM46-22) [NBP2-75931] - Western blot analysis of MMP-3 on different lysates. Proteins were transferred to a PVDF membrane and blocked with 5% BSA in PBS for 1 hour at room temperature. The ...read more
Immunohistochemistry-Paraffin: MMP-3 Antibody (JM46-22) [NBP2-75931] - analysis of paraffin-embedded mouse liver tissue using anti-MMP3 antibody. Counter stained with hematoxylin.
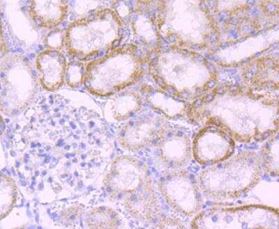
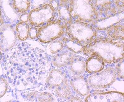
Immunohistochemistry-Paraffin: MMP-3 Antibody (JM46-22) [NBP2-75931] - analysis of paraffin-embedded rat kidney tissue using anti-MMP3 antibody. Counter stained with hematoxylin.
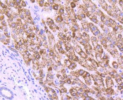
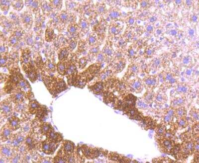
Immunohistochemistry-Paraffin: MMP-3 Antibody (JM46-22) [NBP2-75931] - analysis of paraffin-embedded human liver tissue using anti-MMP3 antibody. Counter stained with hematoxylin.
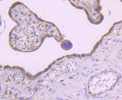
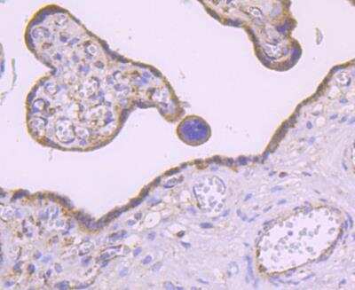
Immunohistochemistry-Paraffin: MMP-3 Antibody (JM46-22) [NBP2-75931] - analysis of paraffin-embedded human placenta tissue using anti-MMP3 antibody. Counter stained with hematoxylin.

Product Details

Summary
Product Discontinued
View other related MMP-3 Primary Antibodies

Order Details


    • Catalog Number
      NBP2-75931
    • Availability
      Product Discontinued

    Can't find what you are looking for? Use our Antibody Concierge Service & we will help you locate your antibody!

    Or feel free to contact us for alternative products.

MMP-3 Antibody (JM46-22) Summary

Additional Information
Recombinant Monoclonal Antibody.
Immunogen
Synthetic peptide within C-terminal human MMP-3. (SwissProt: P08254 Human; SwissProt: P28862 Mouse; SwissProt: P03957 Rat)
Localization
extracellular matrix.
Isotype
IgG
Clonality
Monoclonal
Host
Rabbit
Gene
MMP3
Purity
Protein A purified
Innovator's Reward
Test in a species/application not listed above to receive a full credit towards a future purchase.

Applications/Dilutions

Dilutions
  • Immunohistochemistry
  • Immunohistochemistry-Paraffin 1:50-1:200
  • Western Blot 1:500-1:2000
Publications
Read Publication using
NBP2-75931 in the following applications:

  • WB
    1 publication

Packaging, Storage & Formulations

Storage
Store at 4C short term. Aliquot and store at -20C long term. Avoid freeze-thaw cycles.
Buffer
TBS (pH7.4), 0.05% BSA, 40% Glycerol
Preservative
0.05% Sodium Azide
Concentration
1 mg/ml
Purity
Protein A purified

Alternate Names for MMP-3 Antibody (JM46-22)

  • CHDS6
  • EC 3.4.24
  • EC 3.4.24.17
  • matrix metallopeptidase 3 (stromelysin 1, progelatinase)
  • matrix metalloproteinase 3 (stromelysin 1, progelatinase)
  • Matrix metalloproteinase-3
  • MGC126102
  • MGC126103
  • MMP3
  • MMP-3
  • proteoglycanase
  • SL-1
  • STMY
  • STMY1MGC126104
  • STR1
  • Stromelysin 1
  • stromelysin-1
  • transin-1

Background

Effective inhibitors of matrix metalloproteinases (MMPs), a family of connective tissue-degrading enzymes, could be useful for the treatment of diseases such as cancer, multiple sclerosis, and arthritis (1). Matrix metalloproteinase-3 (MMP-3) is a protein involved in tumor invasion and metastasis. MMP3 (stromelysin) is a secreted metalloprotease with a wide range of substrate specificities. MMP3 is synthesized in a preproenzyme form with a calculated size of 54 kDa and a 17-amino acid long signal peptide. Data indicate that the expression and the possible involvement of secreted metalloproteases in tumorigenesis result from a specific interaction between the transforming factor and the target cell, which may vary in different species (2). In neural studies, matrix metalloproteinase-3 (MMP-3) was newly induced and activated in stressed dopamine cells, and the active form of MMP-3 (actMMP-3) was released into the medium. The released actMMP-3, as well as catalytically active recombinant MMP-3 (cMMP-3) led to microglial activation and superoxide generation in microglia and enhanced DA cell death. (3).

Limitations

This product is for research use only and is not approved for use in humans or in clinical diagnosis. Primary Antibodies are guaranteed for 1 year from date of receipt.

Customers Who Viewed This Item Also Viewed...

MMP200
Species: Ca, Hu, Mu, Po, Rt
Applications: ELISA
DTM100
Species: Hu
Applications: ELISA
DMP900
Species: Hu
Applications: ELISA
MAB901
Species: Hu
Applications: IHC, IP, KO, Neut, WB
DM1300
Species: Hu
Applications: ELISA
M6000B
Species: Mu
Applications: ELISA
DTM200
Species: Hu
Applications: ELISA
DMP700
Species: Hu
Applications: ELISA
DY1707
Species: Hu
Applications: ELISA
NBP2-67471
Species: Hu, Mu, Rt
Applications: ICC/IF, IHC,  IHC-P, WB
201-LB
Species: Hu
Applications: BA
NB100-74350
Species: Bv, Ca, Hu, Mu, Po, Rt
Applications: Flow, ICC/IF, IHC, IHC-Fr,  IHC-P, WB
DM1000
Species: Hu
Applications: ELISA
MAB9181
Species: Hu
Applications: CyTOF-ready, Flow, IHC, IP, WB
NBP2-75931
Species: Hu, Mu, Rt
Applications: WB, IHC

Publications for MMP-3 Antibody (NBP2-75931)(1)

We have publications tested in 1 confirmed species: Mouse.

We have publications tested in 1 application: WB.


Filter By Application
WB
(1)
All Applications
Filter By Species
Mouse
(1)
All Species

Reviews for MMP-3 Antibody (NBP2-75931) (0)

There are no reviews for MMP-3 Antibody (NBP2-75931). By submitting a review you will receive an Amazon e-Gift Card or Novus Product Discount.
  • Review with no image -- $10/€7/£6/$10 CAD/¥70 Yuan/¥1110 Yen
  • Review with an image -- $25/€18/£15/$25 CAD/¥150 Yuan/¥2500 Yen

Product General Protocols

Find general support by application which include: protocols, troubleshooting, illustrated assays, videos and webinars.

Video Protocols

WB Video Protocol

FAQs for MMP-3 Antibody (NBP2-75931) (0)

There are no specific FAQs related to this product. Read our general customer & technical service FAQs.

Secondary Antibodies

 

Isotype Controls

Additional MMP-3 Products

Research Areas for MMP-3 Antibody (NBP2-75931)

Find related products by research area.

Blogs on MMP-3.

MMP3 - a potential target for arthritis therapies
Matrix metalloproteinases (MMPs) are responsible for the degradation of extracellular matrix proteins. MMPs are essential for tissue remodeling during normal processes such as embryonic development as well as pathological conditions such as arthri...  Read full blog post.

Contact Information

Product PDFs

Calculators

Concentration Calculator

The concentration calculator allows you to quickly calculate the volume, mass or concentration of your vial. Simply enter your mass, volume, or concentration values for your reagent and the calculator will determine the rest.

=
÷

Review this Product

Be the first to review our MMP-3 Antibody (JM46-22) and receive a gift card or discount.

Bioinformatics

Gene Symbol MMP3