MIF Antibody (2A10-4D3)

Images

 
Western Blot: MIF Antibody (2A10-4D3) [H00004282-M01] - Analysis of MIF expression in transfected 293T cell line by MIF monoclonal antibody (M01), clone 2A10-4D3.Lane 1: MIF transfected lysate(12.5 KDa).Lane 2: ...read more
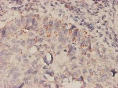
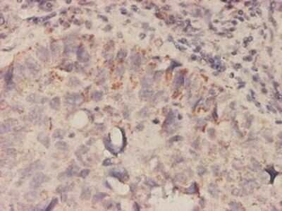
Immunohistochemistry-Paraffin: MIF Antibody (2A10-4D3) [H00004282-M01] - Analysis of monoclonal antibody to MIF on formalin-fixed paraffin-embedded human lung, adenosquamous cell carcinoma tissue. Antibody concentration ...read more
Immunoprecipitation: MIF Antibody (2A10-4D3) [H00004282-M01] - Analysis of MIF transfected lysate using anti-MIF monoclonal antibody and Protein A Magnetic Bead, and immunoblotted with MIF MaxPab rabbit polyclonal ...read more
Sandwich ELISA: MIF Antibody (2A10-4D3) [H00004282-M01] - Detection limit for recombinant GST tagged MIF is approximately 0.1ng/ml as a capture antibody.

Product Details

Summary
Product Discontinued
View other related MIF Primary Antibodies

Order Details


    • Catalog Number
      H00004282-M01
    • Availability
      Product Discontinued

    Can't find what you are looking for? Use our Antibody Concierge Service & we will help you locate your antibody!

    Or feel free to contact us for alternative products.

MIF Antibody (2A10-4D3) Summary

Description
Quality control test: Antibody Reactive Against Recombinant Protein.
Immunogen
MIF (AAH00447.1, 1 a.a. ~ 115 a.a) full-length recombinant protein with GST tag. MW of the GST tag alone is 26 KDa. MPMFIVNTNVPRASVPDGFLSELTQQLAQATGKPPQYIAVHVVPDQLMAFGGSSEPCALCSLHSIGKIGGAQNRSYSKLLCGLLAERLRISPDRVYINYYDMNAANVGWNNSTFA
Specificity
MIF - macrophage migration inhibitory factor (glycosylation-inhibiting factor)
Isotype
IgG1 Kappa
Clonality
Monoclonal
Host
Mouse
Gene
MIF
Purity
IgG purified
Innovator's Reward
Test in a species/application not listed above to receive a full credit towards a future purchase.

Applications/Dilutions

Dilutions
  • ELISA
  • Immunohistochemistry
  • Immunohistochemistry-Frozen
  • Immunohistochemistry-Paraffin
  • Immunoprecipitation
  • Sandwich ELISA
  • Western Blot 1:500
Application Notes
Antibody reactivity against recombinant protein for WB. It has been used for IHC-P and ELISA.
Publications
Read Publications using H00004282-M01.

Packaging, Storage & Formulations

Storage
Aliquot and store at -20C or -80C. Avoid freeze-thaw cycles.
Buffer
In 1x PBS, pH 7.4
Preservative
No Preservative
Purity
IgG purified

Notes

This product is produced by and distributed for Abnova, a company based in Taiwan.

Alternate Names for MIF Antibody (2A10-4D3)

  • EC 5.3.2.1
  • EC 5.3.3.12
  • GIFmacrophage migration inhibitory factor
  • GLIF
  • Glycosylation-inhibiting factor
  • L-dopachrome isomerase
  • L-dopachrome tautomerase
  • macrophage migration inhibitory factor (glycosylation-inhibiting factor)
  • MIF
  • MMIF
  • Phenylpyruvate tautomerase

Background

This gene encodes a lymphokine involved in cell-mediated immunity, immunoregulation, and inflammation. It plays a role in the regulation of macrophage function in host defense through the suppression of anti-inflammatory effects of glucocorticoids. This lymphokine and the JAB1 protein form a complex in the cytosol near the peripheral plasma membrane, which may indicate an additional role in integrin signaling pathways.

Limitations

This product is for research use only and is not approved for use in humans or in clinical diagnosis. Primary Antibodies are guaranteed for 1 year from date of receipt.

Customers Who Viewed This Item Also Viewed...

M6000B
Species: Mu
Applications: ELISA
DY417
Species: Mu
Applications: ELISA
DCP00
Species: Hu
Applications: ELISA
NB100-1985
Species: Hu, Mu(-)
Applications: CyTOF-ready, Flow, ICC/IF, IHC,  IHC-P, IP, Simple Western, WB
MAB208
Species: Hu
Applications: CyTOF-ready, ELISA(Cap), ELISA(Det), ELISA(Sta), ICC, ICFlow, Neut, Simple Western, WB
DVE00
Species: Hu
Applications: ELISA
DY1707
Species: Hu
Applications: ELISA
202-IL
Species: Hu
Applications: BA
6507-IL/CF
Species: Hu
Applications: BA
NBP2-22203
Species: Hu, Pm, Mu, Rt
Applications: ELISA, Flow, ICC/IF, IHC,  IHC-P, WB
NBP1-89772
Species: Hu, Mu
Applications: ICC/IF, IHC,  IHC-P
AF1230
Species: Hu, Mu, Rt
Applications: IHC, KO, WB
201-LB
Species: Hu
Applications: BA
MAB1417
Species: Bv, Hu, Mu
Applications: ICC, IHC
NB100-1533
Species: Hu, Mu, Po, Rt, Sh
Applications: Flow, ICC/IF, IHC,  IHC-P, PEP-ELISA, WB
NB100-56566
Species: Bv, Hu, Ma, Mu, Po, Rt
Applications: B/N, ChIP, CyTOF-ready, DB, Dual ISH-IHC, ELISA(Cap), ELISA, Flow-CS, Flow-IC, Flow, ICC/IF, IHC, IHC-Fr,  IHC-P, In vitro, KD, KO, PAGE, Simple Western, WB
NB200-103
Species: Hu, Mu, Rt, Xp(-), Ye
Applications: CyTOF-ready, ELISA, Flow-IC, Flow, ICC/IF, IHC, IHC-Fr,  IHC-P, IP, WB
H00004282-M01
Species: Hu
Applications: WB, ELISA, IHC, IP

Publications for MIF Antibody (H00004282-M01)(2)

Reviews for MIF Antibody (H00004282-M01) (0)

There are no reviews for MIF Antibody (H00004282-M01). By submitting a review you will receive an Amazon e-Gift Card or Novus Product Discount.
  • Review with no image -- $10/€7/£6/$10 CAD/¥70 Yuan/¥1110 Yen
  • Review with an image -- $25/€18/£15/$25 CAD/¥150 Yuan/¥2500 Yen

Product General Protocols

Find general support by application which include: protocols, troubleshooting, illustrated assays, videos and webinars.

Video Protocols

WB Video Protocol

FAQs for MIF Antibody (H00004282-M01) (0)

There are no specific FAQs related to this product. Read our general customer & technical service FAQs.

Secondary Antibodies

 

Isotype Controls

Additional MIF Products

Research Areas for MIF Antibody (H00004282-M01)

Find related products by research area.

Blogs on MIF

There are no specific blogs for MIF, but you can read our latest blog posts.

Contact Information

Product PDFs

Calculators

Concentration Calculator

The concentration calculator allows you to quickly calculate the volume, mass or concentration of your vial. Simply enter your mass, volume, or concentration values for your reagent and the calculator will determine the rest.

=
÷

Review this Product

Be the first to review our MIF Antibody (2A10-4D3) and receive a gift card or discount.

Bioinformatics

Gene Symbol MIF
Entrez
OMIM
Uniprot