METTL7B Antibody - BSA Free

Images

 
Western Blot: METTL7B Antibody [NBP1-76958] - Rat spleen tissue lysate with MettL7B antibody at (A) 2 and (B) 4 ug/mL.
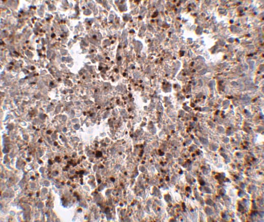
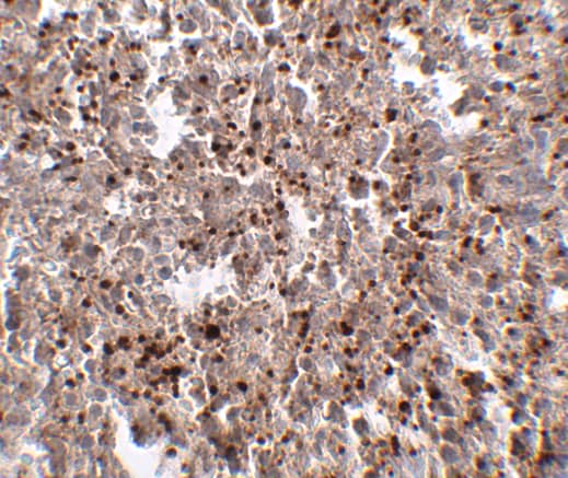
Immunohistochemistry: METTL7B Antibody - BSA Free [NBP1-76958] - Immunohistochemistry of Mett7LB in human spleen tissue with METTL7B antibody at 2.5 ug/mL.

Product Details

Summary
Reactivity Hu, Mu, RtSpecies Glossary
Applications WB, ELISA, IHC
Clonality
Polyclonal
Host
Rabbit
Conjugate
Unconjugated
Format
BSA Free
Concentration
1 mg/ml

Order Details

METTL7B Antibody - BSA Free Summary

Description
Novus Biologicals Rabbit METTL7B Antibody - BSA Free (NBP1-76958) is a polyclonal antibody validated for use in IHC, WB and ELISA. All Novus Biologicals antibodies are covered by our 100% guarantee.
Immunogen
Antibody was raised against a 16 amino acid synthetic peptide near the carboxy terminus of human MettL7B. The immunogen is located within the last 50 amino acids of MettL7B. Amino Acid Squence: QFSEIQMERQPPPLK
Specificity
This MettL7B antibody is predicted to not cross-react with MettL7A.
Isotype
IgG
Clonality
Polyclonal
Host
Rabbit
Gene
TMT1B
Purity
Peptide affinity purified
Innovator's Reward
Test in a species/application not listed above to receive a full credit towards a future purchase.

Applications/Dilutions

Dilutions
  • ELISA 1:100-1:2000
  • Immunohistochemistry 2.5 ug/ml
  • Immunohistochemistry-Paraffin 2.5 ug/ml
  • Western Blot 2-4 ug/ml
Control Peptide
METTL7B Peptide (NBP1-76958PEP)

Packaging, Storage & Formulations

Storage
Store at 4C short term. Aliquot and store at -20C long term. Avoid freeze-thaw cycles.
Buffer
PBS
Preservative
0.02% Sodium Azide
Concentration
1 mg/ml
Purity
Peptide affinity purified

Alternate Names for METTL7B Antibody - BSA Free

  • EC 2.1.1
  • EC 2.1.1.-
  • methyltransferase like 7B
  • methyltransferase-like protein 7B
  • MGC17301

Background

MettL7B belongs to the methyltransferase superfamily. It is a probable methyltransferase. Methyltransferase is a type of transferase enzyme which transfers a methyl group from a donor to an acceptor. Often methylation occurs on nucleic bases in DNA or amino acids in protein structures. DNA methylation is often utilized to silence and regulate genes without changing the original DNA sequence. DNA methylation may be necessary for normal growth from embryonic stages in mammals. When mutant embryonic stem cells lacking the murine DNA methyltransferase gene were introduced to a germline of mice they caused a recessive lethal phenotype. Methylation may also be linked to cancer development as methylation of tumor suppressor genes promotes tumorgenesis and metastasis. This MettL7B antibody is predicted to not cross-react with MettL7A.

Limitations

This product is for research use only and is not approved for use in humans or in clinical diagnosis. Primary Antibodies are guaranteed for 1 year from date of receipt.

Customers Who Viewed This Item Also Viewed...

NB110-40764
Species: Hu, Mu, Po, Pm
Applications: ICC/IF, WB
H00342184-M07
Species: Hu
Applications: ELISA, ICC/IF, WB
NBP1-80789
Species: Hu
Applications: IHC,  IHC-P, KD, WB
H00008826-M01
Species: Hu
Applications: ELISA, ICC/IF, IHC,  IHC-P, KD, S-ELISA, WB
NB600-101
Species: Bv, Ha, Hu, Mu, Pm, Rt
Applications: B/N, DB, EM, Flow, ICC/IF, IHC,  IHC-P, IP, KD, PA, Simple Western, WB
NBP1-58359
Species: Hu
Applications: IHC,  IHC-P, WB
AF6989
Species: Mu
Applications: IHC
NBP2-25160
Species: Bv, Ca, Eq, Hu, Mu, Po, Rt
Applications: ICC/IF, IHC, WB
H00002770-M01
Species: Hu
Applications: ELISA, IHC,  IHC-P, S-ELISA, WB
NB110-40877
Species: Bv, Hu, Mu, Rt
Applications: Dual ISH-IHC, ICC/IF, IHC, IHC-Fr,  IHC-P, Simple Western, WB
NB400-144
Species: Av, Bv, Hu, Mu, Po, Pm, Rb, Rt
Applications: ICC/IF, IHC, IHC-Fr,  IHC-P, WB
AF3049
Species: Hu
Applications: IHC, WB
NBP2-02705
Species: Ca, Hu, Pm, Pm
Applications: Flow, IHC,  IHC-P, WB
NBP1-84996
Species: Hu, Mu, Rt
Applications: ICC/IF, IHC,  IHC-P, WB
NBP1-84510
Species: Hu, Mu
Applications: ICC/IF, IHC,  IHC-P, WB
NBP1-31116
Species: Hu, Mu, Rt
Applications: ICC/IF, IHC,  IHC-P, IP, WB
NB100-615
Species: Hu, Mu, Rt, Sh
Applications: Flow, IB, ICC/IF, IHC, IHC-Fr,  IHC-P, IP, WB
NBP1-76958
Species: Hu, Mu, Rt
Applications: WB, ELISA, IHC

Publications for METTL7B Antibody (NBP1-76958) (0)

There are no publications for METTL7B Antibody (NBP1-76958).
By submitting your publication information earn gift cards and discounts for future purchases.

Reviews for METTL7B Antibody (NBP1-76958) (0)

There are no reviews for METTL7B Antibody (NBP1-76958). By submitting a review you will receive an Amazon e-Gift Card or Novus Product Discount.
  • Review with no image -- $10/€7/£6/$10 CAD/¥70 Yuan/¥1110 Yen
  • Review with an image -- $25/€18/£15/$25 CAD/¥150 Yuan/¥2500 Yen

Product General Protocols

Find general support by application which include: protocols, troubleshooting, illustrated assays, videos and webinars.

Video Protocols

WB Video Protocol

FAQs for METTL7B Antibody (NBP1-76958) (0)

There are no specific FAQs related to this product. Read our general customer & technical service FAQs.

Secondary Antibodies

 

Isotype Controls

Additional METTL7B Products

Research Areas for METTL7B Antibody (NBP1-76958)

Find related products by research area.

Blogs on METTL7B

There are no specific blogs for METTL7B, but you can read our latest blog posts.

Customers Who Bought This Also Bought

Contact Information

Product PDFs

Calculators

Concentration Calculator

The concentration calculator allows you to quickly calculate the volume, mass or concentration of your vial. Simply enter your mass, volume, or concentration values for your reagent and the calculator will determine the rest.

=
÷

Review this Product

Be the first to review our METTL7B Antibody - BSA Free and receive a gift card or discount.

Bioinformatics

Gene Symbol TMT1B
Uniprot