Mesothelin Antibody (CL13956) - Azide and BSA Free

Images

 
Orthogonal Strategies: Analysis in human fallopian tube and skeletal muscle tissues using NBP3-43845 antibody. Corresponding Mesothelin RNA-seq data are presented for the same tissues.
Staining of human fallopian tube shows strong membranous positivity in glandular cells.
Staining of human skeletal muscle shows no positivity in myocytes as expected.
Staining of human ovarian cancer (papillary carcinoma) shows strong membranous positivity in tumor cells.
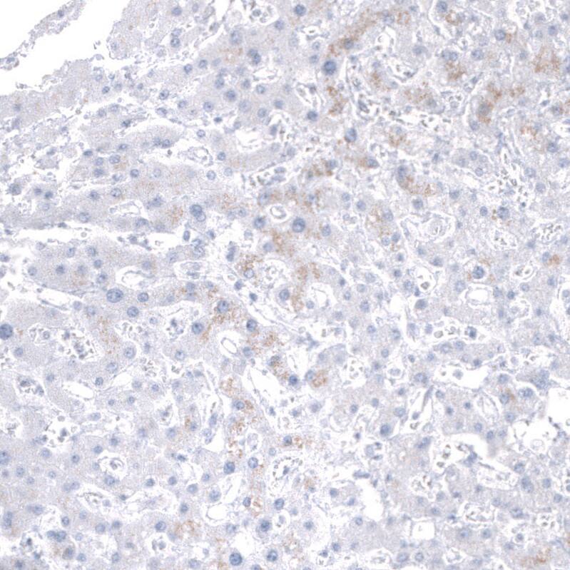
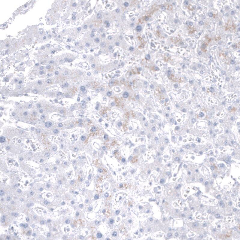
Staining of human liver shows no positivity in hepatocytes as expected.
Staining of human ovarian cancer (high grade serous ovarian carcinoma) shows strong membranous and cytoplasmic positivity in tumor cells.
Orthogonal Strategies: Analysis in human cell lines HeLa and PC-3 using Anti-Mesothelin antibody. Corresponding Mesothelin RNA-seq data are presented for the same cell lines. Loading control: Anti-HSP90B1.
Staining of human tonsil shows strong membranous positivity in squamous epithelial cells.

Product Details

Summary
Reactivity HuSpecies Glossary
Applications WB, IHC
Clone
CL13956
Clonality
Monoclonal
Host
Mouse
Conjugate
Unconjugated
Format
Azide and BSA Free
Concentration
LYOPH
Validated by:
       

Orthogonal Strategies

 

Order Details

Mesothelin Antibody (CL13956) - Azide and BSA Free Summary

Description
Novus Biologicals Mouse Mesothelin Antibody (CL13956) - Azide and BSA Free (NBP3-24589) is a monoclonal antibody validated for use in IHC and WB. All Novus Biologicals antibodies are covered by our 100% guarantee.
Immunogen
This antibody was generated using a recombinant protein sequence of Q13421, with the exact immunogen sequence remaining proprietary.
Isotype
IgG1
Clonality
Monoclonal
Host
Mouse
Gene
MSLN
Purity
Protein A purified
Innovator's Reward
Test in a species/application not listed above to receive a full credit towards a future purchase.

Applications/Dilutions

Dilutions
  • Immunohistochemistry-Paraffin 1:500 - 1:1000
  • Western Blot 1 ug/ml
Application Notes
For IHC-Paraffin, we recommend using Heat-Induced Epitope Retrieval (HIER) with a pH level of 6. This optimized retrieval method ensures the best results for your experiments.

Packaging, Storage & Formulations

Storage
Store at 4C short term. Aliquot and store at -20C long term. Avoid freeze-thaw cycles.
Buffer
Lyophilized from a 0.2 um filtered solution in PBS with Trehalose
Preservative
No Preservative
Concentration
LYOPH
Purity
Protein A purified
Reconstitution Instructions
Centrifuge the vial of lyophilized antibody at 12,000 x g for 20 seconds. Reconstitute by adding sterile, distilled water to achieve a final antibody concentration of 1mg/ml.

Alternate Names for Mesothelin Antibody (CL13956) - Azide and BSA Free

  • CAK1 antigen
  • CAK1
  • megakaryocyte potentiating factor
  • Mesothelin
  • MPF
  • MPFSMRP
  • MSLN
  • Pre-pro-megakaryocyte-potentiating factor
  • SMR
  • soluble MPF mesothelin related protein

Background

MSLN, also known as Mesothelin, has 4 isoforms, a 630 amino acid isoform that is 69 kDa, a 622 amino acid isoform that is 68 kDa, a 656 amino acid isoform that is 71 kDa, and a 621 amino acid isoform that is 68 kDa, expressed in lung, heart, placenta kidney, and overexpressed in mesotheliomas, ovarian cancers, and some squamous cell carcinomas. Membrane-anchored forms may play a role in cellular adhesion and megakaryocyte-potentiating factor (MPF) potentiates megakaryocyte colony formation in vitro. Current research is being performed on several diseases and disorders including squamous cell carcinoma, ovarian cancer, carcinoma, malignant biphasic mesothelioma, bile duct adenoma, malignant mesothelioma, malignant pleural mesothelioma, gastrointestinal stromal tumor, renal clear cell carcinoma, epithelioid sarcoma, benign mesothelioma, pancreatic ductal adenocarcinoma, asbestosis, pancreatic ductal carcinoma, thymic carcinoma, acute myeloid leukemia, epithelial ovarian cancer, myeloid leukemia, thoracic cancer, and pancreatitis. This protein has also shown an interaction with MUC16 and RSG1 in cell adhesion and pancreas development processes and pathways.

Limitations

This product is for research use only and is not approved for use in humans or in clinical diagnosis. Primary Antibodies are guaranteed for 1 year from date of receipt.

Customers Who Viewed This Item Also Viewed...

NBP1-85729
Species: Hu, Mu, Rt
Applications: ICC/IF, IHC,  IHC-P, WB
NBP2-33466
Species: Hu
Applications: ICC/IF, IHC,  IHC-P, WB
AF6000
Species: Hu, Mu
Applications: IHC, Simple Western, WB
NBP1-86241
Species: Hu
Applications: IHC,  IHC-P, WB
NBP2-45184
Species: Hu, Mu, Rt
Applications: Flow, ICC/IF, IHC,  IHC-P, WB
AF808
Species: Mu
Applications: ELISA(Cap), ELISA(Det), ELISA(Sta), ICC, IHC, Neut, WB
NBP2-13304
Species: Hu
Applications: ICC/IF, IHC,  IHC-P, WB
MAB4459
Species: Hu, Mu, Rt
Applications: WB
NBP2-14243
Species: Hu, Mu
Applications: ICC/IF, IHC,  IHC-P, Simple Western, WB
5609-MU
Species: Hu
Applications: Bind
NB500-106
Species: Ch, Dr, Fi, Hu, Mar, Mu, Po, Pm, Rb, Rt, Ye, Ze
Applications: ChIP, ChIP, ELISA, Flow, ICC/IF, IHC-FrFl, IHC, IHC-Fr,  IHC-P, IP, Simple Western, WB
7954-GM/CF
Species: Hu
Applications: BA
NBP1-85727
Species: Hu
Applications: ICC/IF, IHC,  IHC-P
NBP2-42388
Species: Hu
Applications: ICC/IF, IHC,  IHC-P, KD, WB
NBP2-22203
Species: Hu, Pm, Mu, Rt
Applications: ELISA, Flow, ICC/IF, IHC,  IHC-P, WB
AF1230
Species: Hu, Mu, Rt
Applications: IHC, KO, WB
H00000902-M01
Species: Hu
Applications: ELISA, ICC/IF, IHC,  IHC-P, S-ELISA, WB
288-TPN/CF
Species: Hu
Applications: BA
NBP1-87905
Species: Hu
Applications: ICC/IF, IHC,  IHC-P, WB
NBP3-43845
Species: Hu
Applications: WB, IHC

Publications for Mesothelin Antibody (NBP3-43845) (0)

There are no publications for Mesothelin Antibody (NBP3-43845).
By submitting your publication information earn gift cards and discounts for future purchases.

Reviews for Mesothelin Antibody (NBP3-43845) (0)

There are no reviews for Mesothelin Antibody (NBP3-43845). By submitting a review you will receive an Amazon e-Gift Card or Novus Product Discount.
  • Review with no image -- $10/€7/£6/$10 CAD/¥70 Yuan/¥1110 Yen
  • Review with an image -- $25/€18/£15/$25 CAD/¥150 Yuan/¥2500 Yen

Product General Protocols

Find general support by application which include: protocols, troubleshooting, illustrated assays, videos and webinars.

Video Protocols

WB Video Protocol

FAQs for Mesothelin Antibody (NBP3-43845) (0)

There are no specific FAQs related to this product. Read our general customer & technical service FAQs.

Secondary Antibodies

 

Isotype Controls

Additional Mesothelin Products

Research Areas for Mesothelin Antibody (NBP3-43845)

Find related products by research area.

Blogs on Mesothelin

There are no specific blogs for Mesothelin, but you can read our latest blog posts.

Customers Who Bought This Also Bought

Contact Information

Product PDFs

Calculators

Concentration Calculator

The concentration calculator allows you to quickly calculate the volume, mass or concentration of your vial. Simply enter your mass, volume, or concentration values for your reagent and the calculator will determine the rest.

=
÷

Review this Product

Be the first to review our Mesothelin Antibody (CL13956) - Azide and BSA Free and receive a gift card or discount.

Bioinformatics

Gene Symbol MSLN