| Immunogen | This antibody was developed against Recombinant Protein corresponding to amino acids: PPNFEMPVSIPVSSHNSLVYSNPVSSLGNPNLLPLAHPSLQRNSMSPGVTHRPPSAGNTGGLMGGDLTSGAGTSAGNGYGNPRNSPGLLVSPGNLNKNMQAKSPPPMNLGMNNRKPDLRVLIPPGSKNTMPSVNQRINN |
| Specificity | Specificity of human MEF2C antibody verified on a Protein Array containing target protein plus 383 other non-specific proteins. |
| Predicted Species | Mouse (97%), Rat (99%). Backed by our 100% Guarantee. |
| Isotype | IgG |
| Clonality | Polyclonal |
| Host | Rabbit |
| Gene | MEF2C |
| Purity | Immunogen affinity purified |
| Innovator's Reward | Test in a species/application not listed above to receive a full credit towards a future purchase. |
| Dilutions |
|
||
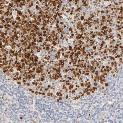
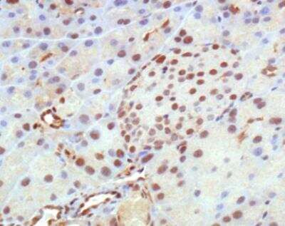
| Application Notes | For IHC-Paraffin, HIER pH 6 retrieval is recommended. ICC/IF Fixation Permeabilization: Use PFA/Triton X-100. |
||
| Control Peptide |
|
||
| Publications |
|
| Storage | Store at 4C short term. Aliquot and store at -20C long term. Avoid freeze-thaw cycles. |
| Buffer | PBS (pH 7.2) and 40% Glycerol |
| Preservative | 0.02% Sodium Azide |
| Purity | Immunogen affinity purified |
Secondary Antibodies |
Isotype Controls |
Diseases for MEF2C Antibody (NBP1-89468)Discover more about diseases related to MEF2C Antibody (NBP1-89468).
| Pathways for MEF2C Antibody (NBP1-89468)View related products by pathway.
|
PTMs for MEF2C Antibody (NBP1-89468)Learn more about PTMs related to MEF2C Antibody (NBP1-89468).
|

The concentration calculator allows you to quickly calculate the volume, mass or concentration of your vial. Simply enter your mass, volume, or concentration values for your reagent and the calculator will determine the rest.
| Gene Symbol | MEF2C |