LYRM1 Antibody - BSA Free

Images

 
Western Blot: LYRM1 Antibody [NBP1-77136] - Human liver tissue lysate with LYRM1 antibody at (A) 1 and (B) 2 ug/mL.
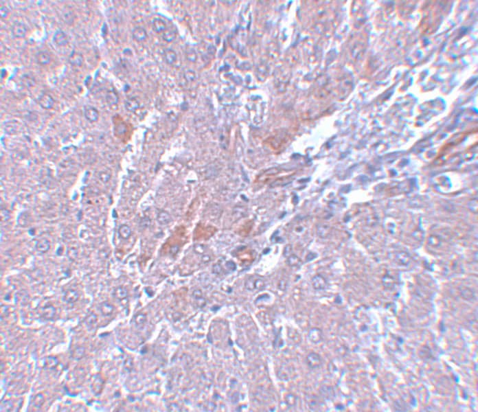
Immunohistochemistry: LYRM1 Antibody - BSA Free [NBP1-77136] - Immunohistochemistry of LYRM1 in rat liver tissue with LYRM1 antibody at 5 u/mL.
Immunocytochemistry/ Immunofluorescence: LYRM1 Antibody - BSA Free [NBP1-77136] - Immunofluorescence of LYRM1 in rat liver tissue with LYRM1 antibody at 20 u/mL.

Product Details

Summary
Reactivity Hu, Mu, RtSpecies Glossary
Applications WB, ELISA, ICC/IF, IHC
Clonality
Polyclonal
Host
Rabbit
Conjugate
Unconjugated
Format
BSA Free
Concentration
1 mg/ml

Order Details

LYRM1 Antibody - BSA Free Summary

Description
Novus Biologicals Rabbit LYRM1 Antibody - BSA Free (NBP1-77136) is a polyclonal antibody validated for use in IHC, WB, ELISA and ICC/IF. All Novus Biologicals antibodies are covered by our 100% guarantee.
Immunogen
Antibody was raised against a 17 amino acid synthetic peptide near the center of human LYRM1. The immunogen is located within the first 50 amino acids of LYRM1. Amino Acid Squence: RKWQATSGQMEDTIKEK
Isotype
IgG
Clonality
Polyclonal
Host
Rabbit
Gene
LYRM1
Purity
Peptide affinity purified
Innovator's Reward
Test in a species/application not listed above to receive a full credit towards a future purchase.

Applications/Dilutions

Dilutions
  • ELISA 1:100-1:2000
  • Immunocytochemistry/ Immunofluorescence 20 ug/ml
  • Immunohistochemistry 5 ug/ml
  • Immunohistochemistry-Paraffin 5 ug/ml
  • Western Blot 1-2 ug/ml
Control Peptide
LYRM1 Peptide (NBP1-77136PEP)

Packaging, Storage & Formulations

Storage
Store at 4C short term. Aliquot and store at -20C long term. Avoid freeze-thaw cycles.
Buffer
PBS
Preservative
0.02% Sodium Azide
Concentration
1 mg/ml
Purity
Peptide affinity purified

Alternate Names for LYRM1 Antibody - BSA Free

  • A211C6.1
  • LYR motif containing 1
  • LYR motif-containing protein 1

Background

LYRM1 was one of many genes identified through a suppression subtractive hybridization comparing their expression in omental adipose tissue of obese patients compared to non-obese individuals. Further study confirms that both mRNA and protein levels of LYRM1 are higher in obese individuals. LYRM1 is widely expressed, with highest levels occurring in adipose and liver tissues. It is thought that LYRM1 promotes preadipocyte proliferation and can inhibit apoptosis of preadipocytes. Ectopic LYRM1 expression did not significantly affect adipogenesis, suggesting that LYRM1 can influence adipose tissue homeostasis by modulating the size of the preadipocyte pool.

Limitations

This product is for research use only and is not approved for use in humans or in clinical diagnosis. Primary Antibodies are guaranteed for 1 year from date of receipt.

Customers Who Viewed This Item Also Viewed...

MAB1417
Species: Bv, Hu, Mu
Applications: ICC, IHC
NBP1-49533
Species: Hu, Mu, Pl, Rt
Applications: Flow-IC, Flow, ICC/IF, IHC,  IHC-P, KD, WB
NB100-82001
Species: Hu, Mu, Po, Rt
Applications: ICC/IF, IHC,  IHC-P, Simple Western, WB
AF887
Species: Hu, Mu, Rt
Applications: CyTOF-ready, IHC, ICFlow, Simple Western, WB
NBP2-45626
Species: Hu
Applications: ICC/IF, IHC,  IHC-P, WB
NB100-59742
Species: Hu, Mu, Rt
Applications: ICC/IF, IHC, PEP-ELISA, WB
NBP2-94035
Species: Hu, Mu, Rt
Applications: ChIP, ELISA, ICC/IF, IHC,  IHC-P, WB
NBP1-89296
Species: Hu
Applications: IHC,  IHC-P, WB
DRSN00
Species: Hu
Applications: ELISA
NBP1-81328
Species: Hu
Applications: ICC/IF, WB
MAB8164
Species: Hu
Applications: CyTOF-ready, Flow, ICC, IHC
NBP1-88650
Species: Hu
Applications: IHC,  IHC-P, KD, WB
NBP2-19804
Species: Hu, Mu
Applications: ICC/IF, IHC,  IHC-P, WB
NBP1-68874
Species: Hu, Mu, Rt
Applications: PEP-ELISA, WB
AF8691
Species: Hu, Mu, Rt
Applications: IHC, KO, Simple Western, WB
NBP2-15071
Species: Hu, Mu, Rt
Applications: ICC/IF, IHC,  IHC-P, KO, WB
NBP1-77136
Species: Hu, Mu, Rt
Applications: WB, ELISA, ICC/IF, IHC

Publications for LYRM1 Antibody (NBP1-77136) (0)

There are no publications for LYRM1 Antibody (NBP1-77136).
By submitting your publication information earn gift cards and discounts for future purchases.

Reviews for LYRM1 Antibody (NBP1-77136) (0)

There are no reviews for LYRM1 Antibody (NBP1-77136). By submitting a review you will receive an Amazon e-Gift Card or Novus Product Discount.
  • Review with no image -- $10/€7/£6/$10 CAD/¥70 Yuan/¥1110 Yen
  • Review with an image -- $25/€18/£15/$25 CAD/¥150 Yuan/¥2500 Yen

Product General Protocols

Find general support by application which include: protocols, troubleshooting, illustrated assays, videos and webinars.

Video Protocols

WB Video Protocol
ICC/IF Video Protocol

FAQs for LYRM1 Antibody (NBP1-77136) (0)

There are no specific FAQs related to this product. Read our general customer & technical service FAQs.

Customers Who Bought This Also Bought

Contact Information

Product PDFs

Calculators

Concentration Calculator

The concentration calculator allows you to quickly calculate the volume, mass or concentration of your vial. Simply enter your mass, volume, or concentration values for your reagent and the calculator will determine the rest.

=
÷

Review this Product

Be the first to review our LYRM1 Antibody - BSA Free and receive a gift card or discount.

Bioinformatics

Gene Symbol LYRM1
Uniprot