LYPLA3 Antibody

Images

 
Western Blot: LYPLA3 Antibody [NBP2-17192] - Sample (30 ug of whole cell lysate) A: Hep G2 10% SDS PAGE gel, diluted at 1:1000.
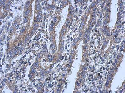
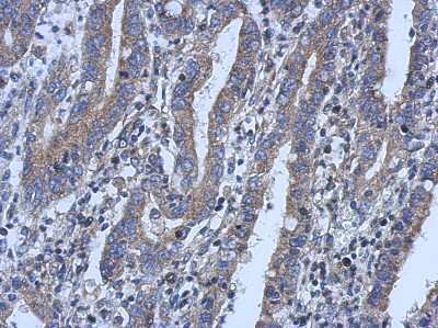
Immunohistochemistry-Paraffin: LYPLA3 Antibody [NBP2-17192] - Immunohistochemical analysis of paraffin-embedded Colon ca, using antibody at 1:500 dilution.

Product Details

Summary
Product Discontinued
View other related LYPLA3 Primary Antibodies

Order Details


    • Catalog Number
      NBP2-17192
    • Availability
      Product Discontinued

    Can't find what you are looking for? Use our Antibody Concierge Service & we will help you locate your antibody!

    Or feel free to contact us for alternative products.

LYPLA3 Antibody Summary

Immunogen
Recombinant protein encompassing a sequence within the center region of human LYPLA3. The exact sequence is proprietary.
Localization
Lysosome (By similarity); Secreted
Predicted Species
Rhesus Macaque (97%). Backed by our 100% Guarantee.
Isotype
IgG
Clonality
Polyclonal
Host
Rabbit
Gene
PLA2G15
Purity
Immunogen affinity purified
Innovator's Reward
Test in a species/application not listed above to receive a full credit towards a future purchase.

Applications/Dilutions

Dilutions
  • Immunohistochemistry 1:100-1:1000
  • Immunohistochemistry-Paraffin 1:100-1:1000
  • Western Blot 1:500-1:3000
Theoretical MW
47 kDa.
Disclaimer note: The observed molecular weight of the protein may vary from the listed predicted molecular weight due to post translational modifications, post translation cleavages, relative charges, and other experimental factors.

Reactivity Notes

Immunogen displays the following percentage of sequence identity for non-tested species: Mouse (88%), Rat (87%), Dog (89%).

Packaging, Storage & Formulations

Storage
Aliquot and store at -20C or -80C. Avoid freeze-thaw cycles.
Buffer
PBS (pH 7), 20% Glycerol, 1% BSA
Preservative
0.01% Thimerosal
Purity
Immunogen affinity purified

Alternate Names for LYPLA3 Antibody

  • 1-O-acylceramide synthase
  • ACSDKFZp564A0122
  • EC 2.3.1.43
  • GXVPLA2
  • LLPLLCAT-like lysophospholipase
  • LPLA2group XV phospholipase A2
  • LYPLA3EC 2.3.1.-
  • lysophospholipase 3 (lysosomal phospholipase A2)
  • Lysophospholipase 3
  • Lysosomal phospholipase A2
  • phospholipase A2, group XV

Background

Lysophospholipases are enzymes that act on biological membranes to regulate the multifunctional lysophospholipids. The protein encoded by this gene hydrolyzes lysophosphatidylcholine to glycerophosphorylcholine and a free fatty acid. This enzyme is present in the plasma and thought to be associated with high-density lipoprotein. A later paper contradicts the function of this gene. It demonstrates that this gene encodes a lysosomal enzyme instead of a lysophospholipase and has both calcium-independent phospholipase A2 and transacylase activities. [provided by RefSeq]

Limitations

This product is for research use only and is not approved for use in humans or in clinical diagnosis. Primary Antibodies are guaranteed for 1 year from date of receipt.

Customers Who Viewed This Item Also Viewed...

DY1707
Species: Hu
Applications: ELISA
MAB1266
Species: Hu
Applications: CyTOF-ready, IP, ICFlow, WB
NBP1-90276
Species: Hu, Mu
Applications: ICC/IF, IHC,  IHC-P, WB
355-BM
Species: Hu, Mu, Rt
Applications: BA
AF5739
Species: Hu, Mu, Rt
Applications: WB
AF5769
Species: Hu
Applications: IHC, WB
AF1513
Species: Mu
Applications: CyTOF-ready, Flow, IHC, IP, Simple Western, WB
M6000B
Species: Mu
Applications: ELISA
DKK300
Species: Hu
Applications: ELISA
H00051703-M01
Species: Hu
Applications: ELISA, IHC,  IHC-P, IP, S-ELISA, WB
MAB6898
Species: Hu, Mu
Applications: WB
DCDL40
Species: Hu
Applications: ELISA
NBP1-89270
Species: Hu
Applications: ICC/IF, IHC,  IHC-P, WB
AF3667
Species: Hu, Mu
Applications: Dual ISH-IHC, ICC, IHC, Simple Western, WB
MAB1417
Species: Bv, Hu, Mu
Applications: ICC, IHC
NBP2-17192
Species: Hu, RM
Applications: WB, IHC
⚠ WARNING: This product can expose you to chemicals including mercury, which is known to the State of California to cause reproductive toxicity with developmental effects.  For more information go to www.P65Warnings.ca.gov.

Publications for LYPLA3 Antibody (NBP2-17192) (0)

There are no publications for LYPLA3 Antibody (NBP2-17192).
By submitting your publication information earn gift cards and discounts for future purchases.

Reviews for LYPLA3 Antibody (NBP2-17192) (0)

There are no reviews for LYPLA3 Antibody (NBP2-17192). By submitting a review you will receive an Amazon e-Gift Card or Novus Product Discount.
  • Review with no image -- $10/€7/£6/$10 CAD/¥70 Yuan/¥1110 Yen
  • Review with an image -- $25/€18/£15/$25 CAD/¥150 Yuan/¥2500 Yen

Product General Protocols

Find general support by application which include: protocols, troubleshooting, illustrated assays, videos and webinars.

Video Protocols

WB Video Protocol

FAQs for LYPLA3 Antibody (NBP2-17192) (0)

There are no specific FAQs related to this product. Read our general customer & technical service FAQs.

Contact Information

Product PDFs

Calculators

Concentration Calculator

The concentration calculator allows you to quickly calculate the volume, mass or concentration of your vial. Simply enter your mass, volume, or concentration values for your reagent and the calculator will determine the rest.

=
÷

Review this Product

Be the first to review our LYPLA3 Antibody and receive a gift card or discount.

Bioinformatics

Gene Symbol PLA2G15
Uniprot