LAMP-1/CD107a Antibody (6E2)

Images

 

Product Details

Summary
Product Discontinued
View other related LAMP-1/CD107a Primary Antibodies

Order Details


    • Catalog Number
      NBP2-25155
    • Availability
      Product Discontinued

    Can't find what you are looking for? Use our Antibody Concierge Service & we will help you locate your antibody!

    Or feel free to contact us for alternative products.

LAMP-1/CD107a Antibody (6E2) Summary

Immunogen
Full length human LAMP1 [UniProt# P11279]
Localization
Cell membrane; Single-pass type I membrane protein. Endosome membrane; Single-pass type I membrane protein. Lysosome membrane; Single-pass type I membrane protein. Late endosome.
Marker
Late Endosome Marker
Isotype
IgG1
Clonality
Monoclonal
Host
Mouse
Gene
LAMP1
Purity
Immunogen affinity purified
Innovator's Reward
Test in a species/application not listed above to receive a full credit towards a future purchase.

Applications/Dilutions

Dilutions
  • Immunocytochemistry/ Immunofluorescence 1:500
  • Western Blot 1:5000-1:10000
Application Notes
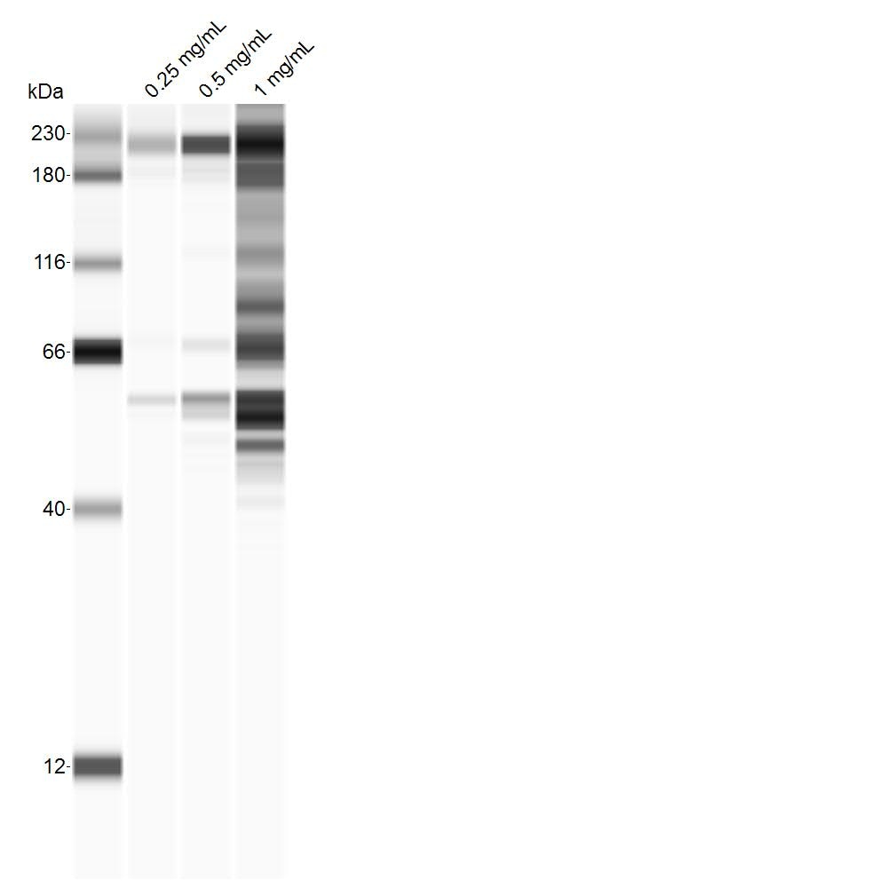
This LAMP1 (6E2) antibody is useful for Immunocytochemistry/Immunofluorescence and Western Blot, where a band can be seen at ~90-120 kDa.
Reviewed Applications
Read 1 Review rated 3
using
NBP2-25155 in the following applications:

Publications
Read Publications using
NBP2-25155 in the following applications:

  • IP
    1 publication
  • WB
    2 publications

Packaging, Storage & Formulations

Storage
Store at 4C short term. Aliquot and store at -20C long term. Avoid freeze-thaw cycles.
Buffer
PBS
Preservative
0.07% Sodium Azide
Concentration
1.0 mg/ml
Purity
Immunogen affinity purified

Alternate Names for LAMP-1/CD107a Antibody (6E2)

  • CD107 antigen-like family member A
  • CD107a antigen
  • CD107a
  • LAMP1
  • LAMP-1
  • LAMPA
  • LGP120
  • lysosomal-associated membrane protein 1
  • lysosome-associated membrane glycoprotein 1
  • Lysosome-associated membrane protein 1

Background

LAMP-1 (lysosome-associated membrane protein 1), also known as CD107a (cluster of differentiation 107a), is a major component of lysosomal membranes that plays an important role in lysosomal biogenesis, autophagy, and cholesterol metabolism (1). LAMP-1 is a type I transmembrane glycoprotein that is expressed on plasma membranes and the membranes of endosomes, autolysosomes, and lysosomes (1,2). Additionally, LAMP-1/CD107a is a commonly used marker for natural killer (NK) cell degranulation (3). LAMP-1 and another lysosomal-associated membrane protein, LAMP-2, together make up about half of all lysosome membrane proteins (1). Additionally, LAMP-1 has a role in presenting carbohydrate ligands to selectins (2). Human LAMP-1 protein is comprised of 417 amino acids (aa) with a theoretical molecular weight of 44.8 kDa; however, glycosylation can increase the molecular weight upwards of 120 kDa (1, 4). Structurally, LAMP-1 protein contains a large luminal/extracellular domain (29-382 aa), a helical transmembrane domain (383-405 aa), and a short cytoplasmic tail (406-417 aa) (1,2). Additionally, the protein has many N- and O-linked glycosylation sites which helps with stability in the membrane (1,2).

LAMP-1 plays an important role in autophagy-mediated ATP-release during apoptosis where lysosomes containing intracellular ATP migrate to the plasma membrane and, during exocytosis, LAMP-1 is exposed to the cell surface (5). Studies have found that knockdown of LAMP-1 blocks the ATP release from the cell (5). Furthermore, an absence of LAMP-1 and LAMP-2 leads to an accumulation of lysosomal cholesterol (6). Lysosomal membrane dysfunction or defects has also been associated with disease development (6,7). For example, one feature of pancreatitis is autophagy impairment which is caused by lysosomal dysfunction and a corresponding decrease in lysosomal-membrane associated proteins LAMP-1 and LAMP-2 (7).

References

1. Eskelinen E. L. (2006). Roles of LAMP-1 and LAMP-2 in lysosome biogenesis and autophagy. Molecular aspects of medicine, 27(5-6), 495-502. https://doi.org/10.1016/j.mam.2006.08.005

2. Cheng, X. T., Xie, Y. X., Zhou, B., Huang, N., Farfel-Becker, T., & Sheng, Z. H. (2018). Revisiting LAMP1 as a marker for degradative autophagy-lysosomal organelles in the nervous system. Autophagy, 14(8), 1472-1474. https://doi.org/10.1080/15548627.2018.1482147

3. Krzewski, K., & Coligan, J. E. (2012). Human NK cell lytic granules and regulation of their exocytosis. Frontiers in immunology, 3, 335. https://doi.org/10.3389/fimmu.2012.00335

4. Uniprot (P11279)

5. Wang, Y., Martins, I., Ma, Y., Kepp, O., Galluzzi, L., & Kroemer, G. (2013). Autophagy-dependent ATP release from dying cells via lysosomal exocytosis. Autophagy, 9(10), 1624-1625. https://doi.org/10.4161/auto.25873

6. Schwake, M., Schr0der, B., & Saftig, P. (2013). Lysosomal membrane proteins and their central role in physiology. Traffic (Copenhagen, Denmark), 14(7), 739-748. https://doi.org/10.1111/tra.12056

7. Gukovsky, I., Pandol, S. J., Mareninova, O. A., Shalbueva, N., Jia, W., & Gukovskaya, A. S. (2012). Impaired autophagy and organellar dysfunction in pancreatitis. Journal of gastroenterology and hepatology, 27 Suppl 2(Suppl 2), 27-32. https://doi.org/10.1111/j.1440-1746.2011.07004.x

Limitations

This product is for research use only and is not approved for use in humans or in clinical diagnosis. Primary Antibodies are guaranteed for 1 year from date of receipt.

Customers Who Viewed This Item Also Viewed...

7268-CT
Species: Hu
Applications: BA
NBP2-79843
Species: Hu
Applications: CyTOF-ready, ELISA, Flow, ICC/IF, IHC,  IHC-P, PA, WB
NB100-524
Species: Hu, Mu
Applications: Flow-IC, Flow, ICC/IF, IHC, IHC-Fr,  IHC-P, IP, WB
NBP2-22217
Species: Ch, Hu, Mu, Rt(-)
Applications: CyTOF-ready, ELISA, Flow, IB, ICC/IF, IHC, IHC-Fr,  IHC-P, KO, Simple Western, WB
202-IL
Species: Hu
Applications: BA
NBP1-49045
Species: Mu, Rt
Applications: Cell Depl, CyTOF-ready, Flow, ICC/IF, IHC, IHC-Fr,  IHC-P, IP, InhibTFunc
485-MI
Species: Mu
Applications: BA
NBP1-19371
Species: Ca, Hu, Mu, Po, Rb, Rt
Applications: Dual ISH-IHC, Flow, ICC/IF, IHC, IHC-Fr,  IHC-P, Simple Western, WB
NBP2-42225
Species: Ca, Hu
Applications: B/N, DB, EM, ELISA, Flow-IC, Flow, Func, ICC/IF, IHC-WhMt, IP, In vitro, WB
AF1029
Species: Mu
Applications: ICC, IHC, IP, WB
DDX0191P-100
Species: Ca, Fe, Hu, Mu, Sh
Applications: ICC/IF, IHC,  IHC-P
NBP1-30914
Species: Ha, Hu, Mu, Rt
Applications: ICC/IF, IHC,  IHC-P, IM, WB
AF873
Species: Hu
Applications: WB
H00338382-M01
Species: Hu
Applications: ELISA, IP, WB
NBP1-87174
Species: Hu, Mu, Rt
Applications: ICC/IF, IHC,  IHC-P, KD, WB
NBP2-67232
Species: Hu, Mu
Applications: ICC/IF, IHC,  IHC-P, WB
NB100-2331
Species: Am, Ca, Fi, Hu, Mu, Pl, Rt, Ze
Applications: ChIP, ChIP, ELISA, Flow, IB, ICC/IF, IHC-WhMt, IHC, IHC-Fr,  IHC-P, IP, Simple Western, SB, WB
MAB139
Species: Hu
Applications: CostimT, CyTOF-ready, Flow, Neut, WB
NBP2-25155
Species: Hu, Mu, Rt, Po, Bv
Applications: WB, ICC/IF

Publications for LAMP-1/CD107a Antibody (NBP2-25155)(3)

Review for LAMP-1/CD107a Antibody (NBP2-25155) (1) 31

Average Rating: 3
(Based on 1 review)
We have 1 review tested in 1 species: Rat.

Reviews using NBP2-25155:
Filter by Applications
Simple Western
(1)
All Applications
Filter by Species
Rat
(1)
All Species
Images Ratings Applications Species Date Details
Simple Western LAMP-1/CD107a NBP2-25155
Enlarge
3
reviewed by:
Verified Customer
Simple Western Rat 11/17/2017
View

Summary

ApplicationSimple Western
Sample TestedB103 whole cell lysate
SpeciesRat
Lot022216

Product General Protocols

Find general support by application which include: protocols, troubleshooting, illustrated assays, videos and webinars.

Video Protocols

WB Video Protocol
ICC/IF Video Protocol

FAQs for LAMP-1/CD107a Antibody (NBP2-25155). (Showing 1 - 1 of 1 FAQs).

  1. I am currently interested in developing a CD107a degranulation assay with sheep cells. I have been looking at your anti-CD107a antibodies that react with bovine samples (ref NBP2-25155 and NBP2-25154), as anti-bovine antibodies can cross react with sheep samples. I have seen on your webpage that both antibodies have been tested in WB and in immunofluorescence. I was wondering whether you have tested them for flow cytometry as it is the application we are intending to use in the lab. I was also wondering whether you could send us a sample of either antibody so that we can test them in sheep and for this application.
    • Neither of these have been tested in FLOW. We do have a great progam that will allow you to try these antibodies in any species or application that has not been tested and if you share your results with us you will earn a voucher for the cost of the product for a future puchase. This is called the innovators reward. If you would like to test an antibody in an untested species and/or application and share your results with us, I can recommend our Innovator's Reward™ program. Our Innovator’s Reward™ program was created to allow researchers the opportunity to try our primary antibodies in an untested species or application, without the financial risk of failure. To participate you simply submit an online review detailing your positive or negative results. In return, you receive a discount voucher for 100% of the purchase price of the reviewed product. As such we do not provide free samples. I apologize for this.

Contact Information

Product PDFs

Calculators

Concentration Calculator

The concentration calculator allows you to quickly calculate the volume, mass or concentration of your vial. Simply enter your mass, volume, or concentration values for your reagent and the calculator will determine the rest.

=
÷

Recent Reviews

3
5
0
4
0
3
1
2
0
1
0

Verified Customer
11/17/2017
Application: Simple Western
Species: Rat

Bioinformatics

Gene Symbol LAMP1
Entrez
OMIM
Uniprot