Laminin S/Laminin beta 2 Antibody (CL2976) - Azide and BSA Free

Images

 
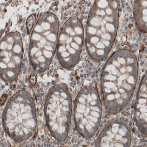
Staining of human colon shows strong positivity in basement membrane of glandular epithelium.
Staining of human kidney shows strong positivity in renal glomeruli.
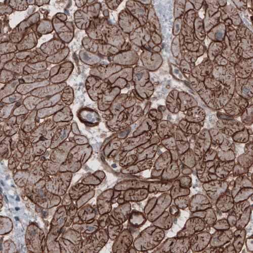
Staining of human heart shows strong membranous immunoreactivity in cardiomyocytes.
Staining of human cortex shows strong immunoreactivity in endothelial cells.
Staining of human lymph node shows absence of immunoreactivity in lymphoid cells (negative control).
Staining of human skeletal muscle shows strong membranous immunoreactivity in myocytes.
Analysis of purified human recombinant Laminin-421, Laminin-521, Laminin-332 and Laminin-111.
Genetic Strategies: Analysis in U-138MG cells transfected with control siRNA, target specific siRNA probe #1 and #2, using Anti-Laminin S/Laminin beta 2 antibody. Remaining relative intensity is presented. ...read more

Product Details

Summary
Reactivity HuSpecies Glossary
Applications WB, IHC
Clone
CL2976
Clonality
Monoclonal
Host
Mouse
Conjugate
Unconjugated
Format
Azide and BSA Free
Concentration
LYOPH
Validated by:
     

Genetic Strategies

   

Order Details

Laminin S/Laminin beta 2 Antibody (CL2976) - Azide and BSA Free Summary

Description
Novus Biologicals Mouse Laminin S/Laminin beta 2 Antibody (CL2976) - Azide and BSA Free (NBP2-42386) is a monoclonal antibody validated for use in IHC and WB. All Novus Biologicals antibodies are covered by our 100% guarantee.
Immunogen
This antibody was generated using a recombinant protein sequence of P55268, with the exact immunogen sequence remaining proprietary.
Isotype
IgG1
Clonality
Monoclonal
Host
Mouse
Gene
LAMB2
Purity
Protein A purified
Innovator's Reward
Test in a species/application not listed above to receive a full credit towards a future purchase.

Applications/Dilutions

Dilutions
  • Immunohistochemistry-Paraffin 1:5000 - 1:10000
  • Western Blot 1 ug/ml
Application Notes
For IHC-Paraffin, HIER pH 6 retrieval is recommended.

Packaging, Storage & Formulations

Storage
Store at 4C short term. Aliquot and store at -20C long term. Avoid freeze-thaw cycles.
Buffer
Lyophilized from a 0.2 um filtered solution in PBS with Trehalose
Preservative
No Preservative
Concentration
LYOPH
Purity
Protein A purified
Reconstitution Instructions
Centrifuge the vial of lyophilized antibody at 12,000 x g for 20 seconds. Reconstitute by adding sterile, distilled water to achieve a final antibody concentration of 1mg/ml.

Alternate Names for Laminin S/Laminin beta 2 Antibody (CL2976) - Azide and BSA Free

  • LAMB2
  • Laminin B1s chain
  • Laminin beta 2
  • Laminin S
  • laminin subunit beta-2
  • laminin, beta 2 (laminin S)
  • Laminin-11 subunit beta
  • Laminin-14 subunit beta
  • Laminin-15 subunit beta
  • Laminin-3 subunit beta
  • Laminin-4 subunit beta
  • Laminin-7 subunit beta
  • LAMSLaminin-9 subunit beta
  • S-LAM beta
  • S-laminin subunit beta

Background

The Laminins comprise a growing family of disulfide-linked heterotrimers consisting of three genetically distinct polypeptide chains, designated alpha, beta and gamma. A major component of the basal lamina, Laminins play a crucial role in providing a scaffolding upon which tissues are assembled and which serves as a physical barrier separating specialized tissues. During embryogenesis and early development, cells migrate along basement membranes, which are required for the polarization of cells. The beta-2 laminin chain plays a role in melanoma spread, promoting tumor migration along the abluminal surface of vessel, a phenomenon which has been termed extra-vascular migratory metastasis.

Limitations

This product is for research use only and is not approved for use in humans or in clinical diagnosis. Primary Antibodies are guaranteed for 1 year from date of receipt.

Customers Who Viewed This Item Also Viewed...

AF3159
Species: Mu
Applications: IHC
NBP2-75624
Species: Hu, Mu, Rt
Applications: Flow, ICC/IF, IHC,  IHC-P, mIF, WB
NB110-60011
Species: Hu
Applications: ICC/IF, IHC, IHC-Fr,  IHC-P, IP, Simple Western, WB
NBP1-87345
Species: Hu
Applications: ICC/IF, IHC,  IHC-P
NBP1-87343
Species: Hu, Rt
Applications: IHC,  IHC-P, WB
NBP2-24763
Species: Hu, Pm
Applications: IHC,  IHC-P, WB
NBP3-04411
Species: Hu, Mu, Rt
Applications: IHC,  IHC-P, WB
NBP3-20223
Species: Hu
Applications: ICC/IF, IP, WB
NBP2-24614
Species: Hu, Mu, Ma-Op, Pm, Rt
Applications: WB
NBP2-48909
Species: Hu, Mu
Applications: ICC/IF, IHC,  IHC-P, KO
NBP2-93574
Species: Hu, Mu, Rt
Applications: ICC/IF, IHC,  IHC-P, WB
AF4090
Species: Hu
Applications: IHC, IP, Neut, WB
H00000081-M01
Species: Hu, Pm, Mu, Rt
Applications: ELISA, ICC/IF, IHC,  IHC-P, WB
AF1265
Species: Mu
Applications: IP, Neut, WB
NBP1-92275
Species: Hu
Applications: IHC,  IHC-P
AF6868
Species: Hu
Applications: IHC, KO, WB
NBP2-04611
Species: Hu
Applications: WB
MAB4077
Species: Hu
Applications: IHC, WB
550-AG
Species: Rt
Applications: BA, BA
NBP3-44400
Species: Hu
Applications: WB, IHC

Publications for Laminin S/Laminin beta 2 Antibody (NBP3-44400) (0)

There are no publications for Laminin S/Laminin beta 2 Antibody (NBP3-44400).
By submitting your publication information earn gift cards and discounts for future purchases.

Reviews for Laminin S/Laminin beta 2 Antibody (NBP3-44400) (0)

There are no reviews for Laminin S/Laminin beta 2 Antibody (NBP3-44400). By submitting a review you will receive an Amazon e-Gift Card or Novus Product Discount.
  • Review with no image -- $10/€7/£6/$10 CAD/¥70 Yuan/¥1110 Yen
  • Review with an image -- $25/€18/£15/$25 CAD/¥150 Yuan/¥2500 Yen

Product General Protocols

Find general support by application which include: protocols, troubleshooting, illustrated assays, videos and webinars.

Video Protocols

WB Video Protocol

FAQs for Laminin S/Laminin beta 2 Antibody (NBP3-44400) (0)

There are no specific FAQs related to this product. Read our general customer & technical service FAQs.

Customers Who Bought This Also Bought

Contact Information

Product PDFs

Calculators

Concentration Calculator

The concentration calculator allows you to quickly calculate the volume, mass or concentration of your vial. Simply enter your mass, volume, or concentration values for your reagent and the calculator will determine the rest.

=
÷

Review this Product

Be the first to review our Laminin S/Laminin beta 2 Antibody (CL2976) - Azide and BSA Free and receive a gift card or discount.

Bioinformatics

Gene Symbol LAMB2