Laminin gamma 1 Antibody (LAMC1/3162) - Azide and BSA Free

Images

 
Protein Array: Laminin gamma 1 Antibody (LAMC1/3162) - Azide and BSA Free [NBP3-14109] - Analysis of Protein Array containing more than 19,000 full-length human proteins using Laminin gamma 1 Antibody (LAMC1/3162).
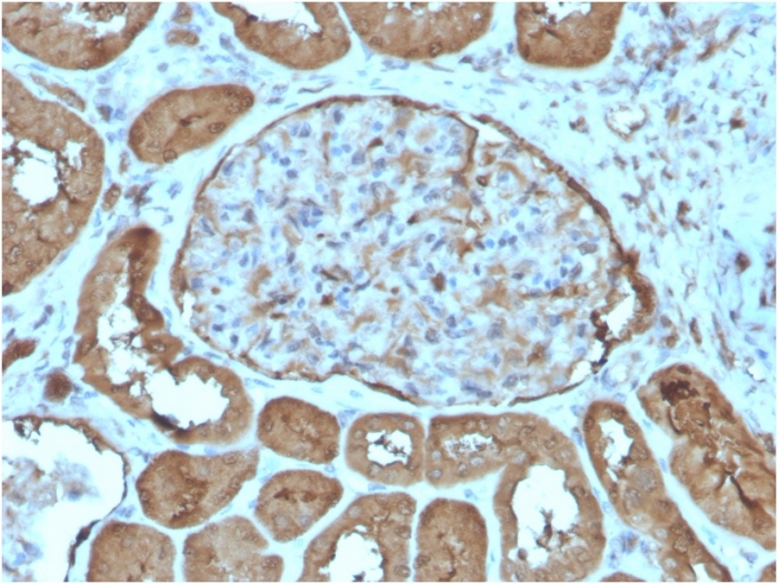
Formalin-fixed, paraffin-embedded human kidneystained with Laminin gamma 1 antibody (LAMC1/3162). HIER: Tris/EDTA, pH9.0, 45min. Secondary: HRP-polymer, 30min. DAB, 5min.

Product Details

Summary
Reactivity HuSpecies Glossary
Applications ELISA, IHC, MA
Clone
LAMC1/3162
Clonality
Monoclonal
Host
Mouse
Conjugate
Unconjugated
Format
Azide and BSA Free
Concentration
1 mg/ml

Order Details

Laminin gamma 1 Antibody (LAMC1/3162) - Azide and BSA Free Summary

Description
1.0 mg/ml of antibody purified from Bioreactor Concentrate by Protein A/G. Prepared in 10mM PBS WITHOUT BSA. Also available at 200 ug/ml WITH BSA & azide (NBP3-13957).

Antibody with azide - store at 2 to 8C. Antibody without azide - store at -20 to -80 C.
Immunogen
Murine EHS laminin preparation
Localization
Basement membrane
Specificity
Laminins are large hetero-trimeric, non-collagenous glycoproteins composed of alpha, beta, and gamma chains. This monoclonal antibody reacts with laminin B2/1 chain of ~210kDa and does not cross-react with other basement membrane components or fibronectin. Its specificity was established by immunoprecipitation and immunofluorescence of human skeletal muscle and kidney with laminin chain-specific monoclonal antibodys. Epithelial sheets in vivo are separated from the mesenchymal elements of the stroma by a thin layer of a specialized type of extracellular matrix termed the basement membrane (BM). This structure consists of individual components, some of which are ubiquitous in BMs and some are not. The ubiquitous ones comprise laminin (LN), entactin/nidogen (EN), collagen type IV (CIV), and large heparan sulfate proteoglycan (HSPG), which interact specifically with each other to form a continuous and regular BM. Alterations of BM integrity, from local discontinuities up to complete loss, are described in many types of human and animal epithelial neoplasms. This monoclonal antibody stains uniformly all human and murine basement membranes.
Isotype
IgG1 Kappa
Clonality
Monoclonal
Host
Mouse
Gene
LAMC1
Purity
Protein A or G purified
Innovator's Reward
Test in a species/application not listed above to receive a full credit towards a future purchase.

Applications/Dilutions

Dilutions
  • ELISA
  • Immunohistochemistry-Paraffin 1-2 ug/ml
  • Protein Array
Application Notes
Immunohistochemistry (Formalin-fixed): 1-2ug/ml for 30 minutes at RT. Staining of formalin-fixed tissues requires heating tissue sections in 10mM Tris with 1mM EDTA, pH 9.0, for 45 min at 95C followed by cooling at RT for 20 minutes
Theoretical MW
210 kDa.
Disclaimer note: The observed molecular weight of the protein may vary from the listed predicted molecular weight due to post translational modifications, post translation cleavages, relative charges, and other experimental factors.

Packaging, Storage & Formulations

Storage
Store at -20 to -80C. Avoid freeze-thaw cycles.
Buffer
10mM PBS
Preservative
No Preservative
Concentration
1 mg/ml
Purity
Protein A or G purified

Alternate Names for Laminin gamma 1 Antibody (LAMC1/3162) - Azide and BSA Free

  • LAMB2Laminin-7 subunit gamma
  • LAMC1
  • Laminin B2 chain
  • Laminin B2
  • Laminin gamma 1
  • laminin subunit gamma-1
  • laminin, gamma 1 (formerly LAMB2)
  • Laminin-1 subunit gamma
  • Laminin-10 subunit gamma
  • Laminin-11 subunit gamma
  • Laminin-2 subunit gamma
  • Laminin-3 subunit gamma
  • Laminin-4 subunit gamma
  • Laminin-6 subunit gamma
  • Laminin-8 subunit gamma
  • Laminin-9 subunit gamma
  • MGC87297
  • S-LAM gamma
  • S-laminin subunit gamma

Background

Laminins are essential and abundant structural non-collagenous glycoproteins localizing to basement membranes. Basement membranes (cell-associated extracellular matrices (ECMs)) are polymers of Laminins with stabilizing Type IV Collagen networks, Nidogen and several proteoglycans. Basement membranes are found under epithelial layers, around the endothelium of blood vessels, and surrounding muscle, peripheral nerve and fat cells. Formation of basement membranes influences cell proliferation, phenotype, migration, gene expression and tissue architecture. Each Laminin is a heterotrimer of alpha, beta and gamma chain subunits that undergoes cell-secretion and incorporation into the ECM. Laminins can self-assemble, bind to other matrix macromolecules and have unique and shared cell interactions mediated by Integrins, dystroglycan and cognate Laminin receptors. The human Laminin gamma-1 gene maps to chromosome 1q31 and is ubiquitously expressed in tissues that produce basement membranes.

Limitations

This product is for research use only and is not approved for use in humans or in clinical diagnosis. Primary Antibodies are guaranteed for 1 year from date of receipt.

Customers Who Viewed This Item Also Viewed...

NBP1-51558
Species: Hu
Applications: ELISA, ICC/IF, IHC,  IHC-P, WB
AF3159
Species: Mu
Applications: IHC
NBP2-75624
Species: Hu, Mu, Rt
Applications: Flow, ICC/IF, IHC,  IHC-P, mIF, WB
NB110-60011
Species: Hu
Applications: ICC/IF, IHC, IHC-Fr,  IHC-P, IP, Simple Western, WB
NBP2-42388
Species: Hu
Applications: ICC/IF, IHC,  IHC-P, KD, WB
NB300-144
Species: ChHa, Hu, In, Ma, Mu, Rb, Rt, Sh
Applications: Flow, ICC/IF, IHC-FrFl, IHC, IHC-Fr,  IHC-P, WB
NBP3-47877
Species: Hu, Mu
Applications: ELISA, ICC/IF, IHC, IP, WB
H00728695-B01P
Species: Hu
Applications: ICC/IF, IP, WB
AF578
Species: Mu
Applications: ELISA(Cap), ELISA(Det), ELISA(Sta), IHC, WB
NBP2-54591
Species: Hu
Applications: CyTOF-ready, Flow, ICC/IF, IHC,  IHC-P, PA
NBP2-30604
Species: Hu
Applications: IHC,  IHC-P
NBP1-91258
Species: Bv, Ca, Eq, Fe, Hu, Mu, Po, Rt
Applications: ICC/IF, IHC, IHC-Fr,  IHC-P, Simple Western, WB
AF4277
Species: Mu
Applications: ELISA(Cap), ELISA(Det), ELISA(Sta), IHC, IP, WB
PP-H8132-00
Species: Hu
Applications: IHC, IP, WB
H00000081-M01
Species: Hu, Pm, Mu, Rt
Applications: ELISA, ICC/IF, IHC,  IHC-P, WB
233-FB
Species: Hu
Applications: BA
NB120-6586
Species: Bv, Fe, Hu, Mu, Rt
Applications: ELISA, ICC/IF, IHC-FrFl, IHC, IHC-Fr,  IHC-P, IP, KO, mIF, Simple Western, SR Microscopy, WB
AF2364
Species: Hu
Applications: IHC, WB
NBP2-47412
Species: Hu
Applications: ICC/IF, IHC,  IHC-P
NBP3-14109
Species: Hu
Applications: ELISA, IHC, MA

Publications for Laminin gamma 1 Antibody (NBP3-14109) (0)

There are no publications for Laminin gamma 1 Antibody (NBP3-14109).
By submitting your publication information earn gift cards and discounts for future purchases.

Reviews for Laminin gamma 1 Antibody (NBP3-14109) (0)

There are no reviews for Laminin gamma 1 Antibody (NBP3-14109). By submitting a review you will receive an Amazon e-Gift Card or Novus Product Discount.
  • Review with no image -- $10/€7/£6/$10 CAD/¥70 Yuan/¥1110 Yen
  • Review with an image -- $25/€18/£15/$25 CAD/¥150 Yuan/¥2500 Yen

Product General Protocols

Find general support by application which include: protocols, troubleshooting, illustrated assays, videos and webinars.

FAQs for Laminin gamma 1 Antibody (NBP3-14109) (0)

There are no specific FAQs related to this product. Read our general customer & technical service FAQs.

Secondary Antibodies

 

Isotype Controls

Additional Laminin gamma 1 Products

Research Areas for Laminin gamma 1 Antibody (NBP3-14109)

Find related products by research area.

Blogs on Laminin gamma 1

There are no specific blogs for Laminin gamma 1, but you can read our latest blog posts.

Customers Who Bought This Also Bought

Contact Information

Product PDFs

Calculators

Concentration Calculator

The concentration calculator allows you to quickly calculate the volume, mass or concentration of your vial. Simply enter your mass, volume, or concentration values for your reagent and the calculator will determine the rest.

=
÷

Review this Product

Be the first to review our Laminin gamma 1 Antibody (LAMC1/3162) - Azide and BSA Free and receive a gift card or discount.

Bioinformatics

Gene Symbol LAMC1