KLF4 Antibody (CL5785) - Azide and BSA Free

Images

 
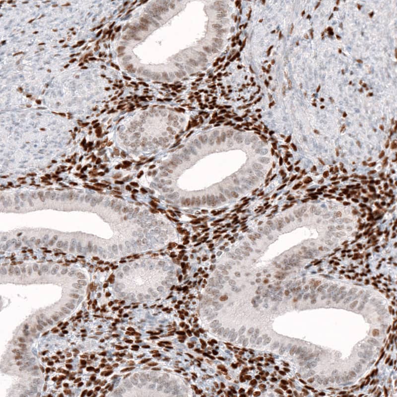
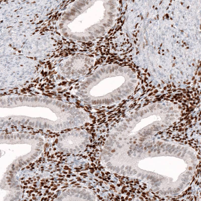
Staining of human endometrium shows nuclear immunoreactivity in glandular and stromal cells.
Staining of human skeletal muscle shows absence of positivity in striated muscle fibers as expected (negative control).
Staining of PC-3 cells using the Anti-KLF4 monoclonal antibody) .
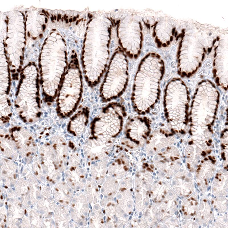
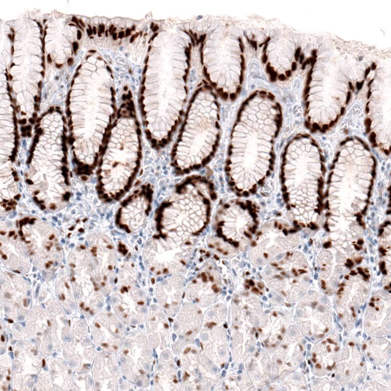
Staining of human stomach shows moderate to strong nuclear immunoreactivity in glandular cells.
Staining of human skin shows strong nuclear positivity in epithelial cells.
Analysis in human cell line U-2197.
Staining of U-2197cells using the Anti-KLF4 monoclonal antibody) .

Product Details

Summary
Reactivity HuSpecies Glossary
Applications WB, ICC/IF, IHC
Clone
CL5785
Clonality
Monoclonal
Host
Mouse
Conjugate
Unconjugated
Format
Azide and BSA Free
Concentration
LYOPH

Order Details

KLF4 Antibody (CL5785) - Azide and BSA Free Summary

Description
Novus Biologicals Mouse KLF4 Antibody (CL5785) - Azide and BSA Free (NBP2-61427) is a monoclonal antibody validated for use in IHC, WB and ICC/IF. All Novus Biologicals antibodies are covered by our 100% guarantee.
Immunogen
This antibody was generated using a synthetic peptide of O43474, with the exact immunogen sequence remaining proprietary.
Isotype
IgG1
Clonality
Monoclonal
Host
Mouse
Gene
KLF4
Purity
Protein A purified
Innovator's Reward
Test in a species/application not listed above to receive a full credit towards a future purchase.

Applications/Dilutions

Dilutions
  • Immunocytochemistry/ Immunofluorescence 2-10 ug/ml
  • Immunohistochemistry-Paraffin 1:1000 - 1:2500
  • Western Blot 1 ug/ml
Application Notes
For IHC-Paraffin, HIER pH 6 retrieval is recommended. Immunocytochemistry/Immunofluorescence Fixation Permeabilization: PFA/Triton X-100

Packaging, Storage & Formulations

Storage
Store at 4C short term. Aliquot and store at -20C long term. Avoid freeze-thaw cycles.
Buffer
Lyophilized from a 0.2 um filtered solution in PBS with Trehalose
Preservative
No Preservative
Concentration
LYOPH
Purity
Protein A purified
Reconstitution Instructions
Centrifuge the vial of lyophilized antibody at 12,000 x g for 20 seconds. Reconstitute by adding sterile, distilled water to achieve a final antibody concentration of 1mg/ml.

Alternate Names for KLF4 Antibody (CL5785) - Azide and BSA Free

  • Epithelial zinc finger protein EZF
  • EZF
  • EZFendothelial Kruppel-like zinc finger protein
  • GKLFKrueppel-like factor 4
  • Gut-enriched krueppel-like factor
  • KLF4
  • Kruppel-like factor 4 (gut)

Background

KLF4 is a transcription factor that works with Sp1 to activate the Laminin gamma1 chain gene. It binds the CACCC core sequence. KLF4 may be involved in the differentiation of epithelial cells and may also function in the development of the skeleton and kidney. KLF4 also has roles as both an oncogene and a tumor suppressor.

Limitations

This product is for research use only and is not approved for use in humans or in clinical diagnosis. Primary Antibodies are guaranteed for 1 year from date of receipt.

Customers Who Viewed This Item Also Viewed...

AF1759
Species: Hu, Mu
Applications: ChIP, ICC, IP, Simple Western, WB
AF2018
Species: Hu, Mu, Rt
Applications: ChIP, ICC, IHC, Simple Western, WB
NB600-302
Species: Bv, Dr, Hu, Mu
Applications: ChIP, ELISA, Flow-IC, Flow, IB, ICC/IF, IHC, IHC-Fr,  IHC-P, IP, PLA, S-ELISA, Simple Western, WB
AF1997
Species: Hu
Applications: ChIP, ICC, IHC, Simple Western, WB
H00388112-B01P
Species: Hu
Applications: WB
NBP1-83976
Species: Hu
Applications: ICC/IF, IHC,  IHC-P
NBP2-29463
Species: Pm, Hu, Pm, Mu
Applications: Flow, ICC/IF, IHC,  IHC-P, WB
AF3757
Species: Hu
Applications: ICC, Simple Western, WB
NB200-103
Species: Hu, Mu, Rt, Xp(-), Ye
Applications: CyTOF-ready, ELISA, Flow-IC, Flow, ICC/IF, IHC, IHC-Fr,  IHC-P, IP, WB
7734-LF
Species: Hu
Applications: BA
AF3758
Species: Hu, Mu
Applications: ICC, KO, Simple Western, WB
NB600-232
Species: Hu, Mu
Applications: ChIP, IHC,  IHC-P, IP, WB
NBP2-46085
Species: Hu
Applications: IHC,  IHC-P, WB
DPSG10
Species: Hu
Applications: ELISA
3047-CC
Species: Hu
Applications: BA
H00027065-M01
Species: Hu, Rt
Applications: ELISA, ICC/IF, S-ELISA, WB
MAB5466
Species: Hu
Applications: CyTOF-ready, ICC, ICFlow
NBP2-37380
Species: Hu
Applications: CyTOF-ready, ELISA, Flow, IHC,  IHC-P, WB

Publications for KLF4 Antibody (NBP3-44208) (0)

There are no publications for KLF4 Antibody (NBP3-44208).
By submitting your publication information earn gift cards and discounts for future purchases.

Reviews for KLF4 Antibody (NBP3-44208) (0)

There are no reviews for KLF4 Antibody (NBP3-44208). By submitting a review you will receive an Amazon e-Gift Card or Novus Product Discount.
  • Review with no image -- $10/€7/£6/$10 CAD/¥70 Yuan/¥1110 Yen
  • Review with an image -- $25/€18/£15/$25 CAD/¥150 Yuan/¥2500 Yen

Product General Protocols

Find general support by application which include: protocols, troubleshooting, illustrated assays, videos and webinars.

Video Protocols

WB Video Protocol
ICC/IF Video Protocol

FAQs for KLF4 Antibody (NBP3-44208) (0)

There are no specific FAQs related to this product. Read our general customer & technical service FAQs.

Secondary Antibodies

 

Isotype Controls

Additional KLF4 Products

Research Areas for KLF4 Antibody (NBP3-44208)

Find related products by research area.

Blogs on KLF4.

Breast cancer stem cells survive chemotherapy through S100A10-ANXA2-SPT6 interaction that epigenetically promotes OCT4-mediated stemness
By Jamshed Arslan, Pharm D, PhDBreast cancer is the most common cancer among women that causes the greatest number of cancer-related deaths worldwide. After radiotherapy or cytotoxic chemotherapy like paclitax...  Read full blog post.

Deriving neural precursor cells from human induced pluripotent stem cells
By Jennifer Sokolowski, MD, PhD.Human induced pluripotent stem cells (iPSCs) can be used to create models of human organ systems and are useful for a) ascertaining the mechanisms underlying pathological conditions...  Read full blog post.

Application Focus: New Methods for iPSC Differentiation, Inducing a Mammary Fate
Discovery of the Key to PluripotencyInduced pluripotent stem cells (iPSCs) may be generated from a wide range of fully differentiated cells, and under optimal conditions may be prompted to differentiate into virtu...  Read full blog post.

KLF4 as a transcription factor in stem cell differentiation
Kru¨ppel-like factors (KLFs) are evolutionarily conserved zinc finger transcription factors that play a role in cell differentiation, proliferation, and pluripotency. KLF4 has specifically been tied to many diverse cellular processes, including sel...  Read full blog post.

KLF4 opens the door for stem cell research
KLF4 (Kruppel-like factor 4, Epithelial zinc finger protein EZF) is a zinc finger transcription factor thought to be involved in developmental differentiation and proliferation. It is considered a pluripotency reprogramming factor (PRF) due to its abi...  Read full blog post.

Customers Who Bought This Also Bought

Contact Information

Product PDFs

Calculators

Concentration Calculator

The concentration calculator allows you to quickly calculate the volume, mass or concentration of your vial. Simply enter your mass, volume, or concentration values for your reagent and the calculator will determine the rest.

=
÷

Review this Product

Be the first to review our KLF4 Antibody (CL5785) - Azide and BSA Free and receive a gift card or discount.

Bioinformatics

Gene Symbol KLF4