KLF2 Antibody (OTI3A10) - Azide and BSA Free

Images

 
Western Blot: KLF2 Antibody (OTI3A10) - Azide and BSA Free [NBP2-71597] - Analysis of HEK293T cells were transfected with the pCMV6-ENTRY control (Left lane) or pCMV6-ENTRY KLF2.
Immunohistochemistry: KLF2 Antibody (OTI3A10) - Azide and BSA Free [NBP2-71597] - Analysis of Carcinoma of Human kidney tissue. (Heat-induced epitope retrieval by 1 mM EDTA in 10mM Tris, pH8.5, 120 degrees C for 3min)
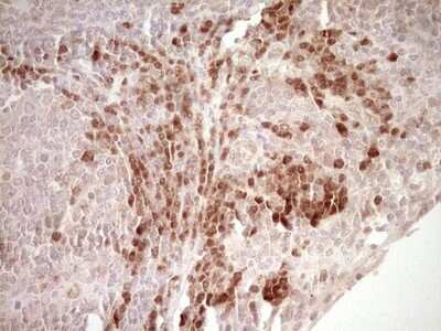
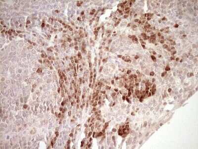
Immunohistochemistry: KLF2 Antibody (OTI3A10) - Azide and BSA Free [NBP2-71597] - Analysis of Human tonsil tissue. (Heat-induced epitope retrieval by 1 mM EDTA in 10mM Tris, pH8.5, 120C for 3min)

Product Details

Summary
Reactivity Hu, Mu, RtSpecies Glossary
Applications WB, IHC
Clone
OTI3A10
Clonality
Monoclonal
Host
Mouse
Conjugate
Unconjugated
Format
Azide and BSA Free
Concentration
LYOPH

Order Details

KLF2 Antibody (OTI3A10) - Azide and BSA Free Summary

Description
Novus Biologicals Mouse KLF2 Antibody (OTI3A10) - Azide and BSA Free (NBP2-45510) is a monoclonal antibody validated for use in IHC and WB. All Novus Biologicals antibodies are covered by our 100% guarantee.
Immunogen
Full length human recombinant protein of human KLF2 (NP_057354) produced in E.coli.
Isotype
IgG1
Clonality
Monoclonal
Host
Mouse
Gene
KLF2
Purity
Immunogen affinity purified
Innovator's Reward
Test in a species/application not listed above to receive a full credit towards a future purchase.

Applications/Dilutions

Dilutions
  • Immunohistochemistry 1:150
  • Immunohistochemistry-Paraffin 1:150
  • Western Blot 1:2000
Theoretical MW
37.2 kDa.
Disclaimer note: The observed molecular weight of the protein may vary from the listed predicted molecular weight due to post translational modifications, post translation cleavages, relative charges, and other experimental factors.

Reactivity Notes

Please note that this antibody is reactive to Mouse and derived from the same host, Mouse. Mouse-On-Mouse blocking reagent may be needed for IHC and ICC experiments to reduce high background signal. You can find these reagents under catalog numbers PK-2200-NB and MP-2400-NB. Please contact Technical Support if you have any questions.

Packaging, Storage & Formulations

Storage
Store at -20C. Avoid freeze-thaw cycles.
Buffer
Lyophilized from PBS (pH 7.3) with 8% Trehalose
Preservative
No Preservative
Concentration
LYOPH
Purity
Immunogen affinity purified
Reconstitution Instructions
we recommend adding 100uL distilled water to a final antibody concentration of about 1 mg/mL. To use this carrier-free antibody for conjugation experiment, we strongly recommend performing another round of desalting process.

Alternate Names for KLF2 Antibody (OTI3A10) - Azide and BSA Free

  • KLF2
  • Krueppel-like factor 2
  • Kruppel-like factor 2 (lung)
  • Kruppel-like factor LKLF
  • LKLF
  • LKLFLung krueppel-like factor
  • lung Kruppel-like zinc finger transcription factor

Background

KLF2 binds to the CACCC box in the beta-globin gene promoter and activates transcription.

Limitations

This product is for research use only and is not approved for use in humans or in clinical diagnosis. Primary Antibodies are guaranteed for 1 year from date of receipt.

Customers Who Viewed This Item Also Viewed...

AF3158
Species: Mu
Applications: ChIP, ICC, IHC, WB
NB300-500
Species: Am, Bv, Ca, Dr, Hu, Mu, Po, Rt, Sh
Applications: IHC, IHC-Fr,  IHC-P, WB
NBP2-37380
Species: Hu
Applications: CyTOF-ready, ELISA, Flow, IHC,  IHC-P, WB
AF2848
Species: Hu, Mu
Applications: ICC, WB
BBA24
Species: Hu
Applications: CyTOF-ready, ELISA(Cap), ELISA(Det), ELISA(Sta), Flow
AF3894
Species: Mu
Applications: CyTOF-ready, Flow, ICC, IHC, IP, WB
AF3758
Species: Hu, Mu
Applications: ICC, KO, Simple Western, WB
NBP1-32822
Species: Al, Av, Hu, Mu, Pl, Rt, Ze
Applications: ChIP, Flow, ICC/IF, IHC,  IHC-P, IP, KD, Simple Western, WB
NB100-56583
Species: Hu, Rb, Rt
Applications: Flow, IHC,  IHC-P, KO, Simple Western, WB
MAB8930
Species: Hu
Applications: ICC, Simple Western, WB
AF1759
Species: Hu, Mu
Applications: ChIP, ICC, IP, Simple Western, WB
NBP1-89654
Species: Hu
Applications: IHC,  IHC-P, WB
H00004205-M02
Species: Hu
Applications: ELISA, ICC/IF, IHC,  IHC-P, S-ELISA, WB
NB600-233
Species: Hu, Mu
Applications: ChIP, CHIP-SEQ, IHC,  IHC-P, IP, WB
QET00B
Species: Hu
Applications: ELISA
3047-CC
Species: Hu
Applications: BA
NB600-302
Species: Bv, Dr, Hu, Mu
Applications: ChIP, ELISA, Flow-IC, Flow, IB, ICC/IF, IHC, IHC-Fr,  IHC-P, IP, PLA, S-ELISA, Simple Western, WB

Publications for KLF2 Antibody (NBP2-71597) (0)

There are no publications for KLF2 Antibody (NBP2-71597).
By submitting your publication information earn gift cards and discounts for future purchases.

Reviews for KLF2 Antibody (NBP2-71597) (0)

There are no reviews for KLF2 Antibody (NBP2-71597). By submitting a review you will receive an Amazon e-Gift Card or Novus Product Discount.
  • Review with no image -- $10/€7/£6/$10 CAD/¥70 Yuan/¥1110 Yen
  • Review with an image -- $25/€18/£15/$25 CAD/¥150 Yuan/¥2500 Yen

Product General Protocols

Find general support by application which include: protocols, troubleshooting, illustrated assays, videos and webinars.

Video Protocols

WB Video Protocol

FAQs for KLF2 Antibody (NBP2-71597) (0)

There are no specific FAQs related to this product. Read our general customer & technical service FAQs.

Secondary Antibodies

 

Isotype Controls

Additional KLF2 Products

Blogs on KLF2.

KLF4 as a transcription factor in stem cell differentiation
Kru¨ppel-like factors (KLFs) are evolutionarily conserved zinc finger transcription factors that play a role in cell differentiation, proliferation, and pluripotency. KLF4 has specifically been tied to many diverse cellular processes, including sel...  Read full blog post.

Nucleolin Antibodies: Knowing When it's Time to Split
Nucleolin is an abundant, 106 kDa nucleolar phosphoprotein that is a major protein in actively dividing cells. The stability of nucleolin is heavily cell proliferation-dependent, as nucleolin antibody studies have shown that degraded forms are relativ...  Read full blog post.

Customers Who Bought This Also Bought

Contact Information

Product PDFs

Calculators

Concentration Calculator

The concentration calculator allows you to quickly calculate the volume, mass or concentration of your vial. Simply enter your mass, volume, or concentration values for your reagent and the calculator will determine the rest.

=
÷

Review this Product

Be the first to review our KLF2 Antibody (OTI3A10) - Azide and BSA Free and receive a gift card or discount.

Bioinformatics

Gene Symbol KLF2