IRF6 Antibody (SD202-6)

Images

 
Western Blot: IRF6 Antibody (SD202-6) [NBP2-67765] - Analysis of IRF6 on K562 cells lysates using anti-IRF6 antibody at 1/1,000 dilution.
Immunocytochemistry/ Immunofluorescence: IRF6 Antibody (SD202-6) [NBP2-67765] - Staining IRF6 in SW480 cells (green). The nuclear counter stain is DAPI (blue). Cells were fixed in paraformaldehyde, permeabilised with ...read more
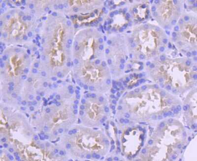
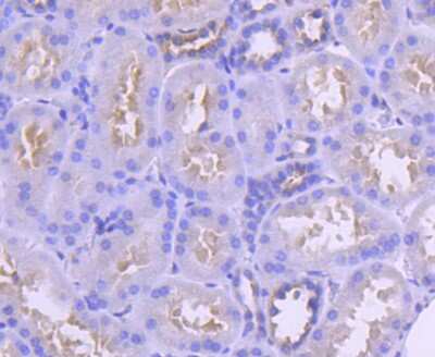
Immunohistochemistry-Paraffin: IRF6 Antibody (SD202-6) [NBP2-67765] - Analysis of paraffin-embedded mouse kidney tissue using anti-IRF6 antibody. Counter stained with hematoxylin.
Immunocytochemistry/ Immunofluorescence: IRF6 Antibody (SD202-6) [NBP2-67765] - Staining IRF6 in 293 cells (green). The nuclear counter stain is DAPI (blue). Cells were fixed in paraformaldehyde, permeabilised with ...read more
Immunocytochemistry/ Immunofluorescence: IRF6 Antibody (SD202-6) [NBP2-67765] - Staining IRF6 in MCF-7 cells (green). The nuclear counter stain is DAPI (blue). Cells were fixed in paraformaldehyde, permeabilised with ...read more
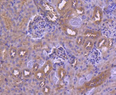
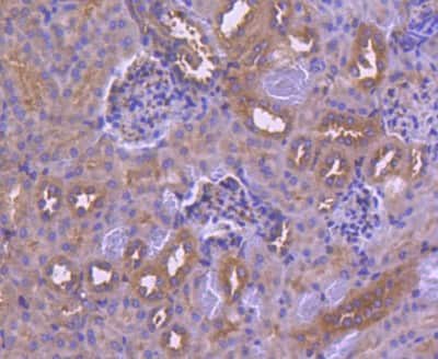
Immunohistochemistry-Paraffin: IRF6 Antibody (SD202-6) [NBP2-67765] - Analysis of paraffin-embedded human kidney tissue using anti-IRF6 antibody. Counter stained with hematoxylin.

Product Details

Summary
Product Discontinued
View other related IRF6 Primary Antibodies

Order Details


    • Catalog Number
      NBP2-67765
    • Availability
      Product Discontinued

    Can't find what you are looking for? Use our Antibody Concierge Service & we will help you locate your antibody!

    Or feel free to contact us for alternative products.

IRF6 Antibody (SD202-6) Summary

Additional Information
Recombinant Monoclonal Antibody.
Immunogen
Recombinant protein Human IRF6 aa 364-467 / 467. (SwissProt: O14896 Human; SwissProt: P97431 Mouse; Entrez Gene: 364081 Rat)
Localization
Nucleus, Cytoplasm.
Isotype
IgG
Clonality
Monoclonal
Host
Rabbit
Gene
IRF6
Purity
Protein A purified
Innovator's Reward
Test in a species/application not listed above to receive a full credit towards a future purchase.

Applications/Dilutions

Dilutions
  • Immunocytochemistry/ Immunofluorescence 1:50-1:200
  • Immunohistochemistry
  • Immunohistochemistry-Paraffin 1:50-1:200
  • Western Blot 1:1000-1:2000

Packaging, Storage & Formulations

Storage
Store at 4C short term. Aliquot and store at -20C long term. Avoid freeze-thaw cycles.
Buffer
TBS (pH7.4), 0.05% BSA, 40% Glycerol
Preservative
0.05% Sodium Azide
Concentration
1 mg/ml
Purity
Protein A purified

Alternate Names for IRF6 Antibody (SD202-6)

  • interferon regulatory factor 6
  • IRF6
  • IRF-6
  • LPS
  • OFC6
  • OFC6PPS
  • PIT
  • PPS
  • Van der Woude syndrome
  • VWS
  • VWS1

Background

IRF6 encodes a member of the interferon regulatory transcription factor (IRF) family. Family members share a highly-conserved N-terminal helix-turn-helix DNA-binding domain and a less conserved C-terminal protein-binding domain. Mutations in this gene can cause van der Woude syndrome and popliteal pterygium syndrome. This protein is involved in palate formation. [provided by RefSeq]

Limitations

This product is for research use only and is not approved for use in humans or in clinical diagnosis. Primary Antibodies are guaranteed for 1 year from date of receipt.

Customers Who Viewed This Item Also Viewed...

NBP1-89306
Species: Hu, Mu, Rt
Applications: IHC,  IHC-P, KD, WB
NB100-56566
Species: Bv, Hu, Ma, Mu, Po, Rt
Applications: B/N, ChIP, CyTOF-ready, DB, Dual ISH-IHC, ELISA(Cap), ELISA, Flow-CS, Flow-IC, Flow, ICC/IF, IHC, IHC-Fr,  IHC-P, In vitro, KD, KO, PAGE, Simple Western, WB
NB300-560
Species: Av, Bv, Ma, Hu, Mu, Pm, Rt
Applications: IF, IHC, IHC-Fr,  IHC-P, WB
M6000B
Species: Mu
Applications: ELISA
MAB1417
Species: Bv, Hu, Mu
Applications: ICC, IHC
PP-H4417-00
Species: Hu
Applications: DirELISA, IP, WB
AF3398
Species: Hu, Mu, Rt
Applications: ICC, KO, Simple Western, WB
AF1916
Species: Hu
Applications: ICC, IHC, WB
NBP1-86616
Species: Hu
Applications: IHC,  IHC-P, WB
NBP2-58917
Species: Hu
Applications: IHC,  IHC-P, WB
MAB1455
Species: Hu
Applications: CyTOF-ready, Dual ISH-IHC, ICC, IHC, ICFlow, Simple Western, WB
AF1195
Species: Hu
Applications: ELISA, Neut, WB
NBP1-92172
Species: Hu
Applications: ICC/IF, IHC,  IHC-P, WB
NB100-56605
Species: Av, Bv, Sh
Applications: WB
485-MI
Species: Mu
Applications: BA
AF7355
Species: Hu
Applications: ICC, Simple Western, WB
DY417
Species: Mu
Applications: ELISA

Publications for IRF6 Antibody (NBP2-67765) (0)

There are no publications for IRF6 Antibody (NBP2-67765).
By submitting your publication information earn gift cards and discounts for future purchases.

Reviews for IRF6 Antibody (NBP2-67765) (0)

There are no reviews for IRF6 Antibody (NBP2-67765). By submitting a review you will receive an Amazon e-Gift Card or Novus Product Discount.
  • Review with no image -- $10/€7/£6/$10 CAD/¥70 Yuan/¥1110 Yen
  • Review with an image -- $25/€18/£15/$25 CAD/¥150 Yuan/¥2500 Yen

Product General Protocols

Find general support by application which include: protocols, troubleshooting, illustrated assays, videos and webinars.

Video Protocols

WB Video Protocol
ICC/IF Video Protocol

FAQs for IRF6 Antibody (NBP2-67765) (0)

There are no specific FAQs related to this product. Read our general customer & technical service FAQs.

Secondary Antibodies

 

Isotype Controls

Additional IRF6 Products

Research Areas for IRF6 Antibody (NBP2-67765)

Find related products by research area.

Blogs on IRF6

There are no specific blogs for IRF6, but you can read our latest blog posts.

Contact Information

Product PDFs

Calculators

Concentration Calculator

The concentration calculator allows you to quickly calculate the volume, mass or concentration of your vial. Simply enter your mass, volume, or concentration values for your reagent and the calculator will determine the rest.

=
÷

Review this Product

Be the first to review our IRF6 Antibody (SD202-6) and receive a gift card or discount.

Bioinformatics

Gene Symbol IRF6