IL-33 Antibody (CL13438) - Azide and BSA Free

Images

 
Staining in EFO-21 cell line with Anti-IL-33 monoclonal antibody) .
Orthogonal Strategies: Analysis in human urinary bladder and skeletal muscle tissues using NBP3-43843 antibody. Corresponding IL-33 RNA-seq data are presented for the same tissues.
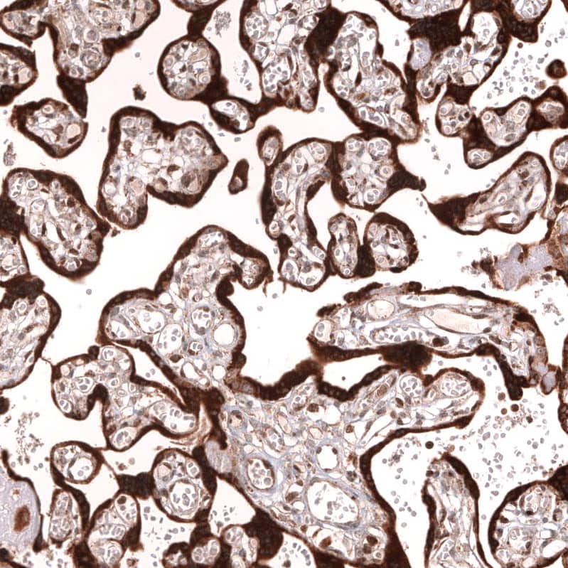
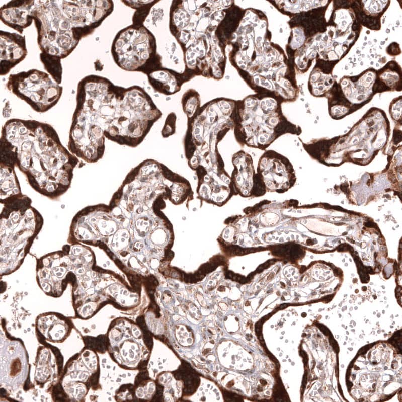
Staining of human placenta shows strong cytoplasmic positivity in trophoblastic cells.
Staining of human skeletal muscle shows no positivity in myocytes as expected.
Staining of human skin shows strong nuclear positivity in squamous epithelial cells.
Staining of human urinary bladder shows strong nuclear positivity in urothelial cells.

Product Details

Summary
Reactivity HuSpecies Glossary
Applications ICC/IF, IHC
Clone
CL13438
Clonality
Monoclonal
Host
Mouse
Conjugate
Unconjugated
Format
Azide and BSA Free
Concentration
LYOPH
Validated by:
       

Orthogonal Strategies

 

Order Details

IL-33 Antibody (CL13438) - Azide and BSA Free Summary

Description
Novus Biologicals Mouse IL-33 Antibody (CL13438) - Azide and BSA Free (NBP3-24558) is a monoclonal antibody validated for use in IHC and ICC/IF. All Novus Biologicals antibodies are covered by our 100% guarantee.
Immunogen
This antibody was generated using a recombinant protein sequence of O95760, with the exact immunogen sequence remaining proprietary.
Isotype
IgG2b
Clonality
Monoclonal
Host
Mouse
Gene
IL33
Purity
Protein A purified
Innovator's Reward
Test in a species/application not listed above to receive a full credit towards a future purchase.

Applications/Dilutions

Dilutions
  • Immunocytochemistry/ Immunofluorescence 2-10 ug/ml
  • Immunohistochemistry-Paraffin 1:500 - 1:1000
Application Notes
For IHC-Paraffin, we recommend using Heat-Induced Epitope Retrieval (HIER) with a pH level of 6. This optimized retrieval method ensures the best results for your experiments, For Immunocytochemistry/ Immunofluorescence/IF, we recommend using a combination of PFA and Triton X-100. This will give you the optimal results for your experiments.

Packaging, Storage & Formulations

Storage
Store at 4C short term. Aliquot and store at -20C long term. Avoid freeze-thaw cycles.
Buffer
Lyophilized from a 0.2 um filtered solution in PBS with Trehalose
Preservative
No Preservative
Concentration
LYOPH
Purity
Protein A purified
Reconstitution Instructions
Centrifuge the vial of lyophilized antibody at 12,000 x g for 20 seconds. Reconstitute by adding sterile, distilled water to achieve a final antibody concentration of 1mg/ml.

Alternate Names for IL-33 Antibody (CL13438) - Azide and BSA Free

  • C9orf26
  • C9orf26chromosome 9 open reading frame 26 (NF-HEV)
  • DKFZp586H0523
  • DVS27
  • DVS27-related protein
  • IL1F11
  • IL-1F11
  • IL33
  • IL-33
  • interleukin 33
  • Interleukin-1 family member 11
  • interleukin-33
  • NFHEV
  • NF-HEV
  • NF-HEVNFEHEV
  • Nuclear factor from high endothelial venules
  • RP11-575C20.2

Background

Interleukin 33 (IL-33) is a 32kDa proinflammatory cytokine and intracellular nuclear factor with transcriptional regulatory properties. IL-33 is structurally related to IL-1, which induces helper T cells to produce type 2 cytokines and acts through the receptor IL1RL-1 (IL1 receptor-like-1), which is known also as ST2. Binding of IL-33 to this receptor activates NF-kappa-B and MAP kinases and induces in vitro Th2 cells to produce cytokines. In vivo, IL-33 induces expression of IL-4, IL-5, IL-13 and leads to severe pathological changes in mucosal organs and in vitro, it can be divided to N-terminal fragment of 12kDa and C-terminal fragment of 18kDa by cleavage of caspase-1.

Limitations

This product is for research use only and is not approved for use in humans or in clinical diagnosis. Primary Antibodies are guaranteed for 1 year from date of receipt.

Customers Who Viewed This Item Also Viewed...

DY523B-05
Species: Hu
Applications: ELISA
AF5828
Species: Hu
Applications: ICC, Neut, WB
DY413
Species: Mu
Applications: ELISA
7625
Species: Mu
Applications: ELISA
6507-IL/CF
Species: Hu
Applications: BA
201-LB
Species: Hu
Applications: BA
M5000
Species: Mu
Applications: ELISA
M6000B
Species: Mu
Applications: ELISA
NBP1-81595
Species: Hu
Applications: IHC,  IHC-P, WB
1398-TS
Species: Hu
Applications: BA
AF676
Species: Hu
Applications: CyTOF-ready, Flow, WB
DY421
Species: Mu
Applications: ELISA
NB100-56565
Species: Hu, Mu, Rt
Applications: ICC/IF, IHC, IHC-Fr,  IHC-P, Simple Western, WB
MAB208
Species: Hu
Applications: CyTOF-ready, ELISA(Cap), ELISA(Det), ELISA(Sta), ICC, ICFlow, Neut, Simple Western, WB
DCP00
Species: Hu
Applications: ELISA
NB100-56583
Species: Hu, Rb, Rt
Applications: Flow, IHC,  IHC-P, KO, Simple Western, WB
NBP3-43843
Species: Hu
Applications: ICC/IF, IHC

Publications for IL-33 Antibody (NBP3-43843) (0)

There are no publications for IL-33 Antibody (NBP3-43843).
By submitting your publication information earn gift cards and discounts for future purchases.

Reviews for IL-33 Antibody (NBP3-43843) (0)

There are no reviews for IL-33 Antibody (NBP3-43843). By submitting a review you will receive an Amazon e-Gift Card or Novus Product Discount.
  • Review with no image -- $10/€7/£6/$10 CAD/¥70 Yuan/¥1110 Yen
  • Review with an image -- $25/€18/£15/$25 CAD/¥150 Yuan/¥2500 Yen

Product General Protocols

Find general support by application which include: protocols, troubleshooting, illustrated assays, videos and webinars.

Video Protocols

ICC/IF Video Protocol

FAQs for IL-33 Antibody (NBP3-43843) (0)

There are no specific FAQs related to this product. Read our general customer & technical service FAQs.

Secondary Antibodies

 

Isotype Controls

Additional IL-33 Products

Research Areas for IL-33 Antibody (NBP3-43843)

Find related products by research area.

Blogs on IL-33.

Interleukin 33 (IL-33) - A dual function cytokine
IL-33 is a member of the interleukin family of cytokines that regulates a wide variety of cellular functions. Its receptor is ST2, an IL-1 receptor family member that also acts as a negative regulator of TLR-IL-1R signaling and the IL-1R accessory ...  Read full blog post.

Customers Who Bought This Also Bought

Contact Information

Product PDFs

Calculators

Concentration Calculator

The concentration calculator allows you to quickly calculate the volume, mass or concentration of your vial. Simply enter your mass, volume, or concentration values for your reagent and the calculator will determine the rest.

=
÷

Review this Product

Be the first to review our IL-33 Antibody (CL13438) - Azide and BSA Free and receive a gift card or discount.

Bioinformatics

Gene Symbol IL33