IGFBP-4 Antibody [Biotin]

Images

 
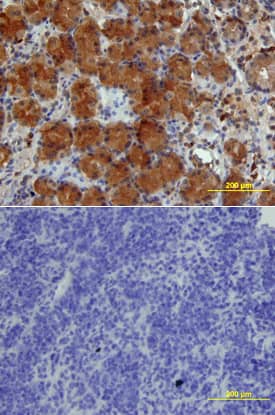
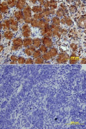
IGFBP-4 was detected in immersion fixed paraffin-embedded sections of human stomach array using Goat Anti-Human IGFBP-4 Biotinylated Antigen Affinity-purified Polyclonal Antibody (Catalog # BAF804) at 10 µg/mL ...read more

Product Details

Summary
Reactivity HuSpecies Glossary
Applications WB, IHC, ELISA(Det)
Clonality
Polyclonal
Host
Goat
Conjugate
Biotin
Concentration
LYOPH

Order Details

IGFBP-4 Antibody [Biotin] Summary

Immunogen
Mouse myeloma cell line NS0-derived recombinant human IGFBP‑4
Asp22-Glu258
Accession # AAA62670
Specificity
Detects human IGFBP-4 in ELISAs and Western blots. In sandwich immunoassays, less than 0.3% cross-reactivity with recombinant human (rh) IGFBP-1 is observed.
Source
N/A
Isotype
IgG
Clonality
Polyclonal
Host
Goat
Gene
IGFBP4
Purity Statement
Antigen Affinity-purified
Innovator's Reward
Test in a species/application not listed above to receive a full credit towards a future purchase.

Applications/Dilutions

Dilutions
  • ELISA Capture (Matched Antibody Pair) 2-8 ug/mL
  • ELISA Capture (Matched Antibody Pair) 2-8 ug/mL
  • ELISA Detection (Matched Antibody Pair) 0.1-0.4 ug/mL
  • ELISA Standard (Matched Pair)
  • Immunohistochemistry 5-15 ug/mL
  • Western Blot 0.1 ug/mL
Application Notes
ELISA Capture: Human IGFBP-4 Antibody (Catalog # MAB8041)
ELISA Detection: Human IGFBP-4 Biotinylated Antibody (Catalog # BAF804)
Standard:Recombinant Human IGFBP-4 (Catalog # 804-GB)
Readout System
Publications
Read Publication using
BAF804 in the following applications:

Packaging, Storage & Formulations

Storage
Use a manual defrost freezer and avoid repeated freeze-thaw cycles.
  • 12 months from date of receipt, -20 to -70 °C as supplied.
  • 1 month, 2 to 8 °C under sterile conditions after reconstitution.
  • 6 months, -20 to -70 °C under sterile conditions after reconstitution.
Buffer
Lyophilized from a 0.2 μm filtered solution in PBS with Trehalose.
Preservative
No Preservative
Concentration
LYOPH
Reconstitution Instructions
Reconstitute at 0.2 mg/mL in sterile PBS.

Notes

This product is produced by and ships from R&D Systems, Inc., a Bio-Techne brand.

Alternate Names for IGFBP-4 Antibody [Biotin]

  • BP-4
  • HT29-IGFBP
  • IBP4insulin-like growth factor-binding protein 4
  • IGF-binding protein 4
  • IGFBP4
  • IGFBP-4
  • IGFBP-4IBP-4
  • insulin-like growth factor binding protein 4

Background

Human IGF binding protein 4 (IGFBP-4) was isolated from human plasma based on its ability to bind immobilized IGF-I. Human IGFBP-4 cDNA encodes a 258 amino acid (aa) residue precursor protein with a predicted 21 aa residue signal peptide that is processed to generate the 237 aa residue mature human IGFBP-4. The human IGFBP-4 contains a potential N-linked glycosylation site and shares approximately 90% amino acid sequence identity with both the mouse and rat IGFBP-4.

According to the nomenclature of IGFBPs defined at the 4th International Symposium of IGFs (1997, Tokyo), six high-affinity IGF binding proteins (IGFBP-1, -2, -3, -4, -5, -6), and four IGFBP-related proteins (IGFBPr-1, - 2, -3, -4) have been identified. All IGFBPs have a high cysteine content and share conserved cysteine residues that are clustered in the amino- and carboxy-terminal third of the molecule. IGFBPs have been shown to either inhibit or enhance the biological activities of IGF, or act in an IGF-independent manner. Post-translational modification of IGFBPs, including phosphorylation and proteolysis, have been shown to modify the affinities of the binding proteins for IGF and may indirectly regulate IGF actions.

  1. Jones, J. I. and D.R. Clemons (1995) Endocrine Rev. 16:3.
  2. Kelly, K.M. et al. (1996) Intl. J. Biochem. Cell Biol. 28:619.
  3. Kim, H-S. et al. (1997) Proc. Natl. Acad. Sci. USA 94:12981.

Limitations

This product is for research use only and is not approved for use in humans or in clinical diagnosis. Primary Antibodies are guaranteed for 1 year from date of receipt.

Customers Who Viewed This Item Also Viewed...

291-G1
Species: Hu
Applications: BA
DGB300
Species: Hu
Applications: ELISA
292-G2
Species: Hu
Applications: BA
AF578
Species: Mu
Applications: ELISA(Cap), ELISA(Det), ELISA(Sta), IHC, WB
AF674
Species: Hu
Applications: Neut, Simple Western, WB
DY871
Species: Hu
Applications: ELISA
MAB8761
Species: Hu
Applications: ELISA(Cap), ELISA(Det), ELISA(Sta), WB
AF2487
Species: Hu
Applications: IP, WB
MAB1417
Species: Bv, Hu, Mu
Applications: ICC, IHC
MAB391
Species: Hu, Mu
Applications: ELISA(Cap), ELISA(Det), ELISA(Sta), Flow, ICC, IHC, Neut, WB
AF1067
Species: Hu, Mu, Rt
Applications: ELISA, IHC, Neut, WB
NBP1-90927
Species: Hu
Applications: IHC,  IHC-P, WB
AF1067
Species: Hu, Mu, Rt
Applications: ELISA, IHC, Neut, WB
NBP1-30475
Species: Hu, Mu
Applications: IHC,  IHC-P, IP, WB
236-EG
Species: Hu
Applications: BA
MAB7665
Species: Hu
Applications: IHC, WB
AF1360
Species: Mu
Applications: IHC, WB

Publications for IGFBP-4 Antibody (BAF804)(1)

We have publications tested in 1 confirmed species: Human.

We have publications tested in 1 application: ELISA Development.


Filter By Application
ELISA Development
(1)
All Applications
Filter By Species
Human
(1)
All Species

Reviews for IGFBP-4 Antibody (BAF804) (0)

There are no reviews for IGFBP-4 Antibody (BAF804). By submitting a review you will receive an Amazon e-Gift Card or Novus Product Discount.
  • Review with no image -- $10/€7/£6/$10 CAD/¥70 Yuan/¥1110 Yen
  • Review with an image -- $25/€18/£15/$25 CAD/¥150 Yuan/¥2500 Yen

Product General Protocols

Find general support by application which include: protocols, troubleshooting, illustrated assays, videos and webinars.

Video Protocols

WB Video Protocol

FAQs for IGFBP-4 Antibody (BAF804) (0)

There are no specific FAQs related to this product. Read our general customer & technical service FAQs.

Customers Who Bought This Also Bought

Contact Information

Product PDFs

Calculators

Concentration Calculator

The concentration calculator allows you to quickly calculate the volume, mass or concentration of your vial. Simply enter your mass, volume, or concentration values for your reagent and the calculator will determine the rest.

=
÷

Review this Product

Be the first to review our IGFBP-4 Antibody [Biotin] and receive a gift card or discount.

Bioinformatics

Gene Symbol IGFBP4
Uniprot