IGFBP-2 Antibody (CL13565) - Azide and BSA Free

Images

 
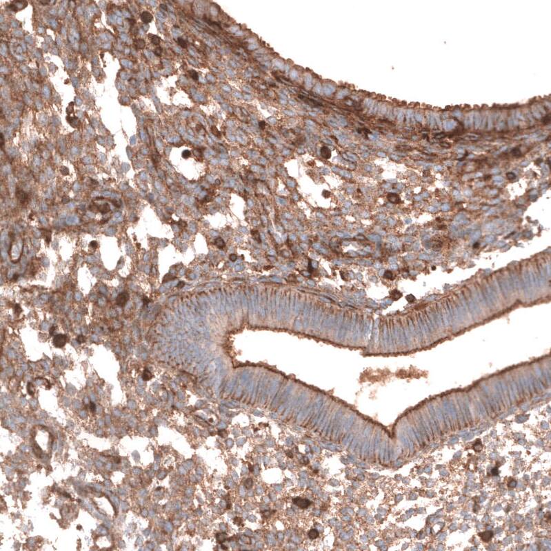
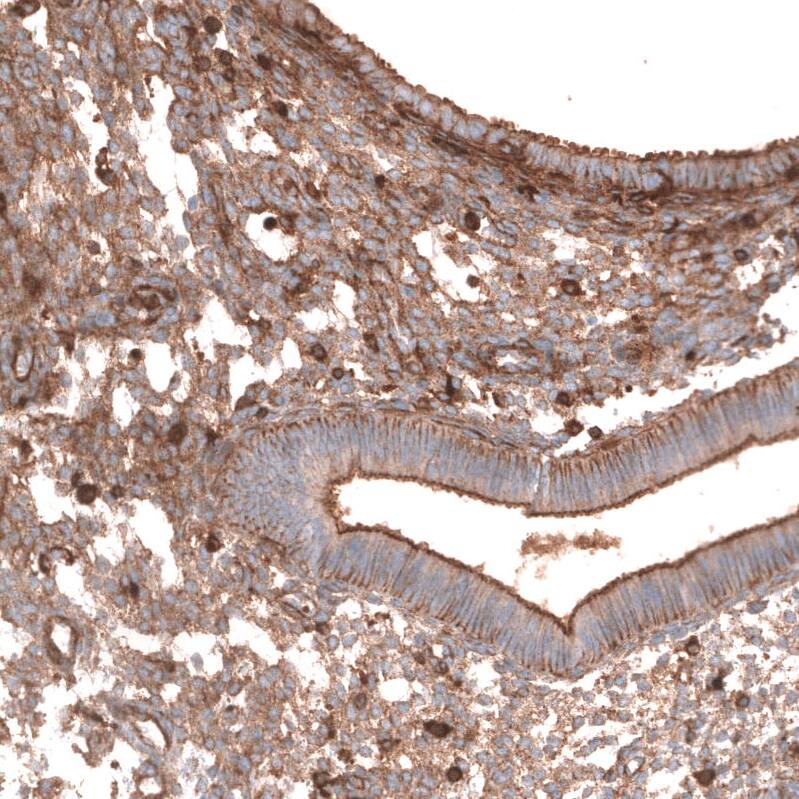
Orthogonal Strategies: Analysis in human pancreas and skin tissues using NBP3-43842 antibody. Corresponding IGFBP-2 RNA-seq data are presented for the same tissues.
Staining of human endometrial cancer shows moderate membranous positivity in tumor cells.
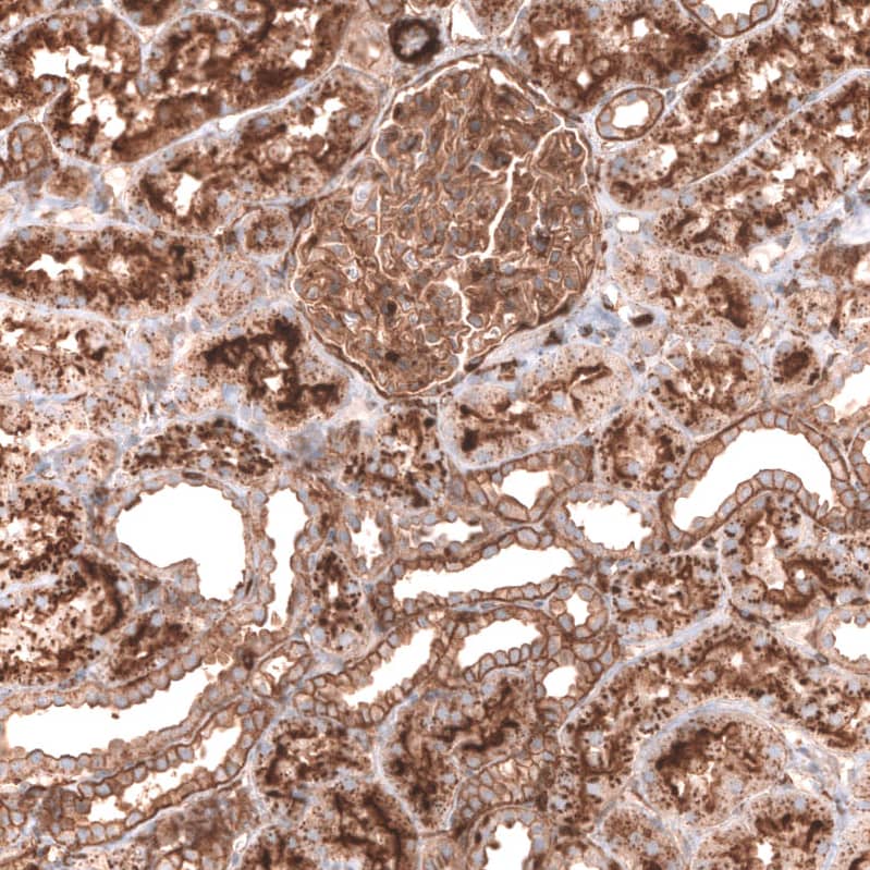
Staining of human kidney shows strong membranous positivity in cells in tubules and cells in glomeruli with additional cytoplasmic positivity.
Staining of human endometrium shows moderate membranous positivity in glandular cells and endometrial stromal cells.
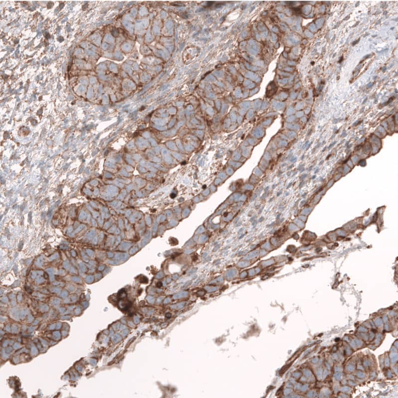
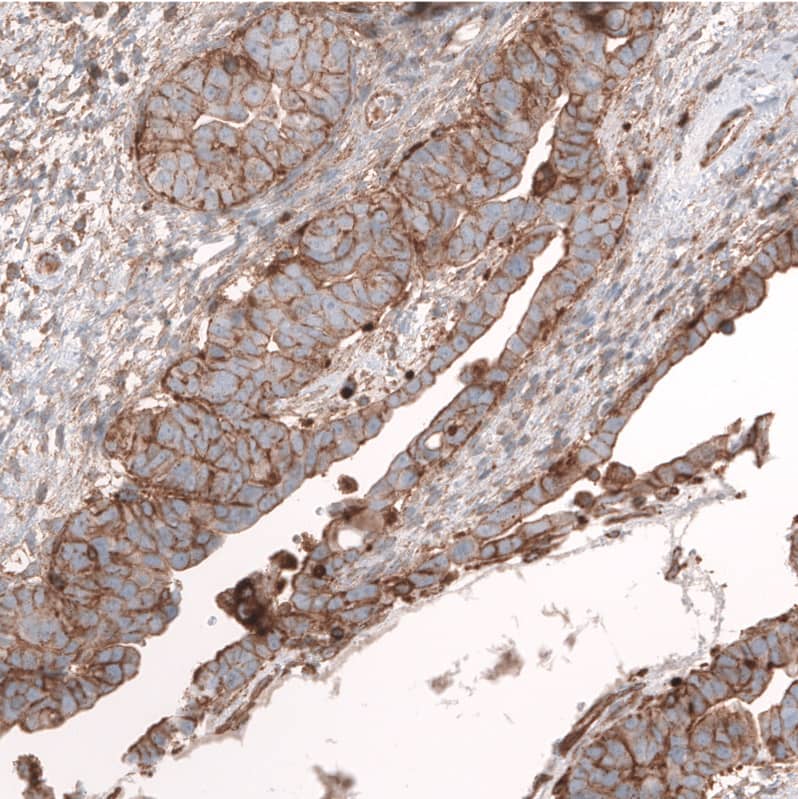
Staining of human ovarian cancer (low grade serous ovarian carcinoma) shows strong membranous positivity in tumor cells.
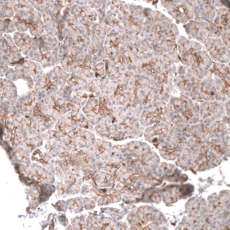
Staining of human pancreas shows moderate membranous positivity in exocrine glandular cells.
Staining of human skin shows negative to very weak positivity in squamous epithelial cells.
Staining of human ovarian cancer (papillary carcinoma) shows strong membranous positivity in tumor cells.
Staining of human stomach shows strong membranous positivity in glandular cells.

Product Details

Summary
Reactivity HuSpecies Glossary
Applications IHC
Clone
CL13565
Clonality
Monoclonal
Host
Mouse
Conjugate
Unconjugated
Format
Azide and BSA Free
Concentration
LYOPH
Validated by:
       

Orthogonal Strategies

 

Order Details

IGFBP-2 Antibody (CL13565) - Azide and BSA Free Summary

Description
Novus Biologicals Mouse IGFBP-2 Antibody (CL13565) - Azide and BSA Free (NBP3-24569) is a monoclonal antibody validated for use in IHC. All Novus Biologicals antibodies are covered by our 100% guarantee.
Immunogen
This antibody was generated using a synthetic peptide of P18065, with the exact immunogen sequence remaining proprietary.
Isotype
IgG2a
Clonality
Monoclonal
Host
Mouse
Gene
IGFBP2
Purity
Protein A purified
Innovator's Reward
Test in a species/application not listed above to receive a full credit towards a future purchase.

Applications/Dilutions

Dilutions
  • Immunohistochemistry-Paraffin 1:5000 - 1:10000
Application Notes
For IHC-Paraffin, we recommend using Heat-Induced Epitope Retrieval (HIER) with a pH level of 6. This optimized retrieval method ensures the best results for your experiments.

Packaging, Storage & Formulations

Storage
Store at 4C short term. Aliquot and store at -20C long term. Avoid freeze-thaw cycles.
Buffer
Lyophilized from a 0.2 um filtered solution in PBS with Trehalose
Preservative
No Preservative
Concentration
LYOPH
Purity
Protein A purified
Reconstitution Instructions
Centrifuge the vial of lyophilized antibody at 12,000 x g for 20 seconds. Reconstitute by adding sterile, distilled water to achieve a final antibody concentration of 1mg/ml.

Alternate Names for IGFBP-2 Antibody (CL13565) - Azide and BSA Free

  • BP2
  • IBP2
  • IBP-2
  • IGF-binding protein 2
  • IGFBP2
  • IGFBP-2
  • IGF-BP53
  • insulin-like growth factor binding protein 2 (36kD)
  • insulin-like growth factor binding protein 2, 36kDa
  • insulin-like growth factor-binding protein 2

Background

IGFBP2 is a member of the ISGBP family which bind various IGFs. IGFBP2 is over expressed in a wide spectrum of other cancers, including glioma, prostate cancer, synovial sarcoma, neuroblastoma, colon cancer, adrenocortical cancer, lung cancer, Wilms' tumor, and hepatoblastoma. The over expression of IGFBP2 also correlates with the aggressiveness of some tumors. IGFBP2 activates the expression of matrix metalloprotease 2, which contributes to cell invasiveness.

Limitations

This product is for research use only and is not approved for use in humans or in clinical diagnosis. Primary Antibodies are guaranteed for 1 year from date of receipt.

Customers Who Viewed This Item Also Viewed...

291-G1
Species: Hu
Applications: BA
DGB300
Species: Hu
Applications: ELISA
292-G2
Species: Hu
Applications: BA
DY871
Species: Hu
Applications: ELISA
NBP1-80549
Species: Hu, Mu
Applications: ICC/IF, IHC, IHC-Fr,  IHC-P, WB
AF578
Species: Mu
Applications: ELISA(Cap), ELISA(Det), ELISA(Sta), IHC, WB
MAB1417
Species: Bv, Hu, Mu
Applications: ICC, IHC
AF1067
Species: Hu, Mu, Rt
Applications: ELISA, IHC, Neut, WB
MAB8761
Species: Hu
Applications: ELISA(Cap), ELISA(Det), ELISA(Sta), WB
AF1067
Species: Hu, Mu, Rt
Applications: ELISA, IHC, Neut, WB
NBP1-90927
Species: Hu
Applications: IHC,  IHC-P, WB
MAB391
Species: Hu, Mu
Applications: ELISA(Cap), ELISA(Det), ELISA(Sta), Flow, ICC, IHC, Neut, WB
AF1360
Species: Mu
Applications: IHC, WB
236-EG
Species: Hu
Applications: BA
DKK300
Species: Hu
Applications: ELISA
NBP2-24915
Species: Bv, Hu, Mu, Rt
Applications: IHC,  IHC-P, WB
AF1436
Species: Mu
Applications: WB
M6000B
Species: Mu
Applications: ELISA

Publications for IGFBP-2 Antibody (NBP3-43842) (0)

There are no publications for IGFBP-2 Antibody (NBP3-43842).
By submitting your publication information earn gift cards and discounts for future purchases.

Reviews for IGFBP-2 Antibody (NBP3-43842) (0)

There are no reviews for IGFBP-2 Antibody (NBP3-43842). By submitting a review you will receive an Amazon e-Gift Card or Novus Product Discount.
  • Review with no image -- $10/€7/£6/$10 CAD/¥70 Yuan/¥1110 Yen
  • Review with an image -- $25/€18/£15/$25 CAD/¥150 Yuan/¥2500 Yen

Product General Protocols

Find general support by application which include: protocols, troubleshooting, illustrated assays, videos and webinars.

FAQs for IGFBP-2 Antibody (NBP3-43842) (0)

There are no specific FAQs related to this product. Read our general customer & technical service FAQs.

Secondary Antibodies

 

Isotype Controls

Additional IGFBP-2 Products

Research Areas for IGFBP-2 Antibody (NBP3-43842)

Find related products by research area.

Blogs on IGFBP-2

There are no specific blogs for IGFBP-2, but you can read our latest blog posts.

Customers Who Bought This Also Bought

Contact Information

Product PDFs

Calculators

Concentration Calculator

The concentration calculator allows you to quickly calculate the volume, mass or concentration of your vial. Simply enter your mass, volume, or concentration values for your reagent and the calculator will determine the rest.

=
÷

Review this Product

Be the first to review our IGFBP-2 Antibody (CL13565) - Azide and BSA Free and receive a gift card or discount.

Bioinformatics

Gene Symbol IGFBP2