Iduronate 2-Sulfatase/IDS Antibody (OTI1D9) - Azide and BSA Free

Images

 
Western Blot: Iduronate 2-Sulfatase/IDS Antibody (OTI1D9) - Azide and BSA Free [NBP2-70994] - HEK293T cells were transfected with the pCMV6-ENTRY control (Left lane) or pCMV6-ENTRY Iduronate 2 sulfatase (Right lane) ...read more
Immunocytochemistry/ Immunofluorescence: Iduronate 2-Sulfatase/IDS Antibody (OTI1D9) - Azide and BSA Free [NBP2-70994] - Staining of COS7 cells.
Immunohistochemistry: Iduronate 2-Sulfatase/IDS Antibody (OTI1D9) - Azide and BSA Free [NBP2-70994] - Staining of paraffin-embedded Human pancreas tissue using anti-Iduronate 2 sulfatase mouse monoclonal antibody.
Flow Cytometry: Iduronate 2-Sulfatase/IDS Antibody (OTI1D9) - Azide and BSA Free [NBP2-70994] - HEK293T cells transfected with either overexpression plasmid (Red) or empty vector control plasmid (Blue) were ...read more
Western Blot: Iduronate 2-Sulfatase/IDS Antibody (OTI1D9) - Azide and BSA Free [NBP2-70994] - Analysis of extracts (10ug) from a mouse cell line by using anti-IDS monoclonal antibody (1:200).
Western Blot: Iduronate 2-Sulfatase/IDS Antibody (OTI1D9) - Azide and BSA Free [NBP2-70994] - Analysis of extracts (10ug) from Human tissues by using anti-IDS monoclonal antibody at 1:200 (1: Testis; 2: Omentum; 3: ...read more
Western Blot: Iduronate 2-Sulfatase/IDS Antibody (OTI1D9) - Azide and BSA Free [NBP2-70994] - Analysis of extracts (35ug) from 9 different cell lines by using anti-Iduronate 2 sulfatase monoclonal antibody.
Immunohistochemistry: Iduronate 2-Sulfatase/IDS Antibody (OTI1D9) - Azide and BSA Free [NBP2-70994] - Iduronate 2 sulfatase Antibody (1D9) [NBP2-01745
Immunohistochemistry: Iduronate 2-Sulfatase/IDS Antibody (OTI1D9) - Azide and BSA Free [NBP2-70994] - Staining of paraffin-embedded Adenocarcinoma of Human endometrium tissue using anti-Iduronate 2 sulfatase mouse ...read more
Immunohistochemistry: Iduronate 2-Sulfatase/IDS Antibody (OTI1D9) - Azide and BSA Free [NBP2-70994] - Staining of paraffin-embedded Carcinoma of Human kidney tissue using anti-Iduronate 2 sulfatase mouse monoclonal ...read more
Immunohistochemistry: Iduronate 2-Sulfatase/IDS Antibody (OTI1D9) - Azide and BSA Free [NBP2-70994] - Staining of paraffin-embedded Carcinoma of Human liver tissue using anti-Iduronate 2 sulfatase mouse monoclonal ...read more
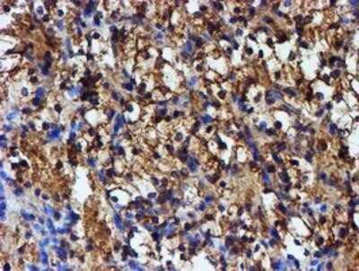
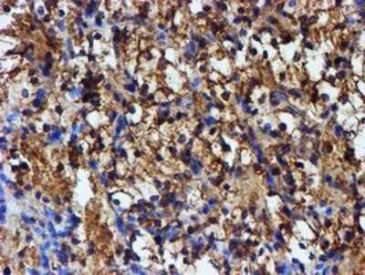
Immunohistochemistry: Iduronate 2-Sulfatase/IDS Antibody (OTI1D9) - Azide and BSA Free [NBP2-70994] - Staining of paraffin-embedded Human lymphoma tissue using anti-Iduronate 2 sulfatase mouse monoclonal antibody.
Immunohistochemistry: Iduronate 2-Sulfatase/IDS Antibody (OTI1D9) - Azide and BSA Free [NBP2-70994] - Staining of paraffin-embedded Human tonsil using anti-Iduronate 2 sulfatase mouse monoclonal antibody.
Flow Cytometry: Iduronate 2-Sulfatase/IDS Antibody (OTI1D9) - Azide and BSA Free [NBP2-70994] - Analysis of Hela cells, using anti-Iduronate 2 sulfatase antibody, (Red), compared to a nonspecific negative control ...read more
Flow Cytometry: Iduronate 2-Sulfatase/IDS Antibody (OTI1D9) - Azide and BSA Free [NBP2-70994] - Analysis of Jurkat cells, using anti-Iduronate 2 sulfatase antibody, (Red), compared to a nonspecific negative control ...read more

Product Details

Summary
Reactivity Hu, Mu, Rt, PmSpecies Glossary
Applications WB, Flow, ICC/IF, IHC, CyTOF-ready
Clone
OTI1D9
Clonality
Monoclonal
Host
Mouse
Conjugate
Unconjugated
Format
Azide and BSA Free
Concentration
LYOPH

Order Details

Iduronate 2-Sulfatase/IDS Antibody (OTI1D9) - Azide and BSA Free Summary

Description
Novus Biologicals Mouse Iduronate 2-Sulfatase/IDS Antibody (OTI1D9) - Azide and BSA Free (NBP2-01745) is a monoclonal antibody validated for use in IHC, WB, Flow and ICC/IF. All Novus Biologicals antibodies are covered by our 100% guarantee.
Immunogen
Full length human recombinant protein of human IDS(NP_000193) produced in HEK293T cell.
Isotype
IgG2a
Clonality
Monoclonal
Host
Mouse
Gene
IDS
Purity
Immunogen affinity purified
Innovator's Reward
Test in a species/application not listed above to receive a full credit towards a future purchase.

Applications/Dilutions

Dilutions
  • CyTOF-ready
  • Flow Cytometry 1:100
  • Immunocytochemistry/ Immunofluorescence 1:100
  • Immunohistochemistry 1:150
  • Immunohistochemistry-Paraffin
  • Western Blot 1:500-2000
Theoretical MW
59.2 kDa.
Disclaimer note: The observed molecular weight of the protein may vary from the listed predicted molecular weight due to post translational modifications, post translation cleavages, relative charges, and other experimental factors.

Reactivity Notes

Please note that this antibody is reactive to Mouse and derived from the same host, Mouse. Mouse-On-Mouse blocking reagent may be needed for IHC and ICC experiments to reduce high background signal. You can find these reagents under catalog numbers PK-2200-NB and MP-2400-NB. Please contact Technical Support if you have any questions.

Packaging, Storage & Formulations

Storage
Store at -20C. Avoid freeze-thaw cycles.
Buffer
Lyophilized from PBS (pH 7.3) with 8% Trehalose
Preservative
No Preservative
Concentration
LYOPH
Purity
Immunogen affinity purified
Reconstitution Instructions
we recommend adding 100uL distilled water to a final antibody concentration of about 1 mg/mL. To use this carrier-free antibody for conjugation experiment, we strongly recommend performing another round of desalting process.

Alternate Names for Iduronate 2-Sulfatase/IDS Antibody (OTI1D9) - Azide and BSA Free

  • Alpha-L-iduronate sulfate sulfatase
  • EC 3.1.6.13
  • IDS
  • iduronate 2-sulfatase 14 kDa chain
  • iduronate 2-sulfatase 42 kDa chain
  • iduronate 2-sulfatase
  • idursulfase
  • MPS2
  • S
  • SIDS

Background

Iduronate-2-sulfatase is required for the lysosomal degradation of heparan sulfate and dermatan sulfate. Mutations in this X-chromosome gene that result in enzymatic deficiency lead to the sex-linked Mucopolysaccharidosis Type II, also known as Hunter Syndrome. Iduronate-2-sulfatase has a strong sequence homology with human arylsulfatases A, B, and C, and human glucosamine-6-sulfatase. A splice variant of this gene has been described.

Limitations

This product is for research use only and is not approved for use in humans or in clinical diagnosis. Primary Antibodies are guaranteed for 1 year from date of receipt.

Customers Who Viewed This Item Also Viewed...

NBP1-26612
Species: Hu
Applications: IP (-), WB
NBP1-60106
Species: Hu
Applications: IHC,  IHC-P, WB
NB110-59909
Species: Bv, Eq, Fe, Fi, Hu, Mu, Po, Pm, Rb, Rt
Applications: Simple Western, WB
NB100-56603
Species: Ca, Hu, Mu, Pm, Rt
Applications: IHC,  IHC-P, WB
NBP2-01770
Species: Ca, Hu, Pm, Mu, Rt
Applications: Flow, ICC/IF, IHC,  IHC-P, WB
MAB1417
Species: Bv, Hu, Mu
Applications: ICC, IHC
NB100-236
Species: Hu, Mu
Applications: IB, IHC, IHC-Fr, WB
H00347527-P01
Species: Hu
Applications: ELISA, AP, PA, WB
NBP1-81872
Species: Hu
Applications: IHC,  IHC-P
NBP2-03621
Species: Hu, Mu, Rt
Applications: ICC/IF, IHC,  IHC-P, WB
NBP1-30873
Species: Hu, Mu, Rt
Applications: ChIP, ICC/IF, IHC,  IHC-P, WB
H00004354-M01
Species: Hu
Applications: ELISA, ICC/IF, IP, S-ELISA, WB
NBP1-54899
Species: Hu, Rt
Applications: ICC/IF, IHC, IHC-Fr, WB
202-IL
Species: Hu
Applications: BA
NBP1-92394
Species: Hu
Applications: IHC,  IHC-P, WB
NBP1-82604
Species: Hu
Applications: IHC,  IHC-P
NBP1-87964
Species: Hu
Applications: IHC,  IHC-P
NBP2-47801
Species: Hu
Applications: CyTOF-ready, Flow, ICC/IF, IF, IHC,  IHC-P, Simple Western, WB

Publications for Iduronate 2-Sulfatase/IDS Antibody (NBP2-70994) (0)

There are no publications for Iduronate 2-Sulfatase/IDS Antibody (NBP2-70994).
By submitting your publication information earn gift cards and discounts for future purchases.

Reviews for Iduronate 2-Sulfatase/IDS Antibody (NBP2-70994) (0)

There are no reviews for Iduronate 2-Sulfatase/IDS Antibody (NBP2-70994). By submitting a review you will receive an Amazon e-Gift Card or Novus Product Discount.
  • Review with no image -- $10/€7/£6/$10 CAD/¥70 Yuan/¥1110 Yen
  • Review with an image -- $25/€18/£15/$25 CAD/¥150 Yuan/¥2500 Yen

Product General Protocols

Find general support by application which include: protocols, troubleshooting, illustrated assays, videos and webinars.

Video Protocols

WB Video Protocol
ICC/IF Video Protocol

FAQs for Iduronate 2-Sulfatase/IDS Antibody (NBP2-70994) (0)

There are no specific FAQs related to this product. Read our general customer & technical service FAQs.

Customers Who Bought This Also Bought

Contact Information

Product PDFs

Calculators

Concentration Calculator

The concentration calculator allows you to quickly calculate the volume, mass or concentration of your vial. Simply enter your mass, volume, or concentration values for your reagent and the calculator will determine the rest.

=
÷

Review this Product

Be the first to review our Iduronate 2-Sulfatase/IDS Antibody (OTI1D9) - Azide and BSA Free and receive a gift card or discount.

Bioinformatics

Gene Symbol IDS