IDO2 Antibody (IDO2/2639) - Azide and BSA Free

Images

 
Protein Array: IDO2 Antibody (IDO2/2639) - Azide and BSA Free [NBP3-14051] - Analysis of Protein Array containing more than 19,000 full-length human proteins using IDO2 Antibody (IDO2/2639).
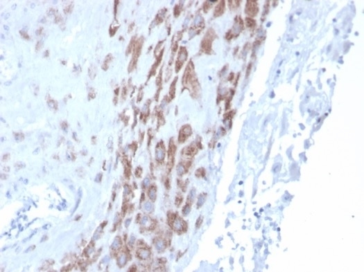
IHC analysis of formalin-fixed, paraffin-embedded human placenta. Staining using IDO2 antibody (IDO2/2639) at 2ug/ml in PBS for 30min RT.HIER: Tris/EDTA, pH9.0, 45min. Secondary: HRP-polymer, 30min. DAB, 5min.

Product Details

Summary
Reactivity HuSpecies Glossary
Applications ELISA, IHC, MA
Clone
IDO2/2639
Clonality
Monoclonal
Host
Mouse
Conjugate
Unconjugated
Format
Azide and BSA Free
Concentration
1 mg/ml

Order Details

IDO2 Antibody (IDO2/2639) - Azide and BSA Free Summary

Description
1.0 mg/ml of antibody purified from Bioreactor Concentrate by Protein A/G. Prepared in 10mM PBS WITHOUT BSA & azide. Also available at 200 ug/ml WITH BSA & azide (NBP3-13868).

Antibody with azide store at 2 to 8C. Antibody without azide - store at -20 to -80 C.
Immunogen
Recombinant fragment (around aa 200-350) of human IDO2 protein (exact sequence is proprietary) (Uniprot: Q6ZQW0)
Localization
Cytoplasm
Isotype
IgG Kappa
Clonality
Monoclonal
Host
Mouse
Gene
IDO2
Purity
Protein A or G purified
Innovator's Reward
Test in a species/application not listed above to receive a full credit towards a future purchase.

Applications/Dilutions

Dilutions
  • ELISA
  • Immunohistochemistry-Paraffin 1-2 ug/ml
  • Protein Array
Application Notes
ELISA: For coating, order this antibody without BSA

Immunohistochemistry (Formalin-fixed): 1-2ug/ml for 30 minutes at RT. Staining of formalin-fixed tissues requires heating tissue sections in 10mM Tris with 1mM EDTA, pH 9.0, for 45 min at 95C followed by cooling at RT for 20 minutes
Theoretical MW
47 kDa.
Disclaimer note: The observed molecular weight of the protein may vary from the listed predicted molecular weight due to post translational modifications, post translation cleavages, relative charges, and other experimental factors.

Packaging, Storage & Formulations

Storage
Store at -20 to -80C. Avoid freeze-thaw cycles.
Buffer
10mM PBS
Preservative
No Preservative
Concentration
1 mg/ml
Purity
Protein A or G purified

Alternate Names for IDO2 Antibody (IDO2/2639) - Azide and BSA Free

  • EC 1.13.11.-
  • IDO2
  • Ido-2
  • INDOL1
  • INDOL1indoleamine-pyrrole 2,3 dioxygenase-like 1
  • indoleamine 2,3-dioxygenase 2
  • Indoleamine 2,3-dioxygenase-2
  • indoleamine 2,3-dioxygenase-like 1 protein
  • Indoleamine 2,3-dioxygenase-like protein 1
  • Indoleamine-pyrrole 2,3-dioxygenase-like protein 1

Background

Along with the enzymes encoded by the INDO (MIM 147435) and TDO2 (MIM 191070) genes, the enzyme encoded by the INDOL1gene metabolizes tryptophan in the kynurenine pathway (Ball et al., 2007 (PubMed 17499941)).(supplied by OMIM)

Limitations

This product is for research use only and is not approved for use in humans or in clinical diagnosis. Primary Antibodies are guaranteed for 1 year from date of receipt.

Customers Who Viewed This Item Also Viewed...

NBP1-87702
Species: Hu
Applications: IHC,  IHC-P, Simple Western, WB
H00006999-B01P
Species: Hu, Mu
Applications: IHC,  IHC-P, WB
NBP2-24646
Species: Bv, Ca, Eq, Hu, Mu, Pm
Applications: IHC,  IHC-P, WB
NB100-128
Species: Hu, Mu, Rt
Applications: ChIP, GS, ICC/IF, IHC,  IHC-P, WB
NB110-97871
Species: Hu, Mu
Applications: CyTOF-ready, Flow, ICC/IF, IHC, IHC-Fr,  IHC-P, IP
NBP1-72042
Species: Hu, Mu, Rt
Applications: ICC/IF, IHC,  IHC-P, PEP-ELISA, WB
NBP2-25208
Species: Hu, Mu, Rt
Applications: Flow, ICC/IF, IHC, IHC-Fr,  IHC-P, KO, Simple Western, WB
NBP1-19371
Species: Ca, Hu, Mu, Po, Rb, Rt
Applications: Dual ISH-IHC, Flow, ICC/IF, IHC, IHC-Fr,  IHC-P, Simple Western, WB
485-MI
Species: Mu
Applications: BA
NB100-39002
Species: Bv, Hu, Mu, Rt
Applications: Dual ISH-IHC, Flow, IB, ICC/IF, IHC,  IHC-P, IP, Single-Cell Western, WB
DR2A00
Species: Hu
Applications: ELISA
NB100-689
Species: Hu, Rt
Applications: IHC, IHC-Fr,  IHC-P, Simple Western, WB
NBP2-16996
Species: Hu, Mu
Applications: ICC/IF, IHC, IHC-Fr,  IHC-P, WB
M6000B
Species: Mu
Applications: ELISA
NBP2-49671
Species: Hu
Applications: ICC/IF, IHC,  IHC-P
DBD00
Species: Hu
Applications: ELISA
291-G1
Species: Hu
Applications: BA
7734-LF
Species: Hu
Applications: BA
NBP1-88370
Species: Hu, Mu
Applications: ICC/IF, IHC,  IHC-P, WB
AF796
Species: Mu
Applications: AdBlk, IHC, WB

Publications for IDO2 Antibody (NBP3-14051) (0)

There are no publications for IDO2 Antibody (NBP3-14051).
By submitting your publication information earn gift cards and discounts for future purchases.

Reviews for IDO2 Antibody (NBP3-14051) (0)

There are no reviews for IDO2 Antibody (NBP3-14051). By submitting a review you will receive an Amazon e-Gift Card or Novus Product Discount.
  • Review with no image -- $10/€7/£6/$10 CAD/¥70 Yuan/¥1110 Yen
  • Review with an image -- $25/€18/£15/$25 CAD/¥150 Yuan/¥2500 Yen

Product General Protocols

Find general support by application which include: protocols, troubleshooting, illustrated assays, videos and webinars.

FAQs for IDO2 Antibody (NBP3-14051) (0)

There are no specific FAQs related to this product. Read our general customer & technical service FAQs.

Customers Who Bought This Also Bought

Contact Information

Product PDFs

Calculators

Concentration Calculator

The concentration calculator allows you to quickly calculate the volume, mass or concentration of your vial. Simply enter your mass, volume, or concentration values for your reagent and the calculator will determine the rest.

=
÷

Review this Product

Be the first to review our IDO2 Antibody (IDO2/2639) - Azide and BSA Free and receive a gift card or discount.

Bioinformatics

Gene Symbol IDO2