HNF-4 alpha/NR2A1 Antibody (SN72-03)

Images

 
Western Blot: HNF-4 alpha/NR2A1 Antibody (SN72-03) [NBP2-67679] - Analysis of HNF-4-alpha/NR2A1 on LOVO cell lysates with Rabbit anti-HNF-4 alpha/NR2A1 antibody at 1/500 dilution. Lysates/proteins at 10 ug/Lane. ...read more
Immunocytochemistry/ Immunofluorescence: HNF-4 alpha/NR2A1 Antibody (SN72-03) [NBP2-67679] - Staining HNF-4-alpha in SW480 cells (green). The nuclear counter stain is DAPI (blue). Cells were fixed in paraformaldehyde, ...read more
Immunohistochemistry-Paraffin: HNF-4 alpha/NR2A1 Antibody (SN72-03) [NBP2-67679] - Analysis of paraffin-embedded human small intestine tissue with Rabbit anti-HNF-4 alpha/NR2A1 antibody washed with ddH2O and PBS, and ...read more
Flow Cytometry: HNF-4 alpha/NR2A1 Antibody (SN72-03) [NBP2-67679] - Analysis of HepG2 cells with HNF-4-alpha antibody at 1/50 dilution (red) compared with an unlabelled control (cells without incubation with primary ...read more
Western Blot: HNF-4 alpha/NR2A1 Antibody (SN72-03) [NBP2-67679] - Analysis of HNF-4-alpha on A549 cell lysates. Proteins were transferred to a PVDF membrane and blocked with 5% BSA in PBS for 1 hour at room temperature. ...read more
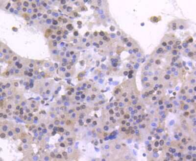
Immunohistochemistry-Paraffin: HNF-4 alpha/NR2A1 Antibody (SN72-03) [NBP2-67679] - Analysis of paraffin-embedded human colon cancer tissue using anti-HNF-4-alpha antibody. Counter stained with hematoxylin.
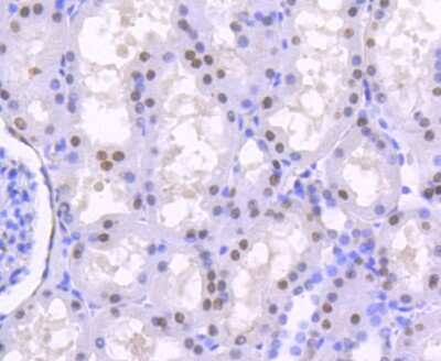
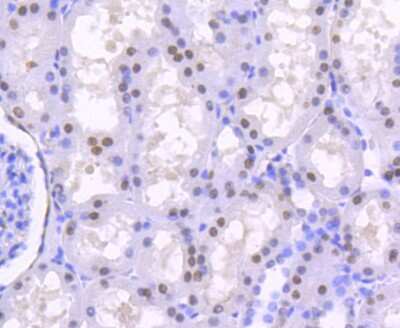
Immunohistochemistry-Paraffin: HNF-4 alpha/NR2A1 Antibody (SN72-03) [NBP2-67679] - Analysis of paraffin-embedded human kidney tissue using anti-HNF-4-alpha antibody. Counter stained with hematoxylin.
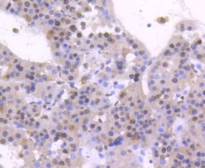
Immunohistochemistry-Paraffin: HNF-4 alpha/NR2A1 Antibody (SN72-03) [NBP2-67679] - Analysis of paraffin-embedded human liver cancer tissue using anti-HNF-4-alpha antibody. Counter stained with hematoxylin.

Product Details

Summary
Product Discontinued
View other related HNF-4 alpha/NR2A1 Primary Antibodies

Order Details


    • Catalog Number
      NBP2-67679
    • Availability
      Product Discontinued

    Can't find what you are looking for? Use our Antibody Concierge Service & we will help you locate your antibody!

    Or feel free to contact us for alternative products.

HNF-4 alpha/NR2A1 Antibody (SN72-03) Summary

Additional Information
Recombinant Monoclonal Antibody.
Immunogen
Synthetic peptide within Human HNF-4 alpha/NR2A1 aa 21-70 / 474. (SwissProt: P41235 Human)
Localization
Nucleus.
Isotype
IgG
Clonality
Monoclonal
Host
Rabbit
Gene
HNF4A
Purity
Protein A purified
Innovator's Reward
Test in a species/application not listed above to receive a full credit towards a future purchase.

Applications/Dilutions

Dilutions
  • Flow Cytometry 1:50-1:100
  • Immunocytochemistry/ Immunofluorescence 1:50-1:200
  • Immunohistochemistry
  • Immunohistochemistry-Paraffin 1:100-1:500
  • Western Blot 1:500-1:1000
Publications
Read Publication using
NBP2-67679 in the following applications:

Packaging, Storage & Formulations

Storage
Store at 4C short term. Aliquot and store at -20C long term. Avoid freeze-thaw cycles.
Buffer
TBS (pH7.4), 0.05% BSA, 40% Glycerol
Preservative
0.05% Sodium Azide
Concentration
1 mg/ml
Purity
Protein A purified

Alternate Names for HNF-4 alpha/NR2A1 Antibody (SN72-03)

  • FLJ39654
  • hepatic nuclear factor 4 alpha
  • hepatocyte nuclear factor 4, alpha
  • hepatocyte nuclear factor 4-alpha
  • HNF4 alpha
  • HNF-4 alpha
  • HNF4A
  • HNF4a7
  • HNF-4-alpha
  • HNF4alpha10/11/12
  • HNF4HNF4a8
  • MODY
  • MODY1
  • NR2A1
  • NR2A1HNF4a9
  • NR2A21
  • Nuclear receptor subfamily 2 group A member 1
  • TCF
  • TCF14
  • TCF-14
  • TCF14HNF4alpha
  • Transcription factor 14
  • Transcription factor HNF-4
  • transcription factor-14

Background

HNF4 alpha is encoded by this gene is a nuclear transcription factor which binds DNA as a homodimer. The encoded protein controls the expression of several genes, including hepatocyte nuclear factor 1 alpha, a transcription factor which regulates the expression of several hepatic genes. This gene may play a role in development of the liver, kidney, and intestines. Mutations in this gene have been associated with monogenic autosomal dominant non-insulin-dependent diabetes mellitus type I. Alternative splicing of this gene results in multiple transcript variants.

Limitations

This product is for research use only and is not approved for use in humans or in clinical diagnosis. Primary Antibodies are guaranteed for 1 year from date of receipt.

Customers Who Viewed This Item Also Viewed...

NBP1-33596
Species: Hu, Mu, Rt
Applications: ICC/IF, IHC,  IHC-P, IP, PAGE, WB
AF1329
Species: Hu, Mu, Rt
Applications: ChIP, CyTOF-ready, ICC, IHC, ICFlow, Simple Western, WB
NBP1-89680
Species: Hu, Mu
Applications: ChIP, ICC/IF, IHC,  IHC-P, Simple Western, WB
H00006934-M06
Species: Hu, Mu
Applications: ELISA, ICC/IF, IHC,  IHC-P, WB
NBP1-86960
Species: Hu
Applications: ChIP-EXO-SEQ, ICC/IF, IHC,  IHC-P, WB
NBP1-47778
Species: Hu, Mu, Rt
Applications: ICC/IF, IHC,  IHC-P, WB
MAB1417
Species: Bv, Hu, Mu
Applications: ICC, IHC
AF1329
Species: Hu, Mu, Rt
Applications: ChIP, CyTOF-ready, ICC, IHC, ICFlow, Simple Western, WB
AF4186
Species: Hu
Applications: ICC, WB
NB100-91662
Species: Hu, Mu, Rt
Applications: Flow, ICC/IF, IHC,  IHC-P, Simple Western, WB
H00006925-M03
Species: Hu, Pm, Mu, Rb, Rt
Applications: ELISA, ICC/IF, IHC,  IHC-P, IP, WB
NBP2-32840
Species: Hu, Pm, Mu, Rt
Applications: Flow, ICC/IF, IHC,  IHC-P, WB
NB600-302
Species: Bv, Dr, Hu, Mu
Applications: ChIP, ELISA, Flow-IC, Flow, IB, ICC/IF, IHC, IHC-Fr,  IHC-P, IP, PLA, S-ELISA, Simple Western, WB
AF3287
Species: Hu, Mu, Rt
Applications: WB
MAB8224
Species: Mu
Applications: CyTOF-ready, ICFlow, WB
PP-H4417-00
Species: Hu
Applications: DirELISA, IP, WB
AF4885
Species: Mu
Applications: IP, WB
NBP2-67679
Species: Hu
Applications: WB, Flow, ICC/IF, IHC

Publications for HNF-4 alpha/NR2A1 Antibody (NBP2-67679)(1)

We have publications tested in 1 confirmed species: Human.

We have publications tested in 1 application: FLOW.


Filter By Application
FLOW
(1)
All Applications
Filter By Species
Human
(1)
All Species

Reviews for HNF-4 alpha/NR2A1 Antibody (NBP2-67679) (0)

There are no reviews for HNF-4 alpha/NR2A1 Antibody (NBP2-67679). By submitting a review you will receive an Amazon e-Gift Card or Novus Product Discount.
  • Review with no image -- $10/€7/£6/$10 CAD/¥70 Yuan/¥1110 Yen
  • Review with an image -- $25/€18/£15/$25 CAD/¥150 Yuan/¥2500 Yen

Product General Protocols

Find general support by application which include: protocols, troubleshooting, illustrated assays, videos and webinars.

Video Protocols

WB Video Protocol
ICC/IF Video Protocol

FAQs for HNF-4 alpha/NR2A1 Antibody (NBP2-67679) (0)

There are no specific FAQs related to this product. Read our general customer & technical service FAQs.

Contact Information

Product PDFs

Calculators

Concentration Calculator

The concentration calculator allows you to quickly calculate the volume, mass or concentration of your vial. Simply enter your mass, volume, or concentration values for your reagent and the calculator will determine the rest.

=
÷

Review this Product

Be the first to review our HNF-4 alpha/NR2A1 Antibody (SN72-03) and receive a gift card or discount.

Bioinformatics

Gene Symbol HNF4A