HLA DQA1 Antibody (JU17-34)

Images

 
Western Blot: HLA DQA1 Antibody (JU17-34) [NBP2-75525] - Analysis of HLA-DQA1 on different lysates using anti-HLA-DQA1 antibody at 1/1,000 dilution.Positive control:Lane 1: Rat lung Lane 2: Rat skin Lane 3: ...read more
Immunohistochemistry-Paraffin: HLA DQA1 Antibody (JU17-34) [NBP2-75525] - Analysis of paraffin-embedded rat lung tissue using anti-HLA-DQA1 antibody. Counter stained with hematoxylin.
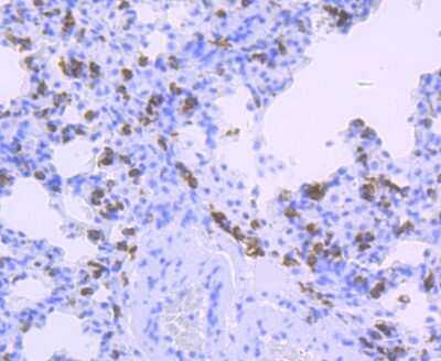
Immunohistochemistry-Paraffin: HLA DQA1 Antibody (JU17-34) [NBP2-75525] - Analysis of paraffin-embedded human tonsil tissue using anti-HLA-DQA1 antibody. Counter stained with hematoxylin.
Immunohistochemistry-Paraffin: HLA DQA1 Antibody (JU17-34) [NBP2-75525] - Analysis of paraffin-embedded mouse colon tissue using anti-HLA-DQA1 antibody. Counter stained with hematoxylin.

Product Details

Summary
Product Discontinued
View other related HLA DQA1 Primary Antibodies

Order Details


    • Catalog Number
      NBP2-75525
    • Availability
      Product Discontinued

    Can't find what you are looking for? Use our Antibody Concierge Service & we will help you locate your antibody!

    Or feel free to contact us for alternative products.

HLA DQA1 Antibody (JU17-34) Summary

Additional Information
Recombinant Monoclonal Antibody.
Immunogen
Synthetic peptide within Human HLA DQA1 aa 205-254 / 254. (SwissProt: P01909 Human)
Localization
Cell membrane. Endoplasmic reticulum membrane.
Isotype
IgG
Clonality
Monoclonal
Host
Rabbit
Gene
HLA-DQA1
Purity
Protein A purified
Innovator's Reward
Test in a species/application not listed above to receive a full credit towards a future purchase.

Applications/Dilutions

Dilutions
  • Immunohistochemistry
  • Immunohistochemistry-Paraffin 1:50-1:200
  • Immunoprecipitation 1:10-1:50
  • Western Blot 1:1000-1:5000
Theoretical MW
28 kDa.
Disclaimer note: The observed molecular weight of the protein may vary from the listed predicted molecular weight due to post translational modifications, post translation cleavages, relative charges, and other experimental factors.

Packaging, Storage & Formulations

Storage
Store at 4C short term. Aliquot and store at -20C long term. Avoid freeze-thaw cycles.
Buffer
TBS (pH7.4), 0.05% BSA, 40% Glycerol
Preservative
0.05% Sodium Azide
Concentration
1 mg/ml
Purity
Protein A purified

Alternate Names for HLA DQA1 Antibody (JU17-34)

  • CD
  • CELIAC1DQ alpha 1 chain
  • DC-1 alpha chain
  • DQ-A1
  • FLJ27088
  • FLJ27328
  • GSE
  • HLA class II histocompatibility antigen, DQ(W3) alpha chain
  • HLA-DCA
  • HLA-DQA
  • leucocyte antigen DQA1
  • leukocyte antigen alpha chain
  • major histocompatibility complex, class II, DQ alpha 1
  • MGC149527
  • MHC class II antigen
  • MHC class II DQA1
  • MHC class II HLA-D alpha glycoprotein
  • MHC class II HLA-DQ-alpha-1
  • MHC class II surface glycoprotein
  • MHC HLA-DQ alpha

Background

HLA-DQA1 belongs to the HLA class II alpha chain paralogues. The class II molecule is a heterodimer consisting of an alpha (DQA) and a beta chain (DQB), both anchored in the membrane. It plays a central role in the immune system by presenting peptides derived from extracellular proteins. Class II molecules are expressed in antigen presenting cells (APC: B Lymphocytes, dendritic cells, macrophages). The alpha chain is approximately 33-35 kDa. It is encoded by 5 exons; exon 1 encodes the leader peptide, exons 2 and 3 encode the two extracellular domains, and exon 4 encodes the transmembrane domain and the cytoplasmic tail. Within the DQ molecule both the alpha chain and the beta chain contain the polymorphisms specifying the peptide binding specificities, resulting in up to four different molecules. Typing for these polymorphisms is routinely done for bone marrow transplantation. [provided by RefSeq]

Limitations

This product is for research use only and is not approved for use in humans or in clinical diagnosis. Primary Antibodies are guaranteed for 1 year from date of receipt.

Customers Who Viewed This Item Also Viewed...

AF1106
Species: Hu
Applications: IP, WB
H00003347-M01
Species: Hu
Applications: ELISA, ICC/IF, S-ELISA, WB
MAB140
Species: Hu
Applications: CyTOF-ready, Dual ISH-IHC, ELISA(Cap), ELISA(Det), ELISA(Sta), Flow, IHC, Neut
7268-CT
Species: Hu
Applications: BA
202-IL
Species: Hu
Applications: BA
NBP2-25208
Species: Hu, Mu, Rt
Applications: Flow, ICC/IF, IHC, IHC-Fr,  IHC-P, KO, Simple Western, WB
NBP1-19371
Species: Ca, Hu, Mu, Po, Rb, Rt
Applications: Dual ISH-IHC, Flow, ICC/IF, IHC, IHC-Fr,  IHC-P, Simple Western, WB
AF4117
Species: Rt
Applications: IHC, WB
NB600-1441
Species: Ca, Hu, Mu, Po
Applications: Flow, ICC/IF, IHC, IHC-Fr,  IHC-P, KD
NBP1-49045
Species: Mu, Rt
Applications: Cell Depl, CyTOF-ready, Flow, ICC/IF, IHC, IHC-Fr,  IHC-P, IP, InhibTFunc
M6000B
Species: Mu
Applications: ELISA
AF2009
Species: Hu
Applications: ICC, IHC
6507-IL/CF
Species: Hu
Applications: BA
NBP2-67605
Species: Hu, Pm, Mu
Applications: ICC/IF, IHC,  IHC-P, IP, ISH, WB
MAB342
Species: Hu
Applications: AgAct, ICC, WB
AF114
Species: Mu
Applications: CyTOF-ready, Flow, ICC, IHC, WB
NBP1-88220
Species: Hu, Mu, Rt
Applications: ICC/IF, IHC,  IHC-P, KD, WB
MAB2772
Species: Hu, Pm
Applications: Block, CyTOF-ready, ELISA(Cap), ELISA(Det), ELISA(Sta), Flow, ICC
NBP1-83790
Species: Hu
Applications: IHC,  IHC-P, WB

Publications for HLA DQA1 Antibody (NBP2-75525) (0)

There are no publications for HLA DQA1 Antibody (NBP2-75525).
By submitting your publication information earn gift cards and discounts for future purchases.

Reviews for HLA DQA1 Antibody (NBP2-75525) (0)

There are no reviews for HLA DQA1 Antibody (NBP2-75525). By submitting a review you will receive an Amazon e-Gift Card or Novus Product Discount.
  • Review with no image -- $10/€7/£6/$10 CAD/¥70 Yuan/¥1110 Yen
  • Review with an image -- $25/€18/£15/$25 CAD/¥150 Yuan/¥2500 Yen

Product General Protocols

Find general support by application which include: protocols, troubleshooting, illustrated assays, videos and webinars.

Video Protocols

WB Video Protocol

FAQs for HLA DQA1 Antibody (NBP2-75525) (0)

There are no specific FAQs related to this product. Read our general customer & technical service FAQs.

Secondary Antibodies

 

Isotype Controls

Additional HLA DQA1 Products

Research Areas for HLA DQA1 Antibody (NBP2-75525)

Find related products by research area.

Blogs on HLA DQA1

There are no specific blogs for HLA DQA1, but you can read our latest blog posts.

Contact Information

Product PDFs

Calculators

Concentration Calculator

The concentration calculator allows you to quickly calculate the volume, mass or concentration of your vial. Simply enter your mass, volume, or concentration values for your reagent and the calculator will determine the rest.

=
÷

Review this Product

Be the first to review our HLA DQA1 Antibody (JU17-34) and receive a gift card or discount.

Bioinformatics

Gene Symbol HLA-DQA1