HLA A Antibody (SPM418) - IHC-Prediluted

Images

 
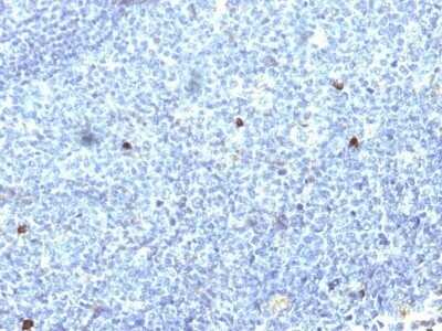
Immunohistochemistry-Paraffin: HLA A Antibody (SPM418) - IHC-Prediluted [NBP2-48097] - Human Tonsil stained with MHC I Monoclonal Antibody (SPM418).

Product Details

Summary
Product Discontinued
View other related HLA A Primary Antibodies

Order Details


    • Catalog Number
      NBP2-48097
    • Availability
      Product Discontinued

    Can't find what you are looking for? Use our Antibody Concierge Service & we will help you locate your antibody!

    Or feel free to contact us for alternative products.

HLA A Antibody (SPM418) - IHC-Prediluted Summary

Immunogen
Normal human peripheral blood lymphocytes of phenotype A1, Aw32, B7, B37, Cw-, Cw-, DR2, DRw10
Localization
Cell Surface
Specificity
This MAb reacts with cells bearing HLA-A25 or HLA-Aw32 antigens. In addition, a reaction was observed with a cell of phenotype A2, Aw31; B17, Bw49. HLA-A, with HLA-B and HLA-C, belongs to major histocompatibility complex (MHC) class I antigens and expresses constitutively on all nucleated cells. HLA system comprises closely linked genes controlling highly polymorphic proteins involved in the presentation of peptides to the T-cell receptor, inhibition of NK cell cytotoxicity, and rejection of tissue allotransplantation. Specific alleles at HLA loci are associated with diseases. This MAb is specifically applicable for typing peripheral T cells for the antigens HLA-A25 and HLA-Aw32.
Isotype
IgG2a Kappa
Clonality
Monoclonal
Host
Mouse
Gene
HLA-A
Purity
Protein A or G purified
Innovator's Reward
Test in a species/application not listed above to receive a full credit towards a future purchase.

Applications/Dilutions

Dilutions
  • Immunohistochemistry
  • Immunohistochemistry-Paraffin
Application Notes
Hu-chromosome location: 6q21.3 Immunohistochemistry-Paraffin 0.5 - 1 ug/ml for 30 minutes at RT; Staining of formalin-fixed tissues requires boiling tissue sections in 10mM Citrate Buffer, pH 6.0, for 10 - 20 min followed by cooling at RT for 20 minutes. The 7mL size is a pre-diluted size and no additional dilutions are required before using this item for the intended application.

Packaging, Storage & Formulations

Storage
Store at 4C.
Buffer
10 mM PBS with 0.05% BSA
Preservative
0.05% Sodium Azide
Purity
Protein A or G purified

Notes

The prediluted antibody does not require any mixing, dilution, reconstitution, or titration; the antibody is ready-to-use and optimized for staining.

Alternate Names for HLA A Antibody (SPM418) - IHC-Prediluted

  • A-10 alpha chain
  • FLJ26655
  • HLA class I histocompatibility antigen, A-1 alpha chain
  • HLA class I histocompatibility antigen, A-28 alpha chain
  • HLA class I histocompatibility antigen, A-9 alpha chain
  • HLAA
  • major histocompatibility complex, class I, A
  • MHC class I antigen A*1
  • MHC class I antigen A*11
  • MHC class I antigen A*80

Background

HLA-A belongs to the HLA class I heavy chain paralogues. This class I molecule is a heterodimer consisting of a heavy chain and a light chain (beta-2 microglobulin). The heavy chain is anchored in the membrane. Class I molecules play a central role in the immune system by presenting peptides derived from the endoplasmic reticulum lumen. They are expressed in nearly all cells. The heavy chain is approximately 45 kDa and its gene contains 8 exons. Exon 1 encodes the leader peptide, exons 2 and 3 encode the alpha1 and alpha2 domains, which both bind the peptide, exon 4 encodes the alpha3 domain, exon 5 encodes the transmembrane region, and exons 6 and 7 encode the cytoplasmic tail. Polymorphisms within exon 2 and exon 3 are responsible for the peptide binding specificity of each class one molecule. Typing for these polymorphisms is routinely done for bone marrow and kidney transplantation. Hundreds of HLA-A alleles have been described. [provided by RefSeq]

Limitations

This product is for research use only and is not approved for use in humans or in clinical diagnosis. Primary Antibodies are guaranteed for 1 year from date of receipt.

Customers Who Viewed This Item Also Viewed...

NBP2-61871
Species: Hu
Applications: ELISA, Flow, ICC/IF, IHC,  IHC-P, WB
NBP2-50419
Species: Hu
Applications: CyTOF-ready, Flow, IP
H00003126-P01
Species: Hu
Applications: ELISA, AP, PA, WB
NB120-6405
Species: Rt
Applications: B/N, CyTOF-ready, EM, ELISA, Flow-IC, Flow, ICC/IF, IHC, IHC-Fr,  IHC-P, IP
NBP2-45316
Species: Hu, Pm
Applications: Flow, ICC/IF, IHC,  IHC-P, WB
NBP1-49045
Species: Mu
Applications: Cell Depl, CyTOF-ready, Flow, ICC/IF, IHC, IHC-Fr,  IHC-P, IP, InhibTFunc
NBP3-07168
Species: Pm, Ca, Pm, Hu, Pm, Sq
Applications: Flow, ICC/IF
NBP3-17255
Species: Hu
Applications: ICC/IF, WB
NBP2-67150
Species: Hu, Mu, Rt
Applications: IHC, IHC-Fr,  IHC-P, IP, WB
NBP1-59069
Species: Hu
Applications: ICC/IF, IHC,  IHC-P, WB
NBP3-46107
Species: Hu, Mu, Rt
Applications: ELISA, IHC, WB
NBP3-35275
Species: Hu, Mu, Rt
Applications: ELISA, ICC/IF, IHC,  IHC-P, WB
485-MI
Species: Mu
Applications: BA
202-IL
Species: Hu
Applications: BA
NB500-302
Species: Hu
Applications: ICC/IF, IHC, IHC-Fr,  IHC-P, WB
AF347
Species: Hu
Applications: IHC, Neut, WB
NBP1-89985
Species: Hu
Applications: ICC/IF, IHC,  IHC-P, Simple Western
NBP2-34234
Species: Hu
Applications: ELISA, ICC/IF, IHC,  IHC-P
NBP1-89342
Species: Hu
Applications: ICC/IF, IHC,  IHC-P, WB

Publications for HLA A Antibody (NBP2-48097) (0)

There are no publications for HLA A Antibody (NBP2-48097).
By submitting your publication information earn gift cards and discounts for future purchases.

Reviews for HLA A Antibody (NBP2-48097) (0)

There are no reviews for HLA A Antibody (NBP2-48097). By submitting a review you will receive an Amazon e-Gift Card or Novus Product Discount.
  • Review with no image -- $10/€7/£6/$10 CAD/¥70 Yuan/¥1110 Yen
  • Review with an image -- $25/€18/£15/$25 CAD/¥150 Yuan/¥2500 Yen

Product General Protocols

Find general support by application which include: protocols, troubleshooting, illustrated assays, videos and webinars.

FAQs for HLA A Antibody (NBP2-48097) (0)

There are no specific FAQs related to this product. Read our general customer & technical service FAQs.

Secondary Antibodies

 

Isotype Controls

Additional HLA A Products

Research Areas for HLA A Antibody (NBP2-48097)

Find related products by research area.

Blogs on HLA A

There are no specific blogs for HLA A, but you can read our latest blog posts.

Contact Information

Product PDFs

Calculators

Concentration Calculator

The concentration calculator allows you to quickly calculate the volume, mass or concentration of your vial. Simply enter your mass, volume, or concentration values for your reagent and the calculator will determine the rest.

=
÷

Review this Product

Be the first to review our HLA A Antibody (SPM418) - IHC-Prediluted and receive a gift card or discount.

Bioinformatics

Gene Symbol HLA-A