HLA DPB1 Antibody - BSA Free

Images

 
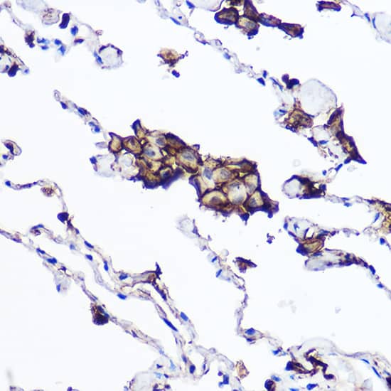
Immunohistochemistry: HLA DPB1 Antibody [NBP3-35275] - Immunohistochemistry analysis of paraffin-embedded Human liver cancer using HLA-DPB1 Rabbit pAb (A17495) at dilution of 1:100 (40x lens). High pressure antigen ...read more
Immunocytochemistry/ Immunofluorescence: HLA DPB1 Antibody [NBP3-35275] - Immunofluorescence analysis of C6 cells using HLA-DPB1 Rabbit pAb (A17495) at dilution of 1:100. Secondary antibody: Cy3-conjugated Goat ...read more
Immunohistochemistry: HLA DPB1 Antibody [NBP3-35275] - Immunohistochemistry analysis of paraffin-embedded Mouse spleen using HLA DPB1 Rabbit pAb at dilution of 1:100 (40x lens). High pressure antigen retrieval performed ...read more
Immunocytochemistry/ Immunofluorescence: HLA DPB1 Antibody [NBP3-35275] - Immunofluorescence analysis of HeLa cells using HLA-DPB1 Rabbit pAb (A17495) at dilution of 1:100. Secondary antibody: Cy3-conjugated Goat ...read more
Immunocytochemistry/ Immunofluorescence: HLA DPB1 Antibody [NBP3-35275] - Immunofluorescence analysis of NIH/3T3 cells using HLA-DPB1 Rabbit pAb (A17495) at dilution of 1:100. Secondary antibody: Cy3-conjugated Goat ...read more
Immunohistochemistry: HLA DPB1 Antibody [NBP3-35275] - Immunohistochemistry analysis of paraffin-embedded Human liver cancer using HLA DPB1 Rabbit pAb at dilution of 1:100 (40x lens). High pressure antigen retrieval ...read more
Western Blot: HLA DPB1 Antibody [NBP3-35275] - Western blot analysis of various lysates using HLA DPB1 Rabbit pAb at 1:1000 dilution.Secondary antibody: HRP-conjugated Goat anti-Rabbit IgG (H+L) at 1:10000 ...read more
Immunohistochemistry: HLA DPB1 Antibody [NBP3-35275] - Immunohistochemistry analysis of paraffin-embedded Human lung tissue using HLA DPB1 Rabbit pAb at a dilution of 1:100 (40x lens). High pressure antigen retrieval ...read more
Immunohistochemistry: HLA DPB1 Antibody [NBP3-35275] - Immunohistochemistry analysis of paraffin-embedded Mouse spleen tissue using HLA DPB1 Rabbit pAb at a dilution of 1:100 (40x lens). High pressure antigen retrieval ...read more
Immunocytochemistry/ Immunofluorescence: HLA DPB1 Antibody [NBP3-35275] - Immunofluorescence analysis of Raji cells using HLA DPB1 Rabbit pAb at dilution of 1:100 (40x lens). Secondary antibody: Cy3-conjugated Goat ...read more
Western Blot: HLA DPB1 Antibody [NBP3-35275] - Western Blot analysis of various lysates using HLA DPB1 Rabbit pAb at 1:1000 dilution. Secondary antibody: HRP-conjugated Goat anti-Rabbit IgG (H+L) at 1:10000 dilution. ...read more

Product Details

Summary
Reactivity Hu, Mu, RtSpecies Glossary
Applications WB, ELISA, ICC/IF, IHC
Clonality
Polyclonal
Host
Rabbit
Conjugate
Unconjugated
Format
BSA Free

Order Details

View Available Formulations
Catalog# & Formulation Size Price

HLA DPB1 Antibody - BSA Free Summary

Description
Novus Biologicals Rabbit HLA DPB1 Antibody - BSA Free (NBP3-35275) is a polyclonal antibody validated for use in IHC, WB, ELISA and ICC/IF. All Novus Biologicals antibodies are covered by our 100% guarantee.
Immunogen
A synthetic peptide corresponding to a sequence within amino acids 40-100 of human HLA DPB1 (NP_002112.3).

Sequence:
GRQECYAFNGTQRFLERYIYNREEFARFDSDVGEFRAVTELGRPAAEYWNSQKDILEEKRA
Isotype
IgG
Clonality
Polyclonal
Host
Rabbit
Gene
HLA-DPB1
Purity
Affinity purified
Innovator's Reward
Test in a species/application not listed above to receive a full credit towards a future purchase.

Applications/Dilutions

Dilutions
  • ELISA
  • Immunocytochemistry/ Immunofluorescence 1:50 - 1:200
  • Immunohistochemistry
  • Immunohistochemistry-Paraffin 1:50 - 1:200
  • Western Blot 1:500 - 1:1000
Theoretical MW
29 kDa.
Disclaimer note: The observed molecular weight of the protein may vary from the listed predicted molecular weight due to post translational modifications, post translation cleavages, relative charges, and other experimental factors.

Packaging, Storage & Formulations

Storage
Store at -20C. Avoid freeze-thaw cycles.
Buffer
PBS (pH 7.3), 50% glycerol
Preservative
0.02% Sodium Azide
Purity
Affinity purified

Alternate Names for HLA DPB1 Antibody - BSA Free

  • DP beta 1 chain
  • DPB1
  • HLA class II histocompatibility antigen, DP(W4) beta chain
  • HLA DP14-beta chain
  • HLA-DP histocompatibility type, beta-1 subunit
  • HLA-DP1B
  • HLA-DPB
  • major histocompatibility complex class II HLA DPB1 protein
  • major histocompatibility complex, class II, DP beta 1
  • MHC class II antigen beta chain
  • MHC class II antigen DP beta 1 chain
  • MHC class II antigen DPB1
  • MHC class II antigen DPbeta1
  • MHC class II HLA-DP-beta
  • MHC HLA DPB1

Background

HLA-DPB belongs to the HLA class II beta chain paralogues. This class II molecule is a heterodimer consisting of an alpha (DPA) and a beta chain (DPB), both anchored in the membrane. It plays a central role in the immune system by presenting peptides derived from extracellular proteins. Class II molecules are expressed in antigen presenting cells (APC: B lymphocytes, dendritic cells, macrophages). The beta chain is approximately 26-28 kDa and its gene contains 6 exons. Exon one encodes the leader peptide, exons 2 and 3 encode the two extracellular domains, exon 4 encodes the transmembrane domain and exon 5 encodes the cytoplasmic tail. Within the DP molecule both the alpha chain and the beta chain contain the polymorphisms specifying the peptide binding specificities, resulting in up to 4 different molecules.

Limitations

This product is for research use only and is not approved for use in humans or in clinical diagnosis. Primary Antibodies are guaranteed for 1 year from date of receipt.

Customers Who Viewed This Item Also Viewed...

H00005729-B01P
Species: Hu
Applications: Flow, ICC/IF, WB
NBP2-48836
Species: Ca, Hu
Applications: ICC/IF, IHC,  IHC-P
NBP2-45316
Species: Hu, Pm
Applications: Flow, ICC/IF, IHC,  IHC-P, WB
H00003126-P01
Species: Hu
Applications: ELISA, AP, PA, WB
NB100-64775
Species: Hu
Applications: CyTOF-ready, ELISA, Flow, Func, IHC, IHC-Fr, IHC-P (-), IP
NBP3-46107
Species: Hu, Mu, Rt
Applications: ELISA, IHC, WB
NBP2-61871
Species: Hu
Applications: ELISA, Flow, ICC/IF, IHC,  IHC-P, WB
NBP3-07168
Species: Pm, Ca, Pm, Hu, Pm, Sq
Applications: Flow, ICC/IF
NB120-6405
Species: Rt
Applications: B/N, CyTOF-ready, EM, ELISA, Flow-IC, Flow, ICC/IF, IHC, IHC-Fr,  IHC-P, IP
485-MI
Species: Mu
Applications: BA
NBP2-79843
Species: Hu
Applications: CyTOF-ready, ELISA, Flow, ICC/IF, IHC,  IHC-P, PA, WB
NBP1-19371
Species: Ca, Hu, Mu, Po, Rb, Rt
Applications: Dual ISH-IHC, Flow, ICC/IF, IHC, IHC-Fr,  IHC-P, Simple Western, WB
NBP3-16006
Species: Hu
Applications: ELISA, IHC,  IHC-P, WB
202-IL
Species: Hu
Applications: BA
NBP2-16851
Species: Hu
Applications: ICC/IF, IHC,  IHC-P, WB
AF347
Species: Hu
Applications: IHC, Neut, WB
NBP3-17054
Species: Hu
Applications: IHC,  IHC-P
6507-IL/CF
Species: Hu
Applications: BA
NBP3-35275
Species: Hu, Mu, Rt
Applications: WB, ELISA, ICC/IF, IHC

Publications for HLA DPB1 Antibody (NBP3-35275) (0)

There are no publications for HLA DPB1 Antibody (NBP3-35275).
By submitting your publication information earn gift cards and discounts for future purchases.

Reviews for HLA DPB1 Antibody (NBP3-35275) (0)

There are no reviews for HLA DPB1 Antibody (NBP3-35275). By submitting a review you will receive an Amazon e-Gift Card or Novus Product Discount.
  • Review with no image -- $10/€7/£6/$10 CAD/¥70 Yuan/¥1110 Yen
  • Review with an image -- $25/€18/£15/$25 CAD/¥150 Yuan/¥2500 Yen

Product General Protocols

Find general support by application which include: protocols, troubleshooting, illustrated assays, videos and webinars.

Video Protocols

WB Video Protocol
ICC/IF Video Protocol

FAQs for HLA DPB1 Antibody (NBP3-35275) (0)

There are no specific FAQs related to this product. Read our general customer & technical service FAQs.

Customers Who Bought This Also Bought

Contact Information

Product PDFs

Calculators

Concentration Calculator

The concentration calculator allows you to quickly calculate the volume, mass or concentration of your vial. Simply enter your mass, volume, or concentration values for your reagent and the calculator will determine the rest.

=
÷

Review this Product

Be the first to review our HLA DPB1 Antibody - BSA Free and receive a gift card or discount.

Bioinformatics

Gene Symbol HLA-DPB1