Growth Hormone Antibody (GH/8215R) - Azide and BSA Free

Images

 
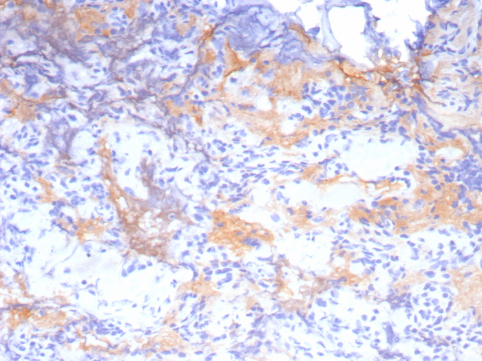
Formalin-fixed, paraffin-embedded human pituitary stained with Growth Hormone antibody (GH/8215R). HIER: Tris/EDTA, pH9.0, 45min. Secondary: HRP-polymer, 30min. DAB, 5min.
Formalin-fixed, paraffin-embedded human placenta stained with Growth Hormone antibody (GH/8215R). Inset: PBS instead of primary antibody; secondary only negative control.

Product Details

Summary
Reactivity HuSpecies Glossary
Applications IHC
Clone
GH/8215R
Clonality
Monoclonal
Host
Rabbit
Conjugate
Unconjugated
Format
Azide and BSA Free
Concentration
1 mg/ml

Order Details

Growth Hormone Antibody (GH/8215R) - Azide and BSA Free Summary

Description
Positive Controls: Pituitary cells. Human pituitary tissue (IHC).

Antibody with azide - store at 2 to 8C. Antibody without azide - store at -20 to -80C. Non-hazardous. No MSDS required.
Additional Information
Recombinant Monoclonal Antibody
Immunogen
Recombinant full-length human Growth Hormone protein
Localization
Cytoplasm.
Specificity
Anti-GH is a useful marker in classification of pituitary tumors and the study of pituitary disease (acromegaly)
Isotype
IgG Kappa
Clonality
Monoclonal
Host
Rabbit
Gene
GH1
Purity
Protein A or G purified
Innovator's Reward
Test in a species/application not listed above to receive a full credit towards a future purchase.

Applications/Dilutions

Dilutions
  • Immunohistochemistry-Paraffin 1-2 ug/ml
Application Notes
Immunohistochemistry (Formalin-fixed): 1-2ug/ml for 30 minutes. at RT. Staining of formalin-fixed tissues requires heating tissue sections in 10mM Tris with 1mM EDTA, pH 9.0, for 45 min at 95C followed by cooling at RT for 20 minutes.

Optimal dilution for a specific application should be determined.

Packaging, Storage & Formulations

Storage
Store at -20 to -70C. Avoid freeze-thaw cycles.
Buffer
10mM PBS
Preservative
No Preservative
Concentration
1 mg/ml
Purity
Protein A or G purified

Alternate Names for Growth Hormone Antibody (GH/8215R) - Azide and BSA Free

  • GH1
  • GHB5
  • GHIGHD1B
  • GHN
  • GH-N
  • GHNGrowth hormone
  • GH-Nsomatotropin
  • growth hormone 1Pituitary growth hormone
  • Growth Hormone
  • hGH-N
  • IGHD1A
  • IGHD2
  • Somatotropin

Background

Human growth hormone (hGH) plays an important role in growth control. Its major role in stimulating body growth is to stimulate the liver and other tissues to secrete IGF-1. The effects of hGH in the body can be generally described as anabolic. It stimulates amino acid uptake and protein synthesis in muscle and other tissues. Growth Hormone (GH1) is synthesized by acidophilic or somatotropic cells of the anterior pituitary gland. Genes for growth hormone (GH) are found in a gene cluster on 17q, which consists of two growth hormone genes and three CSH genes. The GHN1 gene is transcribed exclusively in the pituitary, whereas the other 4 genes are expressed only in placental tissues. Several isoforms of GH1 exist. Human growth hormone (hGH) is also used as a reporter protein, because it is secreted from mammalian cells it can be assayed by ELISA on culture supernatant using antibodies to determine the level of expression.

Limitations

This product is for research use only and is not approved for use in humans or in clinical diagnosis. Primary Antibodies are guaranteed for 1 year from date of receipt.

Customers Who Viewed This Item Also Viewed...

AF1067
Species: Hu, Mu, Rt
Applications: ELISA, IHC, Neut, WB
291-G1
Species: Hu
Applications: BA
AF1445
Species: Mu, Rt
Applications: ELISA(Cap), ELISA(Det), ELISA(Sta), IHC, Neut, Simple Western, WB
NBP3-04850
Species: Hu, Mu, Rt
Applications: ICC/IF, WB
MAB1417
Species: Bv, Hu, Mu
Applications: ICC, IHC
H00005087-M01
Species: Hu, Pm, Mu
Applications: ChIP, ELISA, ICC/IF, IHC,  IHC-P, IP, S-ELISA, WB
NBP2-37447
Species: Hu
Applications: CyTOF-ready, ELISA, Flow, ICC/IF, IHC,  IHC-P
NB100-1533
Species: Hu, Mu, Po, Rt, Sh
Applications: Flow, ICC/IF, IHC,  IHC-P, PEP-ELISA, WB
NBP2-34014
Species: Hu
Applications: IHC,  IHC-P
DGB300
Species: Hu
Applications: ELISA
NBP2-38770
Species: Hu, Mu
Applications:  IHC-P, WB
NBP1-30475
Species: Hu, Mu
Applications: IHC,  IHC-P, IP, WB
AF1360
Species: Mu
Applications: IHC, WB
292-G2
Species: Hu
Applications: BA
MAB8200
Species: Hu, Mu
Applications: IHC
MAB1249
Species: Hu, Mu
Applications: CyTOF-ready, ICC, ICFlow
DY871
Species: Hu
Applications: ELISA
NBP2-92630
Species: Hu, Mu, Rt
Applications: ELISA, ICC/IF, IHC,  IHC-P, WB
NBP1-92273
Species: Hu, Mu
Applications: IHC,  IHC-P
NBP3-20868
Species: Hu
Applications: IHC

Publications for Growth Hormone Antibody (NBP3-20868) (0)

There are no publications for Growth Hormone Antibody (NBP3-20868).
By submitting your publication information earn gift cards and discounts for future purchases.

Reviews for Growth Hormone Antibody (NBP3-20868) (0)

There are no reviews for Growth Hormone Antibody (NBP3-20868). By submitting a review you will receive an Amazon e-Gift Card or Novus Product Discount.
  • Review with no image -- $10/€7/£6/$10 CAD/¥70 Yuan/¥1110 Yen
  • Review with an image -- $25/€18/£15/$25 CAD/¥150 Yuan/¥2500 Yen

Product General Protocols

Find general support by application which include: protocols, troubleshooting, illustrated assays, videos and webinars.

FAQs for Growth Hormone Antibody (NBP3-20868) (0)

There are no specific FAQs related to this product. Read our general customer & technical service FAQs.

Secondary Antibodies

 

Isotype Controls

Additional Growth Hormone Products

Research Areas for Growth Hormone Antibody (NBP3-20868)

Find related products by research area.

Blogs on Growth Hormone.

Growth hormone (GH, somatotropin, hGH, pituitary growth hormone)
GH is a member of the large family of growth factors that includes prolactin, placental lactogens, proliferins, and somatolactin. Additionally, GH is a 191-amino acid, single-chain polypeptide that is synthesized, stored, and secreted by somatotropic ...  Read full blog post.

Somatostatin Receptor 2: Treating Patients Who Cannot Stop Growing
Acromegaly is a rare life-shortening disease caused by elevated levels of growth hormone (GH) secreted by a tumor on the pituitary gland. Treatments include somatostatin analogs, which activate somatostatin receptor 2 (SSTR2), reducing GH secretion an...  Read full blog post.

Customers Who Bought This Also Bought

Contact Information

Product PDFs

Calculators

Concentration Calculator

The concentration calculator allows you to quickly calculate the volume, mass or concentration of your vial. Simply enter your mass, volume, or concentration values for your reagent and the calculator will determine the rest.

=
÷

Review this Product

Be the first to review our Growth Hormone Antibody (GH/8215R) - Azide and BSA Free and receive a gift card or discount.

Bioinformatics

Gene Symbol GH1