GRHPR Antibody - BSA Free

Images

 
Immunocytochemistry/ Immunofluorescence: GRHPR Antibody [NBP1-83359] - Staining of human cell line U-2 OS shows localization to cytosol. Antibody staining is shown in green.
Staining of human kidney shows weak granular cytoplasmic positivity in cells in tubules.
Staining of human testis shows moderate cytoplasmic positivity in Leydig cells.
Analysis in human cell line A-549.
Staining of human liver shows moderate granular cytoplasmic positivity in hepatocytes.
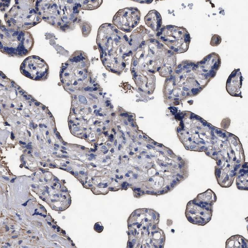
Staining of human placenta shows very weak positivity in trophoblastic cells.

Product Details

Summary
Reactivity HuSpecies Glossary
Applications WB, ICC/IF, IHC
Clonality
Polyclonal
Host
Rabbit
Conjugate
Unconjugated
Format
BSA Free

Order Details

View Available Formulations
Catalog# & Formulation Size Price

GRHPR Antibody - BSA Free Summary

Description
Novus Biologicals Rabbit GRHPR Antibody - BSA Free (NBP1-83359) is a polyclonal antibody validated for use in IHC, WB and ICC/IF. All Novus Biologicals antibodies are covered by our 100% guarantee.
Immunogen
This antibody was developed against Recombinant Protein corresponding to amino acids: GDVVNQDDLYQALASGKIAAAGLDVTSPEPLPTNHPLLTLKNCVILPHIGSATHRTRNTMSLLAANNLLAGLRGEPMPSELKL
Isotype
IgG
Clonality
Polyclonal
Host
Rabbit
Gene
GRHPR
Purity
Affinity purified
Innovator's Reward
Test in a species/application not listed above to receive a full credit towards a future purchase.

Applications/Dilutions

Dilutions
  • Immunocytochemistry/ Immunofluorescence 0.25-2 ug/ml
  • Immunohistochemistry 1:1000 - 1:2500
  • Immunohistochemistry-Paraffin 1:1000 - 1:2500
  • Western Blot 0.04-0.4 ug/ml
Application Notes
For IHC-Paraffin, HIER pH 6 retrieval is recommended. ICC/IF Fixation Permeabilization: Use PFA/Triton X-100.
Control Peptide
GRHPR Protein (NBP1-83359PEP)

Packaging, Storage & Formulations

Storage
Store at 4C short term. Aliquot and store at -20C long term. Avoid freeze-thaw cycles.
Buffer
PBS (pH 7.2) and 40% Glycerol
Preservative
0.02% Sodium Azide
Purity
Affinity purified

Alternate Names for GRHPR Antibody - BSA Free

  • EC 1.1.1.81
  • GLXREC 1.1.1.79
  • glycerate-2-dehydrogenase
  • GLYD
  • glyoxylate reductase/hydroxypyruvate reductase
  • PH2

Background

GRHPR encodes an enzyme with hydroxypyruvate reductase, glyoxylate reductase, and D-glycerate dehydrogenase enzymatic activities. The enzyme has widespread tissue expression and has a role in metabolism. Type II hyperoxaluria is caused by mutations in this gene.

Limitations

This product is for research use only and is not approved for use in humans or in clinical diagnosis. Primary Antibodies are guaranteed for 1 year from date of receipt.

Customers Who Viewed This Item Also Viewed...

NBP1-89200
Species: Hu, Mu
Applications: IHC,  IHC-P, Simple Western, WB
NBP2-37371
Species: Hu
Applications: CyTOF-ready, ELISA, Flow, WB
NBP2-48615
Species: Hu
Applications: IHC,  IHC-P, WB
NBP2-38449
Species: Hu
Applications: ICC/IF, IHC,  IHC-P
NBP1-84896
Species: Hu, Mu
Applications: ICC/IF, IHC,  IHC-P, WB
NBP1-30027
Species: Hu, Mu, Rt
Applications: ICC/IF, IHC,  IHC-P, WB
NBP2-16684
Species: Hu, Mu, Rt
Applications: EM, IHC,  IHC-P, WB
NB300-731
Species: Gp, Hu, Mu, Rb, Rt, Sh, Ye
Applications: B/N, ChIP, Flow, GS, ICC/IF, IHC,  IHC-P, IP, WB
MAB1233
Species: Hu
Applications: CyTOF-ready, Flow, ICC, IP
NB100-1343
Species: Hu
Applications: Flow, ICC/IF, IHC,  IHC-P, PEP-ELISA, WB
NB600-534
Species: Hu, Mu, Po, V-Vi
Applications: ELISA, Flow, ICC/IF, IHC, IHC-Fr,  IHC-P, In vitro, In vivo, RIA, WB
NBP1-31661
Species: Hu, Mu, Rt, Ze
Applications: ICC/IF, IHC,  IHC-P, Simple Western, WB
NBP2-21792
Species: Hu
Applications: CyTOF-ready, Flow, ICC/IF, IHC,  IHC-P, IP, WB
NBP2-62693
Species: Hu
Applications: IHC,  IHC-P
MAB7330
Species: Hu
Applications: CyTOF-ready, ICFlow
NB300-537
Species: Bv, Hu, Mu, Rb, Rt
Applications: ChIP, Flow, GS, ICC/IF, IHC,  IHC-P, IP, KD, Simple Western, WB
AF2400
Species: Hu
Applications: ChIP, ICC, IHC, WB
NBP2-20383
Species: Hu, Mu
Applications: ICC/IF, IHC,  IHC-P, WB

Publications for GRHPR Antibody (NBP1-83359) (0)

There are no publications for GRHPR Antibody (NBP1-83359).
By submitting your publication information earn gift cards and discounts for future purchases.

Reviews for GRHPR Antibody (NBP1-83359) (0)

There are no reviews for GRHPR Antibody (NBP1-83359). By submitting a review you will receive an Amazon e-Gift Card or Novus Product Discount.
  • Review with no image -- $10/€7/£6/$10 CAD/¥70 Yuan/¥1110 Yen
  • Review with an image -- $25/€18/£15/$25 CAD/¥150 Yuan/¥2500 Yen

Product General Protocols

Find general support by application which include: protocols, troubleshooting, illustrated assays, videos and webinars.

Video Protocols

WB Video Protocol
ICC/IF Video Protocol

FAQs for GRHPR Antibody (NBP1-83359) (0)

There are no specific FAQs related to this product. Read our general customer & technical service FAQs.

Customers Who Bought This Also Bought

Contact Information

Product PDFs

Calculators

Concentration Calculator

The concentration calculator allows you to quickly calculate the volume, mass or concentration of your vial. Simply enter your mass, volume, or concentration values for your reagent and the calculator will determine the rest.

=
÷

Review this Product

Be the first to review our GRHPR Antibody - BSA Free and receive a gift card or discount.

Bioinformatics

Gene Symbol GRHPR