GREB1 Antibody (CL13863) - Azide and BSA Free

Images

 
Staining in U2OS cell line with Anti-GREB1 monoclonal antibody) .
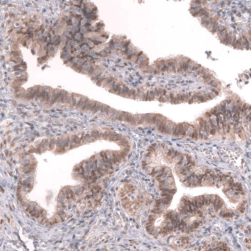
Staining of human endometrium shows moderate cytoplasmic positivity in glandular cells.
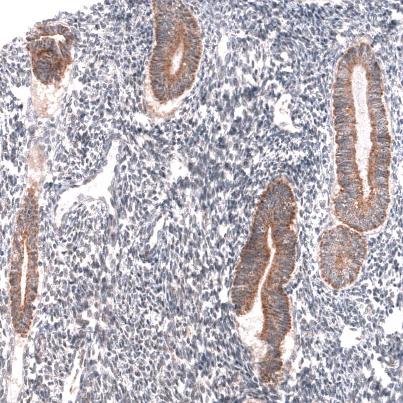
Staining of human fallopian tube shows weak to moderate cytoplasmic and nuclear positivity in glandular cells.
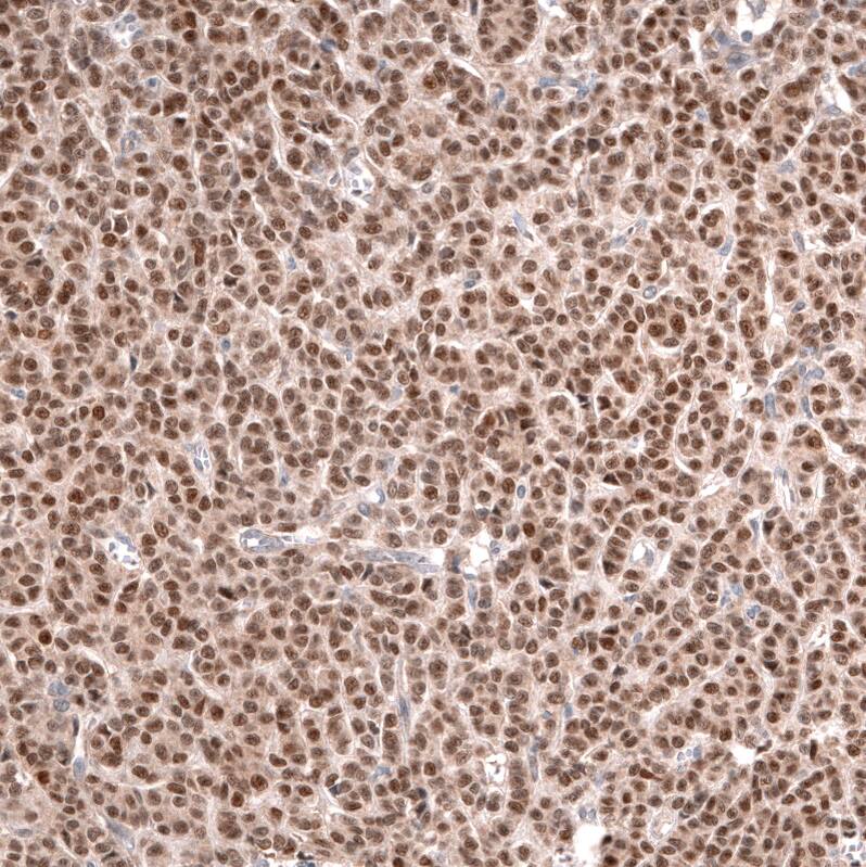
Staining of human ovarian cancer (sex cord tumor) shows strong nuclear positivity in tumor cells.
Staining of human ovarian cancer (granulosa cell tumor) shows moderate nuclear positivity in tumor cells.
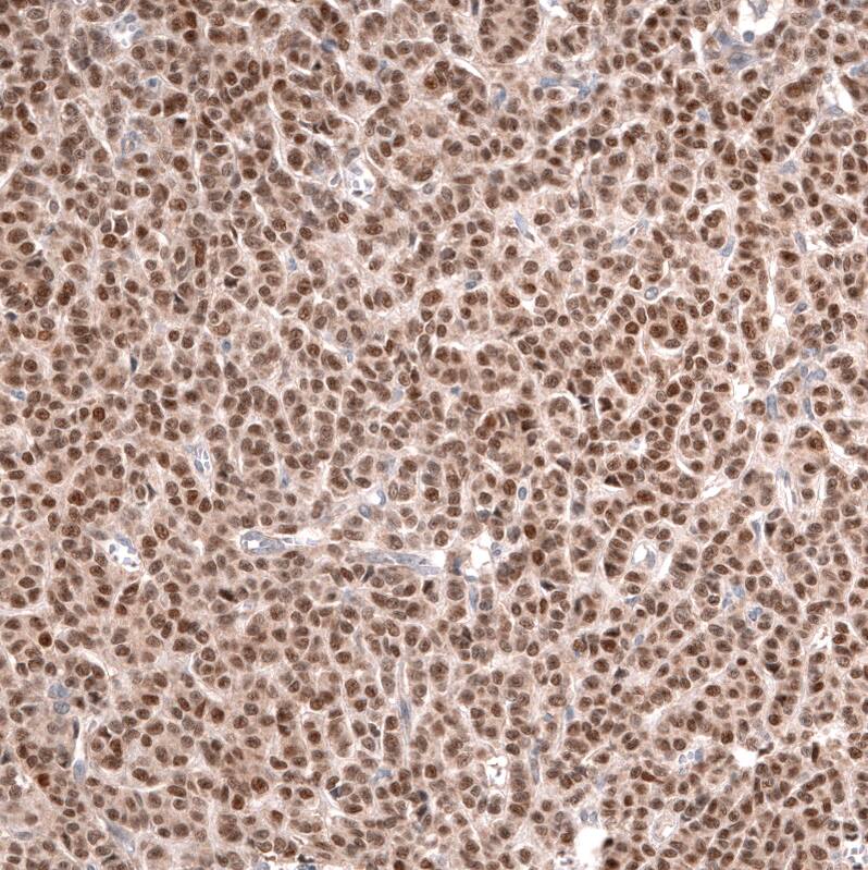
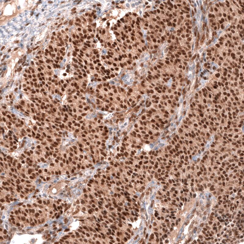
Staining of human prostate cancer shows strong nuclear positivity in tumor cells.
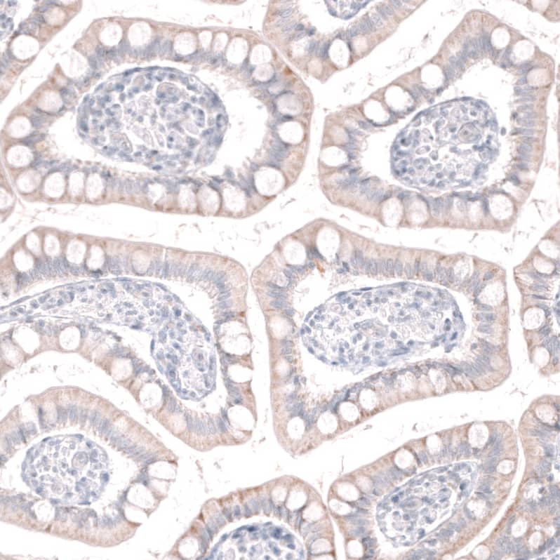
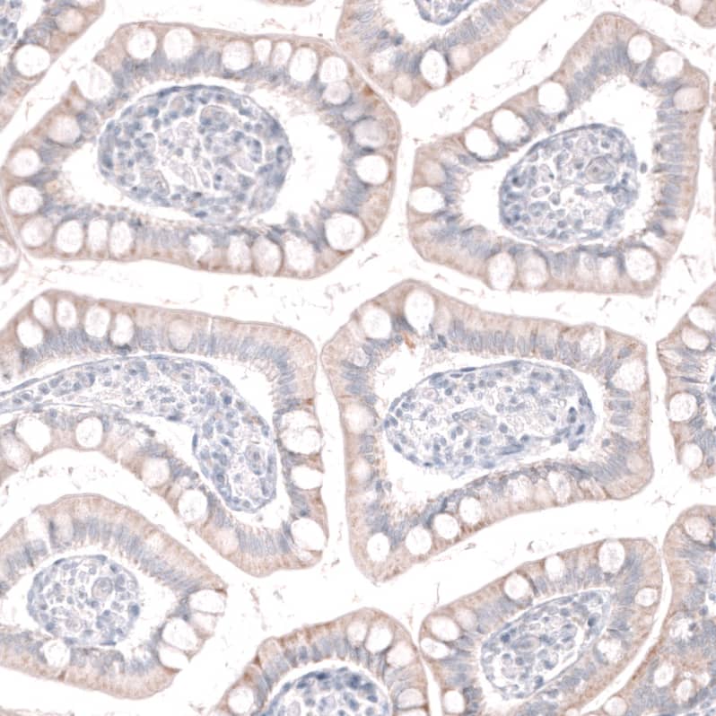
Staining of human small intestine shows no positivity in glandular cells as expected.

Product Details

Summary
Reactivity HuSpecies Glossary
Applications ICC/IF, IHC
Clone
CL13863
Clonality
Monoclonal
Host
Mouse
Conjugate
Unconjugated
Format
Azide and BSA Free
Concentration
LYOPH

Order Details

GREB1 Antibody (CL13863) - Azide and BSA Free Summary

Description
Novus Biologicals Mouse GREB1 Antibody (CL13863) - Azide and BSA Free (NBP3-24584) is a monoclonal antibody validated for use in IHC and ICC/IF. All Novus Biologicals antibodies are covered by our 100% guarantee.
Immunogen
This antibody was generated using a recombinant protein sequence of Q4ZG55, with the exact immunogen sequence remaining proprietary.
Isotype
IgG1
Clonality
Monoclonal
Host
Mouse
Gene
GREB1
Purity
Protein A purified
Innovator's Reward
Test in a species/application not listed above to receive a full credit towards a future purchase.

Applications/Dilutions

Dilutions
  • Immunocytochemistry/ Immunofluorescence 2-10 ug/ml
  • Immunohistochemistry-Paraffin 1:50 - 1:200
Application Notes
For IHC-Paraffin, we recommend using Heat-Induced Epitope Retrieval (HIER) with a pH level of 6. This optimized retrieval method ensures the best results for your experiments, For Immunocytochemistry/ Immunofluorescence/IF, we recommend using a combination of PFA and Triton X-100. This will give you the optimal results for your experiments.

Packaging, Storage & Formulations

Storage
Store at 4C short term. Aliquot and store at -20C long term. Avoid freeze-thaw cycles.
Buffer
Lyophilized from a 0.2 um filtered solution in PBS with Trehalose
Preservative
No Preservative
Concentration
LYOPH
Purity
Protein A purified
Reconstitution Instructions
Centrifuge the vial of lyophilized antibody at 12,000 x g for 20 seconds. Reconstitute by adding sterile, distilled water to achieve a final antibody concentration of 1mg/ml.

Alternate Names for GREB1 Antibody (CL13863) - Azide and BSA Free

  • gene regulated by estrogen in breast cancer protein
  • growth regulation by estrogen in breast cancer 1
  • KIAA0575Gene regulated in breast cancer 1 protein
  • protein GREB1

Background

GREB1 is an estrogen-responsive gene that is an early response gene in the estrogen receptor-regulated pathway. It is thought to play an important role in hormone-responsive tissues and cancer. Three alternatively spliced transcript variants encoding distinct isoforms have been found for this gene. [provided by RefSeq]. Transcript Variant: This variant (a) encodes the longest isoform (a).

Limitations

This product is for research use only and is not approved for use in humans or in clinical diagnosis. Primary Antibodies are guaranteed for 1 year from date of receipt.

Customers Who Viewed This Item Also Viewed...

NB300-560
Species: Av, Bv, Ma, Hu, Mu, Pm, Rt
Applications: IF, IHC, IHC-Fr,  IHC-P, WB
NBP1-90813
Species: Hu
Applications: IHC,  IHC-P, WB
NBP1-89522
Species: Hu, Mu, Rt
Applications: ICC/IF, IHC,  IHC-P, WB
NB100-74513
Species: Hu, Mu, Pm, Rt
Applications: ELISA, ICC/IF, IHC,  IHC-P, IP, WB
NBP1-90256
Species: Hu
Applications: ChIP-EXO-SEQ, ICC/IF, IHC,  IHC-P, WB
AF5415
Species: Hu
Applications: ICC, IHC, Simple Western, WB
NB100-128
Species: Hu, Mu, Rt
Applications: ChIP, GS, ICC/IF, IHC,  IHC-P, WB
NBP2-27196
Species: Bv, Ca, Ch, ChHa, Eq, Gp, Hu, Mu, Ma-Op, Po, Pm, Rb, Rt, RM, Ze
Applications: IHC,  IHC-P, KD, WB
NB100-1596
Species: Hu, Mu, Pm, Rb, Rt
Applications: ICC/IF, IHC,  IHC-P, Simple Western, WB
NBP2-32840
Species: Hu, Pm, Mu, Rt
Applications: Flow, ICC/IF, IHC,  IHC-P, WB
NB200-305
Species: Hu, Pm, Mu
Applications: ChIP, DB, Flow, ICC/IF, IHC, IHC-Fr,  IHC-P, IP, Simple Western, WB
NB600-302
Species: Bv, Dr, Hu, Mu
Applications: ChIP, ELISA, Flow-IC, Flow, IB, ICC/IF, IHC, IHC-Fr,  IHC-P, IP, PLA, S-ELISA, Simple Western, WB
NB100-124
Species: Bv, Ma, Hu, Mu, Pm, Rt, Sh
Applications: ChIP, CHIP-SEQ, GS, IB, ICC/IF, IHC,  IHC-P, IP, WB
H00003208-B01P
Species: Hu
Applications: ICC/IF, WB
NBP3-45598
Species: Hu, Mu, Rt
Applications: ELISA, ICC/IF, IHC, IP, WB
MAB2676
Species: Hu, Mu, Rt
Applications: ICC, WB
AF262
Species: Hu
Applications: ICC, IHC, Neut, WB
DKK300
Species: Hu
Applications: ELISA

Publications for GREB1 Antibody (NBP3-43840) (0)

There are no publications for GREB1 Antibody (NBP3-43840).
By submitting your publication information earn gift cards and discounts for future purchases.

Reviews for GREB1 Antibody (NBP3-43840) (0)

There are no reviews for GREB1 Antibody (NBP3-43840). By submitting a review you will receive an Amazon e-Gift Card or Novus Product Discount.
  • Review with no image -- $10/€7/£6/$10 CAD/¥70 Yuan/¥1110 Yen
  • Review with an image -- $25/€18/£15/$25 CAD/¥150 Yuan/¥2500 Yen

Product General Protocols

Find general support by application which include: protocols, troubleshooting, illustrated assays, videos and webinars.

Video Protocols

ICC/IF Video Protocol

FAQs for GREB1 Antibody (NBP3-43840) (0)

There are no specific FAQs related to this product. Read our general customer & technical service FAQs.

Customers Who Bought This Also Bought

Contact Information

Product PDFs

Calculators

Concentration Calculator

The concentration calculator allows you to quickly calculate the volume, mass or concentration of your vial. Simply enter your mass, volume, or concentration values for your reagent and the calculator will determine the rest.

=
÷

Review this Product

Be the first to review our GREB1 Antibody (CL13863) - Azide and BSA Free and receive a gift card or discount.

Bioinformatics

Gene Symbol GREB1