Glutamine Synthetase Antibody (rGLUL/8621) - Azide and BSA Free

Images

 
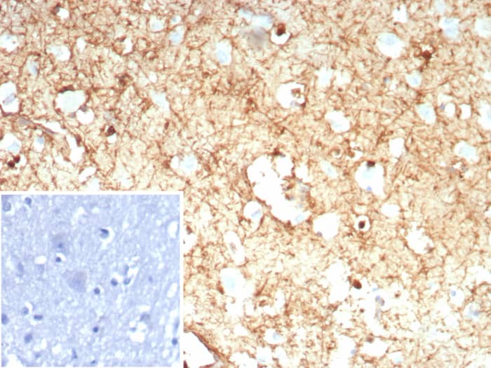
Formalin-fixed, paraffin-embedded human brain stained with Glutamine Synthetase antibody (rGLUL/8621) - Azide and BSA Free. Inset: PBS instead of primary antibody; secondary only negative control.
Western blot analysis of Human Liver, Mouse Liver, Rat Liver, Human Brain, Mouse Brain, Rat Brain and Y79 lysates using Glutamine Synthetase Antibody (rGLUL/8621) - Azide and BSA Free.
Western blot analysis of Y79 cell lysate using Glutamine Synthetase Antibody (rGLUL/8621) - Azide and BSA Free.
Western blot analysis of human liver lysate using Glutamine Synthetase Antibody (rGLUL/8621) - Azide and BSA Free.

Product Details

Summary
Reactivity HuSpecies Glossary
Applications IHC
Clone
rGLUL/8621
Clonality
Monoclonal
Host
Mouse
Conjugate
Unconjugated
Format
Azide and BSA Free
Concentration
1 mg/ml

Order Details

Glutamine Synthetase Antibody (rGLUL/8621) - Azide and BSA Free Summary

Description
Antibody without azide - store at -20 to -80C.
Additional Information
Recombinant Monoclonal Antibody
Immunogen
Recombinant fragment (around aa 1-200) of human Glutamine Synthetase protein (exact sequence is proprietary)
Localization
Cytoplasm. Mitochondrion.
Isotype
IgG1 Kappa
Clonality
Monoclonal
Host
Mouse
Gene
GLUL
Purity
Protein A or G purified
Innovator's Reward
Test in a species/application not listed above to receive a full credit towards a future purchase.

Applications/Dilutions

Dilutions
  • Immunohistochemistry-Paraffin 1-2ug/ml
Application Notes
Immunohistochemistry-Paraffin: 1-2ug/ml for 30 minutes at RT. Staining of formalin-fixed tissues requires heating tissue sections in 10mM Tris with 1mM EDTA, pH 9.0, for 45 min at 95C followed by cooling at RT for 20 minutes. Optimal dilution for a specific application should be determined.

Packaging, Storage & Formulations

Storage
Store at -20 to -80C. Avoid freeze-thaw cycles.
Buffer
10mM PBS
Preservative
No Preservative
Concentration
1 mg/ml
Purity
Protein A or G purified

Alternate Names for Glutamine Synthetase Antibody (rGLUL/8621) - Azide and BSA Free

  • cell proliferation-inducing protein 59
  • EC 4.1.1.15
  • EC 6.3.1.2
  • GLNSPIG59
  • Glutamate decarboxylase
  • glutamate-ammonia ligase (glutamine synthase)
  • glutamate-ammonia ligase
  • Glutamate--ammonia ligase
  • glutamine synthase
  • glutamine synthetase
  • GS
  • PIG43
  • proliferation-inducing protein 43

Background

Glutamine synthetase is part of the glutamine synthetase family. Specifically, Glutamine synthetase catalyzes the condensation of glutamate and ammonia to form glutamine, during the metabolism of nitrogen. Ammonia incorporation in animals occurs through the actions of glutamate dehydrogenase and glutamine synthase. Glutamate plays the central role in mammalian nitrogen flow, serving as both a nitrogen donor and nitrogen acceptor.

Glutamine synthetase antibodies are useful tools for studying nitrogen metabolism and regulation.

Limitations

This product is for research use only and is not approved for use in humans or in clinical diagnosis. Primary Antibodies are guaranteed for 1 year from date of receipt.

Customers Who Viewed This Item Also Viewed...

AF2086
Species: Hu, Mu, Rt
Applications: IHC, Simple Western, WB
AF2247
Species: Hu
Applications: IHC, WB
MAB1417
Species: Bv, Hu, Mu
Applications: ICC, IHC
NB300-141
Species: Bv, Ch, Eq, Gp, Hu, Mu, Po, Rb, Rt
Applications: ICC/IF, IHC, IHC-Fr,  IHC-P, Simple Western, WB
NBP1-30052
Species: Ch, Gp, Hu, Mu, Pm, Rt
Applications: ICC/IF, IHC-FrFl, IHC-WhMt, IHC, IHC-Fr,  IHC-P, WB
NB300-109
Species: Ch, Dr, Hu, I, Ma, Mu, Rt
Applications: Dual ISH-IHC, ICC/IF, IHC-FrFl, IHC-WhMt, IHC, IHC-Fr,  IHC-P, KO, Simple Western, WB
NBP1-89766
Species: Hu, Mu, Rt
Applications: ICC/IF, IHC,  IHC-P, WB
MAB7906
Species: Hu
Applications: IHC, Simple Western, WB
NBP2-21598
Species: Hu, Mu, Rt
Applications: ICC/IF, IHC, IHC-Fr,  IHC-P, WB
AF3398
Species: Hu, Mu, Rt
Applications: ICC, KO, Simple Western, WB
NBP2-16679
Species: Dr, Hu, Mu, Rt
Applications: ELISA, ICC/IF, IHC,  IHC-P, WB
NBP1-81838
Species: Hu, Mu
Applications: IHC,  IHC-P, WB
NBP1-91942
Species: Hu, Mu, Rt
Applications: IHC,  IHC-P, WB
DKK300
Species: Hu
Applications: ELISA
NBP1-90906
Species: Hu, Mu, Rt
Applications: ICC/IF, IHC,  IHC-P, WB
NB100-1869
Species: Hu, Mu, Rt
Applications: ELISA, Flow-IC, Flow, ICC/IF, IHC, IHC-Fr,  IHC-P, Simple Western, WB
NBP2-58917
Species: Hu
Applications: IHC,  IHC-P, WB
NBP1-86616
Species: Hu
Applications: IHC,  IHC-P, WB

Publications for Glutamine Synthetase Antibody (NBP3-24286) (0)

There are no publications for Glutamine Synthetase Antibody (NBP3-24286).
By submitting your publication information earn gift cards and discounts for future purchases.

Reviews for Glutamine Synthetase Antibody (NBP3-24286) (0)

There are no reviews for Glutamine Synthetase Antibody (NBP3-24286). By submitting a review you will receive an Amazon e-Gift Card or Novus Product Discount.
  • Review with no image -- $10/€7/£6/$10 CAD/¥70 Yuan/¥1110 Yen
  • Review with an image -- $25/€18/£15/$25 CAD/¥150 Yuan/¥2500 Yen

Product General Protocols

Find general support by application which include: protocols, troubleshooting, illustrated assays, videos and webinars.

FAQs for Glutamine Synthetase Antibody (NBP3-24286) (0)

There are no specific FAQs related to this product. Read our general customer & technical service FAQs.

Secondary Antibodies

 

Isotype Controls

Additional Glutamine Synthetase Products

Research Areas for Glutamine Synthetase Antibody (NBP3-24286)

Find related products by research area.

Blogs on Glutamine Synthetase

There are no specific blogs for Glutamine Synthetase, but you can read our latest blog posts.

Customers Who Bought This Also Bought

Contact Information

Product PDFs

Calculators

Concentration Calculator

The concentration calculator allows you to quickly calculate the volume, mass or concentration of your vial. Simply enter your mass, volume, or concentration values for your reagent and the calculator will determine the rest.

=
÷

Review this Product

Be the first to review our Glutamine Synthetase Antibody (rGLUL/8621) - Azide and BSA Free and receive a gift card or discount.

Bioinformatics

Gene Symbol GLUL