GCDH Antibody

Images

 
Western Blot: GCDH Antibody [NBP2-98593] - Anti-GCDH rabbit polyclonal antibody at 1:500 dilution. Lane A: HepG2 Whole Cell Lysate Lane B: K562 Whole Cell Lysate Lane C: U-251 MG Whole Cell Lysate Lysates/proteins at 30 ...read more
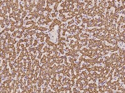
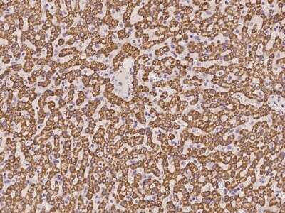
Immunohistochemistry-Paraffin: GCDH Antibody [NBP2-98593] - Immunochemical staining of human GCDH in human liver with rabbit polyclonal antibody at 1:100 dilution, formalin-fixed paraffin embedded sections.
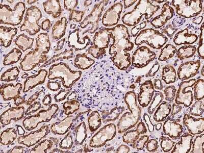
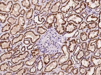
Immunohistochemistry-Paraffin: GCDH Antibody [NBP2-98593] - Immunochemical staining of human GCDH in human kidney with rabbit polyclonal antibody at 1:100 dilution, formalin-fixed paraffin embedded sections.

Product Details

Summary
Product Discontinued
View other related GCDH Primary Antibodies

Order Details


    • Catalog Number
      NBP2-98593
    • Availability
      Product Discontinued

    Can't find what you are looking for? Use our Antibody Concierge Service & we will help you locate your antibody!

    Or feel free to contact us for alternative products.

GCDH Antibody Summary

Description
This antibody can be stored at 2C to 8C for one month without detectable loss of activity. Antibody products are stable for twelve months from date of receipt when stored at -20C to -80C. Avoid repeated freeze-thaw cycles.
Immunogen
Produced in rabbits immunized with E. coli-derived Human GCDH fragment.
Isotype
IgG
Clonality
Polyclonal
Host
Rabbit
Gene
GCDH
Purity
Antigen Affinity-purified
Innovator's Reward
Test in a species/application not listed above to receive a full credit towards a future purchase.

Applications/Dilutions

Dilutions
  • Immunohistochemistry
  • Immunohistochemistry-Paraffin
  • Western Blot

Packaging, Storage & Formulations

Storage
Store at 4C short term. Aliquot and store at -20C long term. Avoid freeze-thaw cycles.
Buffer
PBS (pH 7.0)
Preservative
0.03% Proclin 300
Purity
Antigen Affinity-purified

Alternate Names for GCDH Antibody

  • ACAD5
  • EC 1.3.99
  • EC 1.3.99.7
  • GCD
  • glutaryl-CoA dehydrogenase
  • glutaryl-CoA dehydrogenase, mitochondrial
  • glutaryl-Coenzyme A dehydrogenase

Background

GCDH is encoded by this gene belongs to the acyl-CoA dehydrogenase family. It catalyzes the oxidative decarboxylation of glutaryl-CoA to crotonyl-CoA and CO(2) in the degradative pathway of L-lysine, L-hydroxylysine, and L-tryptophan metabolism. It uses electron transfer flavoprotein as its electron acceptor. The enzyme exists in the mitochondrial matrix as a homotetramer of 45-kD subunits. Alternatively spliced transcript variants encoding different isoforms have been identified.

Limitations

This product is for research use only and is not approved for use in humans or in clinical diagnosis. Primary Antibodies are guaranteed for 1 year from date of receipt.

Customers Who Viewed This Item Also Viewed...

NBP1-76544
Species: Hu, Mu, Rt
Applications: ELISA, ICC/IF, IHC,  IHC-P, Simple Western, WB
NBP1-88866
Species: Hu
Applications: IHC,  IHC-P
NBP1-91942
Species: Hu, Mu, Rt
Applications: IHC,  IHC-P, WB
NB100-182
Species: Av, Ca, Hu, Ma, Mu, Pm, Rt, Ze
Applications: ChIP, ChIP, Flow, IB, ICC/IF, IHC,  IHC-P, IP, KD, KO, RNAi, Simple Western, WB
MAB2476
Species: Hu
Applications: IHC, WB
NB100-74510
Species: Hu, Mu, Pm, Rt
Applications: ELISA, ICC/IF, IHC,  IHC-P, IP, WB
AF3398
Species: Hu, Mu, Rt
Applications: ICC, KO, Simple Western, WB
NBP1-90906
Species: Hu, Mu, Rt
Applications: ICC/IF, IHC,  IHC-P, WB
NBP2-16679
Species: Dr, Hu, Mu, Rt
Applications: ELISA, ICC/IF, IHC,  IHC-P, WB
NBP1-89290
Species: Hu, Mu, Rt
Applications: ICC/IF, IHC,  IHC-P, WB
NBP2-56981
Species: Hu
Applications: ICC/IF
7954-GM/CF
Species: Hu
Applications: BA
AF2935
Species: Hu
Applications: WB
NBP2-03047
Species: Ca, Hu, Pm, Mu, Pm, Rt
Applications: Flow, ICC/IF, IHC,  IHC-P, WB
NBP2-42388
Species: Hu
Applications: ICC/IF, IHC,  IHC-P, KD, WB
NBP1-83950
Species: Hu
Applications: IHC,  IHC-P, WB
NBP1-86616
Species: Hu
Applications: IHC,  IHC-P, WB
AF7605
Species: Hu
Applications: WB
NBP2-58917
Species: Hu
Applications: IHC,  IHC-P, WB
NBP2-16684
Species: Hu, Mu, Rt
Applications: EM, IHC,  IHC-P, WB

Publications for GCDH Antibody (NBP2-98593) (0)

There are no publications for GCDH Antibody (NBP2-98593).
By submitting your publication information earn gift cards and discounts for future purchases.

Reviews for GCDH Antibody (NBP2-98593) (0)

There are no reviews for GCDH Antibody (NBP2-98593). By submitting a review you will receive an Amazon e-Gift Card or Novus Product Discount.
  • Review with no image -- $10/€7/£6/$10 CAD/¥70 Yuan/¥1110 Yen
  • Review with an image -- $25/€18/£15/$25 CAD/¥150 Yuan/¥2500 Yen

Product General Protocols

Find general support by application which include: protocols, troubleshooting, illustrated assays, videos and webinars.

Video Protocols

WB Video Protocol

FAQs for GCDH Antibody (NBP2-98593) (0)

There are no specific FAQs related to this product. Read our general customer & technical service FAQs.

Secondary Antibodies

 

Isotype Controls

Additional GCDH Products

Research Areas for GCDH Antibody (NBP2-98593)

Find related products by research area.

Blogs on GCDH

There are no specific blogs for GCDH, but you can read our latest blog posts.

Contact Information

Product PDFs

Calculators

Concentration Calculator

The concentration calculator allows you to quickly calculate the volume, mass or concentration of your vial. Simply enter your mass, volume, or concentration values for your reagent and the calculator will determine the rest.

=
÷

Review this Product

Be the first to review our GCDH Antibody and receive a gift card or discount.

Bioinformatics

Gene Symbol GCDH