GART Antibody (SC66-02) Summary
| Additional Information |
Recombinant Monoclonal Antibody. |
| Immunogen |
Recombinant protein within Human GART aa 570-750 / 1010. (SwissProt: P22102 Human; SwissProt: Q64737 Mouse; Unigene: 55532 Rat) |
| Localization |
Cytoplasm, Nucleus, Membrane. |
| Isotype |
IgG |
| Clonality |
Monoclonal |
| Host |
Rabbit |
| Gene |
GART |
| Purity |
Protein A purified |
| Innovator's Reward |
Test in a species/application not listed above to receive a full credit towards a future purchase. |
Applications/Dilutions
| Dilutions |
- Immunocytochemistry/ Immunofluorescence 1:50-1:200
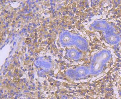
- Immunohistochemistry
- Immunohistochemistry-Paraffin 1:50-1:200
- Immunoprecipitation
- Western Blot 1:500
|
Packaging, Storage & Formulations
| Storage |
Store at 4C short term. Aliquot and store at -20C long term. Avoid freeze-thaw cycles. |
| Buffer |
TBS (pH7.4), 0.05% BSA, 40% Glycerol |
| Preservative |
0.05% Sodium Azide |
| Concentration |
1 mg/ml |
| Purity |
Protein A purified |
Alternate Names for GART Antibody (SC66-02)
Background
GART is encoded by this gene is a trifunctional polypeptide. It has phosphoribosylglycinamide formyltransferase, phosphoribosylglycinamide synthetase, phosphoribosylaminoimidazole synthetase activity which is required for de novo purine biosynthesis. This enzyme is highly conserved in vertebrates. Alternative splicing of this gene results in two transcript variants encoding different isoforms.
Limitations
This product is for research use only and is not approved for use in humans or in clinical diagnosis. Primary Antibodies are
guaranteed for 1 year from date of receipt.
Customers Who Viewed This Item Also Viewed...
Species: Ca, Hu, Mu, Pm, Rt
Applications: IHC, IHC-P, WB
Species: Hu
Applications: ICC/IF, IHC, IHC-P, WB
Species: Hu
Applications: ICC/IF, IHC, IHC-P
Species: Hu
Applications: ICC, IHC, Neut, WB
Species: Hu, Mu, Rt
Applications: ICC/IF, IHC, IP, WB
Species: Ch, Pm, Hu, Pm, Mu, Rt, Sh
Applications: Flow, ICC/IF, IHC, IHC-P, WB
Species: Hu, Mu, Rt
Applications: WB
Species: ChHa, Hu, Mu, Rt
Applications: IHC, IHC-P, Simple Western, WB
Species: Hu, Mu
Applications: Flow, ICC/IF, IHC, IHC-P, IP, WB
Species: Hu
Applications: ICC, IHC, WB
Species: Hu
Applications: ICC/IF, IHC, IHC-P, WB
Species: Hu, Mu
Applications: IP, WB
Species: Hu, Mu, Rt
Applications: ICC/IF, IHC, WB
Species: Ca, Hu, Pm, Mu, Rt
Applications: IHC, IHC-P, WB
Species: Bv, Hu, Mu, Rt
Applications: IHC, IHC-P, WB
Species: Hu, Rt
Applications: ELISA, IHC, IHC-P, RNAi, WB
Species: Bv, Hu, Mu, Po, Rt
Applications: ICC/IF, IHC, IHC-P, KO, WB
Species: Hu, Mu, Po, Rt, Sh
Applications: Flow, ICC/IF, IHC, IHC-P, PEP-ELISA, WB
Species: Hu
Applications: IHC, IHC-P
Species: Hu, Mu, Rt
Applications: WB, ICC/IF, IHC, IP
Publications for GART Antibody (NBP2-67612) (0)
There are no publications for GART Antibody (NBP2-67612).
By submitting your publication information earn gift cards and discounts for future purchases.
Reviews for GART Antibody (NBP2-67612) (0)
There are no reviews for GART Antibody (NBP2-67612).
By submitting a review you will receive an Amazon e-Gift Card or Novus Product Discount.
- Review with no image -- $10/€7/£6/$10 CAD/¥70 Yuan/¥1110 Yen
- Review with an image -- $25/€18/£15/$25 CAD/¥150 Yuan/¥2500 Yen
Product General Protocols
Find general support by application which include: protocols, troubleshooting, illustrated assays, videos and webinars.
Video Protocols
FAQs for GART Antibody (NBP2-67612) (0)
Secondary Antibodies
| |
Isotype Controls
|
Additional GART Products
Research Areas for GART Antibody (NBP2-67612)
Find related products by research area.
|
Blogs on GART