GARS Antibody (SC0651)

Images

 
Western Blot: GARS Antibody (SC0651) [NBP2-67611] - Western blot analysis of GARS on Raji cells lysates using anti-GARS antibody at 1/1,000 dilution.
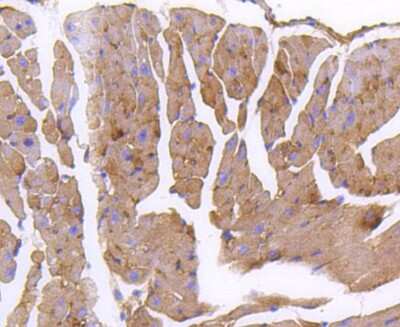
Immunohistochemistry-Paraffin: GARS Antibody (SC0651) [NBP2-67611] - Analysis of paraffin-embedded mouse heart tissue using anti-GARS antibody. Counter stained with hematoxylin.
Western Blot: GARS Antibody (SC0651) [NBP2-67611] - Analysis of GARS on Raji cells lysates using anti-GARS antibody at 1/1,000 dilution.
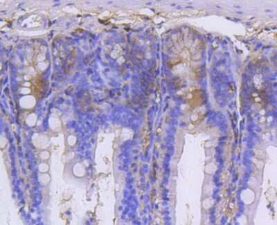
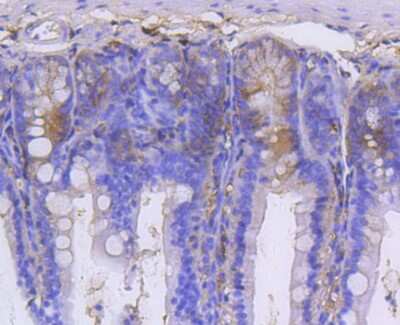
Immunohistochemistry-Paraffin: GARS Antibody (SC0651) [NBP2-67611] - Analysis of paraffin-embedded mouse colon tissue using anti-GARS antibody. Counter stained with hematoxylin.

Product Details

Summary
Product Discontinued
View other related GARS Primary Antibodies

Order Details


    • Catalog Number
      NBP2-67611
    • Availability
      Product Discontinued

    Can't find what you are looking for? Use our Antibody Concierge Service & we will help you locate your antibody!

    Or feel free to contact us for alternative products.

GARS Antibody (SC0651) Summary

Additional Information
Recombinant Monoclonal Antibody.
Immunogen
Synthetic peptide within Human GARS aa 698-739 / 739. (SwissProt: P41250 Human; SwissProt: Q9CZD3 Mouse; SwissProt: Q5I0G4 Rat)
Localization
Cytoplasm, Mitochondrion, Cell projection.
Isotype
IgG
Clonality
Monoclonal
Host
Rabbit
Gene
GARS1
Purity
Protein A purified
Innovator's Reward
Test in a species/application not listed above to receive a full credit towards a future purchase.

Applications/Dilutions

Dilutions
  • Immunohistochemistry
  • Immunohistochemistry-Paraffin 1:50-1:200
  • Western Blot 1:500-1:1000

Packaging, Storage & Formulations

Storage
Store at 4C short term. Aliquot and store at -20C long term. Avoid freeze-thaw cycles.
Buffer
TBS (pH7.4), 0.05% BSA, 40% Glycerol
Preservative
0.05% Sodium Azide
Concentration
1 mg/ml
Purity
Protein A purified

Alternate Names for GARS Antibody (SC0651)

  • AP-4-A synthetase
  • Charcot-Marie-Tooth neuropathy 2D
  • Charcot-Marie-Tooth neuropathy, neuronal type, D
  • Diadenosine tetraphosphate synthetase
  • DSMAV
  • glycine tRNA ligase
  • Glycine--tRNA ligase
  • glycyl-tRNA synthetase
  • GlyRSEC 6.1.1.14
  • HMN5
  • SMAD1CMT2D

Background

GARS encodes glycyl-tRNA synthetase, one of the aminoacyl-tRNA synthetases that charge tRNAs with their cognate amino acids. The encoded enzyme is an (alpha)2 dimer which belongs to the class II family of tRNA synthetases. It has been shown to be a target of autoantibodies in the human autoimmune diseases, polymyositis or dermatomyositis. [provided by RefSeq]

Limitations

This product is for research use only and is not approved for use in humans or in clinical diagnosis. Primary Antibodies are guaranteed for 1 year from date of receipt.

Customers Who Viewed This Item Also Viewed...

355-BM
Species: Hu, Mu, Rt
Applications: BA
314-BP
Species: Hu
Applications: BA, BA
AF2097
Species: Hu
Applications: ChIP, ICC, WB
AF3797
Species: Hu, Mu
Applications: ChIP, ICC, IHC, Simple Western, WB
NBP2-67394
Species: Hu, Mu, Rt
Applications: ICC/IF, IHC,  IHC-P, WB
355-BM
Species: Hu, Mu, Rt
Applications: BA
NB100-56479
Species: Bv, Ca, Hu, Mu, Po, Pm, Rt
Applications: ICC/IF, IHC,  IHC-P, Simple Western, WB
NBP2-22203
Species: Hu, Pm, Mu, Rt
Applications: ELISA, Flow, ICC/IF, IHC,  IHC-P, WB
AF1230
Species: Hu, Mu, Rt
Applications: IHC, KO, WB
AF7215
Species: Hu, Mu
Applications: ICC, IHC
354-BP
Species: Hu
Applications: BA
NB100-56440
Species: Hu, Pm, Mu, Pm, Rt, Sh
Applications: ICC/IF, IHC,  IHC-P, Simple Western, WB
DPI00
Species: Hu
Applications: ELISA
AF3025
Species: Hu
Applications: ELISA, ICC, WB
7754-BH/CF
Species: Hu
Applications: BA
507-BP
Species: Hu
Applications: BA
MAB2029
Species: Hu, Mu, Rt
Applications: IHC, Simple Western, WB
6057-NG
Species: Hu
Applications: BA

Publications for GARS Antibody (NBP2-67611) (0)

There are no publications for GARS Antibody (NBP2-67611).
By submitting your publication information earn gift cards and discounts for future purchases.

Reviews for GARS Antibody (NBP2-67611) (0)

There are no reviews for GARS Antibody (NBP2-67611). By submitting a review you will receive an Amazon e-Gift Card or Novus Product Discount.
  • Review with no image -- $10/€7/£6/$10 CAD/¥70 Yuan/¥1110 Yen
  • Review with an image -- $25/€18/£15/$25 CAD/¥150 Yuan/¥2500 Yen

Product General Protocols

Find general support by application which include: protocols, troubleshooting, illustrated assays, videos and webinars.

Video Protocols

WB Video Protocol

FAQs for GARS Antibody (NBP2-67611) (0)

There are no specific FAQs related to this product. Read our general customer & technical service FAQs.

Secondary Antibodies

 

Isotype Controls

Additional GARS Products

Research Areas for GARS Antibody (NBP2-67611)

Find related products by research area.

Blogs on GARS

There are no specific blogs for GARS, but you can read our latest blog posts.

Contact Information

Product PDFs

Calculators

Concentration Calculator

The concentration calculator allows you to quickly calculate the volume, mass or concentration of your vial. Simply enter your mass, volume, or concentration values for your reagent and the calculator will determine the rest.

=
÷

Review this Product

Be the first to review our GARS Antibody (SC0651) and receive a gift card or discount.

Bioinformatics

Gene Symbol GARS1