GALNT2 Antibody - BSA Free

Images

 
Immunocytochemistry/ Immunofluorescence: GALNT2 Antibody [NBP1-83394] - Staining of human cell line U-2 OS shows localization to the Golgi apparatus. Antibody staining is shown in green.
Immunohistochemistry-Paraffin: GALNT2 Antibody [NBP1-83394] - Staining of human small intestine shows strong cytoplasm granular positivity in glandular cells.
Immunohistochemistry-Paraffin: GALNT2 Antibody [NBP1-83394] - Staining of human testis shows strong cytoplasm granular positivity in Leydig cells.
Immunohistochemistry-Paraffin: GALNT2 Antibody [NBP1-83394] - Staining of human kidney shows strong cytoplasm granular positivity in cells in tubules.
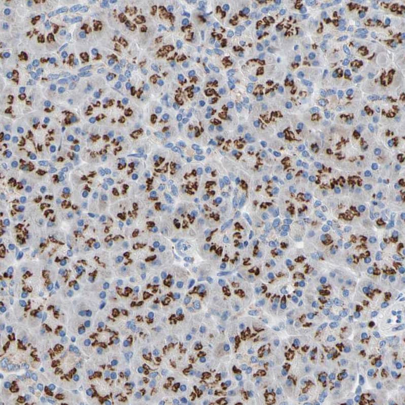
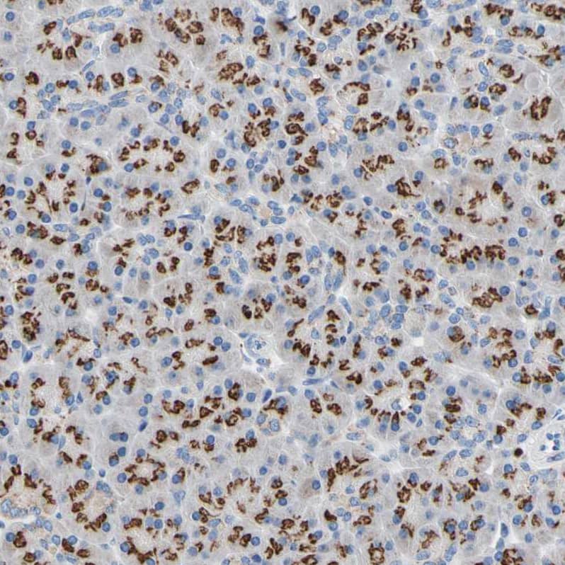
Staining of human pancreas shows strong cytoplasm granular positivity in exocrine glandular cells.
Genetic Strategies: Analysis in HeLa cells) transfected with control siRNA, target specific siRNA probe #1 and #2, using Anti-GALNT2 antibody. Remaining relative intensity is presented. Loading control: ...read more

Product Details

Summary
Reactivity Hu, Mu, RtSpecies Glossary
Applications WB, ICC/IF, IHC, Mycoplasma
Clonality
Polyclonal
Host
Rabbit
Conjugate
Unconjugated
Format
BSA Free
Validated by:
     

Genetic Strategies

   

Order Details

View Available Formulations
Catalog# & Formulation Size Price

GALNT2 Antibody - BSA Free Summary

Description
Novus Biologicals Rabbit GALNT2 Antibody - BSA Free (NBP1-83394) is a polyclonal antibody validated for use in IHC, WB and ICC/IF. Anti-GALNT2 Antibody: Cited in 1 publication. All Novus Biologicals antibodies are covered by our 100% guarantee.
Immunogen
This antibody was developed against Recombinant Protein corresponding to amino acids: SCKPFKWYLENVYPELRVPDHQDIAFGALQQGTNCLDTLGHFADGVVGVYECHNAGGNQEWALTKEKSVKHMDLCLTVVDRAPGSLIKLQGCRENDSRQKWEQIEGNSKLRHVGSNLCLDSRTAKSGGLSVEVCGPALSQQWKFTLNL
Predicted Species
Mouse (96%), Rat (96%). Backed by our 100% Guarantee.
Isotype
IgG
Clonality
Polyclonal
Host
Rabbit
Gene
GALNT2
Purity
Immunogen affinity purified
Innovator's Reward
Test in a species/application not listed above to receive a full credit towards a future purchase.

Applications/Dilutions

Dilutions
  • Immunocytochemistry/ Immunofluorescence 0.25-2 ug/ml
  • Immunohistochemistry 1:50 - 1:200
  • Immunohistochemistry-Paraffin 1:50 - 1:200
  • Knockdown Validated
  • Western Blot 0.04-0.4 ug/ml
Application Notes
For IHC-Paraffin, HIER pH 6 retrieval is recommended. ICC/IF Fixation Permeabilization: Use PFA/Triton X-100.
Control Peptide
GALNT2 Protein (NBP1-83394PEP)
Publications
Read Publication using NBP1-83394.

Packaging, Storage & Formulations

Storage
Store at 4C short term. Aliquot and store at -20C long term. Avoid freeze-thaw cycles.
Buffer
PBS (pH 7.2) and 40% Glycerol
Preservative
0.02% Sodium Azide
Purity
Immunogen affinity purified

Alternate Names for GALNT2 Antibody - BSA Free

  • GalNAc-T2
  • GalNAc-T2EC 2.4.1.41
  • GALNT2
  • Polypeptide GalNac Transferase 2
  • polypeptide N-acetylgalactosaminyltransferase 2
  • pp-GaNTase 2
  • Protein-UDP acetylgalactosaminyltransferase 2
  • UDP-GalNAc transferase 2
  • UDP-GalNAc:polypeptide N-acetylgalactosaminyltransferase 2
  • UDP-N-acetyl-alpha-D-galactosamine:polypeptideN-acetylgalactosaminyltransferase 2 (GalNAc-T2)

Background

GALNT2 encodes polypeptide N-acetylgalactosaminyltransferase 2, a member of the GalNAc-transferases family. This family transfers an N-acetyl galactosamine to the hydroxyl group of a serine or threonine residue in the first step of O-linked oligosaccharide biosynthesis. Individual GalNAc-transferases have distinct activities and initiation of O-glycosylation in a cell is regulated by a repertoire of GalNAc-transferases.

Limitations

This product is for research use only and is not approved for use in humans or in clinical diagnosis. Primary Antibodies are guaranteed for 1 year from date of receipt.

Customers Who Viewed This Item Also Viewed...

AF7197
Species: Hu, Mu
Applications: ICC, IHC, WB
NBP1-55386
Species: Hu
Applications: IHC,  IHC-P, WB
NB400-105
Species: Ca, Ch, ChHa, Eq, Ha, Hu, Mu, Md, Po, Pm, Rb, Rt
Applications: B/N, ChIP, ChIP, Dual ISH-IHC, ELISA, Flow, GS, GS, IB, ICC/IF, IHC, IHC-Fr,  IHC-P, IP, KD, KO, PCR, Simple Western, WB
AF7140
Species: Hu
Applications: IHC, WB
NBP3-46020
Species: Hu, Mu, Rt
Applications: ELISA, IHC, WB
NB400-135
Species: Hu, Mu, Rt
Applications: ChIP, ChIP, GS, IB, ICC/IF, IHC,  IHC-P, IP, KD, KO, PAGE, WB
NBP1-88057
Species: Hu, Rt
Applications: ICC/IF, IHC,  IHC-P, WB
AF2934
Species: Mu
Applications: Block, IHC, Simple Western, WB
NBP2-52979
Species: Hu, Mu
Applications: Flow, ICC/IF, IHC,  IHC-P, WB
NB300-558
Species: Bv, Hu, Rb
Applications: ELISA, ICC/IF, IP, WB
NB120-22711
Species: Hu, Mu
Applications: ELISA, Flow, ICC/IF, IHC, IHC-Fr,  IHC-P
NBP1-31234
Species: Hu
Applications: ICC/IF, IHC,  IHC-P, IP, WB
NB400-111
Species: Hu, Mu(-)
Applications: ICC/IF, IHC, IHC-Fr, WB
NB400-139
Species: Ha, Hu
Applications: ELISA, Flow, ICC/IF, IHC,  IHC-P, WB
NBP2-03396
Species: Hu, Mu, Rt
Applications: ICC/IF, IHC,  IHC-P, WB
NBP2-34294
Species: Hu, Mu, Rt
Applications: Flow, IHC,  IHC-P
NB100-524
Species: Hu, Mu
Applications: Flow-IC, Flow, ICC/IF, IHC, IHC-Fr,  IHC-P, IP, WB
NBP1-90117
Species: Hu, Mu, Rt
Applications: ICC/IF, IHC,  IHC-P, KD, WB
NBP1-83394
Species: Hu, Mu, Rt
Applications: WB, ICC/IF, IHC, Mycoplasma

Publications for GALNT2 Antibody (NBP1-83394)(1)

Reviews for GALNT2 Antibody (NBP1-83394) (0)

There are no reviews for GALNT2 Antibody (NBP1-83394). By submitting a review you will receive an Amazon e-Gift Card or Novus Product Discount.
  • Review with no image -- $10/€7/£6/$10 CAD/¥70 Yuan/¥1110 Yen
  • Review with an image -- $25/€18/£15/$25 CAD/¥150 Yuan/¥2500 Yen

Product General Protocols

Find general support by application which include: protocols, troubleshooting, illustrated assays, videos and webinars.

Video Protocols

WB Video Protocol
ICC/IF Video Protocol

FAQs for GALNT2 Antibody (NBP1-83394) (0)

There are no specific FAQs related to this product. Read our general customer & technical service FAQs.

Customers Who Bought This Also Bought

Contact Information

Product PDFs

Calculators

Concentration Calculator

The concentration calculator allows you to quickly calculate the volume, mass or concentration of your vial. Simply enter your mass, volume, or concentration values for your reagent and the calculator will determine the rest.

=
÷

Review this Product

Be the first to review our GALNT2 Antibody - BSA Free and receive a gift card or discount.

Bioinformatics

Gene Symbol GALNT2