FXYD5/Dysadherin Antibody (CL14037) - Azide and BSA Free

Images

 
Staining of human breast cancer shows strong membranous positivity in tumor cells.
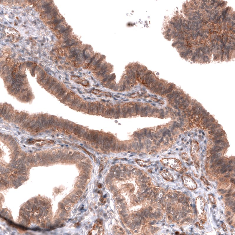
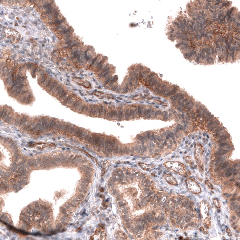
Staining of human fallopian tube shows moderate membranous and cytoplasmic positivity in glandular cells.
Staining of human pancreas shows strong membranous positivity in exocrine glandular cells.
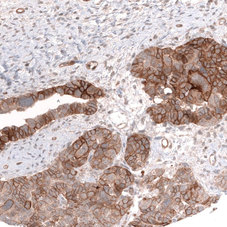
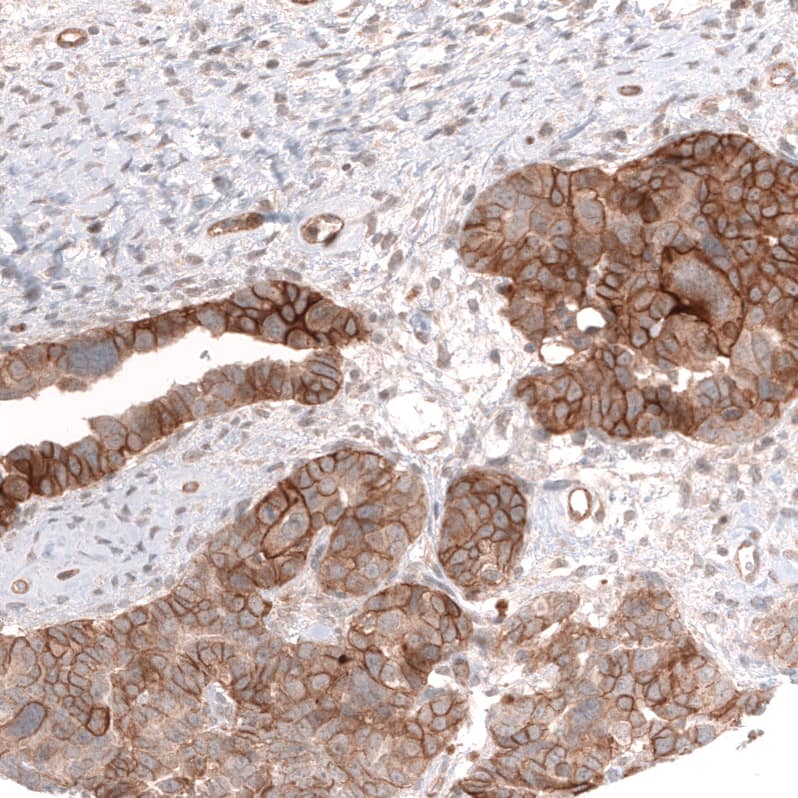
Staining of human ovarian cancer (papillary carcinoma) shows strong membranous positivity in tumor cells.
Staining of human ovarian cancer (high grade serous carcinoma) shows strong membranous positivity in tumor cells.
Staining of human tonsil shows moderate membranous positivity in lymphoid cells.

Product Details

Summary
Reactivity HuSpecies Glossary
Applications IHC
Clone
CL14037
Clonality
Monoclonal
Host
Mouse
Conjugate
Unconjugated
Format
Azide and BSA Free
Concentration
LYOPH

Order Details

FXYD5/Dysadherin Antibody (CL14037) - Azide and BSA Free Summary

Description
Novus Biologicals Mouse FXYD5/Dysadherin Antibody (CL14037) - Azide and BSA Free (NBP3-24585) is a monoclonal antibody validated for use in IHC. All Novus Biologicals antibodies are covered by our 100% guarantee.
Immunogen
This antibody was generated using a recombinant protein sequence of Q96DB9, with the exact immunogen sequence remaining proprietary.
Isotype
IgG1
Clonality
Monoclonal
Host
Mouse
Gene
FXYD5
Purity
Protein A purified
Innovator's Reward
Test in a species/application not listed above to receive a full credit towards a future purchase.

Applications/Dilutions

Dilutions
  • Immunohistochemistry-Paraffin 1:50 - 1:200
Application Notes
For IHC-Paraffin, we recommend using Heat-Induced Epitope Retrieval (HIER) with a pH level of 6. This optimized retrieval method ensures the best results for your experiments.

Packaging, Storage & Formulations

Storage
Store at 4C short term. Aliquot and store at -20C long term. Avoid freeze-thaw cycles.
Buffer
Lyophilized from a 0.2 um filtered solution in PBS with Trehalose
Preservative
No Preservative
Concentration
LYOPH
Purity
Protein A purified
Reconstitution Instructions
Centrifuge the vial of lyophilized antibody at 12,000 x g for 20 seconds. Reconstitute by adding sterile, distilled water to achieve a final antibody concentration of 1mg/ml.

Alternate Names for FXYD5/Dysadherin Antibody (CL14037) - Azide and BSA Free

  • DYSAD
  • Dysadherin
  • EF-8
  • FXYD domain containing ion transport regulator 5
  • FXYD domain-containing ion transport regulator 5
  • FXYD5
  • IWU1
  • KCT1
  • keratinocytes associated transmembrane protein 1
  • OIT2
  • PRO6241
  • RIC

Background

Dysadherin encodes a member of a family of small membrane proteins that share a 35-amino acid signature sequence domain, beginning with the sequence PFXYD and containing 7 invariant and 6 highly conserved amino acids. The approved human gene nomenclature for the family is FXYD-domain containing ion transport regulator. Mouse FXYD5 has been termed RIC (Related to Ion Channel). FXYD2, also known as the gamma subunit of the Na,K-ATPase, regulates the properties of that enzyme. FXYD1 (phospholemman), FXYD2 (gamma), FXYD3 (MAT-8), FXYD4 (CHIF), and FXYD5 (RIC) have been shown to induce channel activity in experimental expression systems. Transmembrane topology has been established for two family members (FXYD1 and FXYD2), with the N-terminus extracellular and the C-terminus on the cytoplasmic side of the membrane.

Limitations

This product is for research use only and is not approved for use in humans or in clinical diagnosis. Primary Antibodies are guaranteed for 1 year from date of receipt.

Customers Who Viewed This Item Also Viewed...

NBP1-26612
Species: Hu
Applications: IP (-), WB
AF748
Species: Hu, Mu
Applications: CyTOF-ready, Dual ISH-IHC, Flow, ICC, IHC, Simple Western, WB
NB100-56414
Species: Hu, Mu
Applications: IHC,  IHC-P, WB
NBP1-89827
Species: Hu, Mu, Rt
Applications: ICC/IF, IHC,  IHC-P, WB
H00171023-M05
Species: Hu
Applications: ELISA, IP, WB
NBP2-47291
Species: Hu
Applications: ICC/IF, IHC,  IHC-P, KD, WB
NBP1-87769
Species: Hu
Applications: ICC/IF, IHC,  IHC-P, WB
AF4117
Species: Rt
Applications: IHC, WB
NBP3-47156
Species: Hu, Mu, Rt
Applications: ELISA, IHC, IP, WB
NBP2-31993
Species: Hu
Applications: IHC,  IHC-P, WB
MAB4697
Species: Hu
Applications: WB
NBP2-48725
Species: Hu
Applications: IHC,  IHC-P, WB
H00005555-P01
Species: Hu
Applications: ELISA, AP, PA, PAGE, WB
NBP2-29460
Species: Pm, Pm-Cm, Hu, Pm, RM
Applications: Flow, ICC/IF, IHC,  IHC-P, ISH
AF5415
Species: Hu
Applications: ICC, IHC, Simple Western, WB
AF5129
Species: Hu
Applications: WB
NBP2-47602
Species: Hu
Applications: ICC/IF, IHC,  IHC-P
H00003126-P01
Species: Hu
Applications: ELISA, AP, PA, WB
NB600-302
Species: Bv, Dr, Hu, Mu
Applications: ChIP, ELISA, Flow-IC, Flow, IB, ICC/IF, IHC, IHC-Fr,  IHC-P, IP, PLA, S-ELISA, Simple Western, WB
NBP3-43835
Species: Hu
Applications: IHC

Publications for FXYD5/Dysadherin Antibody (NBP3-43835) (0)

There are no publications for FXYD5/Dysadherin Antibody (NBP3-43835).
By submitting your publication information earn gift cards and discounts for future purchases.

Reviews for FXYD5/Dysadherin Antibody (NBP3-43835) (0)

There are no reviews for FXYD5/Dysadherin Antibody (NBP3-43835). By submitting a review you will receive an Amazon e-Gift Card or Novus Product Discount.
  • Review with no image -- $10/€7/£6/$10 CAD/¥70 Yuan/¥1110 Yen
  • Review with an image -- $25/€18/£15/$25 CAD/¥150 Yuan/¥2500 Yen

Product General Protocols

Find general support by application which include: protocols, troubleshooting, illustrated assays, videos and webinars.

FAQs for FXYD5/Dysadherin Antibody (NBP3-43835) (0)

There are no specific FAQs related to this product. Read our general customer & technical service FAQs.

Secondary Antibodies

 

Isotype Controls

Additional FXYD5/Dysadherin Products

Research Areas for FXYD5/Dysadherin Antibody (NBP3-43835)

Find related products by research area.

Blogs on FXYD5/Dysadherin

There are no specific blogs for FXYD5/Dysadherin, but you can read our latest blog posts.

Customers Who Bought This Also Bought

Contact Information

Product PDFs

Calculators

Concentration Calculator

The concentration calculator allows you to quickly calculate the volume, mass or concentration of your vial. Simply enter your mass, volume, or concentration values for your reagent and the calculator will determine the rest.

=
÷

Review this Product

Be the first to review our FXYD5/Dysadherin Antibody (CL14037) - Azide and BSA Free and receive a gift card or discount.

Bioinformatics

Gene Symbol FXYD5