FUS Antibody (CL0190) - Azide and BSA Free

Images

 
Lane 1: Marker [kDa]Lane 2: Human cell line HeLa cytoplasmic fractionLane 3: Human cell line HeLa membrane fractionLane 4: Human cell line HeLa nuclear fractionLane 5: Human cell line HeLa chromatin fractionLane 6: ...read more
Staining in HeLa cell line with Anti-FUS monoclonal antibody) staining in green. Microtubule- and nuclear probes are visualized in red and blue respectively (where available).
Lane 1: Marker [kDa]Lane 2: Human cell line HeLaLane 3: Human cell line A-431Lane 4: Human cell line MCF-7Lane 5: Human cell line U2-OSLane 6: Human cell line Hep-G2
Staining in MCF7 cell line with Anti-FUS monoclonal antibody) staining in green. Microtubule- and nuclear probes are visualized in red and blue respectively (where available).
Staining in U2OS cell line with Anti-FUS monoclonal antibody) staining in green. Microtubule- and nuclear probes are visualized in red and blue respectively (where available).
Staining in U251 cell line with Anti-FUS monoclonal antibody) staining in green. Microtubule- and nuclear probes are visualized in red and blue respectively (where available).
Orthogonal Strategies: Analysis in human cerebral cortex and liver tissues using NBP3-44055 antibody. Corresponding FUS RNA-seq data are presented for the same tissues.
Staining in A431 cell line with Anti-FUS monoclonal antibody) staining in green. Microtubule- and nuclear probes are visualized in red and blue respectively (where available).
Staining of human cerebral cortex shows strong nuclear positivity in neurons.
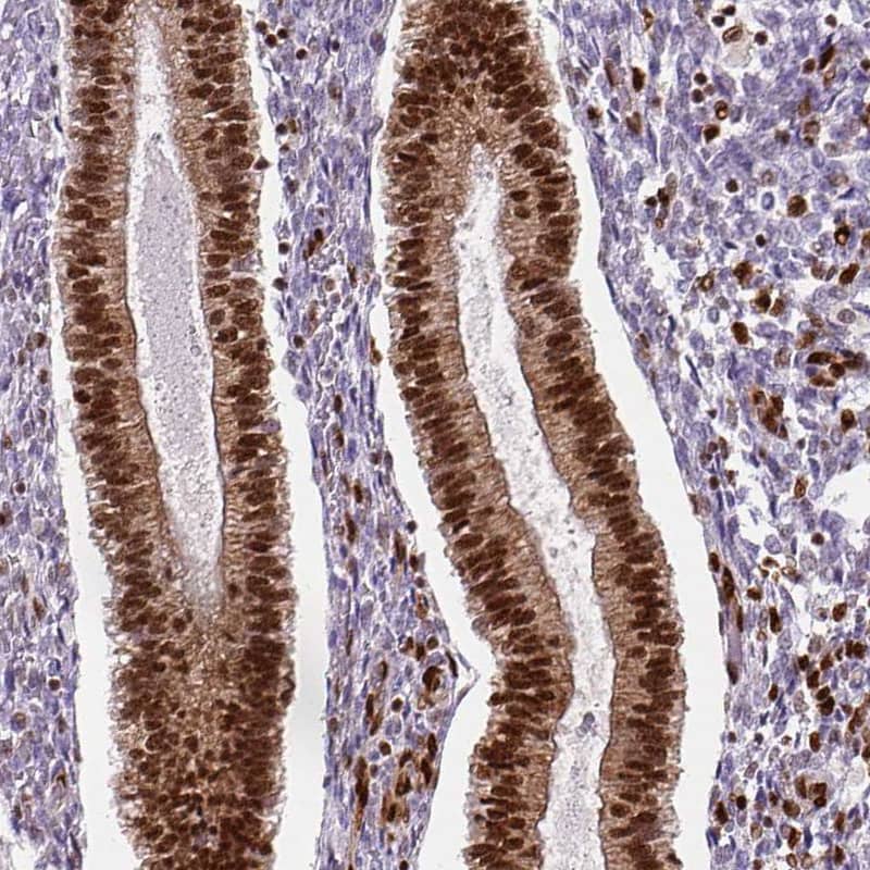
Staining of human endometrium shows strong nuclear positivity in glandular cells.
Staining of human liver shows only very weak nuclear positivity in hepatocytes.
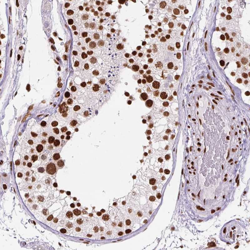
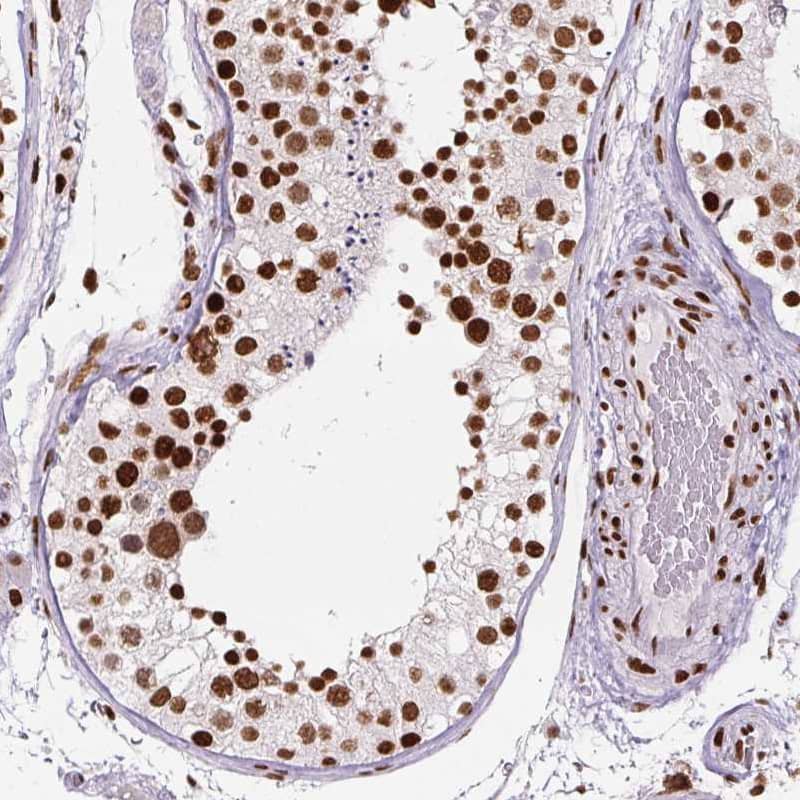
Staining of human testis shows strong nuclear positivity in cells in seminiferous ducts.
Genetic Strategies: Analysis in U-251MG cells transfected with control siRNA, target specific siRNA probe #1 and #2, using Anti-FUS antibody. Remaining relative intensity is presented. Loading control: Anti-GAPDH.

Product Details

Summary
Reactivity HuSpecies Glossary
Applications WB, ICC/IF, IHC
Clone
CL0190
Clonality
Monoclonal
Host
Mouse
Conjugate
Unconjugated
Format
Azide and BSA Free
Concentration
LYOPH

Order Details

FUS Antibody (CL0190) - Azide and BSA Free Summary

Description
Novus Biologicals Mouse FUS Antibody (CL0190) - Azide and BSA Free (NBP2-52874) is a monoclonal antibody validated for use in IHC, WB and ICC/IF. All Novus Biologicals antibodies are covered by our 100% guarantee.
Immunogen
This antibody was generated using a recombinant protein sequence of P35637, with the exact immunogen sequence remaining proprietary.
Isotype
IgG1
Clonality
Monoclonal
Host
Mouse
Gene
FUS
Purity
Protein A purified
Innovator's Reward
Test in a species/application not listed above to receive a full credit towards a future purchase.

Applications/Dilutions

Dilutions
  • Immunocytochemistry/ Immunofluorescence 2-10 ug/ml
  • Immunohistochemistry-Paraffin 1:2500 - 1:5000
  • Western Blot 1 ug/ml
Application Notes
For IHC-Paraffin, HIER pH 6 retrieval is recommended. Immunocytochemistry/ Immunofluorescence/IF Fixation Permeabilization: Use PFA/Triton X-100.

Packaging, Storage & Formulations

Storage
Store at 4C short term. Aliquot and store at -20C long term. Avoid freeze-thaw cycles.
Buffer
Lyophilized from a 0.2 um filtered solution in PBS with Trehalose
Preservative
No Preservative
Concentration
LYOPH
Purity
Protein A purified
Reconstitution Instructions
Centrifuge the vial of lyophilized antibody at 12,000 x g for 20 seconds. Reconstitute by adding sterile, distilled water to achieve a final antibody concentration of 1mg/ml.

Alternate Names for FUS Antibody (CL0190) - Azide and BSA Free

  • 75 kDa DNA-pairing protein
  • ALS6
  • amyotrophic lateral sclerosis 6
  • FUS1
  • fused in sarcoma
  • fusion (involved in t(12;16) in malignant liposarcoma)
  • fusion gene in myxoid liposarcoma
  • fusion, derived from t(12;16) malignant liposarcoma
  • fus-like protein
  • heterogeneous nuclear ribonucleoprotein P2
  • HNRNPP2
  • Oncogene FUS
  • Oncogene TLS
  • POMP75
  • RNA-binding protein FUS
  • TLShnRNP-P2
  • Translocated in liposarcoma protein

Background

FUS, fused in sarcoma, encodes a multifunctional protein component of the heterogeneous nuclear ribonucleoprotein (hnRNP) complex. Nuclear receptor coactivator that directly binds nuclear receptors and stimulates the transcriptional activities in a hormone-dependent fashion. Coactivates expression in an agonist- and AF2-dependent manner. Involved in the coactivation of different nuclear receptors, such as for steroids (GR and ERs), retinoids (RARs and RXRs), thyroid hormone (TRs), vitamin D3 (VDR) and prostanoids (PPARs). Probably functions as a general coactivator, rather than just a nuclear receptor coactivator. May also be involved in the coactivation of the NF-kappa-B pathway. May coactivate expression via a remodeling of chromatin and its interaction with histone acetyltransferase proteins. Involved in placental, cardiac, hepatic and embryonic development. NCOA6 is over-expressed in several breast cancer cell lines.

Limitations

This product is for research use only and is not approved for use in humans or in clinical diagnosis. Primary Antibodies are guaranteed for 1 year from date of receipt.

Customers Who Viewed This Item Also Viewed...

H00023435-M01
Species: Ba, Pp, Hu, I, Pm, Mu, Rt
Applications: ELISA, Func, ICC/IF, IHC,  IHC-P, IP, KD, WB
NB200-182
Species: Hu, Mu
Applications: IHC,  IHC-P, IP, Simple Western, WB
NBP2-24915
Species: Bv, Hu, Mu, Rt
Applications: IHC,  IHC-P, WB
NB600-1335
Species: Hu, Mu, Pm, Rt
Applications: ChIP, ELISA, Flow, GS, ICC/IF, IHC,  IHC-P, IP, KD, Simple Western, WB
NB500-106
Species: Ch, Dr, Fi, Hu, Mar, Mu, Po, Pm, Rb, Rt, Ye, Ze
Applications: ChIP, ChIP, ELISA, Flow, ICC/IF, IHC-FrFl, IHC, IHC-Fr,  IHC-P, IP, Simple Western, WB
AF1436
Species: Mu
Applications: WB
NBP2-55877
Species: Hu
Applications: IHC,  IHC-P
NBP1-57508
Species: Hu
Applications: IHC,  IHC-P, WB
AF2377
Species: Mu
Applications: IHC, Simple Western, WB
NBP2-67702
Species: Hu, Mu, Rt
Applications: ICC/IF, IHC, IHC-Fr,  IHC-P, WB
NB100-567
Species: Hu
Applications: IHC,  IHC-P, IP, Simple Western, WB
NB100-60424
Species: Hu
Applications: IP, WB
NBP3-42115
Species: Hu
Applications: WB
H00006883-M11
Species: Hu
Applications: ELISA, ICC/IF, S-ELISA, WB
DAN00
Species: Hu
Applications: ELISA
H00010721-M09
Species: Hu
Applications: ELISA, WB
H00005980-Q01
Species: Hu
Applications: ELISA, AP, PA, WB
NBP1-88376
Species: Hu, Mu
Applications: ICC/IF, IHC,  IHC-P, KD, WB

Publications for FUS Antibody (NBP3-44055) (0)

There are no publications for FUS Antibody (NBP3-44055).
By submitting your publication information earn gift cards and discounts for future purchases.

Reviews for FUS Antibody (NBP3-44055) (0)

There are no reviews for FUS Antibody (NBP3-44055). By submitting a review you will receive an Amazon e-Gift Card or Novus Product Discount.
  • Review with no image -- $10/€7/£6/$10 CAD/¥70 Yuan/¥1110 Yen
  • Review with an image -- $25/€18/£15/$25 CAD/¥150 Yuan/¥2500 Yen

Product General Protocols

Find general support by application which include: protocols, troubleshooting, illustrated assays, videos and webinars.

Video Protocols

WB Video Protocol
ICC/IF Video Protocol

FAQs for FUS Antibody (NBP3-44055) (0)

There are no specific FAQs related to this product. Read our general customer & technical service FAQs.

Secondary Antibodies

 

Isotype Controls

Additional FUS Products

Research Areas for FUS Antibody (NBP3-44055)

Find related products by research area.

Blogs on FUS.

Transportin 1 and heterogeneous nuclear ribonucleoprotein D (hnRNPD)
Transportin 1, also known as Karyopherin- beta 2 or Importin- beta 2, is part of the beta -karyopherins family, which consists of importins and exportins responsible for the active transport of proteins between the nucleus and cytoplasm.  Transportin 1 is co...  Read full blog post.

Amyotrophic Lateral Sclerosis Infographic
Amyotrophic lateral sclerosis is a neurological disease which impacts motor neurons that are involved in muscle movement throughout the body. The progressive degeneration of neurons causes weakened muscles and can lead to paralysis. There is no cure f...  Read full blog post.

Customers Who Bought This Also Bought

Contact Information

Product PDFs

Calculators

Concentration Calculator

The concentration calculator allows you to quickly calculate the volume, mass or concentration of your vial. Simply enter your mass, volume, or concentration values for your reagent and the calculator will determine the rest.

=
÷

Review this Product

Be the first to review our FUS Antibody (CL0190) - Azide and BSA Free and receive a gift card or discount.

Bioinformatics

Gene Symbol FUS