ERP29 Antibody (JG34-42)

Images

 
Western Blot: ERP29 Antibody (JG34-42) [NBP2-75483] - Analysis of ERp29 on THP-1 cell using anti-ERp29 antibody at 1/500 dilution.
Immunocytochemistry/ Immunofluorescence: ERP29 Antibody (JG34-42) [NBP2-75483] - Staining ERp29 in F9 cells (green). The nuclear counter stain is DAPI (blue). Cells were fixed in paraformaldehyde, permeabilised with ...read more
Immunohistochemistry-Paraffin: ERP29 Antibody (JG34-42) [NBP2-75483] - Analysis of paraffin-embedded rat testis tissue using anti-ERp29 antibody. Counter stained with hematoxylin.
Immunocytochemistry/ Immunofluorescence: ERP29 Antibody (JG34-42) [NBP2-75483] - Staining ERp29 in PMVEC cells (green). The nuclear counter stain is DAPI (blue). Cells were fixed in paraformaldehyde, permeabilised with ...read more
Immunocytochemistry/ Immunofluorescence: ERP29 Antibody (JG34-42) [NBP2-75483] - Staining ERp29 in SiHa cells (green). The nuclear counter stain is DAPI (blue). Cells were fixed in paraformaldehyde, permeabilised with ...read more
Immunohistochemistry-Paraffin: ERP29 Antibody (JG34-42) [NBP2-75483] - Analysis of paraffin-embedded human thyroid gland tissue using anti-ERp29 antibody. Counter stained with hematoxylin.
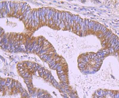
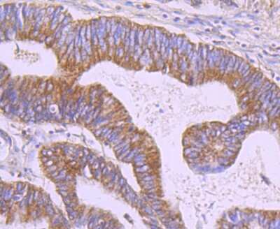
Immunohistochemistry-Paraffin: ERP29 Antibody (JG34-42) [NBP2-75483] - Analysis of paraffin-embedded human colon cancer tissue using anti-ERp29 antibody. Counter stained with hematoxylin.

Product Details

Summary
Product Discontinued
View other related ERP29 Primary Antibodies

Order Details


    • Catalog Number
      NBP2-75483
    • Availability
      Product Discontinued

    Can't find what you are looking for? Use our Antibody Concierge Service & we will help you locate your antibody!

    Or feel free to contact us for alternative products.

ERP29 Antibody (JG34-42) Summary

Additional Information
Recombinant Monoclonal Antibody.
Immunogen
Recombinant protein within Human ERP29 aa 1-142 / 261. (SwissProt: P30040 Human; SwissProt: P57759 Mouse; SwissProt: P52555 Rat)
Localization
Endoplasmic reticulum.
Isotype
IgG
Clonality
Monoclonal
Host
Rabbit
Gene
ERP29
Purity
Protein A purified
Innovator's Reward
Test in a species/application not listed above to receive a full credit towards a future purchase.

Applications/Dilutions

Dilutions
  • Immunocytochemistry/ Immunofluorescence 1:50-1:200
  • Immunohistochemistry
  • Immunohistochemistry-Paraffin 1:50-1:200
  • Western Blot 1:500-1:1000
Theoretical MW
29 kDa.
Disclaimer note: The observed molecular weight of the protein may vary from the listed predicted molecular weight due to post translational modifications, post translation cleavages, relative charges, and other experimental factors.

Packaging, Storage & Formulations

Storage
Store at 4C short term. Aliquot and store at -20C long term. Avoid freeze-thaw cycles.
Buffer
TBS (pH7.4), 0.05% BSA, 40% Glycerol
Preservative
0.05% Sodium Azide
Concentration
1 mg/ml
Purity
Protein A purified

Alternate Names for ERP29 Antibody (JG34-42)

  • C12orf8chromosome 12 open reading frame 8
  • endoplasmic reticulum lumenal protein ERp28
  • endoplasmic reticulum protein 29
  • Endoplasmic reticulum resident protein 28
  • endoplasmic reticulum resident protein 29
  • ERp28Endoplasmic reticulum resident protein 31
  • ERp29
  • ERp31ERP28
  • PDIA9
  • PDI-DB
  • protein disulfide isomerase family A, member 9

Background

ERP29 encodes a reticuloplasmin, a protein which resides in the lumen of the endoplasmic reticulum (ER). The protein shows sequence similarity to the protein disulfide isomerase family. However, it lacks the thioredoxin motif characteristic of this family, suggesting that this protein does not function as a disulfide isomerase. The protein dimerizes and is thought to play a role in the processing of secretory proteins within the ER. Alternative splicing results in multiple transcript variants encoding different isoforms.

Limitations

This product is for research use only and is not approved for use in humans or in clinical diagnosis. Primary Antibodies are guaranteed for 1 year from date of receipt.

Customers Who Viewed This Item Also Viewed...

NBP1-06274
Species: Ce, Ch, Dr, Hu, Mu, Rt, Sh, Ze
Applications: Flow, ICC/IF, IHC-FrFl, IHC,  IHC-P, Simple Western, WB
NBP1-89394
Species: Hu
Applications: ICC/IF, IHC,  IHC-P
NBP2-34294
Species: Hu, Mu, Rt
Applications: Flow, IHC,  IHC-P
NB300-517
Species: Bv, Ha, Hu, Pm, Mu, Po, Pm, Rb, Rt
Applications: B/N, ELISA, Flow, ICC/IF, IHC, IHC-Fr,  IHC-P, IM, IP, KD, WB
NB600-101
Species: Bv, Ha, Hu, Mu, Pm, Rt
Applications: B/N, DB, EM, Flow, ICC/IF, IHC,  IHC-P, IP, KD, PA, Simple Western, WB
NBP1-84796
Species: Hu, Mu, Rt
Applications: ICC/IF, IHC,  IHC-P, KD, WB
AF3770
Species: Hu, Mu, Rt
Applications: IHC, Simple Western, WB
AF1543
Species: Hu
Applications: IHC, WB
NBP2-32972
Species: Ch, Pm, Hu, Pm, Mu, Rt, Sh
Applications: Flow, ICC/IF, IHC,  IHC-P, WB
NBP2-49086
Species: Hu
Applications: ICC/IF, IHC,  IHC-P
NBP2-37761
Species: Hu
Applications: ICC/IF, IHC,  IHC-P
NBP2-01652
Species: Ca, Hu, Pm, Mu, Pm, Rt
Applications: ICC/IF, IHC,  IHC-P, WB
NBP2-48704
Species: Hu
Applications: ICC/IF, IHC,  IHC-P, WB
NB300-619
Species: Bv, Ch, Ha, Hu, Mu, Rt
Applications: ICC, ICC/IF, IHC,  IHC-P, IP, WB
NB300-223
Species: Bv, Ca, Ch, Eq, Hu, Mu, Po, Rt
Applications: ICC/IF, IHC, IHC-Fr,  IHC-P, WB
AF3999
Species: Hu
Applications: KO, WB
NBP2-29421
Species: Bv, Gt, Hu, Po, Rt
Applications: Flow, ICC/IF, IHC, IHC-Fr,  IHC-P, WB
AF231
Species: Hu
Applications: CyTOF-ready, Dual ISH-IHC, ELISA(Cap), ELISA(Det), ELISA(Sta), Flow, ICC, IHC, IP, Simple Western, WB

Publications for ERP29 Antibody (NBP2-75483) (0)

There are no publications for ERP29 Antibody (NBP2-75483).
By submitting your publication information earn gift cards and discounts for future purchases.

Reviews for ERP29 Antibody (NBP2-75483) (0)

There are no reviews for ERP29 Antibody (NBP2-75483). By submitting a review you will receive an Amazon e-Gift Card or Novus Product Discount.
  • Review with no image -- $10/€7/£6/$10 CAD/¥70 Yuan/¥1110 Yen
  • Review with an image -- $25/€18/£15/$25 CAD/¥150 Yuan/¥2500 Yen

Product General Protocols

Find general support by application which include: protocols, troubleshooting, illustrated assays, videos and webinars.

Video Protocols

WB Video Protocol
ICC/IF Video Protocol

FAQs for ERP29 Antibody (NBP2-75483) (0)

There are no specific FAQs related to this product. Read our general customer & technical service FAQs.

Secondary Antibodies

 

Isotype Controls

Additional ERP29 Products

Research Areas for ERP29 Antibody (NBP2-75483)

Find related products by research area.

Blogs on ERP29

There are no specific blogs for ERP29, but you can read our latest blog posts.

Contact Information

Product PDFs

Calculators

Concentration Calculator

The concentration calculator allows you to quickly calculate the volume, mass or concentration of your vial. Simply enter your mass, volume, or concentration values for your reagent and the calculator will determine the rest.

=
÷

Review this Product

Be the first to review our ERP29 Antibody (JG34-42) and receive a gift card or discount.

Bioinformatics

Gene Symbol ERP29